Dra.
Alexa Costich González
Dentista - Odontóloga
·
Ver más
Tijuana 1 dirección
No. de cédula: 12231685 14048819
24 opinionesExperiencia
Soy la Dra. Alexa Costich, Dentista General y Especialista en Endodoncia, orgullosamente egresada de la Universidad Autónoma de Baja California (UABC), institución reconocida por su excelencia académica y formación clínica.
Mi pasión por la odontología se refleja en cada tratamiento, buscando siempre combinar precisión, tecnología moderna y atención personalizada para brindar resultados de la más alta calidad.
Nuestra clínica está ubicada en el corazón de Zona Río, Tijuana, a solo minutos de la frontera con California, USA, lo que nos permite atender tanto a pacientes locales como a quienes buscan una opción profesional, segura y accesible, sin comprometer la calidad ni la experiencia.
Especialidades y Servicios:
• Endodoncia (tratamiento de conductos)
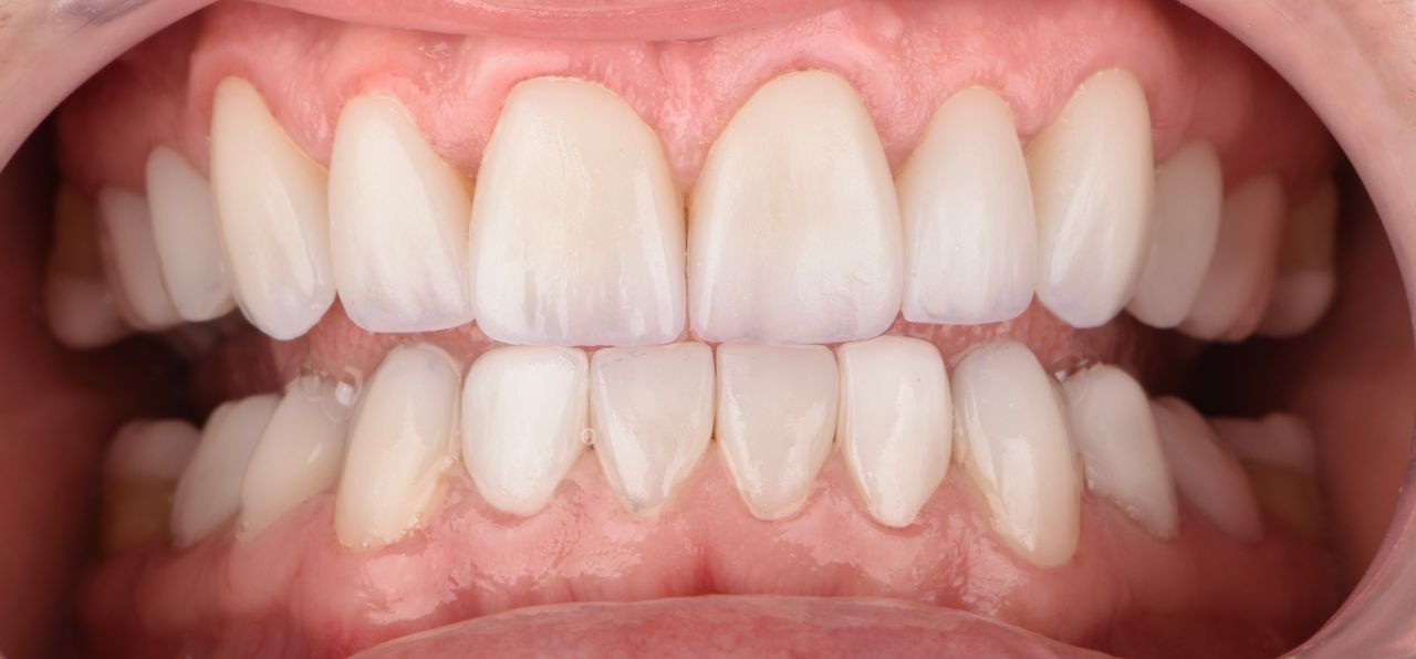
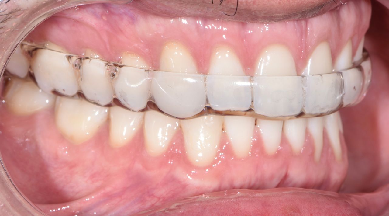
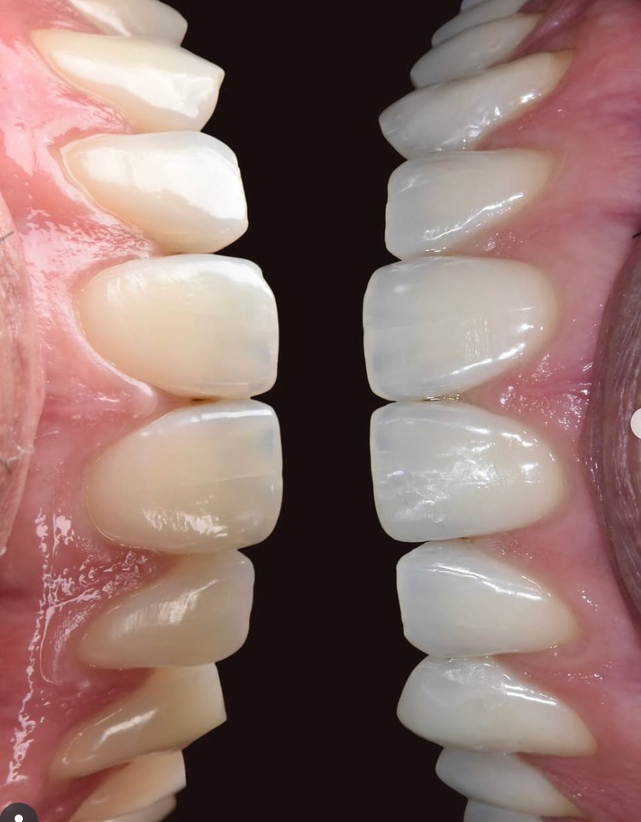
• Rehabilitación y restauraciones estéticas
• Blanqueamiento y diseño de sonrisa
• Odontología general y preventiva
• Atención integral para toda la familia
Por qué elegir A&L Dental Studio
• Atención bilingüe (inglés / español)
• Materiales y tecnología de última generación
• Trato cálido, ético y personalizado
• Ubicación privilegiada en Zona Río, Tijuana
Ubicación:
Paseo del Centenario #9580, Zona Urbana Río, Tijuana, B.C., México/ Torre Medica NewCity
Enfocado en:
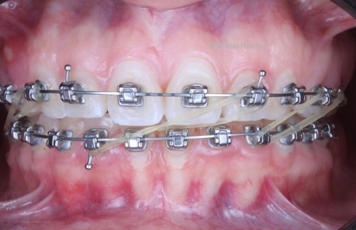
- Odontología general
- Endodoncia
- Rehabilitación bucal
- Implantología dental
Principales enfermedades tratadas
- Caries
- Dolor de muelas
- Bruxismo
- Infección dental
- Fracturas de dientes
- +51 a11y_sr_more_diseases
Pacientes que atiendo
Tipos de consulta
Fotos y videos
Destacados
-
Odontologia Integral, EndodoncistaEgresada Universidad Autonoma De Baja CaliforniaProfesionalismo, Amabilidad, Empatia y Responsable
-
Tuve una muy buena experiencia con la Doctora, el procedimiento sin dolor y muy efectivo, me explicó todo detalladamente, me sentí muy cómoda y también es muy puntual
ver másAmor -
¡Excelente experiencia! La Dra. Alexa es una profesional excepcional. Me curó una muela con resina y el resultado es increíble. La atención fue personalizada, amable y profesional. Me explicó todo el ...
ver másCatalina M -
Hello everyone ! I would like to share an uncommun experience i recently had in my city in Tijuana México with people who became the pathway to bring me a new smile with awesome comunication through ...
ver másJoel Morgan.
Servicios y precios
-
Visita Odontología
Desde $700 -
-
Consulta con especialista
Desde $1,000 -
-
Resina
Desde $1,400 -
-
Primera consulta dental
$700 -
-
Extracción
Desde $2,500 -
-
-
-
-
-
-
-
-
-
-
-
-
-
-
-
-
-
-
-
-
-
-
-
-
-
-
-
-
-
Consultorio
P.º del Centenario 9580, Piso 7 Consultorio 708, Zona Urbana Rio Tijuana, Tijuana 22010
Disponibilidad
Galería
Aseguradoras aceptadas
Se aceptan aseguradoras, pero la cobertura varía según la ubicación y el servicio.
-
Met-Life
-
aetna
-
cigna
-
principal
-
GUARDIAN
Opiniones
24 opiniones
Destacadas
-
A
Amor
Tuve una muy buena experiencia con la Doctora, el procedimiento sin dolor y muy efectivo, me explicó todo detalladamente, me sentí muy cómoda y también es muy puntual
• A&L Dental Studio • Visita Odontología •
Dra. Alexa Costich González
Hola Amor, muchas gracias por tu reseña, nos sentimos agradecidos por tu grata experiencia con nosotros, esperamos verte de nuevo con nosotros
-
C
Catalina M
¡Excelente experiencia! La Dra. Alexa es una profesional excepcional. Me curó una muela con resina y el resultado es increíble. La atención fue personalizada, amable y profesional. Me explicó todo el procedimiento y me hizo sentir cómoda en todo momento, cuenta con equipo de última generación…
¡Totalmente recomendada! Si necesitas un dentista, no dudes en visitar a la Dra. Alexa Costich González• A&L Dental Studio • Visita Odontología •
Dra. Alexa Costich González
Gracias Catalina por tus comentarios, un excelente comentario para nosotros, que bueno que tuviste una experiencia cómoda, y sobre todo con buenos resultados. Esperamos tu pronta visita :)
-
J
Joel Morgan.
Hello everyone ! I would like to share an uncommun experience i recently had in my city in Tijuana México with people who became the pathway to bring me a new smile with awesome comunication through the whole process always on time for appointments, hilarious installations with easy access. Totally recomended for professional Dental Care.
Smiling is fun when you have healthy teeths and gums.
#Dentistry, #Dentista, #Teeth, #OralHealth, #DentalCare, #TijuanaMéxico, # Odontologos
• A&L Dental Studio • Limpieza dental con ultrasónico •
Dra. Alexa Costich González
Thanku Joel for ur comments, hope u have a greatfull experience .
-
M
Miguel Alvarez
Es muy profesional y no te deja con ninguna duda, iniciare mi tratamiento de ortodoncia
• A&L Dental Studio • Limpieza dental con ultrasónico •
-
B
Bravo.H Elvira
Excelente Doctora, El trato siempre es excelente ¡muy profesional!
• A&L Dental Studio • Visita Odontología •
Dra. Alexa Costich González
Gracias por compartir tu experiencia
Nos alegra muchísimo saber que tu visita a A&L Dental Studio fue positiva.
Cada sonrisa satisfecha nos motiva a seguir ofreciendo una atención de calidad, cálida y personalizada.
Agradecemos tu confianza y el habernos elegido para cuidar tu salud dental.
¡Esperamos verte pronto nuevamente y seguir siendo parte de tu mejor sonrisa!
Con cariño,
Dra. Alexa Costich
Dentista General y Especialista en Endodoncia
A&L Dental Studio
-
V
VG
La Dra Alexa me atendio de una manera muy amable, no senti nada de dolor la recomiendo ampliamente
• A&L Dental Studio • Visita Odontología •
Dra. Alexa Costich González
Muchas gracias por tomarte el tiempo de compartir tu experiencia en A&L Dental Studio.
Me alegra saber que te sentiste cómoda y satisfecha con la atención recibida.
En nuestra clínica trabajamos cada día con el compromiso de brindar un servicio profesional, ético y humano, donde cada paciente se sienta escuchado, cuidado y en confianza.
Tu confianza significa mucho para nosotros y nos motiva a seguir ofreciendo una atención de excelencia.
¡Será un gusto verte nuevamente y seguir cuidando tu sonrisa!
Y si quedaste feliz con tu experiencia… ¡recomiéndanos!
Con aprecio,
Dra. Alexa Costich
Dentista General y Especialista en Endodoncia
A&L Dental Studio
-
E
Eva R.
Excelente Dra. su atención muy agradable y profesional, la recomiendo muchísimo.
• A&L Dental Studio • Endodoncia •
Dra. Alexa Costich González
Muchas gracias por tomarte el tiempo de compartir tu experiencia que tuviste en A&L Dental Studio.
Me alegra saber que te sentiste cómoda y satisfecha con la atención recibida.
En nuestra clínica trabajamos cada día con el compromiso de brindar un servicio profesional, ético y humano, donde cada paciente se sienta escuchado y cuidado.
Tu confianza significa mucho para nosotros y nos motiva a seguir ofreciendo una atención de excelencia.
¡Será un gusto volver a verte en tu próxima visita y seguir cuidando tu sonrisa! RECOMIENDANOS !
Con aprecio,Dra. Alexa Costich
Dentista General y Especialista en Endodoncia
A&L Dental Studio
-
S
Selene P.
La mejor experiencia en todas mis visitas al dentista!
• A&L Dental Studio • Primera consulta dental •
Dra. Alexa Costich González
Muchas gracias por tomarte el tiempo de compartir tu experiencia que tuviste en A&L Dental Studio.
Me alegra saber que te sentiste cómoda y satisfecha con la atención recibida.
En nuestra clínica trabajamos cada día con el compromiso de brindar un servicio profesional, ético y humano, donde cada paciente se sienta escuchado y cuidado.
Tu confianza significa mucho para nosotros y nos motiva a seguir ofreciendo una atención de excelencia.
¡Será un gusto volver a verte en tu próxima visita y seguir cuidando tu sonrisa! RECOMIENDANOS !
Con aprecio,Dra. Alexa Costich
Dentista General y Especialista en Endodoncia
A&L Dental Studio
-
I
Ivan J Rivas
La doctora Alexa me dio un trato muy amable me hizo sentir en casa y me brindo su tiempo para poder quitar cualquier duda. La limpiesa dental fue estupenda la verdad esta muy recomendada.
• A&L Dental Studio • Primera consulta dental •
Dra. Alexa Costich González
Me encantó su recomendación Ivan, gracias por tu confianza, te esperamos pronto
-
C
C. Wells
Súper buena doctora, explicó claramente todos los procesos y aclaró cualquier duda que tenía
• A&L Dental Studio • Limpieza dental con ultrasónico •
Dra. Alexa Costich González
Muchas gracias por tu review , que bueno que tuviste una linda experiencia, te esperamos pronto
Dudas solucionadas
12 dudas solucionadas a pacientes en Doctoralia
Me hicieron un recubrimiento pulpar hace tres horas y me duele la morder, ¿Es normal? ¿Debería tomar algún analgésico?
Hola, la Dra Alexa Costich, especialista en Endodoncia, si puedes tomar analgésico 1-2 días, por la misma manipulación del tratamiento, si la molestia persiste tendrás que acudir a revision.
Espero te sirva mi recomendación, saludos !
Despues de 3 días de extraccion de Premolares puedo comer comida que tenga tomate?
Hola, buen día, si puedes comer, sólo trata de de quitarle las semillas para que no se alojen en los huecos de la extracción:)
Todos los contenidos publicados en Doctoralia, especialmente preguntas y respuestas, son de carácter informativo y en ningún caso deben considerarse un sustituto de un asesoramiento médico.