Especialista de confianza

Los pacientes vuelven a su consulta de forma recurrente

Experiencia

SOBRE MÍ

Odontólogo con más de 30 años de experiencia clínica, con enfoque en implantes dentales y rehabilitación oral en León, Guanajuato.

Trabajo con planificación tridimensional y cirugía guiada por computadora, lo que permite colocar implantes dentales con mayor precisión y realizar procedimientos mínimamente invasivos para el paciente.

En la Clínica Arte Odontológico realizamos desde odontología general hasta rehabilitaciones sobre implantes utilizando tecnología digital para el diagnóstico y la planificación de tratamientos, buscando resultados funcionales y duraderos.

Principales áreas de tratamiento

• Implantes dentales con planificación digital
• Rehabilitación oral sobre implantes
• Odontología general integral
• Atención a pacientes nerviosos

¿Por qué elegirme?

Más de 30 años de experiencia clínica, diagnóstico honesto y uso de tecnología digital que permite tratamientos más precisos, cómodos y seguros para el paciente.

Mi consulta

Atiendo en la Clínica Arte Odontológico en León, Guanajuato, una clínica con amplia trayectoria y en constante modernización tecnológica.

Trabajamos como clínica integral con especialistas en cirugía maxilofacial, endodoncia y ortodoncia para ofrecer tratamientos completos dentro del mismo centro.

Más sobre mí

También tengo experiencia en la atención de pacientes nerviosos o sensibles al tratamiento dental, procurando explicar cada paso y realizar procedimientos cómodos y seguros.

Priorizamos técnicas modernas de anestesia y control del dolor para que cada paciente tenga una experiencia dental tranquila y confiable.

ver más Sobre mí

Enfocado en:

  • Implantología
  • Periodoncia e implantología
  • Rehabilitación bucal
  • Prótesis bucal e implantología

Pacientes que atiendo

Adultos (Sólo en algunas direcciones)
Niños (Sólo en algunas direcciones)

Tipos de consulta

Videoconsulta

Fotos y videos

Destacados

Logo
Dr. José Luis Tapia Ibarra

Elisa 701, León 37420

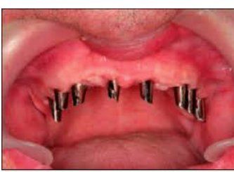
La implantología guiada permite colocar implantes dentales con apoyo de tecnología digital que planifica el procedimiento antes de realizarlo. Esto brinda mayor precisión y control, haciendo el tratamiento más predecible y, en muchos casos, menos invasivo.

Para pacientes nerviosos, esta técnica ofrece mayor tranquilidad, ya que reduce la improvisación y permite un manejo más cuidadoso durante todo el proceso. El objetivo es lograr un tratamiento cómodo, seguro y con resultados confiables.

27/02/2026

Servicios y precios

  • Primera visita Odontología

    Desde $300

  • Consulta periodontal


  • Tratamiento de Endodoncia / SEGUIMIENTO


  • Tratamiento de Endodoncia


  • Toma de impresiones dentales


Artículos

Protesis sobre implantes

Prótesis sobre implantes En la Clínica Arte Odontológico en León, Guanajuato, realizamos rehabilitación mediante prótesis sobre implantes dentales para reemplazar uno o varios dientes perdidos y recuperar función y estética. Las restauraciones pueden elaborarse en diferentes materiales como metal-porcelana o zirconia, según las necesidades de cada paciente. También realizamos rehabilitaciones completas tipo Full Arch, donde una prótesis total se soporta sobre cuatro a ocho implantes dentales, permitiendo recuperar estabilidad, masticación y apariencia natural.


Pérdida de dientes

Prótesis dental y rehabilitación oral En la Clínica Arte Odontológico en León, Guanajuato, realizamos tratamientos de prótesis dental y rehabilitación oral para reemplazar dientes perdidos y recuperar función y estética. Existen diferentes opciones de tratamiento y cada una se explica al paciente para elegir la más adecuada. Algunas restauraciones se elaboran con técnicas tradicionales de laboratorio dental y otras con tecnología digital CAD-CAM, que permite mayor precisión y mejor ajuste. Nuestro objetivo es ofrecer prótesis dentales duraderas que mejoren la masticación y la salud bucal.


Diente impactado

**Cirugía maxilofacial en León, Guanajuato** En la Clínica Arte Odontológico atendemos casos que requieren cirugía maxilofacial, como dientes impactados o retenidos y otros procedimientos quirúrgicos dentales. Estos tratamientos son realizados por cirujanos maxilofaciales especialistas que colaboran con nuestra clínica. El objetivo es resolver casos complejos de forma segura, utilizando técnicas modernas para reducir molestias y favorecer una recuperación cómoda para el paciente, con diagnóstico y seguimiento dentro de nuestra clínica en León, Guanajuato.


Consulta de Valoración para tratamiento de Ortodoncia

**Ortodoncia en León, Guanajuato** En la Clínica Arte Odontológico ofrecemos tratamientos de ortodoncia para corregir la posición de los dientes y mejorar la función y estética de la sonrisa. Trabajamos con ortodoncistas especialistas y utilizamos técnicas modernas como el sistema Damon, reconocido por permitir movimientos dentales más eficientes y resultados más predecibles. Este enfoque permite realizar tratamientos de ortodoncia con mayor control, comodidad y resultados duraderos para el paciente, siempre con diagnóstico y seguimiento dentro de nuestra clínica en León, Guanajuato.


Tratamiento de Endodoncia

**Endodoncia en León, Guanajuato** En la Clínica Arte Odontológico realizamos tratamientos de endodoncia para conservar dientes que presentan infección o daño en el nervio dental. Utilizamos técnicas modernas que permiten realizar el procedimiento de forma precisa y cómoda para el paciente. En casos complejos o que requieren manejo altamente especializado, trabajamos en colaboración con endodoncistas especialistas, lo que permite ofrecer un tratamiento adecuado y seguro según las necesidades de cada caso.


Primera visita Odontología

Primera visita odontológica En la Clínica Arte Odontológico en León, Guanajuato, la primera consulta consiste en una valoración completa de la salud dental del paciente. Se realiza revisión clínica, diagnóstico y explicación clara de las opciones de tratamiento. Contamos con más de 30 años de experiencia y utilizamos tecnología digital para obtener diagnósticos más precisos y planificar tratamientos como odontología general, rehabilitación oral e implantes dentales. Nuestro objetivo es orientar al paciente y proponer soluciones seguras para mejorar su salud, función y estética dental.

Ver todos los artículos

Consultorios (3)

Ampliar se abre en una nueva pestaña
Dr. José Luis Tapia Ibarra

Elisa 701, Loma Bonita, León 37420

Disponibilidad

Ampliar se abre en una nueva pestaña
Reserva por teléfono 24/7
Ampliar se abre en una nueva pestaña
Operatorio 2

Elisa 701, Loma Bonita, León 37420

Disponibilidad

Ampliar se abre en una nueva pestaña
Reserva por teléfono 24/7

Disponibilidad

Reserva por teléfono 24/7

No se aceptan aseguradoras

Este especialista sólo acepta pacientes privados. Puede pagar directamente la cita para reservar, o encontrar otro especialista que acepte su aseguradora.

137 opiniones

Todas las opiniones son importantes, por este motivo, los especialistas no pueden pagar para modificar o eliminar opiniones. Saber más. Más información sobre opiniones

Destacadas

  • C

    Excelente el tratamiento y la atención, no te queda dolor de nada. Un gran profesionalismo y trato, te explican todo el procedimiento. 100% recomendado

     • Dr. José Luis Tapia Ibarra Extracción de otras piezas dentarias  • 

    Dr. José Luis Tapia Ibarra

    Muchas gracias por su recomendación!!


  • J

    Excelente atención médica, además ofrece tratamientos indoloros y tratamientos especiales para personas con problemas de salud ( nerviosas o de presión alta).
    Consultorio higiénico e instalaciones modernas, una recomendación muy amplia de mi parte.

     • Operatorio 2  • 

  • L

    Excelente Atención, puntualidad única, minuciosa revision, acertado diagnóstico, tratamiento inigualable, trato excepcional, instalaciónes y aparatos ultramodernos, adecuado el costo del tratamiento, me encanta su eficiencia.

     • Operatorio 2  • 

  • E

    Muy buena experiencia. El consultorio es limpio, el personal es amable y el dentista explica muy bien cada procedimiento.

     • Dr. José Luis Tapia Ibarra Profilaxis (Limpieza Dental)  • 

  • M

    Estoy muy agradecida por el trato y el nivel de compromiso que el Dr. durante la consulta y espero con optimismo un tratamiento de su parte.

     • Dr. José Luis Tapia Ibarra Primera visita Odontología  • 

  • P

    Rápidamente atendió los problemas subyacentes y la problemática principal, sin duda muy profesional y eficaz

     • Operatorio 2 Tratamiento de Endodoncia  • 

  • H

    Muy buena experiencia con implantes dentales en León el Dr Tapia explica todo el procedimiento y utiliza tecnología sin bisturí el resultado quedó muy natural y funcional

     • Dr. José Luis Tapia Ibarra Implante fase quirúrgica  • 

  • P

    Muy profesional y consciente. Equipamiento moderno y funcional.
    Amables y atentos.

     • Dr. José Luis Tapia Ibarra Consulta subsecuente  • 

  • P

    Excelente atención, es un doctor muy preparado y honesto, te da las mejores alternativas para tu tratamiento y con excelente precio

     • Dr. José Luis Tapia Ibarra Consulta de Valoración para tratamiento de Ortodoncia  • 

  • J

    Es un Gran doctor, excelente explicación y atención

     • Dr. José Luis Tapia Ibarra Primera visita Odontología  • 

    Dr. José Luis Tapia Ibarra

    Muchas Gracias por tus comentarios!!!!!


Se ha producido un error, inténtalo de nuevo.

Dudas solucionadas

2 dudas solucionadas a pacientes en Doctoralia

Duda sobre Dolor de muelas

Hola buenas tardes mi nombre el martes fui al dentista pk traía mucho dolor en la muela esta fracturada ya solo traigo un pedazo pero ya es jueves. Y el dolor no cede y se me inflama más la mejilla me dieron dicloxacilina y paracetamos y 2 i yeccionesdebenzatinabencilpenicilins de 1200 pero no siento nada de cambio el dolor no se me quita que hago. Oye de vuelta con el de tinta

saludos es importante acudir nuevamente con su doctor para que le de seguimiento a su problema dental

Dr. José  Luis Tapia Ibarra

Duda sobre Dolor de muelas

Me sacaron un diente del paladar, tengo el paladar inflamado y por partes chiquitas un color medio verde. Es normal?

buen dia lo inflamado es normal pero por el color verde si seria necesario acuda a revision con su dentista

Dr. José  Luis Tapia Ibarra

Todos los contenidos publicados en Doctoralia, especialmente preguntas y respuestas, son de carácter informativo y en ningún caso deben considerarse un sustituto de un asesoramiento médico.