Dra. Itzel Abigail Montiel Garces

Dentista - Odontóloga · Ver más sobre las especializaciones

Benito Juárez 1 dirección

No. de cédula: 14056874

40 opiniones
Tiempo de respuesta aproximado:

Experiencia

Odontóloga egresada de la UNAM, enfocada en odontología restauradora y estética.

Enfocado en:

  • Odontología general
  • Odontología preventiva
  • Odontología estética
  • Rehabilitación bucal

Pacientes que atiendo

Adultos
Niños

Tipos de consulta

Videoconsulta

Fotos y videos

Logo
Dra. Itzel Abigail Montiel Garces

Adolfo Prieto 1638, Benito Juárez 03104

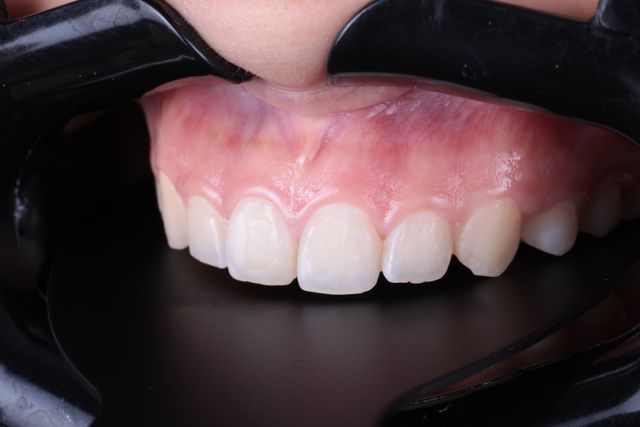
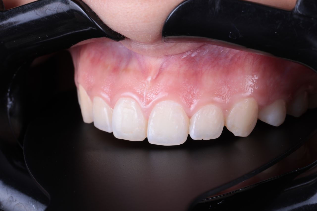
Enfocada al mínimo desgaste para tratamiento de diseño de sonrisa

10/06/2025

Servicios y precios

  • Consulta en línea

    $550

  • Endopostes de fibras de vidrio (estéticos)


  • Tratamiento de conductos


  • Resinas dentales

    Desde $642

  • Reconstrucción dental


Consultorios (2)

Ampliar se abre en una nueva pestaña
Odontología integral y especializada

Adolfo Prieto 1638, Colonia Del Valle Sur, Benito Juárez 03104

Disponibilidad

Pago en línea

Aceptado

Número de teléfono

55 6510...
Ampliar se abre en una nueva pestaña

Disponibilidad

Pago en línea

Aceptado

Número de teléfono

55 6510...
55 7358...

Aseguradoras aceptadas

Se aceptan aseguradoras, pero la cobertura varía según la ubicación y el servicio.

  • Ajuste a Tabulador

40 opiniones

Todas las opiniones son importantes, por este motivo, los especialistas no pueden pagar para modificar o eliminar opiniones. Saber más. Más información sobre opiniones
  • T

    La dra itzel explica a detalle el problema que presenta uno como paciente, así como el tratamiento que deberá seguirse y desglosa de manera detallada la cotización. Tanto ella como los especialistas alternos son muy amables, se interesan por la comodidad del paciente durante los procedimientos, y entregan excelentes resultados. Altamente recomendable. Yo me realicé endodoncia, corona, extracción de molares (no tuve dolor alguno durante la extracción), ortodoncia, tratamiento de caries, blanqueamiento.

     • Odontología integral y especializada Coronas estéticas  • 

  • S

    Tuve buena experiencia y asesoría y me gustó el tratamiento

     • Odontología integral y especializada Visitas sucesivas Odontología  • 

  • J

    Todo increíble y muy profesional, definitivamente la recomendaría

     • Odontología integral y especializada Primera visita Odontología  • 

  • A

    Empecé a ir con esta dentista porque en Doctoralia aparecía como una de las mejores de la zona, pero mi experiencia no fue positiva. Pagué casi $3,000 pesos por unos retenedores que no cumplen su función. El día de la entrega me cobró $400 “de consulta” únicamente por entregármelos. Cuando le comenté que no habían quedado bien, me indicó que debía pagar otros $400 por revisarlos, aunque se suponía que ya estaban supervisados y correctos.

    No estuve de acuerdo con ese cobro adicional y la comunicación posterior no fue la mejor, lo que me hizo decidir no continuar mi tratamiento ahí. Finalmente, tuve que acudir con otro especialista y pagar nuevamente por otros retenedores.

    En resumen, en mi experiencia no hubo garantía sobre el trabajo realizado y cualquier ajuste implicaba un costo adicional. Recomiendo preguntar con claridad sobre políticas de garantía y revisiones antes de iniciar tratamiento.

     • Odontología integral y especializada Otro  • 

  • L

    Excelente atención y seguimiento. Explicaciones claras.

     • Odontología integral y especializada Primera visita Odontología  • 

  • D

    La DR Itzel es empatica, apasionada en su profesión y muy preparada. Sin duda será mi Odontóloga de cabecera !

     • Odontología integral y especializada Primera visita Odontología  • 

  • M

    Excelente atención, muy profesional, aclaro todas mis dudas y me explico muy bien el tratamiento, muy recomendable.

     • Odontología integral y especializada Visita Odontología  • 

  • J

    Increíble atención y servicio, la Dra Itzel es una gran profesional, es evidente que cuenta con el don para sanar. Mostró interés y atención genuina de inicio a fin de la consulta. Gracias

     • Odontología integral y especializada Primera visita Odontología  • 

  • R

    Excelente doctora, mi mamá fue la paciente y está muy conforme con el tratamiento.

     • Odontología integral y especializada Primera visita Odontología  • 

  • K

    Realizó el tratamiento necesario para evitar riesgos mayores.

     • Odontología integral y especializada Primera visita Odontología  • 

Se ha producido un error, inténtalo de nuevo.

Dudas solucionadas

28 dudas solucionadas a pacientes en Doctoralia

Duda sobre Pulpectomía - Pulpotomía

Hola, a mi hijo de 4 se le realizó una pulpotomía y ahora le acabo de reencontrar el abceso más grande y al decirle se la reventó, se ve como si se le hubiera quitado un pedazo de piel. Qué puedo hacer ahora? Ya se agendó una cita pero necesito una 2da opinión.

Hola buen día, lo más seguro es que necesite tratamiento de pulpectomia para eliminar en su totalidad el nervio de su diente o de lo contrario realizar extracción y mantener espacio para la erupción de su diente permanente, es importante que acuda a consulta para observar clínicamente y dar un diagnóstico certero.

Dra. Itzel Abigail Montiel Garces

Ya tengo varios meses con dolor en una encía del lado derecho superior entre las dos muelas, como tal las piezas dentales no me duelen, pero la encias es la que me duele mucho, tengo buena higiene bucal todos los días me limpio con hilo dental, asi que residuos de comida no son, pero el dolor sigue, ¿podrían revisarme y diagnosticar correctamente que pudiera tener? ya que he ido con algunos mas , pero ninguno me encuentra el origen de mi dolor, adicional a ello tengo ya mucha sensibilidad en algunas partes de mis dientes.

Hola buen día, es necesario revisar clínicamente para poder dar un diagnóstico sobre la encía y ver hasta qué grado está para poder mandar auxiliares de limpieza con dosis especificada para su ayuda y así mismo ayudar con la sensibilidad dental.

Dra. Itzel Abigail Montiel Garces
Muestra todas las respuestas

Todos los contenidos publicados en Doctoralia, especialmente preguntas y respuestas, son de carácter informativo y en ningún caso deben considerarse un sustituto de un asesoramiento médico.