Dr. Miguel Alberto Escalona Mora

Dentista - Odontólogo · Ver más sobre las especializaciones

Miguel Hidalgo 2 direcciones

No. de cédula: 13955881

40 opiniones
Tiempo de respuesta aproximado:

Experiencia

Soy Cirujano Dentista egresado de la Universidad Latina de Panamá, con formación de posgrado en Prótesis e Implantología por la UNITEC de México y Máster en Odontología Estética y Adhesiva por la Universidad CEU de España.

Mi práctica se centra en la odontología estética y rehabilitadora, con especial interés en carillas dentales, diseño de sonrisa, rehabilitaciones mínimamente invasivas e implantología. Trabajo bajo una filosofía que busca preservar al máximo la estructura dental, combinando planificación digital, precisión clínica y materiales de última generación para crear sonrisas armónicas, funcionales y naturales.

Cada tratamiento es diseñado de manera personalizada, considerando no solo la estética dental, sino también la armonía facial y las necesidades individuales de cada paciente, con el objetivo de lograr resultados duraderos que reflejen confianza, salud y naturalidad.

ver más Sobre mí

Enfocado en:

  • Odontología general
  • Odontología estética
  • Implantología
  • Rehabilitación bucal

Pacientes que atiendo

Adultos (Sólo en algunas direcciones)
Niños (Sólo en algunas direcciones)

Tipos de consulta

Videoconsulta

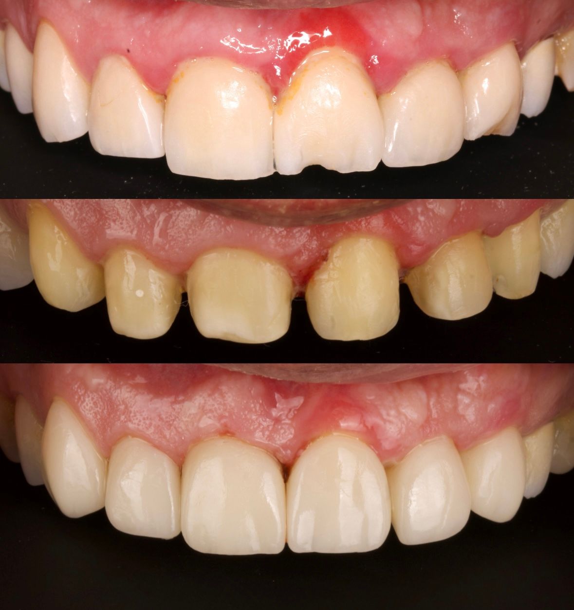
Fotos y videos

Servicios y precios

  • Consulta en línea

    Desde $900

  • Extracción de otras piezas dentarias


  • Resinas dentales


  • Reconstrucción dental


  • Profilaxis (Limpieza Dental)


Consultorios (3)

Miguel Alberto Escalona Mora
Consultorio

Calle Arquímedes 130,, Polanco Iv Sección, Miguel Hidalgo 11570

Ampliar se abre en una nueva pestaña

Disponibilidad

Formas de pago (visitas privadas)

  • Tarjeta de crédito
  • Tarjeta de débito
  • Efectivo
  • Transferencia

Número de teléfono

Reserva por teléfono 24/7
Miguel Alberto Escalona Mora

Consulta en línea

Disponibilidad

Formas de pago (visitas privadas)

  • Transferencia

Número de teléfono

Reserva por teléfono 24/7
Miguel Alberto Escalona Mora
Consultorio

Disponibilidad

Formas de pago (visitas privadas)

  • Tarjeta de crédito
  • Tarjeta de débito
  • Transferencia
  • Efectivo

Número de teléfono

Reserva por teléfono 24/7

No se aceptan aseguradoras

Este especialista sólo acepta pacientes privados. Puede pagar directamente la cita para reservar, o encontrar otro especialista que acepte su aseguradora.

40 opiniones

Lo más mencionado por los pacientes

  • Explicaciones detalladas
  • Dedicación durante la visita
  • Eficacia del tratamiento
Todas las opiniones son importantes, por este motivo, los especialistas no pueden pagar para modificar o eliminar opiniones. Saber más. Más información sobre opiniones
  • D

    Muy buena la explicación y las opciones para poder resolverlo.

     • Consultorio Primera visita Odontología  • 

  • Y

    Me encantó la atención, estuvo todo súper explicado y me encantó !!

     • Consultorio Extracción de las muelas del juicio  • 

  • H

    Desde que entras al consultorio te reciben con una sonrisa y amabilidad y sabes que es gente que ama su trabajo y así lo transmiten

     • Consultorio Visitas sucesivas Odontología  • 

  • L

    Me hizo una restauración en una muela, sin dolor y me quedo muy bien.

     • Consultorio Resinas dentales  • 

  • G

    Muy bueno y recomendado, el
    Lugar impecable y muy ordenado

     • Consultorio Primera visita Odontología  • 

  • N

    Excelente servicio, el doctor explica muy bien los tratamientos.
    Responde a cualquier duda

     • Consultorio Blanqueamiento dental  • 

  • J

    Atención profesional, atinada y esmerada en un consultorio impecable y con perfecta organización!

     • Consultorio Higiene bucodental  • 

  • M

    Muy buenoa la atención me parecio muy profesional

     • Consultorio Primera visita Odontología  • 

  • F

    El Dr. Miguel es súper dedicado en cada detalle de la consulta y del tratamiento, me gusta que explica todo de la manera más clara, además de que cuenta con instalaciones de 10, gracias Dr!

     • Consultorio  • 

  • K

    Excelente profesional.
    Buena explicación y detalle en todo.

     • Consultorio Primera visita Odontología  • 

Se ha producido un error, inténtalo de nuevo.

Dudas solucionadas

7 dudas solucionadas a pacientes en Doctoralia

Duda sobre Dolor de muelas

Hace 3 semanas sacaron mi muela no salio todo volvieron a retirar luego de una semana y no sana aun esta vacío el hueco ayer rasparon para formar un nuevo cuagulo y saturaron cuanto demora el sanar

Después de volver a raspar y suturar, lo normal es que cicatrice en 7 a 14 días.
El hueso puede tardar 4 a 6 semanas en cerrar por completo.
Si hay dolor intenso, mal olor o no ves mejoría en 7 días, acude a revisión.

Dr. Miguel Alberto Escalona Mora

Hola,hace 4 dias me hicieron las cirugías de mis muelas del juicio de la parte inferior,pero en la noche del 3 dia empecé a tener roces de mi labio inferior con mis brackets,y para la mañana del 4 dia ya tenia dos pequeñas aftas,para la tarde ya me dolían un poco mas las aftas y me empezó a doler mucho la parte inferior de mi boca en general,ese dolor podria ser propio de las aftas o por alguna infección o alveolitis?

Por lo que describes, el dolor es más compatible con aftas por roce de los brackets. Las aftas pueden causar dolor intenso y sensación generalizada en la zona.
La alveolitis suele dar dolor profundo en el sitio de la extracción y mal olor o sabor.
Usa cera para brackets y gel para aftas. Si aparece mal olor, fiebre o el dolor no mejora, acude a revisión.

Dr. Miguel Alberto Escalona Mora
Muestra todas las respuestas

Todos los contenidos publicados en Doctoralia, especialmente preguntas y respuestas, son de carácter informativo y en ningún caso deben considerarse un sustituto de un asesoramiento médico.