Dr. Irving Quezada Lara

Ortodoncista · Ver más

Minatitlan 3 direcciones

No. de cédula: 11231616 8374134

13 opiniones
Tiempo de respuesta aproximado:

Experiencia

Soy Irving Quezada, cirujano dentista con especialidad en ortodoncia, egresado de la UNAM, con más de 8 años de experiencia.

Mi enfoque se basa en el diagnóstico preciso, la planeación individualizada y tratamientos que priorizan la salud, la función y la estabilidad a largo plazo, no solo la estética inmediata.

Creo firmemente que una buena odontología comienza con una valoración completa, una comunicación clara con el paciente y decisiones clínicas responsables. Cada tratamiento que realizo está respaldado por análisis, experiencia y seguimiento constante.

Mi objetivo es ofrecer una atención honesta, profesional y de alta calidad, generando confianza desde la primera consulta y acompañando al paciente en cada etapa de su tratamiento.

ver más Sobre mí

Enfocado en:

  • Ortodoncia
  • Odontología general
  • Atm y oclusión
  • Ortopedia maxilofacial

Pacientes que atiendo

Adultos (Sólo en algunas direcciones)
Niños (Sólo en algunas direcciones)

Tipos de consulta

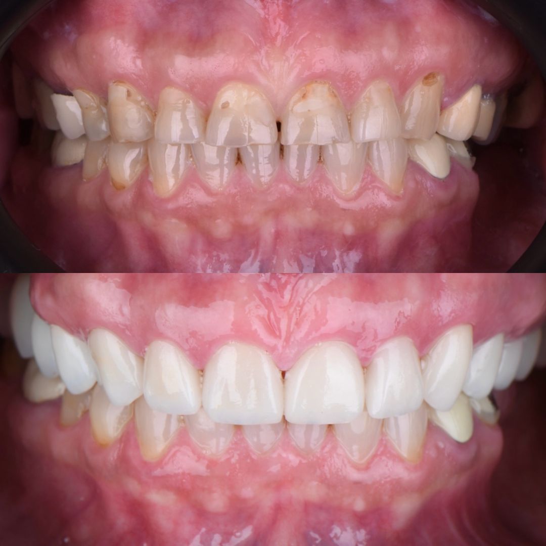
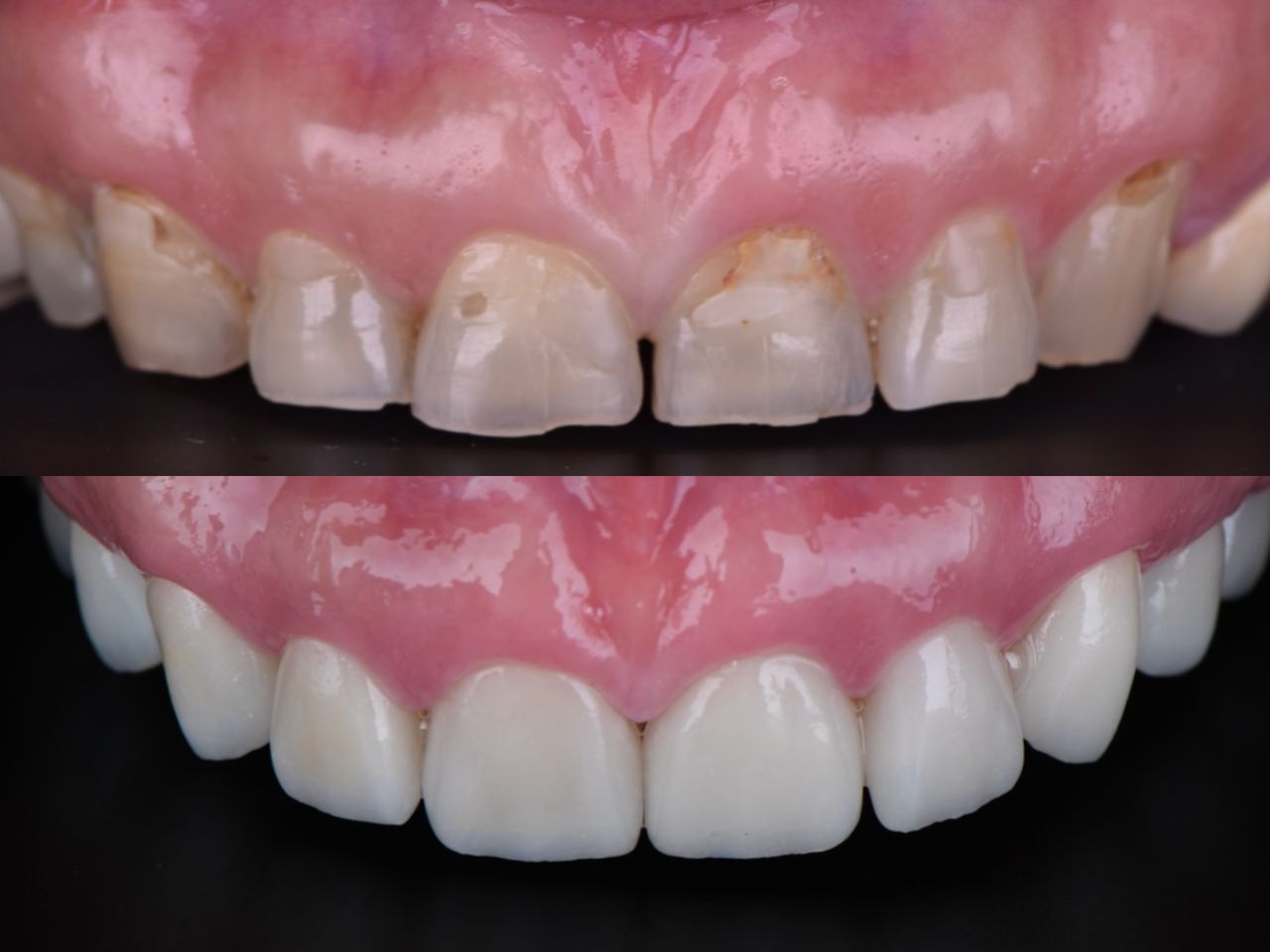
Fotos y videos

Servicios y precios

  • Primera visita Odontología

    $850

  • Guardas gnatológicas


  • Tratamiento de conductos


  • Resinas dentales


  • Reconstrucción dental


Consultorios (3)

Ampliar se abre en una nueva pestaña
Denti7

Calle 23 28, CLÍNICA DENTAL ODONTOLÓGICA, Petrolera, Minatitlan 96850

Disponibilidad

Número de teléfono

922 102...
Ampliar se abre en una nueva pestaña
Ampliar se abre en una nueva pestaña
CENTRO MÉDICO NORESTE

Blvrd Gral Rodolfo Sánchez Taboada #1527, Zona Urbana Rio Tijuana, Tijuana 22010

Disponibilidad

Este especialista no ofrece reserva online en esta dirección

Número de teléfono

228 170...
Ampliar se abre en una nueva pestaña
Ampliar se abre en una nueva pestaña

Avenida Juventino Rosas 1223, Coatzacoalcos 96410

Disponibilidad

Este especialista no ofrece reserva online en esta dirección

Ampliar se abre en una nueva pestaña

No se aceptan aseguradoras

Este especialista sólo acepta pacientes privados. Puede pagar directamente la cita para reservar, o encontrar otro especialista que acepte su aseguradora.

13 opiniones

Nuevo Perfil en Doctoralia

Los pacientes ya empezaron a agregar sus opiniones

Todas las opiniones son importantes, por este motivo, los especialistas no pueden pagar para modificar o eliminar opiniones. Saber más. Más información sobre opiniones
  • B

    excelente atención del equipo, excelentes instalaciones, todo bien

     • Denti7 Ortodoncia convencional  • 

  • I

    Excelente atención, te explican muy bien el plan de tu tratamiento

     • Denti7 Consulta de ortodoncia  • 

  • S


    Las áreas son muy limpias y el personal de recepción muy capacitado, alegre y convincente

     • Denti7 Primera visita Odontología  • 

  • O

    Todo el personal profesional y atento, instalaciones y equipo de primera, buen seguimiento al cliente

     • Denti7 Implante dental  • 

  • J

    Servicio 10/10 muy profesional y excelente trato, súper recomendable

     • Denti7 Visita Odontología  • 

  • T

    Excelente servicio en todos los aspectos, no hay comparación alguna. Los cambios son muy visibles mes con mes.
    Desde la recepción son muy amables y atentos. Los doctores con muy alto grado de profesionalismo. Gracias por todo.

     • Denti7 Consulta de ortodoncia  • 

  • K

    La atención ha sido increíble desde el día uno y los resultados ni se diga! Muy feliz de tener mi tratamiento de ortodoncia en Denti7

     • Denti7 Visitas sucesivas Odontología  • 

  • C

    Excelente atención, explicación de tu proceso. Avances en cada cita.

     • Denti7 Ortodoncia convencional  • 

  • I

    He tenido resultados increíbles gracias a sus tratamientos!!

     • Denti7 Profilaxis (Limpieza Dental)  • 

  • M

    El servicio que brinda es excelente, he visto resultados en cada cita!!

     • Denti7 Consulta de ortodoncia  • 

Se ha producido un error, inténtalo de nuevo.

Dudas solucionadas

12 dudas solucionadas a pacientes en Doctoralia

Duda sobre Dolor de muelas

Puedo hacer ejercicio si tengo dolor de muela estoy tomando diclofenaco sódico cada 12horas

En general, si podría hacer ejercicio pero el diclofenaco es un antiinflamatorio que disminuye el dolor, pero no resuelve la causa (infección, púlpitos, absceso,etc). Al hacer ejercicio, aumenta la frecuencia cardiaca y la presión, lo que puede incrementar el dolor en la zona inflamada. Te recomiendo que acudas a consulta con un experto.

Dr. Irving Quezada Lara

Duda sobre Diente retenido

Hola tengo 22 años y mis segundos molares inferiores no han erupcionado porque las muelas del juicio los están bloqueando. Ya me atendieron dos ortodoncistas: uno me comentó que con la extracción de las muelas del juicio inferiores y ortodoncia podrían salir, y otro me indicó que están de lado y muy abajo, por lo que la solución sería extraer tanto las muelas del juicio como los segundos molares y luego ponerme brackets. No sé que hacer :(

Lo que le dijeron son 2 planes posibles dependiendo de algo clave: la posición real de tus segundos molares en el hueso. Con una radiografía se podría determinar el tratamiento. La buena noticia es que el 90% de los casos como el tuyo se resuelven con éxito traccionando los segundos molares. Por lo tanto yo no me quitaría los segundos molares hasta estar 100% seguro de que están anquilosados o en una posición que sea imposible recuperarlos. :)

Dr. Irving Quezada Lara
Muestra todas las respuestas

Todos los contenidos publicados en Doctoralia, especialmente preguntas y respuestas, son de carácter informativo y en ningún caso deben considerarse un sustituto de un asesoramiento médico.