Dr. Marcos Gómez Sosa

Dentista - Odontólogo · Ver más sobre las especializaciones

Patzcuaro 2 direcciones

No. de cédula: 6773060 11447456

38 opiniones
Tiempo de respuesta aproximado:

Experiencia

Soy Cirujano Dentista especializado en Ortodoncia, con 14 años de experiencia en el cuidado odontológico y 8 años dedicados exclusivamente a la ortodoncia. Mi enfoque profesional va más allá del diagnóstico y tratamiento de malposiciones dentales, problemas de oclusión y deformaciones maxilares en niños y adultos. Me especializo en transformar sonrisas, mejorando tanto la estética como la funcionalidad dentofacial para devolver confianza y bienestar a mis pacientes.

Me gradué con mención honorífica del Posgrado en Ortodoncia de la Universidad Michoacana de San Nicolás de Hidalgo, donde tuve el honor de recibir la Presea Dr. Ignacio Chávez Sánchez, un reconocimiento al mérito universitario en estudios de posgrado. Este logro refleja mi compromiso con la excelencia y mi pasión por la educación continua en mi campo.

Cada paciente que confía en mí recibe un enfoque personalizado y humano, centrado en lograr resultados duraderos que impacten positivamente su calidad de vida. Estoy aquí para ayudarte a alcanzar una sonrisa funcional, armónica y saludable.
ver más Sobre mí

Enfocado en:

  • Ortodoncia
  • Atm y oclusión
  • Ortopedia maxilofacial

Pacientes que atiendo

Adultos
Niños

Tipos de consulta

Videoconsulta

Fotos y videos

Logo
Dr. Marcos Gómez Sosa

Navarrete 7, Centro de Pátzcuaro, Patzcuaro 61600

¿Sabías que la respiración por la boca en niños puede afectar su desarrollo?

La respiración oral puede parecer inofensiva, pero si se vuelve habitual, puede causar problemas como deformidades faciales, maloclusión dental y trastornos del sueño. Además, afecta el rendimiento escolar y la salud general de los más pequeños.

En nuestro nuevo artículo, te contamos cómo identificar la respiración oral, sus causas y qué hacer para prevenir complicaciones mayores. La detección temprana es clave para evitar problemas en el desarrollo de tu hijo.

Consulta el artículo completo https://drmarcosgomez.com/respiracion-oral-en-ninos-impacto-en-el-desarrollo-facial-y-como-prevenir-complicaciones/

26/10/2024

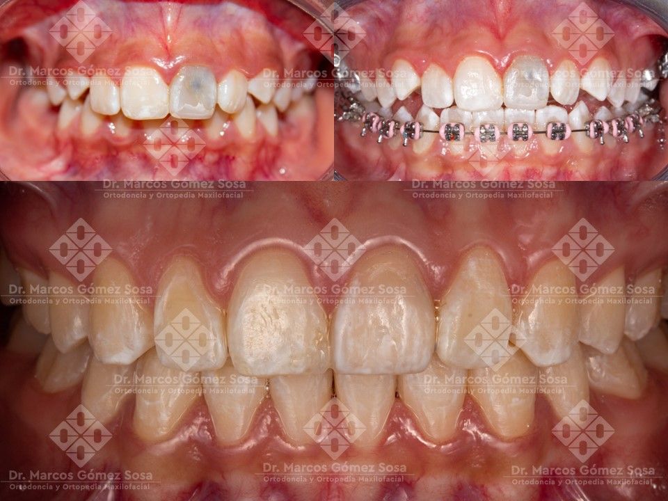
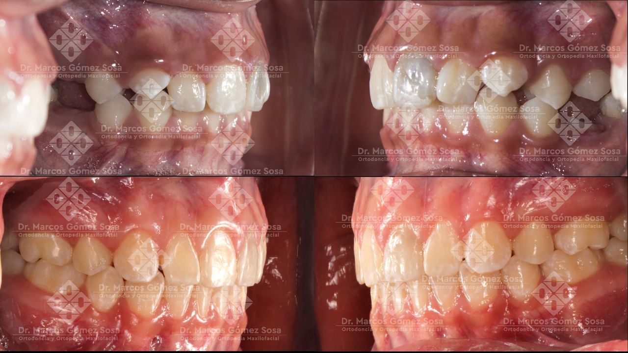
Servicios y precios

  • Brackets de cerámica


  • Consulta de valoración

    Desde $700

  • Ortodoncia prequirúrgica


  • Rehabilitación bucal


  • Consulta en línea

    $200

Consultorios (3)

Ampliar se abre en una nueva pestaña
Dr. Marcos Gómez Sosa Especialista en Ortodoncia y Ortopedia Maxilofacial

Navarrete 7, Centro de Pátzcuaro, Alfredo Salce, Patzcuaro 61600

Disponibilidad

Número de teléfono

443 365...
Ampliar se abre en una nueva pestaña
Ampliar se abre en una nueva pestaña
Consultorio privado

Boulevard Agustín Arriaga Rivera, Nueva Chapultepec, Morelia 58280

Disponibilidad

Este especialista no ofrece reserva online en esta dirección

Número de teléfono

443 365...
Ampliar se abre en una nueva pestaña

Disponibilidad

Este especialista no ofrece reserva online en esta dirección

Pago en línea

Aceptado

Número de teléfono

443 365...

No se aceptan aseguradoras

Este especialista sólo acepta pacientes privados. Puede pagar directamente la cita para reservar, o encontrar otro especialista que acepte su aseguradora.

38 opiniones

Todas las opiniones son importantes, por este motivo, los especialistas no pueden pagar para modificar o eliminar opiniones. Saber más. Más información sobre opiniones
  • H

    Muy bien explicado todo y super profesional, igualmente todo detallado y sin molestias 10 de 10

     • Dr. Marcos Gómez Sosa Especialista en Ortodoncia y Ortopedia Maxilofacial Otro  • 

  • M

    Excelente atención muy buen trabajo súper recomendable

     • Dr. Marcos Gómez Sosa Especialista en Ortodoncia y Ortopedia Maxilofacial Consulta de valoración  • 

  • K

    Excelente servido, el doctor es muy profesional y el consultorio súper limpio

     • Dr. Marcos Gómez Sosa Especialista en Ortodoncia y Ortopedia Maxilofacial Consulta de valoración  • 

  • R

    Excelente atención un doctor con bastante profesionalismo y dedicación.

     • Dr. Marcos Gómez Sosa Especialista en Ortodoncia y Ortopedia Maxilofacial Consulta de valoración  • 

  • A

    Muy contento de haber acudido con el dr. Marcos, sin duda estoy obteniendo la mejor solución a mi problema

     • Dr. Marcos Gómez Sosa Especialista en Ortodoncia y Ortopedia Maxilofacial Consulta de valoración  • 

  • E

    Explicación detallada de los pros y contras del tratamiento

     • Dr. Marcos Gómez Sosa Especialista en Ortodoncia y Ortopedia Maxilofacial Consulta de valoración  • 

  • D

    Excelente atención por parte del Doctor, explicaciones puntuales, espacios limpios, contenta con el tratamiento.

     • Dr. Marcos Gómez Sosa Especialista en Ortodoncia y Ortopedia Maxilofacial Consulta de valoración  • 

  • A

    Marcos se toma el tiempo para llegar al diagnóstico más certero echando mano de las bastas herramientas con las que cuenta en su consultorio. No escatima en el tiempo y la atención y propone un escenario completo para la resolución del problema médico. Es un gran especialista.

     • Dr. Marcos Gómez Sosa Especialista en Ortodoncia y Ortopedia Maxilofacial Consulta de valoración  • 

  • E

    Me gustó su puntualidad me gusta como atiende ah los clientes

     • Dr. Marcos Gómez Sosa Especialista en Ortodoncia y Ortopedia Maxilofacial Consulta de valoración  • 

  • J

    El doctor Marcos, explica detalladamente de forma qué uno entienda de el tratamiento y se toma su tiempo para qué uno haga todas las preguntas y dudas qué tenga.

     • Dr. Marcos Gómez Sosa Especialista en Ortodoncia y Ortopedia Maxilofacial Consulta de valoración  • 

Se ha producido un error, inténtalo de nuevo.

Dudas solucionadas

13 dudas solucionadas a pacientes en Doctoralia

En un tratamiento de ortodoncia es posible extraer 8 piezas dentales, los cuales sería 4 premolares y 4 los terceros molares, esto sin causar problemas a futuro.
Actualmente ya me han retirado los terceros molares, pero se indica que por falta de espacio es necesario retirar 4 premolares.
Cabe indicar que me han mencionado que tengo biprotusion.

En casos de biprotusión excesiva, como el tuyo, la extracción de premolares puede ser una estrategia esencial para lograr un tratamiento de ortodoncia exitoso. La biprotusión implica que los dientes anteriores están más adelantados de lo ideal, lo que puede comprometer tanto la estética como la funcionalidad de la mordida. Al retirar los premolares, se crea el espacio necesario para reposicionar los dientes de manera adecuada, mejorando la apariencia y asegurando una oclusión estable y saludable a largo plazo.

Además, mantener dientes que no tienen suficiente espacio podría afectar negativamente la salud periodontal, aumentando el riesgo de enfermedades de las encías y otros problemas dentales en el futuro. Por otro lado, la extracción de los terceros molares (muelas del juicio) es generalmente recomendada cuando estos no tienen un espacio adecuado o pueden interferir con la oclusión. Si ya te han retirado las muelas del juicio y aún se recomienda la extracción de los premolares, es probable que esto sea necesario para alcanzar los mejores resultados posibles en términos de estética, salud y estabilidad a largo plazo.

Dr. Marcos Gómez Sosa

Duda sobre Ortodoncia convencional

Tengo apiñamiento no me hicieron ninguna extracción llevo dos me des con brackets y antier me di cuenta que los dientes de enfrente se me están botando,mi tratamiento está mal?

Es comprensible tu preocupación, y es importante aclarar que determinar si un tratamiento está bien o mal requiere un análisis cuidadoso y detallado. La decisión de realizar o no extracciones en un tratamiento de ortodoncia no se toma a la ligera. Antes de iniciar cualquier tratamiento, es fundamental realizar un diagnóstico exhaustivo que, en la actualidad, debería incluir al menos una tomografía. Esta imagen nos permite verificar la disponibilidad de hueso y asegurarnos de que los dientes se puedan mover adecuadamente sin comprometer la estructura ósea.

Además, se debe evaluar la cantidad de apiñamiento que presentas, así como los posibles impactos en la estética y la función de tu mordida al decidir hacer o no las extracciones. Si después de este análisis se determina que hay espacio suficiente y que no se compromete la estética ni la función, se puede proceder con un plan de tratamiento sin extracciones.

Sin embargo, si estás notando que los dientes frontales se están "botando", podría ser un signo de que el espacio actual no es suficiente para alinearlos correctamente, o puede haber otras consideraciones que deban revisarse. Te recomendaría que consultes con tu ortodoncista para que pueda reevaluar tu caso y asegurarse de que el tratamiento esté progresando de la mejor manera posible.

Dr. Marcos Gómez Sosa
Muestra todas las respuestas

Todos los contenidos publicados en Doctoralia, especialmente preguntas y respuestas, son de carácter informativo y en ningún caso deben considerarse un sustituto de un asesoramiento médico.