Dr. Arturo Romero Grande

Dentista - Odontólogo ver más

Sólo acepta pacientes privados

No. de cédula: 1110463

44 opiniones
Tiempo de respuesta aproximado:
Logo
Dr. Arturo Romero Grande

Calle Gran Parada 325, Uruapan 60080

Tenemos el servicio de: ARMONIZACION FACIAL que incluye: aplicacion de Botox: lineas de expresion estaticas y dinamicas, sudoracion excesiva de las axilas Acido hialuronico, Rinimodelacion, lipopapada con enzimas, Hilos tensores para reposicionar los tejidos, correccion de ojeras, aumento de labios, de pomulos, de menton , surcos nasogenianos, eliminacion de lunares y verrugas y muchos servicios mas... "AGENDE SU CITA DE VALORACION "
PERMISO DE COFEPRIS 2416052002A00008

23/05/2024

Experiencia

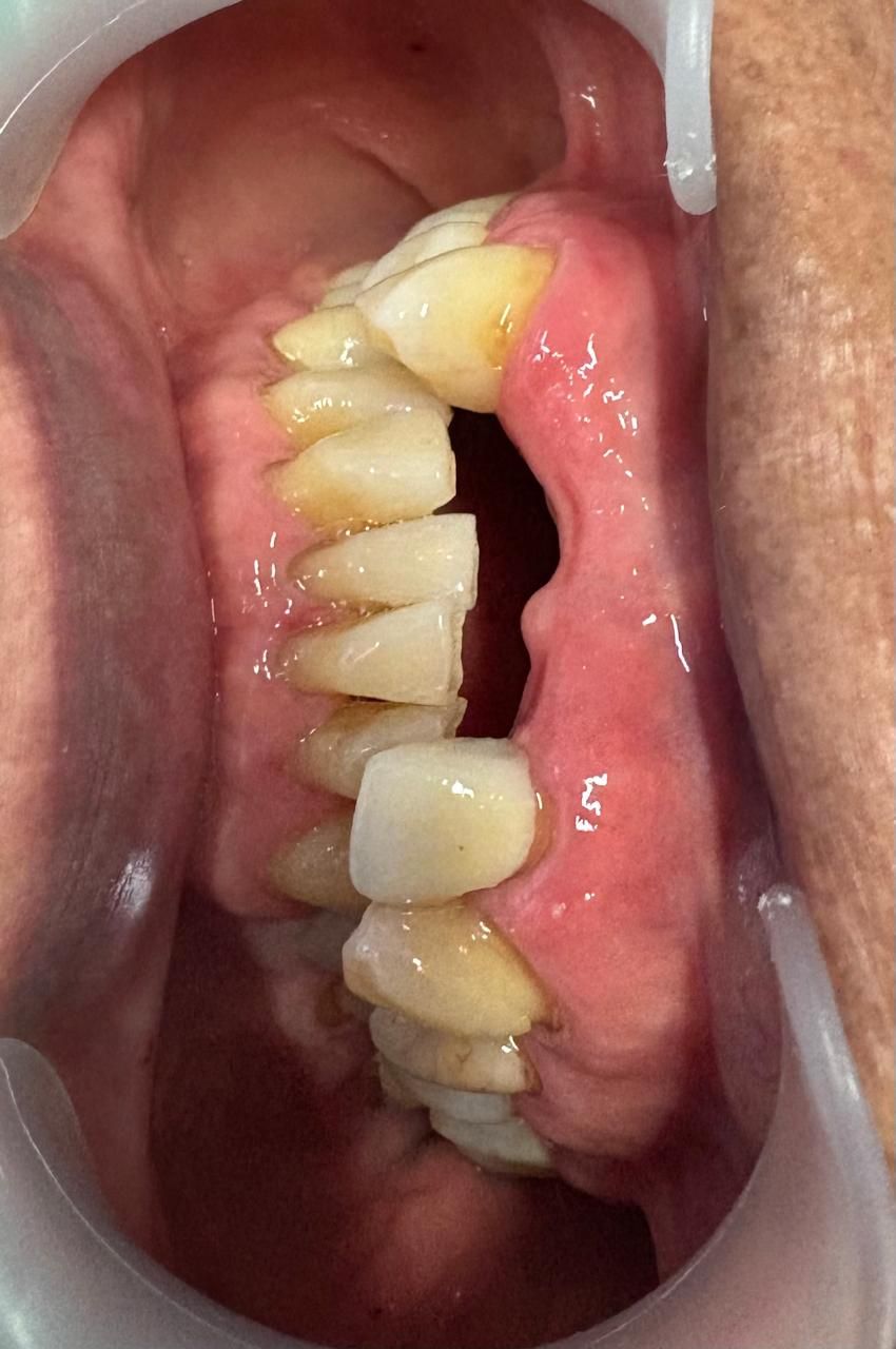
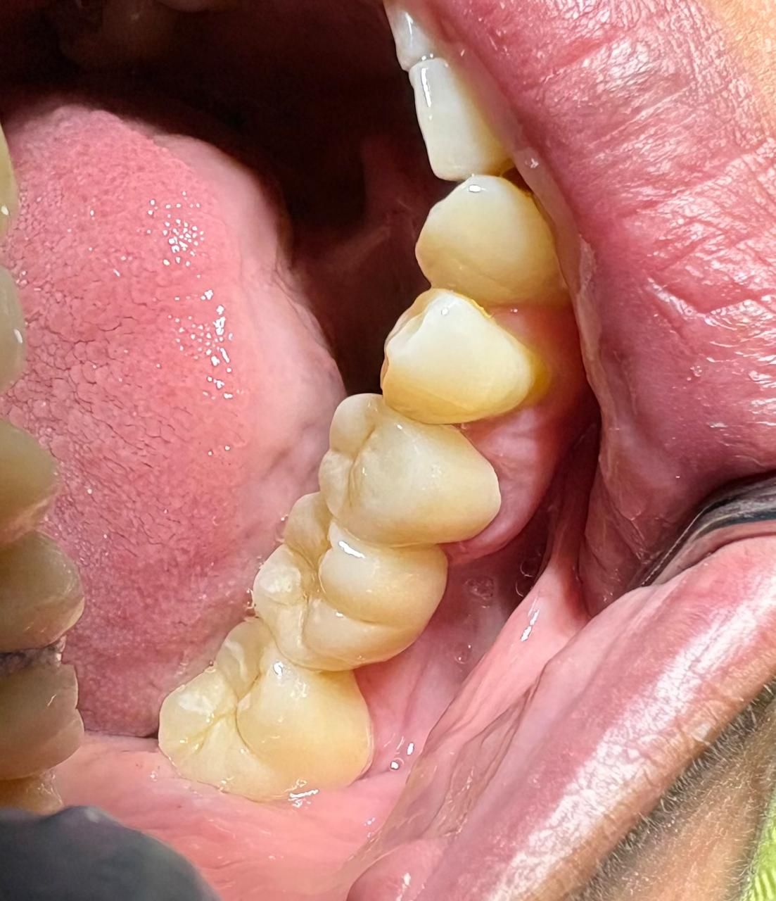
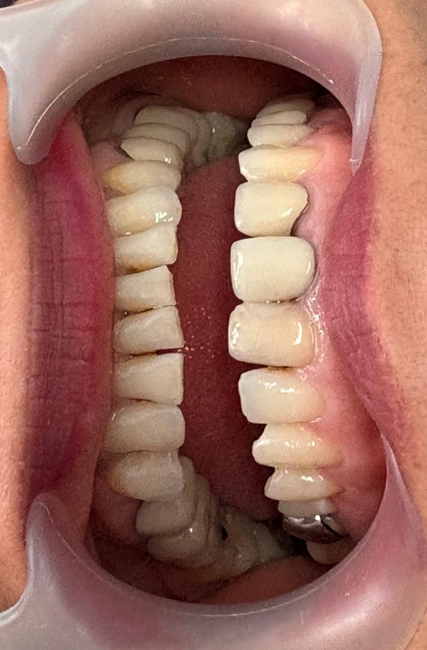
Soy egresado de la Universidad Nacional Autónoma de México (UNAM). Cuento con más de 35 años de experiencia profesional, especializándome en odontología general y estética, blanqueamiento dental, implantes, carillas y más. En todos mis años de práctica me he esmerado para estar a la vanguardia en todo el campo odontología, brindando soluciones y excelentes resultados a mis pacientes.

Me he manejado siempre con honestidad a mis pacientes y gracias a ellos cuento con la confianza y lealtad por parte de los mismos. Mi trabajo y tratamientos destacan por la calidad y costos, los cuales son realmente razonables.
ver más Sobre mí
  • Certificado de excelencia basado en opiniones reales de pacientes.

Enfocado en:

  • Odontología general
  • Odontología estética
  • Prótesis dental
  • Rehabilitación bucal

No se aceptan aseguradoras

Este especialista sólo acepta pacientes privados. Puede pagar directamente la cita para reservar, o encontrar otro especialista que acepte su aseguradora.

Consultorio

Ampliar se abre en una nueva pestaña
GRANDEntal

Calle Gran Parada 325, La Magdalena, Uruapan 60080

Disponibilidad

Número de teléfono

452 524...
Ampliar se abre en una nueva pestaña

Servicios y precios

  • Primera visita Odontología

    Desde $300

  • Visitas sucesivas Odontología

    Desde $0

  • Aplicación de incrustación estética

    Desde $4,500

  • Armonización Facial


  • Blanqueamiento dental

    Desde $3,900

44 opiniones

Todas las opiniones son importantes, por este motivo, los especialistas no pueden pagar para modificar o eliminar opiniones. Saber más. Más información sobre opiniones
  • I

    Muy agradecida y satisfecha con mi resultado , excelente en todo muchas gracias nuevamente

     • GRANDEntal Extracción de otras piezas dentarias  • 

    Dr. Arturo Romero Grande

    Muchas gracias por la confianza. Saludos


  • W

    Excelente atención, ampliamente, profesionales, y instalaciones, de primera

     • GRANDEntal Primera visita Odontología  • 

    Dr. Arturo Romero Grande

    Muchas gracias por su preferencia y confianza. Saludos


  • E

    La verdad no podría decir mucho porque vamos a empezar el proceso daré. Mejor opinión al terminar el trabajo

     • GRANDEntal Implante dental  • 

    Dr. Arturo Romero Grande

    Seguimos en su atención Sr. Edgar. Saludos


  • V

    Excelente servicio, atención muy buena por parte del doctor y las doctoras.

     • GRANDEntal Visitas sucesivas Odontología  • 

    Dr. Arturo Romero Grande

    Muchas gracias Vale por tu confianza y preferencia. Saludos


  • R

    Excelente atención. Un dentista profesional y eficiente.

     • GRANDEntal Puentes estéticos  • 

    Dr. Arturo Romero Grande

    Muchas gracias Sra Miranda por su preferencia , de ya más de 20 años. Saludos


  • L

    Muy bien, me gustó mucho la atención que recibí, sus tratamientos muy eficientes.

     • GRANDEntal Cirugia del tercer molar  • 

    Dr. Arturo Romero Grande

    Muchas gracias por su preferencia. Saludos


  • G

    Buena atención vicita para Diagnóstico. Gracias

     • GRANDEntal Primera visita Odontología  • 

    Dr. Arturo Romero Grande

    Muchas gracias por su confianza. Saludos


  • G

    Muy. Buena atención , bien detallada la informacion y una persona con mucha experiencia

     • GRANDEntal Primera visita Odontología  • 

    Dr. Arturo Romero Grande

    Muchas gracias por su preferencia Sra. Gaby. Saludos


  • L

    Muy profesional .. Recomendado en mi experiencia .

     • GRANDEntal Visitas sucesivas Odontología  • 

    Dr. Arturo Romero Grande

    Muchas gracias Lulu por tu confianza. Saludos


  • P

    Es mi primera vez en chequeo dental con el Dr. Arturo Romero Grande , es un honor para mí a ver acudido a él para mis encías , me quito mi malestar con ayuda de un guarda y estoy convencida de que hará un trabajo excelente con más de mis tratamientos!

     • GRANDEntal Primera visita Odontología  • 

    Dr. Arturo Romero Grande

    Muchas gracias por su confianza, saludos


Se ha producido un error, inténtalo de nuevo.