Dr. Adriana Sánchez Arreola

Dentista - Odontólogo · Ver más sobre las especializaciones

No. de cédula: 9195169 13726362

352 opiniones
Especialista de confianza

Los pacientes vuelven a su consulta de forma recurrente

Experiencia

Busco ofrecer atención dental de calidad, devolviendo la salud bucal y ayudando en la función, estética oral y facial. Soy una especialista comprometida con tu salud, busco siempre la comodidad del paciente y resolver cualquier duda que pueda surgir durante el tratamiento, así mismo intento utilizar las técnicas menos dolorosas para que el tratamiento se lleve acabo de la manera más agradable posible. Ofrezco garantía en mis trabajos así como un ambiente cómodo y agradable.
ver más Sobre mí

Enfocado en:

  • Implantología
  • Periodoncia

Tipos de consulta

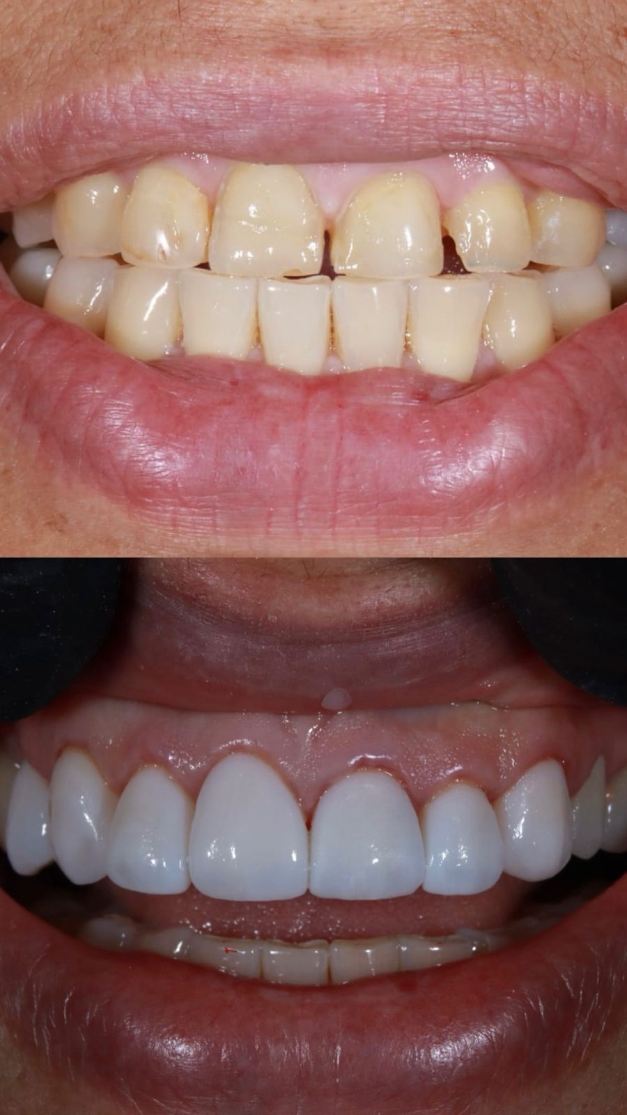
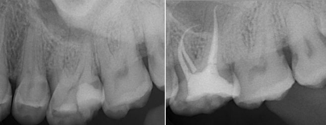
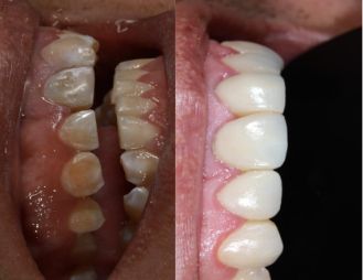
Fotos y videos

Logo
Dr. Adriana Sánchez Arreola

Av Guadalupe 4955 plaza vidal, Zapopan 45070

Te invito a agendar tu cita conmigo.
¡Será un placer ser tu especialista!

15/01/2026

Servicios y precios

  • Visita Odontología

    $500

  • Consulta de valoración para implantes dentales

    $500

  • Profilaxis (Limpieza Dental)

    $900

  • Diagnostico periodontal

    $1,000

  • Cirugia del tercer molar

    $2,500

Artículos

Blanqueamiento dental

El blanqueamiento dental es un tratamiento dental estético que logra reducir varios tonos el color original de las piezas dentales, dejando los dientes más blancos.


Detección oportuna de cáncer oral

Encontrar el cáncer cuando se encuentra en sus etapas iniciales a menudo permite la posibilidad de contar con más opciones de tratamiento. En algunos casos de la enfermedad en etapa inicial surgen signos y síntomas estos pueden ser identificados en tus consultas periódicas con el dentista.


Cirugia del tercer molar

Se trata de la extracción mucha veces de manera quirúrgica de las quejas del juicio; ya que estas suelen estar en mala posición y asociase a diversas enfermedades.


Profilaxis (Limpieza Dental)

Es necesario realizar una limpieza dental con algún profesional de la salud por lo menos 2 veces año para conservar la salud oral. Algunas sustancias contenidas en nuestra dieta normal estimular la formación de calculo dental que no es posible eliminar con el cepillado diario.


Periodontitis

Es una inflamación e infección de los ligamentos tejidos y huesos que sirven de soporte a los dientes. El tratamiento temprano nos ayuda a conservar nuestra dentadura completa.


Implante dental

Los implantes dentales son aditamentos, como raíces de dientes artificiales, creados para sustituir dientes ausentes o perdidos por cualquier causa, capaces de integrarse hasta el punto de convivir de forma sana y totalmente natural con el resto de los tejidos de la boca.

Ver todos los artículos

Consultorio

Ampliar se abre en una nueva pestaña
SMILE ESSENCE dental studio

Av Guadalupe 4955 plaza vidal, Jardines Del Tepeyac , Zapopan 45070

Disponibilidad

Número de teléfono

33 4374...
33 4669...
Ampliar se abre en una nueva pestaña

Aseguradoras aceptadas

Se aceptan aseguradoras, pero la cobertura varía según la ubicación y el servicio.

  • Seguros Atlas
  • Zurich
  • Seguros Monterrey

352 opiniones

Todas las opiniones son importantes, por este motivo, los especialistas no pueden pagar para modificar o eliminar opiniones. Saber más. Más información sobre opiniones
  • L

    Tenia cita para limpieza con la Dra Adriana y jamas llego, no me avisaron ni nada, solamente llegas y te dicen que no fue la doctora.

     • SMILE ESSENCE dental studio Profilaxis (Limpieza Dental)  • 

    Dr. Adriana Sánchez Arreola

    Hola Luis, de hecho te estuvimos marcando varias veces para confirmar tu cita, y te estuvimos esperando para tu cita, y no llegaste, estás seguro de haber asistido en la
    Dirección correcta Avenida Guadalupe 4956 (plaza Vidal)


  • A

    Todo bien solo un poco de más atención al ingreso de la visita

     • SMILE ESSENCE dental studio Visita Odontología  • 

    Dr. Adriana Sánchez Arreola

    Hola Alan, muchas gracias por tu comentario

    Te agradecemos mucho que nos lo hagas saber. La atención desde el ingreso es una parte muy importante de la experiencia, y estaremos reforzando este punto con nuestro equipo para brindarte un servicio aún más completo desde el primer momento.

    Nos da gusto saber que en general tu experiencia fue buena
    ¡Esperamos verte nuevamente pronto!


  • M

    Hola! Llame para hacer una cita para limpieza dental y pregunte por la doctora, me ofrecieron cita al dia siguiente y cuando fui me atendieron una de sus asistentes, me hubiera encantado que me lo dijeran en la llamada. De cualquier modo en mi cita fue todo muy cordial!

     • SMILE ESSENCE dental studio Otro  • 

    Dr. Adriana Sánchez Arreola

    Hola Miriam, muchas gracias por tu comentario y por confiar en nosotros para tu atención

    Lamentamos que no se te haya informado previamente este detalle. En nuestra clínica contamos con un equipo de odontólogos titulados y capacitados que pueden realizar procedimientos como la limpieza dental, siempre bajo nuestros estándares de calidad y supervisión.

    Aun así, tomamos muy en cuenta tu observación, ya que la comunicación clara desde el inicio es fundamental para nosotros, y trabajaremos en reforzar este punto con nuestro equipo.

    Nos da mucho gusto saber que tu experiencia durante la cita fue cordial
    ¡Será un placer atenderte nuevamente!


  • P

    Muy buena atención y excelente servicio
    Explican muy detalladamente

     • SMILE ESSENCE dental studio Visita Odontología  • 

    Dr. Adriana Sánchez Arreola

    Gracias! Estamos para servirte!


  • R

    El tratamiento fue rapido y sin dolor, las instalaciones son excelentes

     • SMILE ESSENCE dental studio Resinas dentales  • 

    Dr. Adriana Sánchez Arreola

    Muchísimas gracias por tomarte el tiempo de comentar!


  • O

    Excelente servicio, todo claro y muy amable, rapides limpieza

     • SMILE ESSENCE dental studio Diagnostico periodontal  • 

    Dr. Adriana Sánchez Arreola

    Gracias por tu comentario!


  • P

    Excelente trato, buena explicación y muy buenas instalaciones

     • SMILE ESSENCE dental studio Profilaxis (Limpieza Dental)  • 

    Dr. Adriana Sánchez Arreola

    Muchas gracias por tu comentario!


  • R

    Buena atención, excelente instalaciones y soluciones prácticas, solo un poco más de empatía

     • SMILE ESSENCE dental studio Visita Odontología  • 

    Dr. Adriana Sánchez Arreola

    Muchas gracias por el comentario, prometemos mejorar!


  • D

    Excelente equipo de médicos, muy profesionales muy gentiles

     • SMILE ESSENCE dental studio Implante dental  • 

    Dr. Adriana Sánchez Arreola

    Agradezco mucho que te hayas tomado el tiempo de contestar


  • J

    Muy buena dra, se ve que es una experta en su campo.

     • SMILE ESSENCE dental studio Extracción quirúrgica  • 

    Dr. Adriana Sánchez Arreola

    Muchas gracias por tu comentario!


Se ha producido un error, inténtalo de nuevo.