Dra. Diana Carolina Illán Gallardo

Dentista - Odontóloga ver más

San Andres Cholula 4 direcciones

Sólo acepta pacientes privados

No. de cédula: 6342479 8231077

217 opiniones
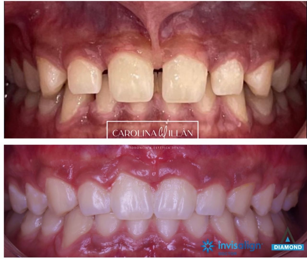
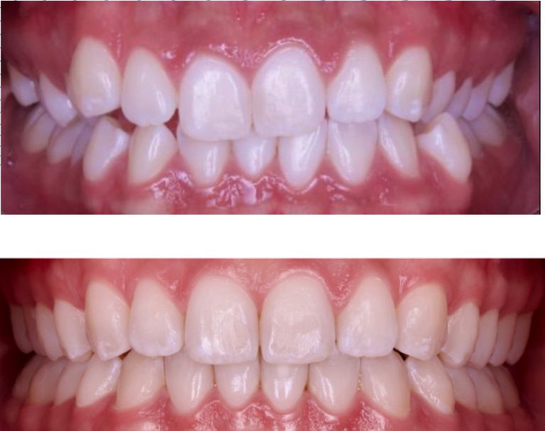
Ortodoncia Invisible con Alineadores Transparentes
Certifico a Ortodoncistas de México y LATAM
Ortodoncia Invisible en casos de Alta Complejidad
Tiempo de respuesta aproximado:
Logo
Dra. Diana Carolina Illán Gallardo

Torres Médicas Angelópolis. Reserva Territorial Atlixcayotl. Periférico Ecológico 3507 Torre 1 penthouse 1613, San Andres Cholula 72820

Somos una clínica EMERALD en ortodoncia invisible, distinción otorgada por cumplir y fomentar los siguientes puntos:
1. **Alta Competencia:** Han tratado un número considerable de casos con éxito, lo que refleja su experiencia y pericia en el uso de Invisalign.
2. **Calidad de Atención:** Proporcionan una atención al paciente de alta calidad, asegurando que cada tratamiento sea personalizado y efectivo.
3. **Actualización Continua:** Mantienen a su equipo capacitado y actualizado con las últimas tecnologías y técnicas de Invisalign.

10/09/2024

Experiencia

SI DESEAS UNA CITA Y NO APARECE EN EL CALENDARIO COMUNICATE DIRECTO, con Gusto te atenderemos.

Somos la única clínica dental en el Estado de Puebla que cuenta con los escáneres intraorales más avanzados: iTero 5D Plus e iTero Element 2. Estos me permiten realizar tratamientos 100% personalizados, eliminando los errores de diagnóstico más comunes y, por lo tanto, ofreciendo procedimientos más eficientes.

Soy la Dra. Carolina Illán, Maestra en Ortodoncia. Cuento con más de 14 años de experiencia y desde hace mucho tiempo estoy convencida de que el camino para lograr la sonrisa perfecta no tiene por qué ser doloroso, incómodo ni antiestético. Por este simple motivo, decidí prepararme con los mejores especialistas a nivel mundial en Ortodoncia Invisible Invisalign, logrando así casos de éxito y pacientes felices.

Estoy certificada por la Asociación Mexicana de Ortodoncia y el Colegio de Ortodoncistas, A.C. J171

También cuento con las siguientes certificaciones:

  • Invisalign Costa Rica 2019 y 2023

  • Sistema Damon Autoligado 2014

Adicionalmente, soy conferencista de Invisalign (alineadores invisibles) desde 2023, y en 2024, soy Speaker y certifico a ortodoncistas de todo el país en el sistema Invisalign. He sido conferencista nacional para ADM, BUAP y UDLAP. Soy miembro activo de:

  • Colegio de ortodoncistas del Estado de Puebla ( COEP)

  • Asociación Mexicana de Ortodoncia AMO

  • Asociación Dental Mexicana ADM

  • American Association of orthodontics AAO

  • World Federation of orthodontics WFO  

¡Será un placer acompañarte en el proceso de transformación de tu sonrisa de manera cómoda, rápida y funcional!

ver más Sobre mí
  • Certificado de excelencia basado en opiniones reales de pacientes.
  • Certificado de excelencia basado en opiniones reales de pacientes.

Enfocado en:

  • Ortodoncia
  • Atm y oclusión
  • Ortopedia maxilofacial
  • Ortopedia dentofacial

No se aceptan aseguradoras

Este especialista sólo acepta pacientes privados. Puede pagar directamente la cita para reservar, o encontrar otro especialista que acepte su aseguradora.

Consultorios (5)

Ampliar se abre en una nueva pestaña
1U. GRUPO DENTAL ILLÁN. Torres Médicas Angelópolis Torre 1 Penthouse 1613

Torres Médicas Angelópolis, Torre 1 penthouse 1613, Emiliano Zapata , San Andres Cholula 72821

Disponibilidad

Número de teléfono

221 594...
Ampliar se abre en una nueva pestaña
Ampliar se abre en una nueva pestaña
2U. GRUPO DENTAL ILLÁN. Torres Médicas Angelópolis Torre 1 Penthouse 1613 .ESPECIALISTA

Torres Médicas Angelópolis. Reserva Territorial Atlixcayotl. Periférico Ecológico 3507 Torre 1 penthouse 1613, Emiliano Zapata , San Andres Cholula 72820

Disponibilidad

Número de teléfono

221 594...
Ampliar se abre en una nueva pestaña

Disponibilidad

Este especialista no ofrece reserva online en esta dirección

Ampliar se abre en una nueva pestaña
Grupo Dental illán SC

Calle Coatzacoalcos 36, Santa Rosa, Salina Cruz 70600

Disponibilidad

Este especialista no ofrece reserva online en esta dirección

Número de teléfono

221 594...
Ampliar se abre en una nueva pestaña
Ampliar se abre en una nueva pestaña
3U. GRUPO DENTAL ILLÁN. Torres Médicas Angelópolis. Torre 1 Penthouse #1613

Torres Médicas Angelópolis. Periférico Ecológico 3507 Torre1 Penthouse 1613, Emiliano Zapata , San Andres Cholula 72820

Disponibilidad

Este especialista no ofrece reserva online en esta dirección

Número de teléfono

221 594...
222 210...
Ampliar se abre en una nueva pestaña

Servicios y precios

  • Coronas estéticas


  • Cirugia del tercer molar


  • Extracción de las muelas del juicio


  • Escaneó Dental Ortodontico

    Desde $500

  • Escaneo dental

    Desde $500

217 opiniones

Todas las opiniones son importantes, por este motivo, los especialistas no pueden pagar para modificar o eliminar opiniones. Saber más. Más información sobre opiniones

Destacadas

  • R

    Tercera visita de seguimiento de el tratamiento, amabilidad por parte del staff(el cual está altamente calificado) y aclaración de dudas en cuanto al tratamiento

     • 1U. GRUPO DENTAL ILLÁN. Torres Médicas Angelópolis Torre 1 Penthouse 1613 Alineadores invisibles dentales  • 

  • B

    Realmente es una Dra profesional, yo solo iba por limpieza dental, sin embargo tengo otros problemas (maxilofacial) que la Dra se preocupó y encargó de explicarme y darme la mejor solución. Cuenta con mucha tecnología.

     • 1U. GRUPO DENTAL ILLÁN. Torres Médicas Angelópolis Torre 1 Penthouse 1613 Profilaxis (Limpieza Dental)  • 

  • B

    Me encantaron las instalaciones y la explicación de la Dra. fue muy detallada y todos muy amables, estoy ansiosa por iniciar mi tratamiento con ella ya que me dio mucha confianza

     • 1U. GRUPO DENTAL ILLÁN. Torres Médicas Angelópolis Torre 1 Penthouse 1613 Consulta Valoración  • 

  • E

    Me sirve nivel de identificación del origen del problema

     • 3U. GRUPO DENTAL ILLÁN. Torres Médicas Angelópolis. Torre 1 Penthouse #1613 Consulta de valoración  • 

  • C

    Uno bueno equipo con mucha atención y explicación para todo.

     • 1U. GRUPO DENTAL ILLÁN. Torres Médicas Angelópolis Torre 1 Penthouse 1613 Visitas sucesivas Odontología  • 

  • A

    La atención es excelente.
    Excelente equipo de especialistas.
    Tienen todas las herramientas para el tratamiento que buscas.

     • 2U. GRUPO DENTAL ILLÁN. Torres Médicas Angelópolis Torre 1 Penthouse 1613 .ESPECIALISTA Limpieza dental con ultrasónico  • 

  • Z

    Primera visita, la atención y servicio fue más que excelente, me sentí cómoda en todo momento y segura.

     • 1U. GRUPO DENTAL ILLÁN. Torres Médicas Angelópolis Torre 1 Penthouse 1613 Blanqueamiento Zoom  • 

  • E

    Exelente servicio, buena atención y explicación a detalle de los tratamientos

     • 1U. GRUPO DENTAL ILLÁN. Torres Médicas Angelópolis Torre 1 Penthouse 1613 Limpieza dental con ultrasónico  • 

  • F

    Excelente atención y sobre todo empatía sobre los tratamientos

     • 3U. GRUPO DENTAL ILLÁN. Torres Médicas Angelópolis. Torre 1 Penthouse #1613 Primera visita Odontología  • 

  • M

    Excelente la Doctora y su equipo, todos muy profesionales.

     • 2U. GRUPO DENTAL ILLÁN. Torres Médicas Angelópolis Torre 1 Penthouse 1613 .ESPECIALISTA Tratamiento de Endodoncia  • 

Se ha producido un error, inténtalo de nuevo.