Mi objetivo es garantizar el diagnostico de los pacientes con alguna afección renal, así como el acompañamiento del paciente en el proceso salud-enfermedad. Me especializan en biopsias renales y padecimientos glomerulares como nefropatía lupica, nefropatia membranosa, etc. Ademas del manejo y prevención de litiasis renal, infección de vas urinarias.
Mi objetivo es garantizar el diagnostico de los pacientes con alguna afección renal, así como el acompañamiento del paciente en el proceso salud-enfermedad. Me especializan en biopsias renales y padecimientos glomerulares como nefropatía lupica, nefropatia membranosa, etc. Ademas del manejo y prevención de litiasis renal, infección de vas urinarias.
Premio tercer lugar en concurso de casos clínico sobre COVID-19
Dra. Fabiola Pazos Pérez
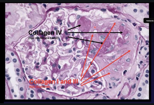
La biopsia renal una herramienta indispensable para el diagnóstico de muchas enfermedades glomerulares. La realización del procedimiento por un experto, así como las correctas tinciones e interpretación de un nefropatologo son indispensables para un adecuada tratamiento. No te dejes engañar, platica con nosotros!
La biopsia renal una herramienta indispensable para el diagnóstico de muchas enfermedades glomerulares. La realización del procedimiento por un experto, así como las correctas tinciones e interpretación de un nefropatologo son indispensables para un adecuada tratamiento. No te dejes engañar, platica con nosotros!
29/08/2025
Dra. Fabiola Pazos Pérez
Auriga 8, El Prado, Ciudad de México, CDMX, Iztapalapa 09480
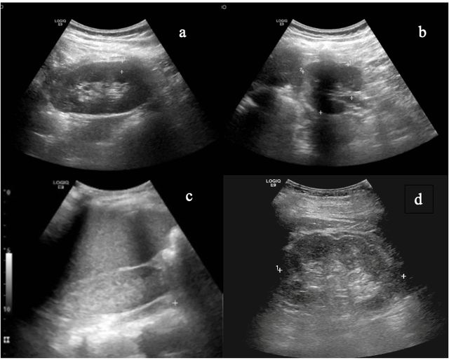
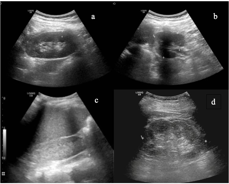
La realización del Ultrasonido renal en la consulta, permite realizar una aproximación diagnóstica mas adecuada en el momento de la consulta
Pregunta por la promoción de consulta mas ultrasonido
29/08/2025
Dra. Fabiola Pazos Pérez
Calle Agrarismo 207, 11800
Evaluación y realización de biopsia renal percutan
02/01/2024
Servicios y precios
Primera visita Nefrología
Desde $1,000
Visitas sucesivas Nefrología
Desde $1,000
Consulta en línea
Desde $800
Visita Nefrología
Desde $1,500
Biopsia renal percutánea
Desde $15,000
Consulta subsecuente Nefrología
$1,000
Implantación de catéter
Desde $18,000
Ultrasonido urológico
Desde $400
Valoración prequirúrgica
Desde $1,000
Los centros o especialistas son responsables de los precios y la información relacionada con ellos. Doctoralia no influye en los precios y no es responsable de establecerlos.
Los precios son para pacientes sin aseguradora
Al menos 30 minutos antes de la visita, recibirás un SMS y un email con el enlace para iniciar la consulta online. Podrás acceder directamente desde tu móvil o tu ordenador.
Cómo prepararse para la consulta en línea
Prepárate 10 minutos antes de la consulta y comprueba que tu celular o computadora tengan la batería cargada.
Para una videollamada asegúrate que todo funciona: conexión a Internet, cámara y micrófono.
También puedes preparar la documentación médica (como algún test o resultado) que necesites enseñar durante la consulta.
El pago de la consulta va directamente a tu especialista, que se encarga de determinar también la política de reembolso y cancelación.
Si tienes algún problema con el pago contacta con tu especialista, por favor.
Recuerda: Doctoralia no te agregará ningún importe adicional por tu consulta, ya que tu pago se ingresará directamente en la cuenta de tu especialista.
Este especialista sólo acepta pacientes privados. Puede pagar directamente la cita para reservar, o encontrar otro especialista que acepte su aseguradora.
Todas las opiniones son importantes, por este motivo, los especialistas no pueden pagar para modificar o eliminar opiniones.
Saber más.Más información sobre opiniones
A
Av
Tipos de verificación
Verificamos la autenticidad de todas las opiniones para asegurar que todas proceden de pacientes que se han visitado con el especialista/clínica. Por ello, hemos introducido 3 niveles extra de verificación, además de los que ya teníamos:
Número de teléfono verificado
Pacientes que verificaron su número de teléfono a través de un código enviado por SMS.
Cita verificada
Pacientes que reservaron su cita con este/a especialista y confirmaron su número de teléfono a través de un código enviado por SMS.
Pago y cita verificados
Pacientes que reservaron su cita y realizaron el pago a través de Doctoralia. El número de teléfono del paciente se verificó con un código enviado por SMS. La credibilidad de esta opinión es muy alta.
Me gustaría que pudiera dar consultas x las mañanas
Verificamos la autenticidad de todas las opiniones para asegurar que todas proceden de pacientes que se han visitado con el especialista/clínica. Por ello, hemos introducido 3 niveles extra de verificación, además de los que ya teníamos:
Número de teléfono verificado
Pacientes que verificaron su número de teléfono a través de un código enviado por SMS.
Cita verificada
Pacientes que reservaron su cita con este/a especialista y confirmaron su número de teléfono a través de un código enviado por SMS.
Pago y cita verificados
Pacientes que reservaron su cita y realizaron el pago a través de Doctoralia. El número de teléfono del paciente se verificó con un código enviado por SMS. La credibilidad de esta opinión es muy alta.
Excelente dra, todo muy bien expilicsdo puntual en la cita
•
Consulta privada • Primera visita Nefrología
•
V
VIRIDIANA
Tipos de verificación
Verificamos la autenticidad de todas las opiniones para asegurar que todas proceden de pacientes que se han visitado con el especialista/clínica. Por ello, hemos introducido 3 niveles extra de verificación, además de los que ya teníamos:
Número de teléfono verificado
Pacientes que verificaron su número de teléfono a través de un código enviado por SMS.
Cita verificada
Pacientes que reservaron su cita con este/a especialista y confirmaron su número de teléfono a través de un código enviado por SMS.
Pago y cita verificados
Pacientes que reservaron su cita y realizaron el pago a través de Doctoralia. El número de teléfono del paciente se verificó con un código enviado por SMS. La credibilidad de esta opinión es muy alta.
Excelente doctora.. reviso mis antecedentes y m explico claramente
•
HOSPITAL ANGELES MEXICO • Primera visita Nefrología
•
H
Hylda Trigos
Tipos de verificación
Verificamos la autenticidad de todas las opiniones para asegurar que todas proceden de pacientes que se han visitado con el especialista/clínica. Por ello, hemos introducido 3 niveles extra de verificación, además de los que ya teníamos:
Número de teléfono verificado
Pacientes que verificaron su número de teléfono a través de un código enviado por SMS.
Cita verificada
Pacientes que reservaron su cita con este/a especialista y confirmaron su número de teléfono a través de un código enviado por SMS.
Pago y cita verificados
Pacientes que reservaron su cita y realizaron el pago a través de Doctoralia. El número de teléfono del paciente se verificó con un código enviado por SMS. La credibilidad de esta opinión es muy alta.
Excelente suficiente información muy clara gracias por todo
•
Consulta privada • Primera visita Nefrología
•
F
Flavio H
Tipos de verificación
Verificamos la autenticidad de todas las opiniones para asegurar que todas proceden de pacientes que se han visitado con el especialista/clínica. Por ello, hemos introducido 3 niveles extra de verificación, además de los que ya teníamos:
Número de teléfono verificado
Pacientes que verificaron su número de teléfono a través de un código enviado por SMS.
Cita verificada
Pacientes que reservaron su cita con este/a especialista y confirmaron su número de teléfono a través de un código enviado por SMS.
Pago y cita verificados
Pacientes que reservaron su cita y realizaron el pago a través de Doctoralia. El número de teléfono del paciente se verificó con un código enviado por SMS. La credibilidad de esta opinión es muy alta.
Excelente doctora con profesionalismo , amabilidad, y buena atención, explicación clara y detallada del diagnóstico, La recomiendo ampliamente.
•
Consulta privada • Primera visita Nefrología
•
Dra. Fabiola Pazos Pérez
Un placer atenderle y poderle resolver sus dudas
G
Guillermo Alvarado
Tipos de verificación
Verificamos la autenticidad de todas las opiniones para asegurar que todas proceden de pacientes que se han visitado con el especialista/clínica. Por ello, hemos introducido 3 niveles extra de verificación, además de los que ya teníamos:
Número de teléfono verificado
Pacientes que verificaron su número de teléfono a través de un código enviado por SMS.
Cita verificada
Pacientes que reservaron su cita con este/a especialista y confirmaron su número de teléfono a través de un código enviado por SMS.
Pago y cita verificados
Pacientes que reservaron su cita y realizaron el pago a través de Doctoralia. El número de teléfono del paciente se verificó con un código enviado por SMS. La credibilidad de esta opinión es muy alta.
La Doctora pone mucho atención a tus síntomas. Te revisa a detalle, te interroga para conocer más a profundidad. Si llevas análisis clínicos también los revisa con detenimiento y, a partir de ahí, establece su diagnóstico sobre tu salud renal. Es muy objetiva en sus análisis y explica con detalle tu diagnóstico, qué estudios realizar y tratamiento. Muy recomendable.
•
Consulta privada • Primera visita Nefrología
•
Dra. Fabiola Pazos Pérez
Fue un gusto atenderle y poderle haber ayudado con sus dudas.
S
S.P
Tipos de verificación
Verificamos la autenticidad de todas las opiniones para asegurar que todas proceden de pacientes que se han visitado con el especialista/clínica. Por ello, hemos introducido 3 niveles extra de verificación, además de los que ya teníamos:
Número de teléfono verificado
Pacientes que verificaron su número de teléfono a través de un código enviado por SMS.
Cita verificada
Pacientes que reservaron su cita con este/a especialista y confirmaron su número de teléfono a través de un código enviado por SMS.
Pago y cita verificados
Pacientes que reservaron su cita y realizaron el pago a través de Doctoralia. El número de teléfono del paciente se verificó con un código enviado por SMS. La credibilidad de esta opinión es muy alta.
Me gustó el trato, la explicación de la enfermedad y el tratamiento a seguir. Muy amable!! Muy profesional
•
Consulta privada • Primera visita Nefrología
•
C
CM
Tipos de verificación
Verificamos la autenticidad de todas las opiniones para asegurar que todas proceden de pacientes que se han visitado con el especialista/clínica. Por ello, hemos introducido 3 niveles extra de verificación, además de los que ya teníamos:
Número de teléfono verificado
Pacientes que verificaron su número de teléfono a través de un código enviado por SMS.
Cita verificada
Pacientes que reservaron su cita con este/a especialista y confirmaron su número de teléfono a través de un código enviado por SMS.
Pago y cita verificados
Pacientes que reservaron su cita y realizaron el pago a través de Doctoralia. El número de teléfono del paciente se verificó con un código enviado por SMS. La credibilidad de esta opinión es muy alta.
Agradezco su atención!! además de una explicación muy detallada
•
Consulta privada • Primera visita Nefrología
•
R
RC
Tipos de verificación
Verificamos la autenticidad de todas las opiniones para asegurar que todas proceden de pacientes que se han visitado con el especialista/clínica. Por ello, hemos introducido 3 niveles extra de verificación, además de los que ya teníamos:
Número de teléfono verificado
Pacientes que verificaron su número de teléfono a través de un código enviado por SMS.
Cita verificada
Pacientes que reservaron su cita con este/a especialista y confirmaron su número de teléfono a través de un código enviado por SMS.
Pago y cita verificados
Pacientes que reservaron su cita y realizaron el pago a través de Doctoralia. El número de teléfono del paciente se verificó con un código enviado por SMS. La credibilidad de esta opinión es muy alta.
Excelente trato, muy concisa en su explicación y mi tratamiento a seguir.
•
HOSPITAL ANGELES MEXICO • Primera visita Nefrología
•
A
AMM
Tipos de verificación
Verificamos la autenticidad de todas las opiniones para asegurar que todas proceden de pacientes que se han visitado con el especialista/clínica. Por ello, hemos introducido 3 niveles extra de verificación, además de los que ya teníamos:
Número de teléfono verificado
Pacientes que verificaron su número de teléfono a través de un código enviado por SMS.
Cita verificada
Pacientes que reservaron su cita con este/a especialista y confirmaron su número de teléfono a través de un código enviado por SMS.
Pago y cita verificados
Pacientes que reservaron su cita y realizaron el pago a través de Doctoralia. El número de teléfono del paciente se verificó con un código enviado por SMS. La credibilidad de esta opinión es muy alta.
Muy amable, se da el tiempo para explicar a detalle. 100% recomendada
•
Consulta privada • Primera visita Nefrología
•
Se ha producido un error, inténtalo de nuevo.
Dudas solucionadas
17 dudas solucionadas a pacientes en Doctoralia
Duda sobre Ketosteril
Buenas tardes,me recomendó mi médico este medicamento porque yo no desayuno casi nada y mi nivel de urea es de 45 y creatividad es de 0.61 y me dijo que tomará media tableta cada 12 hrs, también tomo dagla,klonaza,cal trate d,vitamina E y cápsulas de salmon, si es bueno que tome este medicamento e
Aparte de la recomendación previa, que consulte a un nutriologo.
Duda sobre Ketosteril
Que alimentos estan prohibidos cuando se toma cetolan y por qué?
Los alfacetoanalogos como el cetolan habitualmente están recomendados en pacientes que ya tiene una prescripción dietética hecha por un especialista en nutrición renal.
Por lo que le recomendó que si no la tiene consulta a un especialista en nutrición
Todos los contenidos publicados en Doctoralia, especialmente preguntas y respuestas, son de carácter informativo y en ningún caso deben considerarse un sustituto de un asesoramiento médico.
Ya ha iniciado sesión con una cuenta. Por favor, cierre la sesión para poder continuar.
Los precios de algunos servicios pueden variar según el caso. Le recomiendo que agende su cita ahora y justo después, me envíe un mensaje para consultar el precio del servicio. Será un placer atenderle.
Los precios de algunos servicios pueden variar según el caso. Le recomiendo que agende su cita ahora y justo después, me envíe un mensaje para consultar el precio del servicio. Será un placer atenderle.
Los precios de algunos servicios pueden variar según el caso. Le recomiendo que agende su cita ahora y justo después, me envíe un mensaje para consultar el precio del servicio. Será un placer atenderle.
Los precios de algunos servicios pueden variar según el caso. Le recomiendo que agende su cita ahora y justo después, me envíe un mensaje para consultar el precio del servicio. Será un placer atenderle.
La información profesional de este perfil ha sido revisada y validada por Doctoralia utilizando fuentes públicas o documentación proporcionada.
El número de registro profesional garantiza tu seguridad. Los profesionales de la salud deben contar con un cédula profesional para sus especialidades. Si no encuentras el registro del profesional, puedes consultarlo aquí: cedulaprofesional.sep.gob.mx
Es necesario realizar el pago de tu cita
Tu especialista solicita que realices el pago de la visita que tienes pendiente. Para modificarla, por favor, realiza el pago por adelantado o contacta directamente con tu especialista.