Dr. Jorge Aguirre

Dentista - Odontólogo · Ver más

Benito Juárez 1 dirección

No. de cédula: 13167788 09929409

67 opiniones
Especialista de confianza

Los pacientes vuelven a su consulta de forma recurrente

Experiencia

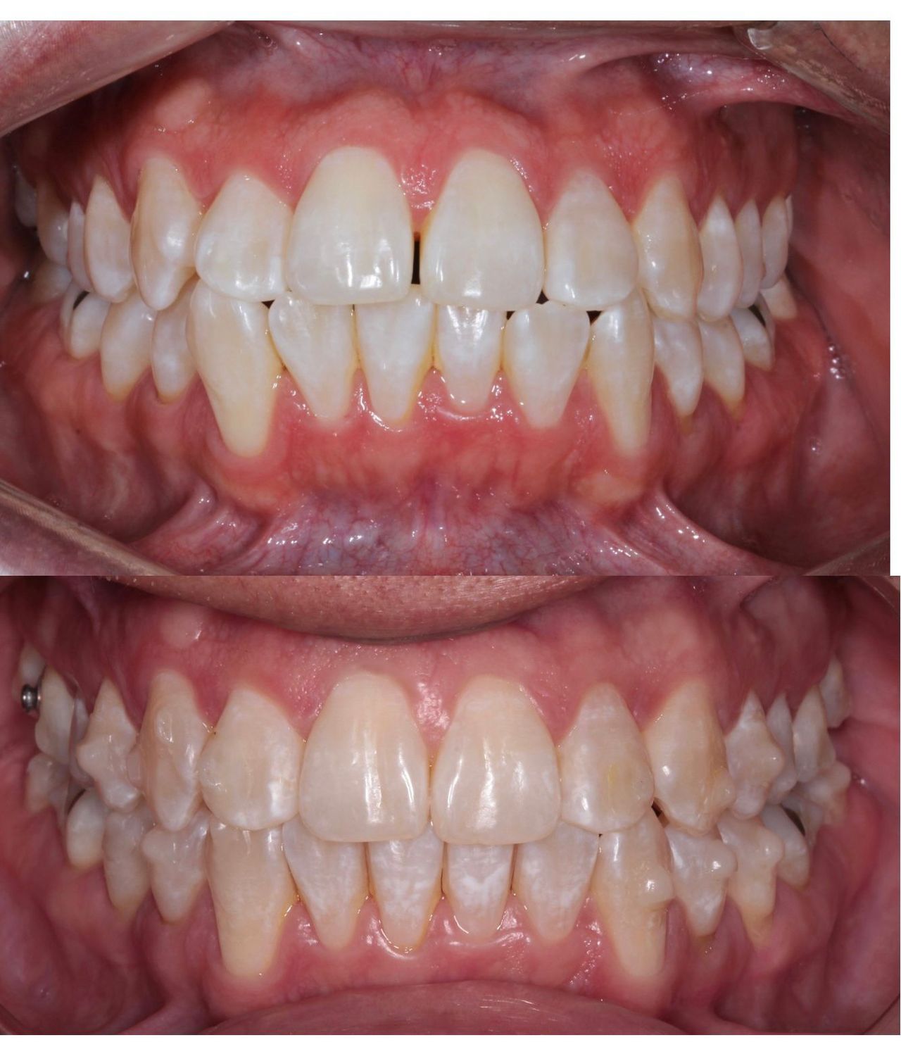
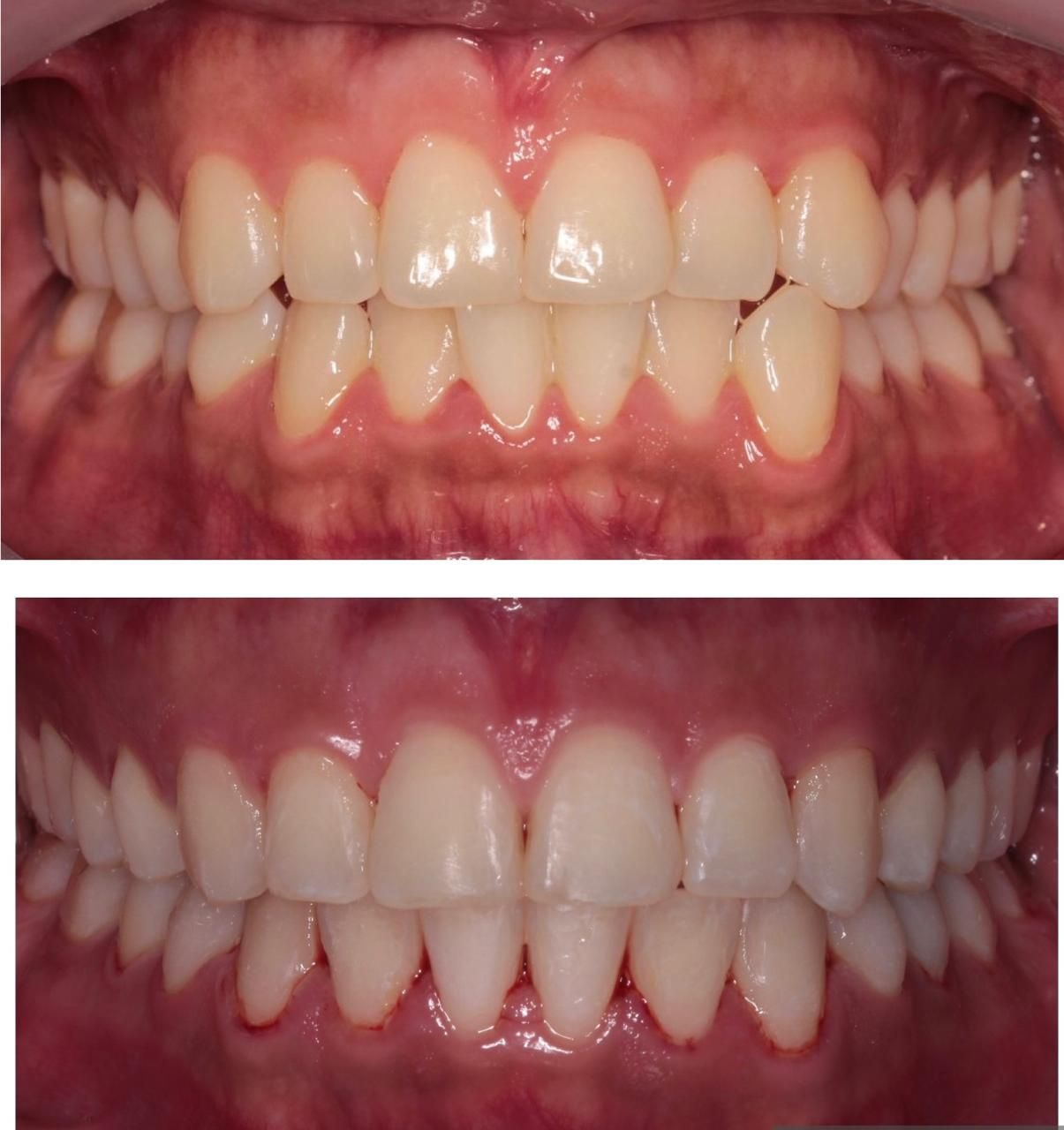
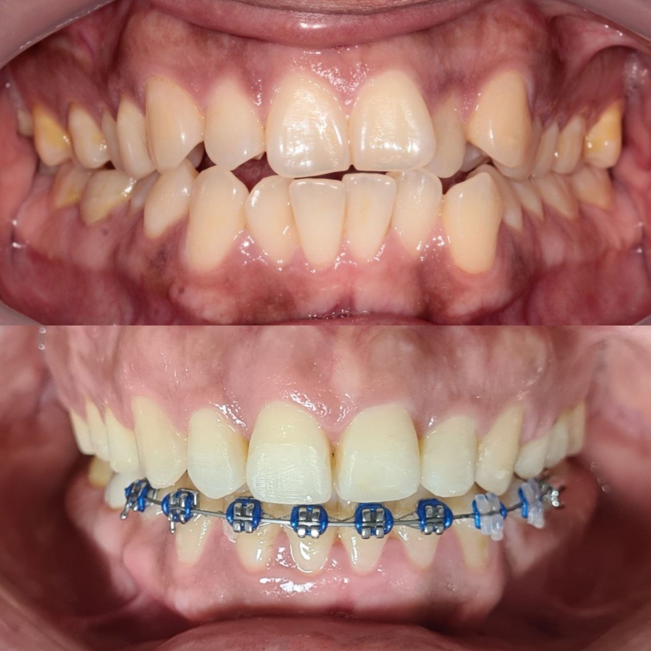
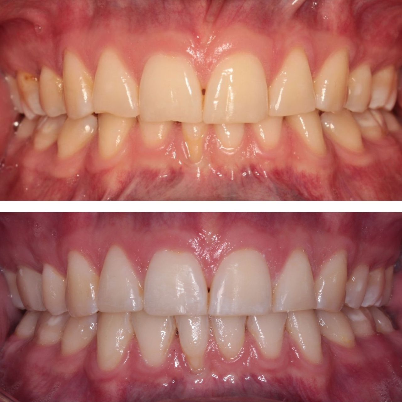
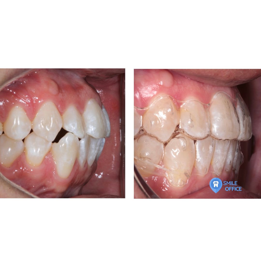
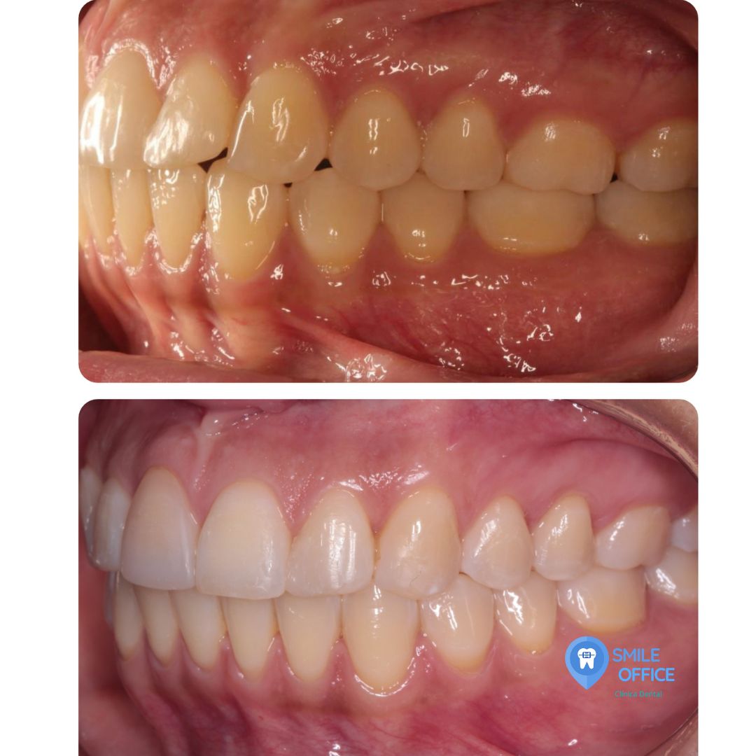
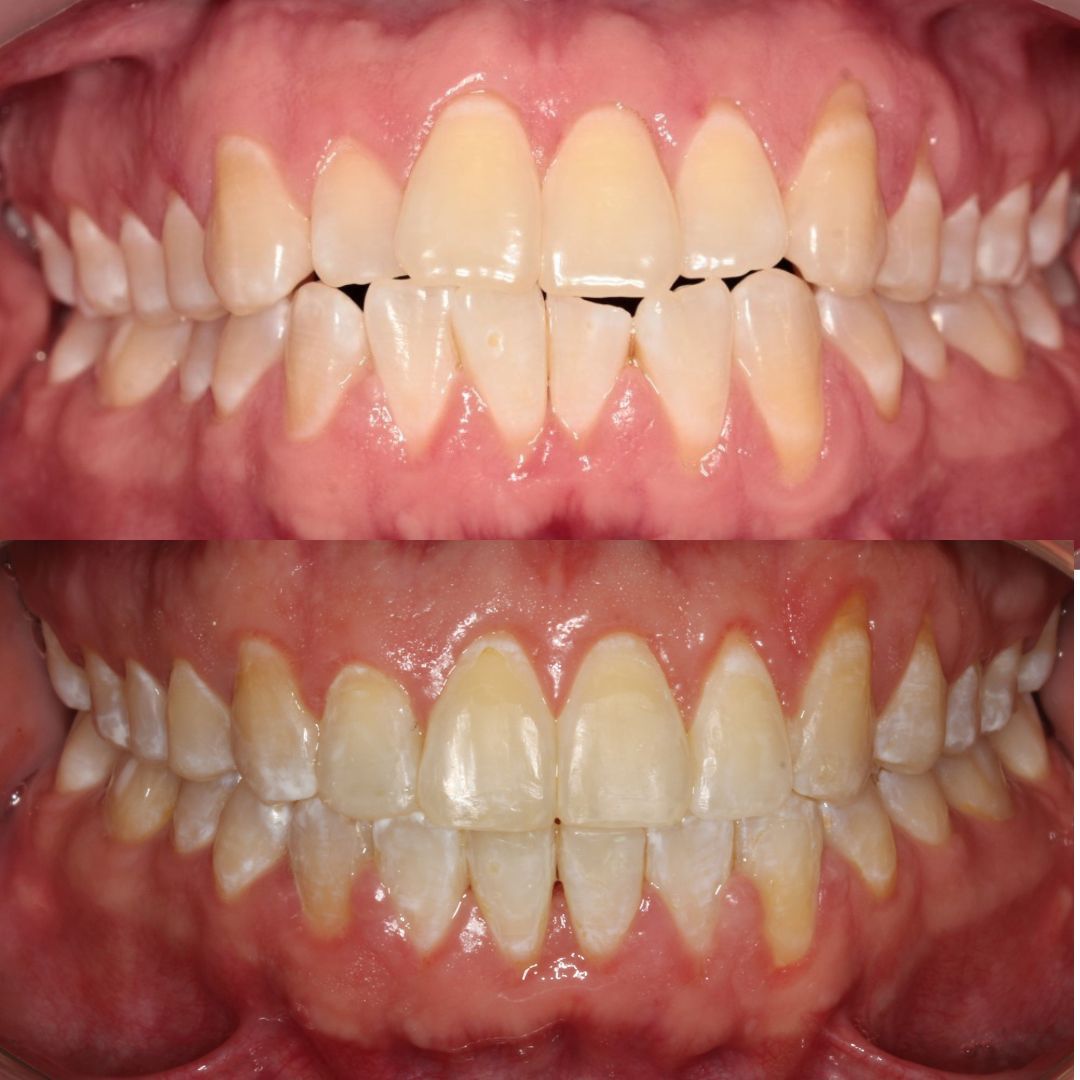
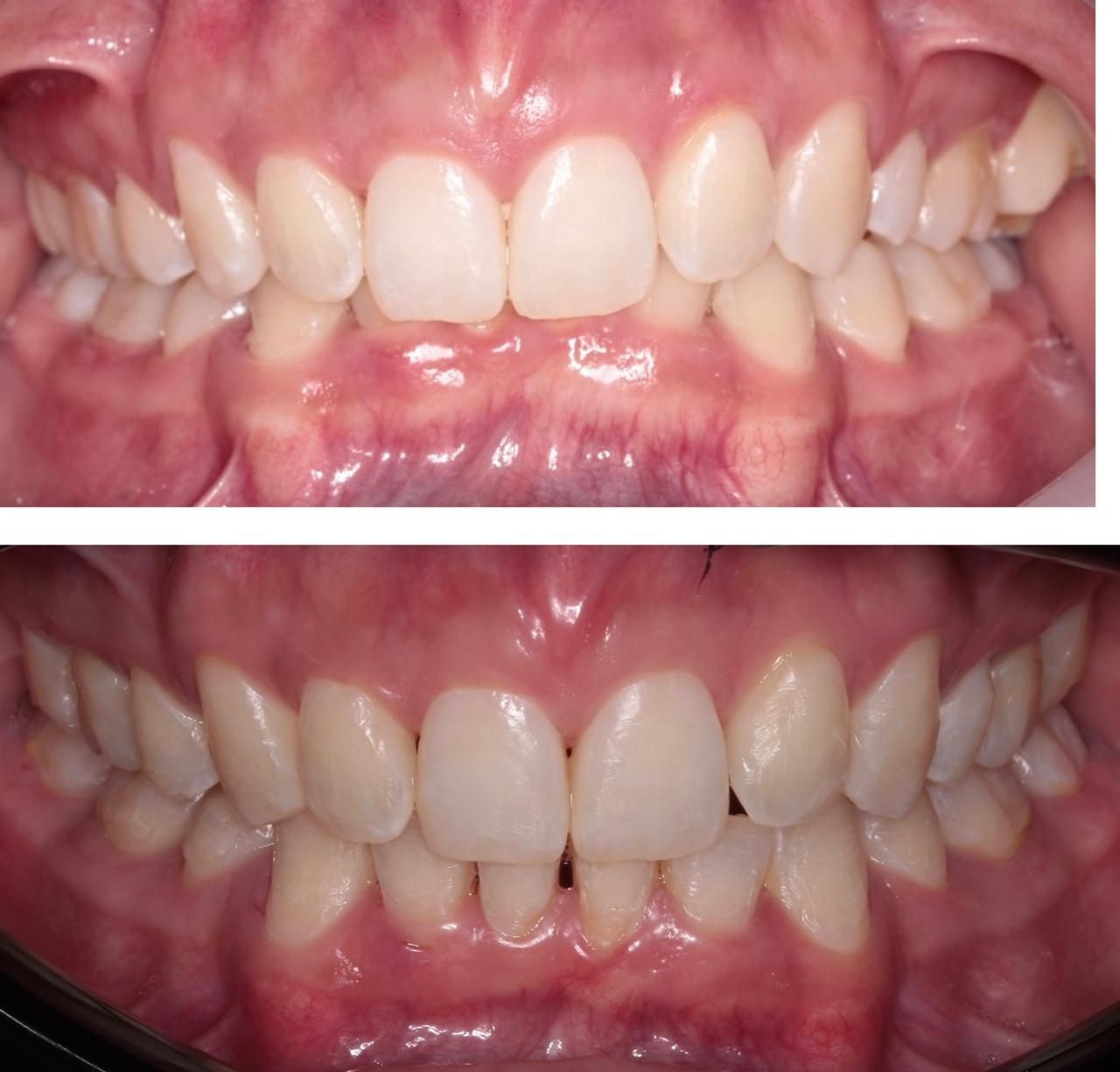
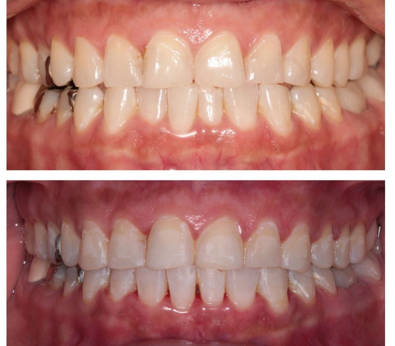
¡Hola! Soy ortodoncista y me especializo en ofrecer soluciones modernas y efectivas para transformar sonrisas de manera cómoda y eficiente. Mi enfoque incluye el uso de alineadores invisibles y brackets de autoligado, tecnologías avanzadas que aseguran resultados precisos y confortables para cada paciente.

Me comprometo a brindar una atención ética y profesional, siempre adaptando los tratamientos a las necesidades y objetivos únicos de cada persona. Mi prioridad es utilizar las técnicas más innovadoras para obtener resultados excepcionales, garantizando el bienestar y la satisfacción de quienes confían en mí.

Mi objetivo es lograr sonrisas saludables y estéticamente agradables, mejorando la calidad de vida de mis pacientes y ofreciéndoles una experiencia positiva a lo largo de su tratamiento.
ver más Sobre mí

Enfocado en:

  • Ortodoncia
  • Odontología estética

Pacientes que atiendo

Adultos
Niños

Tipos de consulta

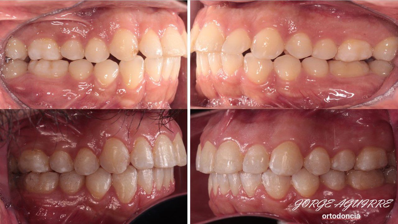
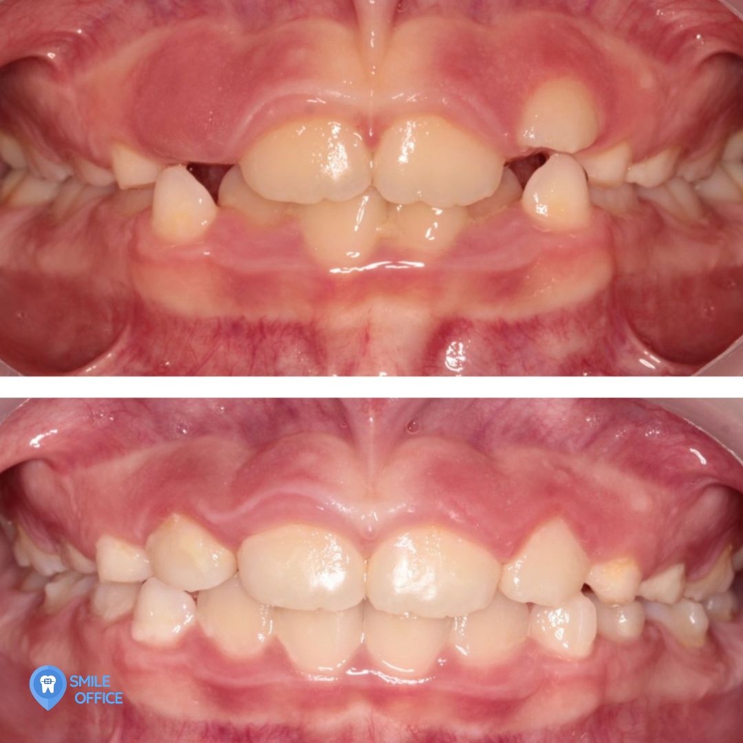
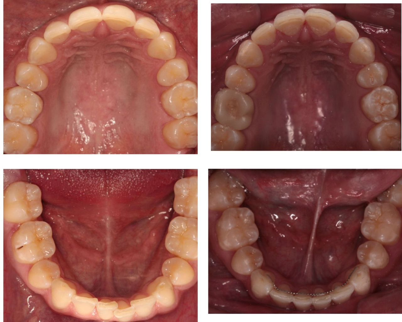
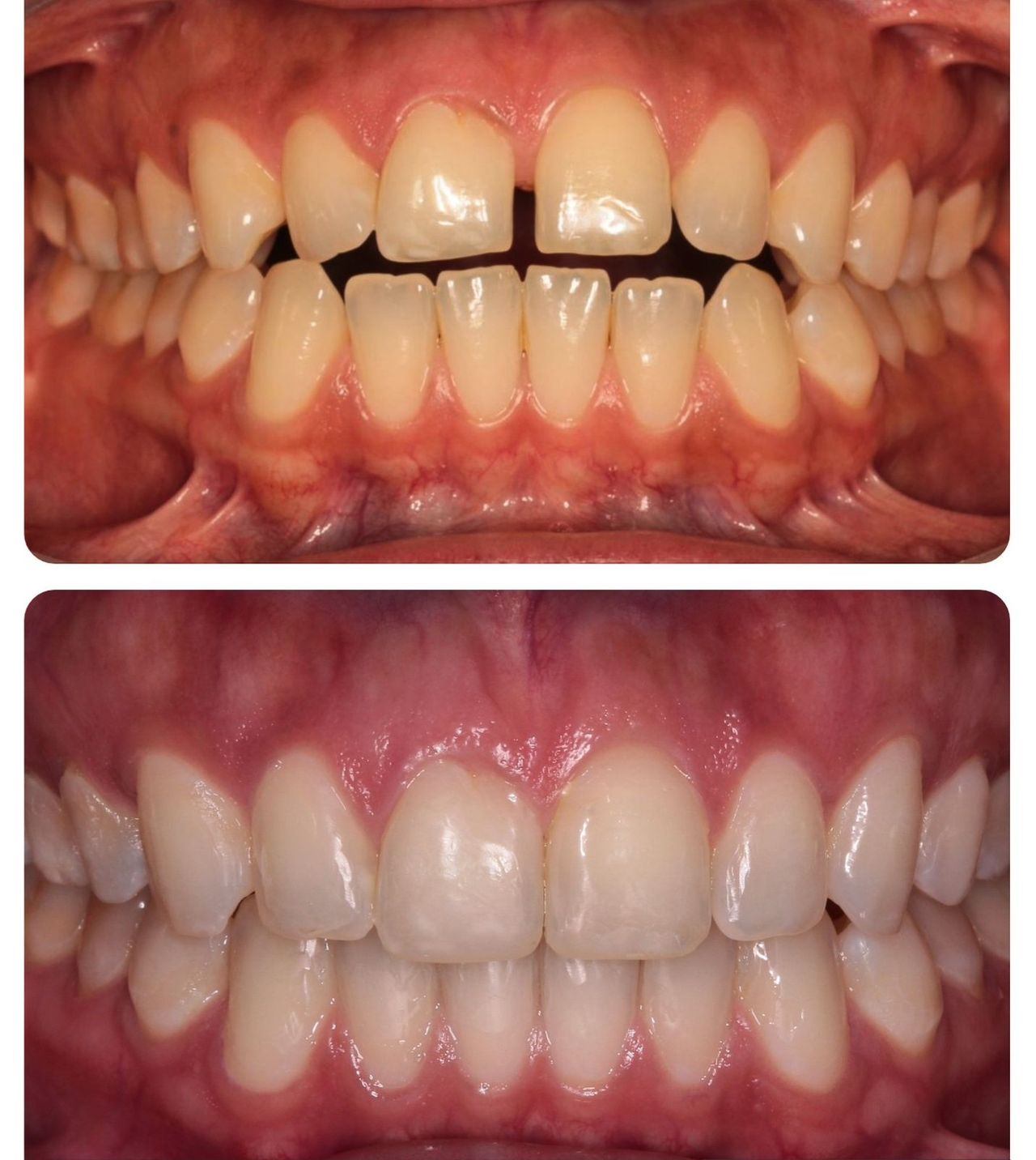
Fotos y videos

Servicios y precios

  • Primera visita Odontología

    $700

  • Visitas sucesivas Odontología

    $700

  • Resinas dentales

    Desde $900

  • Reconstrucción dental


  • Profilaxis (Limpieza Dental)

    $800

Consultorio

Ampliar se abre en una nueva pestaña
CDEO Jorge Aguirre

Matías Romero 425, Colonia Del Valle Centro, Benito Juárez 03100

Disponibilidad

Ampliar se abre en una nueva pestaña
Reserva por teléfono 24/7

No se aceptan aseguradoras

Este especialista sólo acepta pacientes privados. Puede pagar directamente la cita para reservar, o encontrar otro especialista que acepte su aseguradora.

67 opiniones

Todas las opiniones son importantes, por este motivo, los especialistas no pueden pagar para modificar o eliminar opiniones. Saber más. Más información sobre opiniones
  • E

    Una atención excelente, siempre muy profesional, estoy en un tratamiento de ortodoncia que va muy bien. Recomiendo ampliamente.

     • CDEO Jorge Aguirre Clearcorrect  • 

    Dr. Jorge Aguirre

    Muchas gracias por la confianza y recomendaciones ELV! Nos vemos pronto! :)



  • G

    El Dr. aplica un escáner dental para ver los dientes. Fui por una limpieza y estuvo bien. Gracias Doc.

     • CDEO Jorge Aguirre Visitas sucesivas Odontología  • 

    Dr. Jorge Aguirre

    Gracias por la confianza Geovanni! saludos y te veo pronto nuevamente


  • E

    Muy bien trato por parte del doctor, me atendió puntualmente.

     • CDEO Jorge Aguirre Alineadores invisibles dentales  • 

    Dr. Jorge Aguirre

    Muchas gracias por la reseña Erika! saludos


  • N

    Excelente atención y servicio, explicación clara y detallada

     • CDEO Jorge Aguirre Implante dental  • 

    Dr. Jorge Aguirre

    muchas gracias Netza! un gusto siempre


  • F

    ¡El mejor odontólogo en la del Valle! No duden en agendar cita.
    Me ha hecho limpiezas, resinas, incrustaciones y siempre un impecable trabajo.
    Te explica muy amablemente todo durante el proceso.

     • CDEO Jorge Aguirre Visitas sucesivas Odontología  • 

    Dr. Jorge Aguirre

    Muchas gracias por todas la recomendaciones Fer!! :D


  • O

    Muy agradable atención , cuenta con el apoyo tecnológico para una explicación detallada con imágenes !

     • CDEO Jorge Aguirre Primera visita Odontología  • 

    Dr. Jorge Aguirre

    Muchas gracias por la confianza Olivia! Nos vemos pronto! :)


  • A

    Voy en proceso con mi tratamiento de Invisalign y mi experiencia ha sido excelente. El Dr. Jorge es súper profesional, atento y siempre explica todo muy claro. Estoy muy contenta con el progreso y lo recomiendo mucho!

     • CDEO Jorge Aguirre Alineadores invisibles dentales  • 

    Dr. Jorge Aguirre

    Muchas gracias por la confianza Ara!!


  • C

    Me generó mucha confianza, se percibe su profesionalismo y experiencia para el tratamiento de alineadores, además, me detectó una posible mejora en la forma de mi sonrisa que ningún otro odontólogo había detectado y que me hizo muy feliz saber que se puede corregir.
    Comenzare el tratamiento de alineadores, me explicó con gran detalle todo lo que encontró con mis estudios para ofrecerme las posibles soluciones, me siento tranquila de saber que estoy en buenas manos. Súper recomendable.

     • CDEO Jorge Aguirre Alineadores invisibles dentales  • 

    Dr. Jorge Aguirre

    Muchas gracias por la confianza Clau! quedarás increible con tu tratamiento de ortodoncia


  • G

    Muy buen trabajo, mucho profesionalismo me gusto el trato, buenos aparatos

     • CDEO Jorge Aguirre Brackets autoligado  • 

    Dr. Jorge Aguirre

    Muchas gracias por la confianza !


  • J

    Considero que su propuesta de tratamiento está acorde con la edad de la paciente. El escaneo de los dientes que realiza permite ven con claridad el estado de la boca y el tratamiento adecuado. Gracias

     • CDEO Jorge Aguirre Primera visita Odontología  • 

    Dr. Jorge Aguirre

    Muchas gracias a ti y a tu mami por la confianza! Será un gusto seguirlas atendiendo


Se ha producido un error, inténtalo de nuevo.

Dudas solucionadas

19 dudas solucionadas a pacientes en Doctoralia

Duda sobre Dientes desalineados

Hola, hace unos días me pusieron brackets en los dientes de arriba y dijeron que después de 6 meses pondrían los de abajo, es normal ?

En algunas ocasiones primero colocamos ortodoncia en la arcada superior y despues en la inferior, seguramente tu especialista busca primero lograr algunos objetivos en el maxilar para posteriormente poder colocar los brackets en inferior,
Preguntale si tienes duda del por que...

Dr. Jorge Aguirre

Tengo una duda, me pusieron brackets hace 3 meses y en la última cita me pusieron cadenas de colmillos a muelas solamente pero ahora no puedo cerrar mis dientes frontales, ¿es normal?

Hola! estas en etapas tempranas del tratamiento de ortodoncia, puede ser que al alinearse los dientes se haya abierto un poco la mordida, deberas vigilar que esto mejore con el tiempo y que tu ortodoncista consiga todos los objetivos de tu tratamiento.
Si tienes dudas preguntale a tu doctor

Dr. Jorge Aguirre
Muestra todas las respuestas

Todos los contenidos publicados en Doctoralia, especialmente preguntas y respuestas, son de carácter informativo y en ningún caso deben considerarse un sustituto de un asesoramiento médico.