Dra. María Teresa Gómez Serrano

Cirujano maxilofacial, Dentista - Odontólogo ver más

Aguascalientes 1 dirección

Sólo acepta pacientes privados

No. de cédula: 0017544 0964288

136 opiniones
Tiempo de respuesta aproximado:
Logo
Dra. María Teresa Gómez Serrano

Edificio Torreplaza Bosques. Local 56 en el Centro Comercial. Avenida Universidad # 1001, Aguascalientes 20127

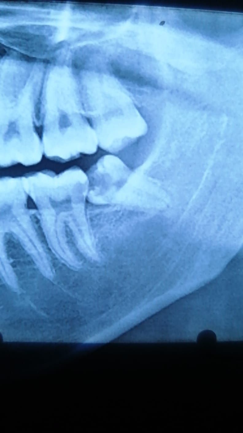
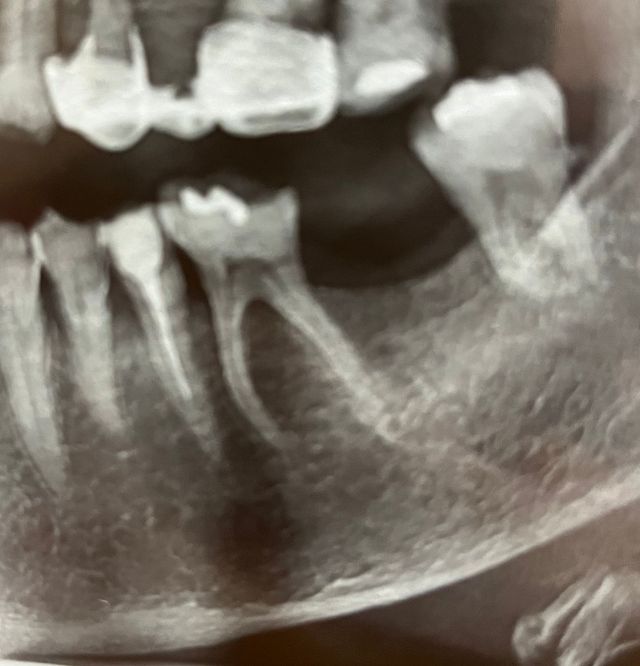
En esta radiografía no es posible determinar una fractura

19/10/2025

Experiencia

La Cirugía Maxilofacial es aquella que se estudia durante 4 años dentro de un Hospital de Alto Nivel y al término es deseable realizar un exámen para la Certificación ante el Consejo Mexicano. Yo hice ambos y además estuve de medio tiempo como Profesora en la Universidad Autónoma de Aguascalientes. Tengo una gran experiencia en Cirugía Bucal, implementos de vanguardia y un profundo sentido de ética y humanismo.
ver más Sobre mí
  • Certificado de excelencia basado en opiniones reales de pacientes.
  • Certificado de excelencia basado en opiniones reales de pacientes.
  • Certificado de excelencia basado en opiniones reales de pacientes.
  • Reconocimiento con base en las opiniones de los pacientes y los votos de sus compañeros de profesión.
  • Reconocimiento con base en las opiniones de los pacientes y los votos de sus compañeros de profesión.
  • Reconocimiento con base en las opiniones de los pacientes y los votos de sus compañeros de profesión.
  • Certificado de excelencia basado en opiniones reales de pacientes.

Enfocado en:

  • Cirugía oral

No se aceptan aseguradoras

Este especialista sólo acepta pacientes privados. Puede pagar directamente la cita para reservar, o encontrar otro especialista que acepte su aseguradora.

Consultorios (2)

Disponibilidad

Número de teléfono

449 903...
Ampliar se abre en una nueva pestaña
Consultorio privado

Edificio Torreplaza Bosques. Local 56 en el Centro Comercial. Avenida Universidad # 1001, Bosques Del Prado Norte, Aguascalientes 20127

Disponibilidad

Este especialista no ofrece reserva online en esta dirección

Número de teléfono

449 912...
449 903...
Ampliar se abre en una nueva pestaña

Servicios y precios

  • Consulta en línea

    $350

  • Visita Odontología

    Desde $750

  • Visitas sucesivas Cirugia Maxilofacial

    Servicio gratuito

  • Bichectomía

    Desde $10,000

136 opiniones

Todas las opiniones son importantes, por este motivo, los especialistas no pueden pagar para modificar o eliminar opiniones. Saber más. Más información sobre opiniones
  • J

    La doctora es amable y tiene esa rara virtud en la medicina moderna, de interesarse por el paciente, no nada más atender su salud ni mucho menos mirarlo como "algo" que tiene que ser arreglado. Consigue de esa manera la empatía el buena disposición del paciente hacia el proceso y las indicaciones posteriores.

     • Consultorio privado Visita Odontología  • 

    Dra. María Teresa Gómez Serrano

    Muchas gracias José Luis.!! Es muy gratificante leer esto.! Me siento especial y me impulsa a continuar mi carrera profesional… Eres generoso y agradecido. Gracias. Gracias y Gracias


  • X

    Muy profesional y las explicaciones muy detalladas

     • Consultorio privado Visitas sucesivas Cirugia Maxilofacial  • 

    Dra. María Teresa Gómez Serrano

    Gracias Ximena.!! Qué bueno saber que me explico bien. Te envío un saludo muy afectuoso


  • J

    Súper bien explicado todo el procedimiento, desde un inicio me sentí segura y en buenas manos e instalaciones impecables.
    La extracción de muelas y la recuperación sin dolor o inflamación y en acompañamiento constante.
    Recomendadisima al 100%

     • Consultorio privado Otro  • 

    Dra. María Teresa Gómez Serrano

    Estimada Jas… agradezco mucho tu opinión y es muy bueno estar con pacientes como Tú…! Gracias por tu confianza.!!


  • M

    Excelente atención! Consultorio ordenado y limpio.

     • Consultorio privado Visita Odontología  • 

    Dra. María Teresa Gómez Serrano

    Estimado MO.. muchas gracias por tu lealtad y confianza de tanto tiempo.!! Y me encanta que menciones cosas lindas de mi consultorio.!!
    Me esfuerzo mucho por atender con todo lo mejor posible para mis pacientes..
    Saludos cordiales y GRACIAS


  • S

    Excelente trato muy amable, muy profesional, buen servicio, precios accesibles, excelente en todo, lo recomendaría ampliamente con toda mi familia, amigos y a todo el público

     • Consultorio privado Visitas sucesivas Cirugia Maxilofacial  • 

    Dra. María Teresa Gómez Serrano

    Y también Muchas gracias por la gran confianza que me dieron y eso es lo básico para un buen tratamiento. Seguimos en comunicación y saludos afectuosos


  • E

    El trato es muy cálido esta al pendiente del paciente antes y después del tratamiento
    Quiero felicitarla por su profesionalismo

     • Consultorio privado Otro  • 

    Dra. María Teresa Gómez Serrano

    Le agradezco mucho su felicitación y me da mucho gusto que vaya mejorando.!!
    Seguiremos cuidando de Usted.! Saludos


  • A

    EXCELENTE TRABAJO Y ATENCIÓN, TOOOOODO MUY PROFESIONAL. DE 10 DIEZ.

     • Consultorio privado Visitas sucesivas Cirugia Maxilofacial  • 

    Dra. María Teresa Gómez Serrano

    Sra Adriana… hace tiempo no recibía un 10.!! Y se siente muy bonito . Muchas gracias y seguimos viéndonos.!!
    Un abrazo


  • E

    Fui por una extracción de 3ros molares, la cirugía y post-cirugia fue casi indolora y todo gracias al increíble trabajo y atención constante de la dra, una persona que destaca por su calidez y humanidad.
    La recomiendo sin ninguna duda ;)

     • Consultorio privado Visitas sucesivas Cirugia Maxilofacial  • 

    Dra. María Teresa Gómez Serrano

    Mi estimado Erik.! Muchas gracias por tu generosa opinión y ha sido un placer el poder atender tus necesidades y compartir tu buena evolución.seguiremos en comunicación y nuevamente Gracias


  • S

    Una gran profesional, al igual que su equipo, desde el primer momento nos brindaron confianza y el seguimiento post operatorio fue excelente, la recomiendo apmleamente.

     • Consultorio privado Visitas sucesivas Cirugia Maxilofacial  • 

    Dra. María Teresa Gómez Serrano

    Sr Sergio y JM., les agradezco de corazón su confianza y paciencia en todo el proceso. Hemos hecho un gran equipo de trabajo entre todos.!! Saludos afectuosos del Equipo


  • S

    Gracias a la doctora y sus ayudantes me trataron muy bien y fue un buen servicios

     • Consultorio privado Visitas sucesivas Cirugia Maxilofacial  • 

    Dra. María Teresa Gómez Serrano

    Linda Sara.!! Hemos hecho un gran equipo entre tú, tu mami y nosotros. Ese fue clave para tu buena recuperación. Te agradecemos y enviamos un cariñoso saludo para Ti y tu mami


Se ha producido un error, inténtalo de nuevo.

Dudas solucionadas

282 dudas solucionadas a pacientes en Doctoralia

Duda sobre Dolor de muelas

Puedo comer Pizza, mayonesa y comida frita(milanesa); despues de 9 dias de una extraccion de muela de juicio?

Buenas noches. Sí puede, en pequeños trozos. Después, lave muy bien su boca. Saludos

Dra. María Teresa Gómez Serrano

Duda sobre Infecciones

Puedo comer pechuga de pollo, spagettii, atun l arroz al dia siguiente que me sacaron las muelas del juicio?

Buenas tardes. Es recomendable una dieta LÍQUIDA las primeras 48 h después de cualquier procedimiento quirúrgico en la boca. Saludos

Dra. María Teresa Gómez Serrano
Muestra todas las respuestas

Todos los contenidos publicados en Doctoralia, especialmente preguntas y respuestas, son de carácter informativo y en ningún caso deben considerarse un sustituto de un asesoramiento médico.