Dra. Eunice Martínez

Dentista - Odontólogo · Ver más sobre las especializaciones

No. de cédula: 6036745 7318859

110 opiniones
Especialista de confianza

Los pacientes vuelven a su consulta de forma recurrente

Experiencia

Realice la licenciatura en la universidad veracruzana obteniendo el título de cirujano dentista. Posteriormente realicé la especialidad de rehabilitación oral estética en Chile, donde estudié por tres años. Regresando a Mexico estudie la especialidad en implantes dentales la cual
Curse dos años en CDMX, la cual culminó con dos viajes a argentina y Uruguay donde nos capacitaron para manejo de tenidos blandos en implantes dentales para una mejor técnica estética. Actualmente me encuentro realizando cursos de actualización para seguir ofreciendo las últimas técnicas de vanguardia y con los mejor materiales.
ver más Sobre mí

Enfocado en:

  • Odontología estética
  • Rehabilitación bucal
  • Implantología dental

Pacientes que atiendo

Adultos
Niños

Tipos de consulta

Videoconsulta

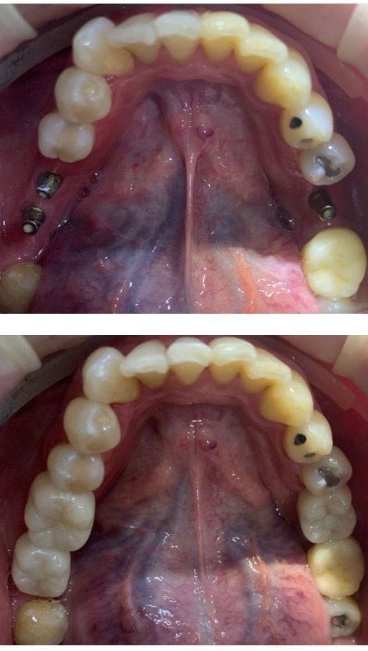
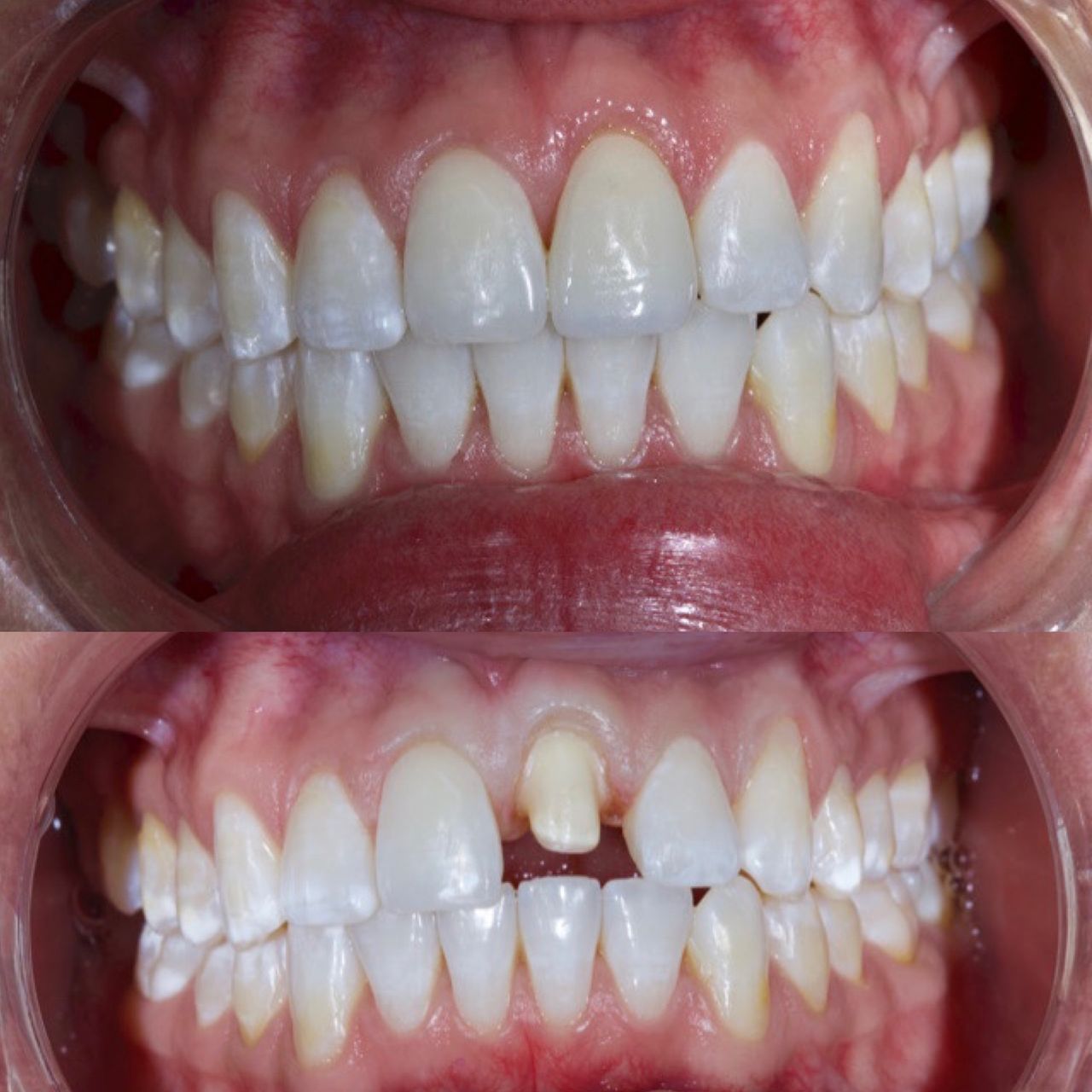
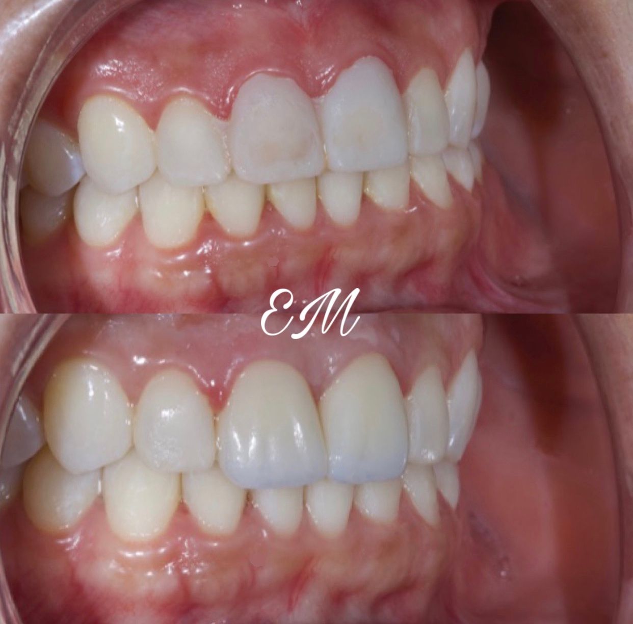
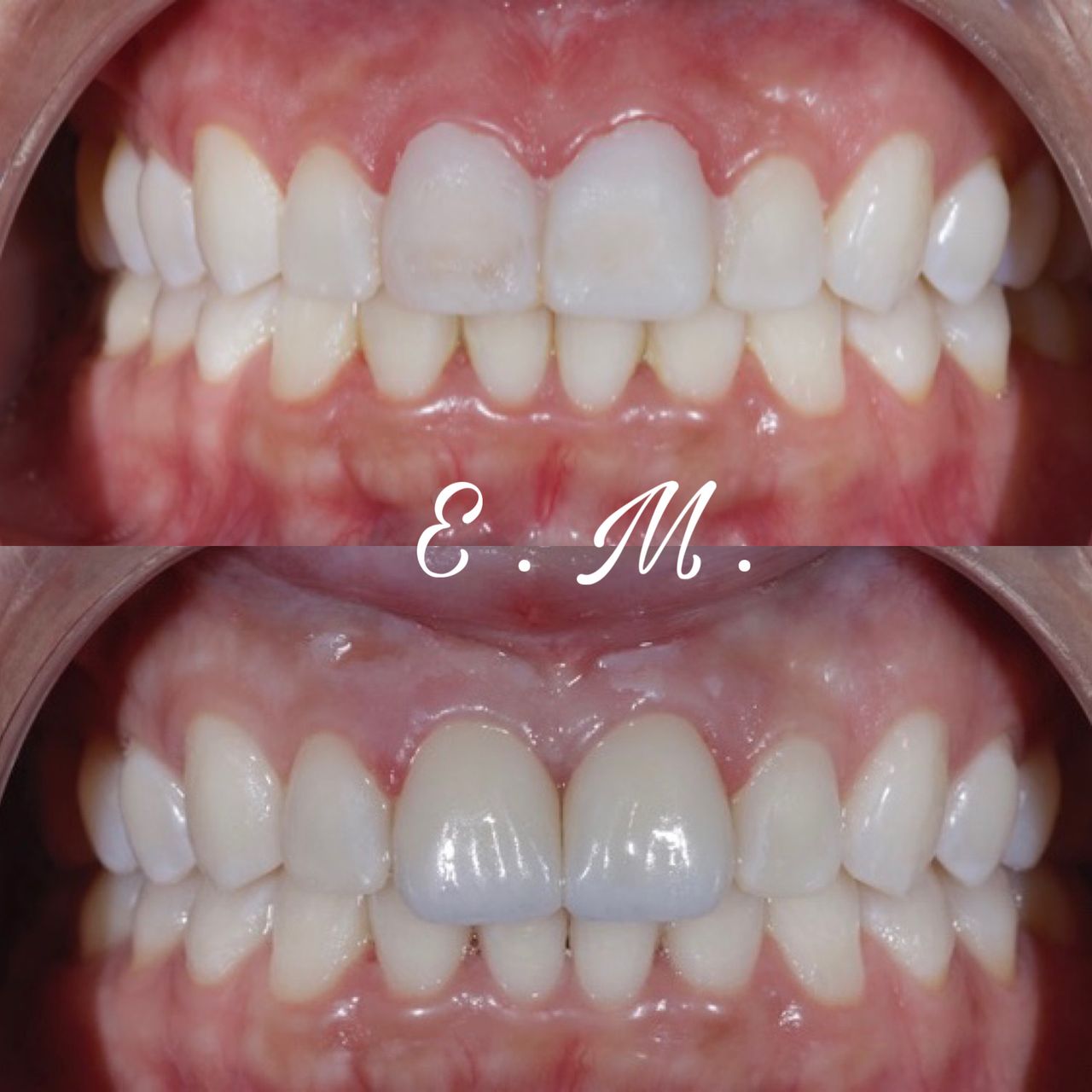
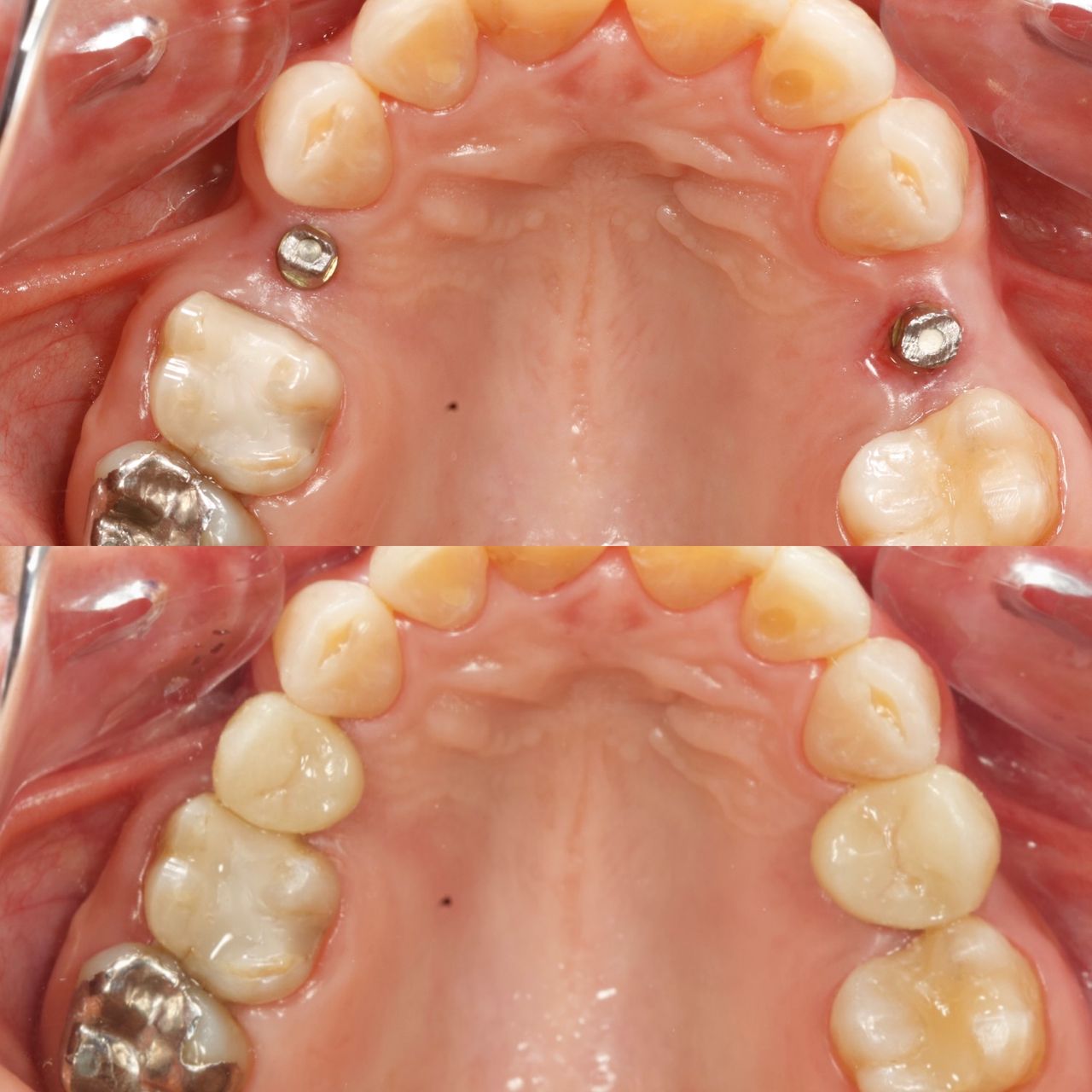
Fotos y videos

Logo
Dra. Eunice Martínez

Av Habaneras 385, Veracruz 94294

Contamos con instalaciones amplias y modernas, donde contamos con todos los especialistas en el ramo odontológico para brindarte una mejor atención y un trato personalizado.

11/02/2025

Servicios y precios

  • Visita Odontología

    Servicio gratuito

  • Blanqueamiento dental

    Desde $1,500

  • Brackets de zafiro


  • Carillas de porcelana


  • Cirugia del tercer molar


Artículos

Enfermedad periodontal - piorrea

Es una infección de los tejidos que rodean y sujetan los dientes. Es una de las principales causas de pérdida dental en los adultos. Como habitualmente es indolora, puede que no sepa que la padece. Estas son algunas señales de advertencia que pueden indicar un problema: • Encías que sangran con facilidad • Encías rojas, hinchadas y doloridas • Encías que se han separado de los dientes • Mal aliento o mal sabor de boca persistente • Dientes permanentes sueltos o que se separan • Cualquier cambio en la manera en que encajan los dientes cuando muerde • Cualquier cambio en el ajuste de las dentaduras postizas parciales. El tratamiento consiste en tratamientos periodontales y medicamento.


Blanqueamiento dental

Los blanqueamiento dentales contienen (peróxido de hidrógeno o peróxido de carbamida). Estos blanqueadores rompen las manchas en piezas más pequeñas, lo que hace el color menos concentrado y tus dientes más luminosos. Por lo que no daña la la superficie del diente "esmalte dental" ni la estructura interna. Algunas personas podrían experimentar sensibilidad dental, esto ocurre cuando el peróxido del blanqueador entra a través del esmalte a la capa blanda de dentina e irrita el nervio, la sensibilidad es temporal. Por lo que se alterna el blanqueamiento dental con un tratamiento para evitar la sensibilidad dental.


Bruxismo

Enfermedad que se caracteriza por apretar o rechinar los dientes, este puede ser durante el día o al dormir. Puede ser provocado por sustancias como el alcohol, la cafeína, drogas de todo tipo u algunos medicamentos, así como el estrés. Puede provocar daño en las articulaciones, los dientes y molares se van desgastando dramáticamente en forma irreversible. Puede haber sensibilidad frente a frío o el calor, fracturas dentarias, enfermedades en las encías, dolor en las zonas cercanas al oído, además de ruidos al abrir y/o cerrar la boca. El tratamiento puede ser uso de ortodoncia, desgastes selectivos en cúspides de dientes que hacen mal contacto o el uso de una guarda mío relajante.

Ver todos los artículos

Consultorios (2)

Ampliar se abre en una nueva pestaña
TOUT Estetica Dental

Av Habaneras 385, Jardines Del Virginia, Veracruz 94294

Disponibilidad

Número de teléfono

229 960...
229 165...
Ampliar se abre en una nueva pestaña

Disponibilidad

Este especialista no ofrece reserva online en esta dirección

Número de teléfono

229 960...

No se aceptan aseguradoras

Este especialista sólo acepta pacientes privados. Puede pagar directamente la cita para reservar, o encontrar otro especialista que acepte su aseguradora.

110 opiniones

Lo más mencionado por los pacientes

  • Explicaciones detalladas
  • Dedicación durante la visita
  • Instalaciones excelentes
Todas las opiniones son importantes, por este motivo, los especialistas no pueden pagar para modificar o eliminar opiniones. Saber más. Más información sobre opiniones
  • J

    Es eficiente, profesional y puntual. Agradezco sus servicios

     • TOUT Estetica Dental Profilaxis (Limpieza Dental)  • 

    Dra. Eunice Martínez

    Muchas gracias


  • D

    Muy buena atención muy buen recibimiento y acertar

     • TOUT Estetica Dental Visita Odontología  • 

    Dra. Eunice Martínez

    Muchas gracias Daniel


  • I

    Fue mi primera consulta, pero salí muy contenta con la forma de abordar mis necesidades. Entendió perfecto lo que necesito.

     • TOUT Estetica Dental Diseño de sonrisa  • 

    Dra. Eunice Martínez

    Muchas gracias Ivonne


  • A

    La Dra tiene buen trato y te explica cada paso a realizar

     • TOUT Estetica Dental Visita Odontología  • 

    Dra. Eunice Martínez

    Muchas gracias Areli


  • A

    Explicación detallada y profesional, muy buen trato

     • TOUT Estetica Dental Visita Odontología  • 

    Dra. Eunice Martínez

    Muchas gracias Adán


  • M

    Excelente atención, muy profesional la dra.Eunicr Mtz.

     • TOUT Estetica Dental Visita Odontología  • 

    Dra. Eunice Martínez

    Me alegra enormemente haber podido atenderte nuevamente.
    ¡Muchas gracias por tu confianza!


  • M

    Muy profesional en todos los aspectos 100% recomendable

     • TOUT Estetica Dental Visita Odontología  • 

    Dra. Eunice Martínez

    Agradezco mucho tu reconocimiento y confianza. Estamos para servirte


  • J

    Muy buenas instalaciones, además de una excelente atención por parte de la doctora, explica de una manera práctica y fácil de entender !

     • TOUT Estetica Dental Visita Odontología  • 

    Dra. Eunice Martínez

    Muchas gracias Juan


  • J

    Muy bien, muy clara en su valoración y propuestas definidas convincentes

     • TOUT Estetica Dental Visita Odontología  • 

    Dra. Eunice Martínez

    Muchas gracias


  • M

    Muy buena atención. Buenas instalaciones y muy certera en su diagnóstico

     • TOUT Estetica Dental Resinas dentales  • 

    Dra. Eunice Martínez

    Muchas gracias


Se ha producido un error, inténtalo de nuevo.

Dudas solucionadas

4 dudas solucionadas a pacientes en Doctoralia

Duda sobre Ergocaf

Ergocaf sirve para el dolor de muela?

Ergocaf Es un medicamento indicado para la migraña. No para dolor dental. Lo recomendable es que visites a tu dentista antes de que el problema se haga mas grande. Prueba tomando ketorolaco sublingual de 30 mg este te ayudara para el dolor dental, la inflamación y la cefalea o migraña.

Dra. Eunice Martínez

Duda sobre Implante dental

cuanto sale por poner un diente y el tratamiento?

Colocar un implante dental de titanio sale en $12,000 mas 4mil para colocar la corona de porcelana. Todos los tratamientos están garantizados al 100%duarante un año.

Dra. Eunice Martínez
Muestra todas las respuestas

Todos los contenidos publicados en Doctoralia, especialmente preguntas y respuestas, son de carácter informativo y en ningún caso deben considerarse un sustituto de un asesoramiento médico.