Dra. Aide Montserrat Orozco Gutierrez

Dentista - Odontólogo · Ver más

Guadalajara 2 direcciones

No. de cédula: 11975786 13572039

120 opiniones
Tiempo de respuesta aproximado:

Experiencia

Me presento, soy la Dra. Aide Montserrat Orozco Gutierrez odontóloga general egresada de la Universidad de Guadalajara cuento con especialidad en el área de Rehabilitación Oral e Implantológica por lo cual estoy capacitada para tratar casos complejos, protésis sobre implantes, protésis totales, prótesis removible, diseños de sonrisa.

Amo mi carrera y disfruto atender a mis pacientes con un trato cálido y humano, soy muy paciente y detallista en mi trabajo.
Me mantengo actualizada tomando cursos y capacitaciones constantes. Mantengo mi consultorio a la vanguardia con aparatos e instrumentos novedosos que ayudan a que tu experiencia sea más agradable, práctica y satisfactoria.

Cuento con un equipo de especialistas dedicados a cumplir el objetivo de mantener tu salud, función y estética oral en las mejores condiciones abarcando Ortodoncia, Periodoncia, Cirugía Maxilofacial, Endodoncia y Odontopediatría en el mismo lugar sin necesidad de desplazarte.


Mi objetivo es brindarte una experiencia agradable y confortable mientras dedico mi esfuerzo y atención en mejorar tu calidad de vida.
ver más Sobre mí

Enfocado en:

  • Prostodoncia
  • Rehabilitación bucal
  • Prótesis bucal e implantología

Pacientes que atiendo

Adultos

Tipos de consulta

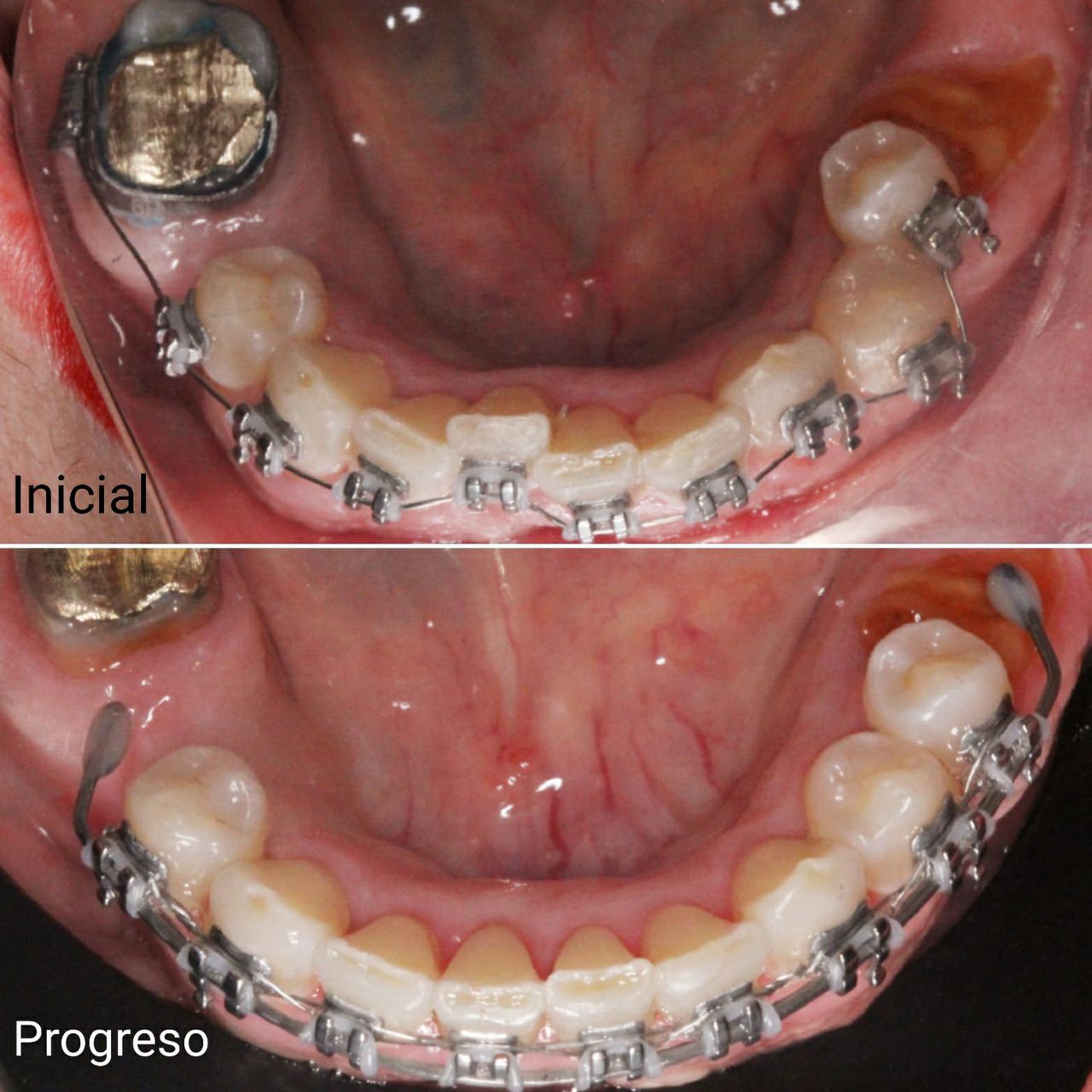
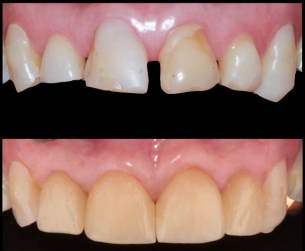
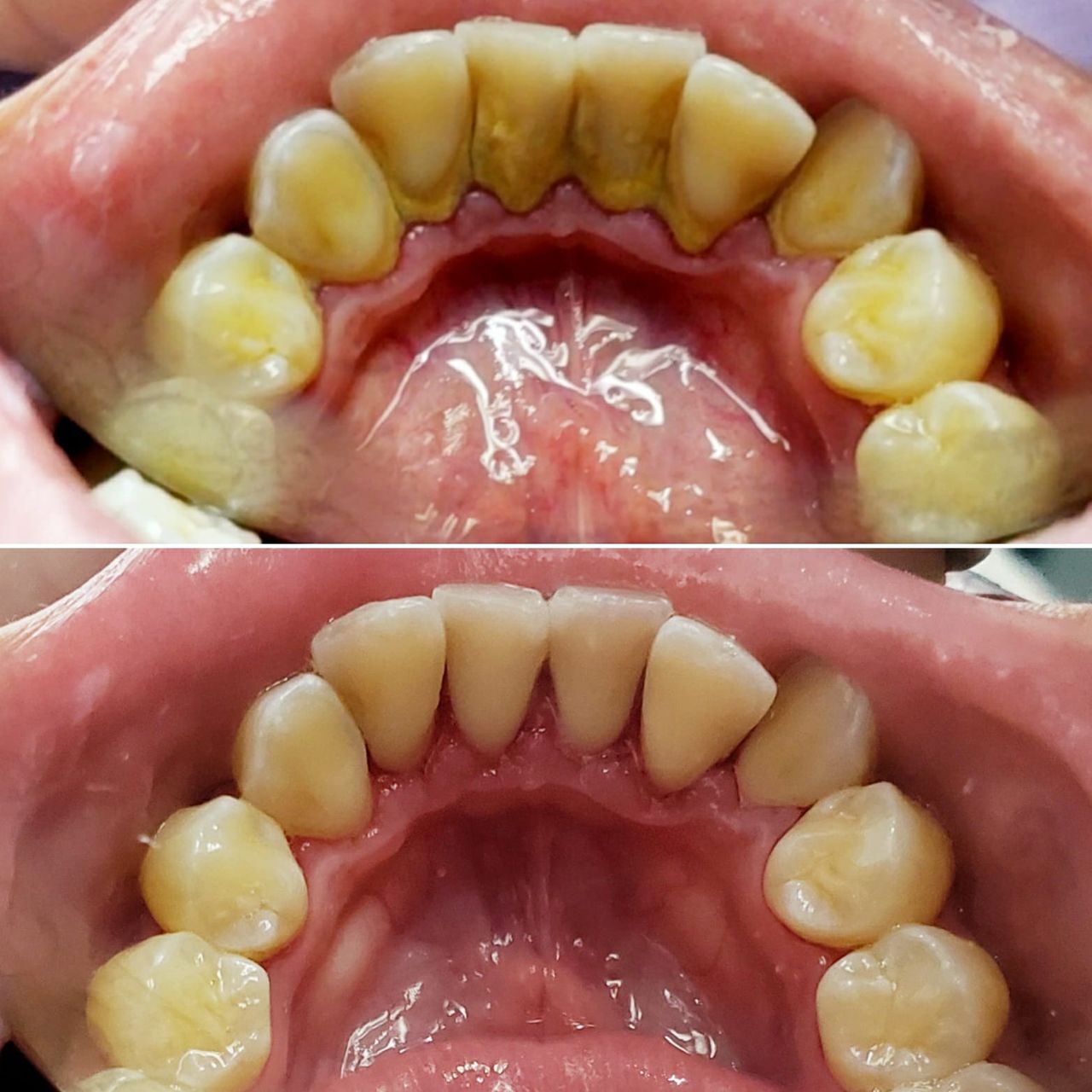
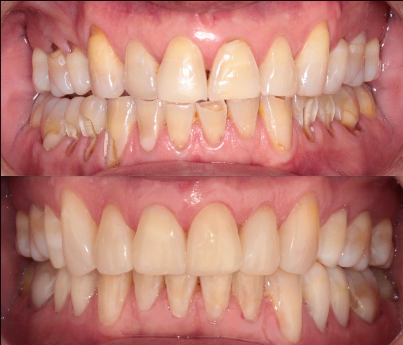
Fotos y videos

Destacados

Servicios y precios

  • Primera visita Odontología

    $500

  • Extracción de otras piezas dentarias

    Desde $1,000

  • Tratamiento de conductos

    Desde $2,800

  • Resinas dentales

    Desde $800

  • Reconstrucción dental

    Desde $1,200

Consultorios (2)

Ampliar se abre en una nueva pestaña
Dental correct consultorio 3 planta baja

Avenida Hidalgo 3161, Guadalajara 44690

Disponibilidad

Número de teléfono

33 4700...
Ampliar se abre en una nueva pestaña
Ampliar se abre en una nueva pestaña
Consultorio Chamizal piso 2

Avenida del Chamizal 712A, Electricistas, Guadalajara 44810

Disponibilidad

Este especialista no ofrece reserva online en esta dirección

Número de teléfono

33 4700...
Ampliar se abre en una nueva pestaña

Aseguradoras aceptadas

Se aceptan aseguradoras, pero la cobertura varía según la ubicación y el servicio.

  • Otra (Reembolso)

120 opiniones

Todas las opiniones son importantes, por este motivo, los especialistas no pueden pagar para modificar o eliminar opiniones. Saber más. Más información sobre opiniones
  • P

    Es una profesional en toda la extensión de la palabra,excelente trató y todo lo explica claro y detalladamente.

     • Consultorio Chamizal piso 2 Primera visita Odontología  • 

    Dra. Aide Montserrat Orozco Gutierrez

    Gracias por poner su salud en mis manos. Siempre estaré pendiente de que mis pacientes se sientan cómodos durante y después de la consulta.


  • D

    Yo visité el consultorio de la Dra. Aide Montserrat el 20/12/25 por un blanqueamiento dental. Fue fácil encontrar el local, la doctora me recibió a tiempo y fue amable lo largo del tratamiento. Estoy muy contento con el resultado, esta claro que la doctora esta bien equipada, se esfuerza en su trabajo, y es profesional. La recomiendo totalmente.

     • Dental correct consultorio 3 planta baja Blanqueamiento dental  • 

    Dra. Aide Montserrat Orozco Gutierrez

    Que gusto me da leerte! Gracias por compartir tu experiencia, esto ayudara a que mas pacientes confíen en mi atención.


  • M

    Excelente como cada visita, gran dedicación a su labor

     • Dental correct consultorio 3 planta baja Resinas dentales  • 

    Dra. Aide Montserrat Orozco Gutierrez

    Es un placer, nos vemos pronto.


  • D

    Muy Profesional, el consultorio limpio, bonito, comodo, el trato de la doctora Aide 11/10

     • Dental correct consultorio 3 planta baja Visita Odontología  • 

    Dra. Aide Montserrat Orozco Gutierrez

    Muchas gracias. Me encanta que cada detalle este bien cuidado para que su experiencia sea placentera.


  • B

    Excelente Dra.
    Tratamientos muy bien hechos y profesionales.

     • Dental correct consultorio 3 planta baja Visita Odontología  • 

    Dra. Aide Montserrat Orozco Gutierrez

    Gracias por tu recomendación!


  • A

    Una doctora muy profesional, muy acertada en sus diagnósticos la recomiendo al mil

     • Dental correct consultorio 3 planta baja Visitas sucesivas Odontología  • 

    Dra. Aide Montserrat Orozco Gutierrez

    Que gusto haber resuelto su motivo de consulta, seguiré pendiente de tu caso.


  • C

    Excelente atención! La doctora es muy amable, paciente y explica todo con claridad. Me sentí muy cómodo durante mi tratamiento y el resultado fue excelente. Además, las instalaciones están muy limpias y modernas. 100% recomendada se nota su dedicación y profesionalismo en cada cita.

     • Consultorio Chamizal piso 2 Primera visita Odontología  • 

    Dra. Aide Montserrat Orozco Gutierrez


    ¡Muchas gracias por sus amables palabras! Nos alegra saber que se sintió cómodo durante su tratamiento y que quedó satisfecho con los resultados. Su confianza nos motiva a seguir brindando una atención de calidad y con dedicación en cada cita. ¡Será un gusto atenderle nuevamente!


  • D

    Muy buena Doctora, muy profesional en todo sentido.

     • Consultorio Chamizal piso 2 Otro  • 

    Dra. Aide Montserrat Orozco Gutierrez


    ¡Gracias por su confianza! Comentarios como el suyo nos motivan a seguir brindando una atención profesional y de calidad.


  • L

    Muchas Gracias por su trabajo y la confianza que inspira

     • Dental correct consultorio 3 planta baja Coronas estéticas  • 

    Dra. Aide Montserrat Orozco Gutierrez

    ¡Gracias a usted por la confianza! Es un placer poder acompañarle y brindarle la mejor atención.


  • S

    Excelente atención, explica todo detalladamente y es muy amable.

     • Dental correct consultorio 3 planta baja Primera visita Odontología  • 

    Dra. Aide Montserrat Orozco Gutierrez


    ¡Gracias por su confianza! Nos complace saber que se sintió bien atendido y acompañado durante su consulta.


Se ha producido un error, inténtalo de nuevo.

Dudas solucionadas

1 dudas solucionadas a pacientes en Doctoralia

Duda sobre Extracción de las muelas del juicio

Buenas noches mi es ROGELIO SILVAN JIMÉNEZ soy médico apicultor la razón de mi mensaje para recomendar.la miel de abeja después de los 3dias de extraer la muela o diente ya que ayuda a la cicatrización de la herida... igual pregunto si hay algún daño si consumo propóleo en una extracción de muela.

Que tal Rogelio, en diversas investigaciones en los últimos años se ha comprobado que la miel tiene altas propiedades, antisépticas, analgésicas, antiinflamatorias y cicatrizantes entre otras.
Haga caso a la indicación sin duda. su recuperación será mejor.

Dra. Aide Montserrat Orozco Gutierrez

Todos los contenidos publicados en Doctoralia, especialmente preguntas y respuestas, son de carácter informativo y en ningún caso deben considerarse un sustituto de un asesoramiento médico.