Dra. Iris Ocampo Fonseca

Dentista - Odontóloga · Ver más sobre las especializaciones

Ciudad de México 1 dirección

No. de cédula: 4224650 4964015

63 opiniones
Tiempo de respuesta aproximado:

Experiencia

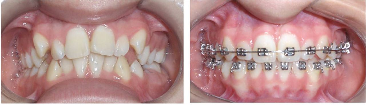
Dra. Iris Ocampo | Especialista en Ortodoncia, Estética & ATM

Como especialista egresada del Hospital Gral. ‘Dr. Manuel Gea González’ (UNAM), veo tu sonrisa como un todo. Mi formación hospitalaria me permite resolver desde alineaciones sencillas hasta casos complejos de Cirugía Ortognática y Labio/Paladar Hendido, integrando siempre estética y función facial.

Desde 2006 dirijo mi práctica clínica privada de forma personalizada. Cuento con amplia trayectoria atendiendo a pacientes de Estados Unidos bajo los estándares internacionales de sus aseguradoras dentales americanas. 

Mi consulta es ideal para quienes buscan eficiencia y profesionalismo en zonas como: Reforma, Juárez, Condesa, Tabacalera y Roma Norte.

Lo que me diferencia:

Micro-estética Final:

Al terminar tu ortodoncia, perfecciono los bordes de tus dientes con resina o carillas para corregir desgastes y entregarte una sonrisa rejuvenecida y reestructurada. 

Tecnología y Variedad: Alineadores transparentes (Invisalign o Spark), brackets autoligado y brackets estéticos.

Tratamiento de Bruxismo y ATM: Soluciones al desgaste dental y tensión mandibular.

Ortopedia Maxilar: Enfoque preventivo y guía de crecimiento para los más pequeños.

Recibe un diagnóstico detallado, un plan de tratamiento claro y un presupuesto con alternativas. 

Además de un seguimiento de estabilidad en el resultado a largo plazo. 

Ten la confianza de preguntar todas tus dudas; recibirás el trato humano, paciente y con la experiencia profesional que todos buscamos al ir al dentista. 

ver más Sobre mí

Enfocado en:

  • Ortodoncia
  • Atm y oclusión
  • Ortopedia maxilofacial
  • Ortopedia dentofacil

Pacientes que atiendo

Adultos (Sólo en algunas direcciones)
Niños (Sólo en algunas direcciones)

Tipos de consulta

Videoconsulta

Fotos y videos

Servicios y precios

  • Primera visita Odontología


  • Consulta en línea

    $1,000

  • Mensualidad ortodoncia convencional


  • Mensualidad ortodoncia convencional estéticos


  • Ortodoncia autoligado


Consultorios (2)

Ampliar se abre en una nueva pestaña
Consultorio privado

Mérida 170, Consultorio 26 , planta baja., Roma Norte, Ciudad de México 06700

Disponibilidad

Pago en línea

Aceptado

Número de teléfono

55 1366...
55 8884...
Ampliar se abre en una nueva pestaña

Disponibilidad

Este especialista no ofrece reserva online en esta dirección

Pago en línea

Aceptado

Número de teléfono

55 1366...

No se aceptan aseguradoras

Este especialista sólo acepta pacientes privados. Puede pagar directamente la cita para reservar, o encontrar otro especialista que acepte su aseguradora.

63 opiniones

Lo más mencionado por los pacientes

  • Explicaciones detalladas
  • Dedicación durante la visita
  • Eficacia del tratamiento
Todas las opiniones son importantes, por este motivo, los especialistas no pueden pagar para modificar o eliminar opiniones. Saber más. Más información sobre opiniones
  • J

    Un excelente servicio y profecionalismo muy recomendable

     • Ciudad de México, Roma Norte, en línea Consulta Valoración  • 

    Dra. Iris Ocampo Fonseca

    Agradezco mucho sus palabras. Me da gusto saber que la orientación brindada le fue de utilidad. Mi compromiso es siempre ofrecer una visión experta para ayudar a resolver sus dudas. ¡Excelente día!


  • J

    Excelente atención . Todo muy bien y muy puntual.

     • Consultorio privado Primera visita Odontología  • 

    Dra. Iris Ocampo Fonseca

    ¡Muchas gracias! Me alegra que la información le fuera útil. Mi compromiso es brindarle siempre una opinión experta para resolver sus dudas. ¡Excelente día!


  • J

    Estoy muy satisfecha con mi tratamiento. Mi caso era complicado, ya que tenía mordida cruzada y ausencia de dientes superiores, lo que en otros casos puede requerir cirugía. Sin embargo, gracias a su experiencia y manejo, logró descruzar mi mordida y mejorar mi sonrisa de forma muy notable. Siempre mostró profesionalismo, paciencia y claridad para explicar cada etapa. Sin duda la recomiendo

     • Consultorio privado Ajuste de ortodoncia  • 

    Dra. Iris Ocampo Fonseca

    Muchas gracias, Jazmín por tu opinión. Fue todo un gusto atenderte, tu siempre tan cumplida. Te deseo lo mejor!
    Continuamos seguimiento de estabilidad a tu tratamiento de Ortodoncia


  • A

    La doctora me realizó ortodoncia invisible y blanqueamiento, siempre dio prioridad a la salud de mis dientes, más allá del aspecto estético, el cual también fue muy bueno.

    Se ve que cuida mucho la higiene de sus instalaciones y del material con el que trabaja, lo cual me dio mucha confianza.
    La ubicación es muy accesible para llegar desde Reforma.
    La recimiendo por su honestidad , profesionalismo y excelentes resultados

     • Consultorio privado Alineadores invisibles dentales  • 

    Dra. Iris Ocampo Fonseca

    Muchas gracias por tu comentario Arlén, un gusto atenderte. La ortodoncia con los alineadores invisibles y tu cooperación constante dieron resultados excelentes. Te esperamos para finalizar con los detalles micro-esteticos de resina. Gracias!


  • F

    La atención y detalle en cada parte del proceso, evaluación de mis encías, dientes, y explicación del tratamiento que debía realizarse fue muy buena.

     • Consultorio privado  • 

    Dra. Iris Ocampo Fonseca

    Gracias por tu opinión y tu tiempo, Denys!

    Trabajar contigo en tu tratamiento de Ortodoncia en Cdmx fue un gusto. Como ortodoncista me motiva terminar los casos satisfactoriamente. Saludos!


  • E

    Cita a las 5 pm y no aparecio, espere junto con mi hermana, llegue a tiempo

     • Consultorio privado Primera visita Odontología  • 

    Dra. Iris Ocampo Fonseca

    Es una pena. Seguramente fue algún error en mi aplicación y no recibí a tiempo su confirmación. Para corregir este error puedo ofrecerle una cita de valoración sin costo.


  • A

    Tuve mi tratamiento de ortodoncia con ella, excelentes resultados. Mordida profunda y apiñamiento. logro corregirla en muy buen tiempo y sigo usando mis retenedores, la mejor!

     • Consultorio privado Brackets de Autoligado  • 

    Dra. Iris Ocampo Fonseca

    Muchas gracias, Aylema!

    Buena paciente siempre. Gracias por tomarte el tiempo de escribir tu experiencia
    Saludos!


  • A

    La Dra Iris es muy profesional, su oficina muy limpia , organizada y muy puntual al atendernos, siempre al pendiente en cualquier molestia después de algún procedimiento y siempre nos explica el avance y pasos siguientes en el tratamiento de mi hija, recomendada al 100 , muy contento con el servicio que nos brinda a mi y a mi hija

     • otro lugar Otro  • 

    Dra. Iris Ocampo Fonseca

    Muchas gracias por dedicar el tiempo y su opinión en esta plataforma. Me ha gustado mucho atender a su hija adolescente y a usted , su papá, con su tratamiento de ortodoncia para adultos. Gracias por compartir su experiencia para que más personas sepan del servicio de Ortodoncia que ofrecemos. Saludos!


  • E

    Muy buena Dra. Desde la primera consulta, fue muy profesional, amable y clara al explicar todo el proceso de ortodoncia. Me sentí muy cómodo y seguro con su atención. Su dedicación y atención a los detalles marcaron una gran diferencia en mi tratamiento.

    Además, su consultorio siempre está impecable, algo que en lo personal también cuenta mucho.

     • otro lugar Otro  • 

    Dra. Iris Ocampo Fonseca

    Gracias por tu opinión y dedicar parte de tu tiempo en esta plataforma. Es un gusto darle seguimiento antes y después a tu tratamiento de ortodoncia , con un diagnóstico desde el inicio y plan de tratamiento a seguir hasta el final.
    Saludos , un excelente paciente siempre !


  • L

    Revisión exhaustiva , consejos inmediatos para la recuperación

     • Consultorio privado Primera visita Odontología  • 

    Dra. Iris Ocampo Fonseca

    Muchas gracias por dedicar tiempo a la reseña en esta plataforma.


Se ha producido un error, inténtalo de nuevo.

Dudas solucionadas

21 dudas solucionadas a pacientes en Doctoralia

Duda sobre Dientes desalineados

Por favor si puedes ayudarme con disipar mis dudas. Mi hijo esta proximo a cumplir los 18 años, tiene deficit de habla y respiración bucal. El ortodoncista ha recomendado colocarle Hyrat, para ello porque tiene las muelas pequeñas para asegurar el anclaje ha recomendado que se le haga incisiones en las encias, ademas de colocarle bracket inferiores. Mucho le agradeceré me puedan aconsejar sobre este procedimiento a fin de que tome la decision final.

Hola!

Su hijo tiene 18 años de edad, hueso de adulto con poca respuesta a la expansión sin anclaje. Es posible que el paladar esté demasiado pequeño y se necesita expansión altamente efectiva. En muchos casos de pacientes adultos con necesidad de expansión amplia es más efectivo colocar anclaje en el hueso para que el resultado sea de expansión verdadera desde la sutura media del paladar de su hijo y no solo expansión alveolar (de los dientes ). Eso ayuda a mejorar respiración y oclusión dental

Dra. Iris Ocampo Fonseca

Llevo un años y medio con tratamiento de ortodoncia invisible. Es normal que sienta que me truenan los dientes cuando muevo mis labios o tomo agua? Como que hacen una especie de click por dentro de la encía.

Hola!
Tal vez sea el contacto del alineador con sus dientes. Normalmente debería estar fijo sin ningún “juego” en ese contacto pero el ruido que comenta puede ser porque no esté ajustando perfectamente el alineador con sus dientes. O si es un pequeño movimiento en boca usted puede sentirlo como algo grande.

Dra. Iris Ocampo Fonseca
Muestra todas las respuestas

Todos los contenidos publicados en Doctoralia, especialmente preguntas y respuestas, son de carácter informativo y en ningún caso deben considerarse un sustituto de un asesoramiento médico.