Dr. Gustavo Jauckens

Dentista - Odontólogo ver más

Sólo acepta pacientes privados

No. de cédula: 34632 2424536

142 opiniones
Especialista de confianza

Los pacientes vuelven a su consulta de forma recurrente

Experiencia

Consultorio particular
Periodo: 1996- 2020
Catedrático en UPAEP en diplomado de Implantología dental
Periodo : 2001
Catedrático Universidad Cuauhtémoc
Periodo: 2006-2008
Catedrático en UPAEP en diplomado de odontología restaurativa
Periodo de 2010 a 2018
ver más Sobre mí
  • Certificado de excelencia basado en opiniones reales de pacientes.
  • Certificado de excelencia basado en opiniones reales de pacientes.
  • Certificado de excelencia basado en opiniones reales de pacientes.

Enfocado en:

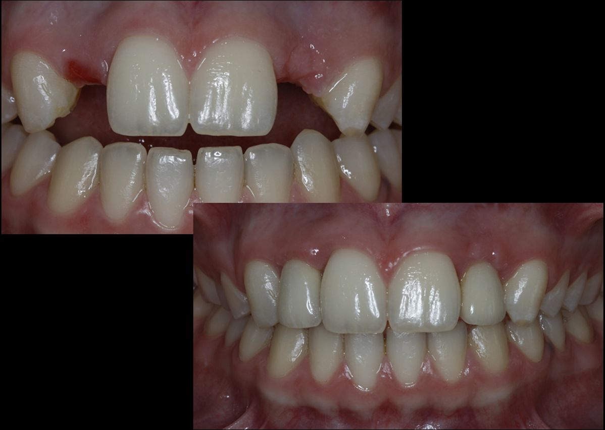
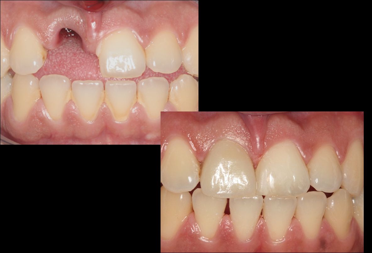
  • Periodoncia e implantología
  • Rehabilitación bucal
  • Prótesis dental
  • Ortodoncia

No se aceptan aseguradoras

Este especialista sólo acepta pacientes privados. Puede pagar directamente la cita para reservar, o encontrar otro especialista que acepte su aseguradora.

Consultorio

Ampliar se abre en una nueva pestaña
Jauckens y castillo grupo dental

Blvd. Municipio Libre 1943, plaza komplex, 72480 Puebla, Pue., Puebla 72480

Disponibilidad

Número de teléfono

222 209...
Ampliar se abre en una nueva pestaña

Servicios y precios

  • Primera visita Odontología

    $1,000

  • Visitas sucesivas Odontología


  • Tratamiento de conductos


  • Resinas dentales


  • Reconstrucción dental


142 opiniones

Todas las opiniones son importantes, por este motivo, los especialistas no pueden pagar para modificar o eliminar opiniones. Saber más. Más información sobre opiniones
  • M

    Todo bien hasta el momento, tratamiento en curso, explicaciones adecuadas y atención esmerada.

     • Jauckens y castillo grupo dental Visitas sucesivas Odontología  • 

  • M

    Super satisfecha! Mi hizo mi provisional de una muela en la misma consulta, excelente trabajo!

     • Jauckens y castillo grupo dental Coronas estéticas  • 

  • L

    La.atencion fue muy buena y precisa ! Me gustó la atención!

     • Jauckens y castillo grupo dental Primera visita Odontología  • 

    Dr. Gustavo Jauckens

    Gracias por el comentario


  • M

    Me hicieron varios tratamientos: extracción de una pieza, una endodoncia y coronas en puente

     • Jauckens y castillo grupo dental Visitas sucesivas Odontología  • 

  • F

    Muy bien , muy atento y buen dentista . Listo para la siguiente

     • Jauckens y castillo grupo dental Visitas sucesivas Odontología  • 

  • R

    Excelente siempre. Puntual, atento, súper limpias las instalaciones, y el doctor es muy bueno.

     • Jauckens y castillo grupo dental Implante dental  • 

  • V

    Muy buena atención y servicio, transmite confianza

     • Jauckens y castillo grupo dental Primera visita Odontología  • 

  • N

    Grandes Profesionales Excelentes instalaciones limpieza

     • Jauckens y castillo grupo dental Prevención en salud bucal  • 

  • A

    Excelente, muy recomendable puntual quedé muy satisfecha

     • Jauckens y castillo grupo dental Primera visita Odontología  • 

  • M

    Certero en el diagnóstico empático con el paciente extraordinario tratamiento

     • Jauckens y castillo grupo dental Coronas estéticas  • 

Se ha producido un error, inténtalo de nuevo.