Dra. Sandra Luz Castillo Enríquez

Dentista - Odontólogo · Ver más

No. de cédula: 6538712 10693373

36 opiniones
Tiempo de respuesta aproximado:
Logo
Dra. Sandra Luz Castillo Enríquez

Blvd. Isidro López Zertuche 2343, Saltillo 25260

Tu cita para valoración incluye limpieza dental, fotografías extraorales e intraorales así como radiografías digitales en caso de requerirlas.
Puedes agendar por la app o escríbenos por WhatsApp

11/06/2025

Experiencia

Hola, me gustaría hablarles un poco de mi , soy la Dra. Sandra Luz Castillo Enriquez, Especialista en Ortodoncia y Ortopedia Maxilar, soy egresada de la Universidad Autónoma de Nuevo León, miembro de la Asociación Mexicana de Ortodoncia y de Charles H. Tweed International Foundation, estoy certificada con INVISALIGN que actualmente es el tratamiento más efectivo de Ortodoncia Invisible, capacitada para atender pacientes de la Red Dentegra Seguros

Mi especialidad consiste en brindar servicios a pacientes desde los 7 años de edad, que es cuando comenzamos a tratarlos Ortopedicamente, es decir corregir y/o mejorar problemas óseos que se presentan durante el crecimiento, igualmente tratamos adolescentes y adultos.
Mi objetivo principal es que mis pacientes tengan una función masticatoria correcta acompañada siempre de una sonrisa hermosa, para esto trabajamos problemas de dientes apiñados (chuecos), hábitos de dedo, lengua, dientes impactados, problemas óseos propios del crecimiento, etc.

Mi personal y yo tratamos siempre de hacer sentir al paciente que esta en un lugar seguro, que se sienta tranquilo y feliz de acudir a sus citas, ya que nuestros tratamientos de ortodoncia son de mínimo de 7 meses , por lo que queremos tener una relación sumamente cordial con la gente que deposita su confianza en nosotros, por lo cual desde que ingresas a nuestra clínica sentirás un recibimiento cálido y amable por parte de todo el equipo

Actualmente ejerzo la practica privada en Saltillo y en la ciudad de Monterrey , feliz de y comprometida a brindar el mejor servicio
ver más Sobre mí

Enfocado en:

  • Ortodoncia

Pacientes que atiendo

Adultos
Niños

Tipos de consulta

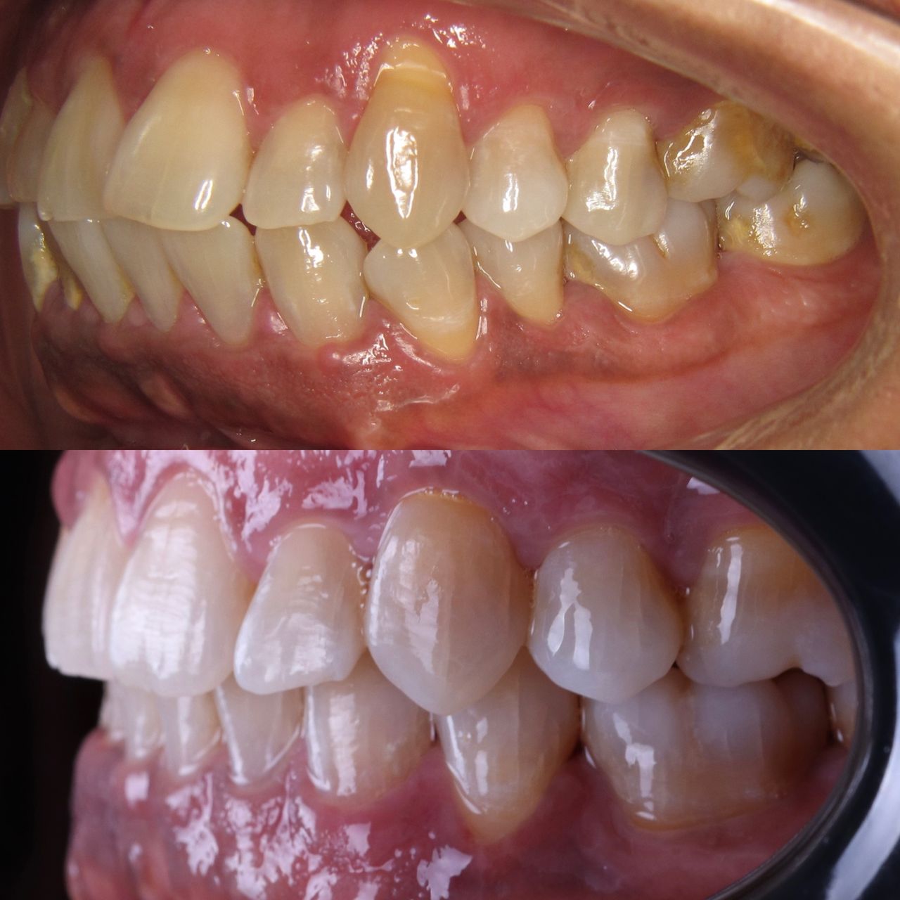
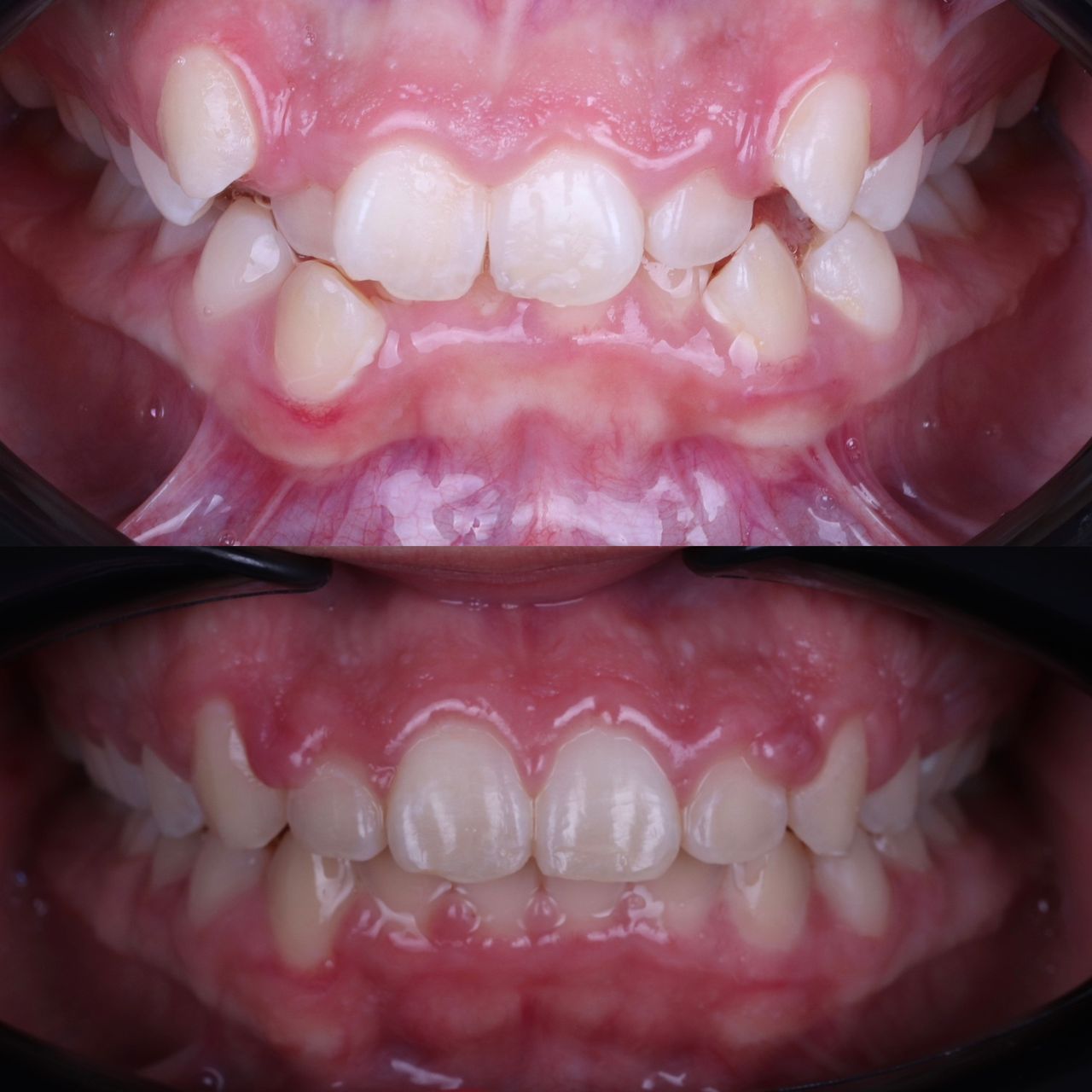
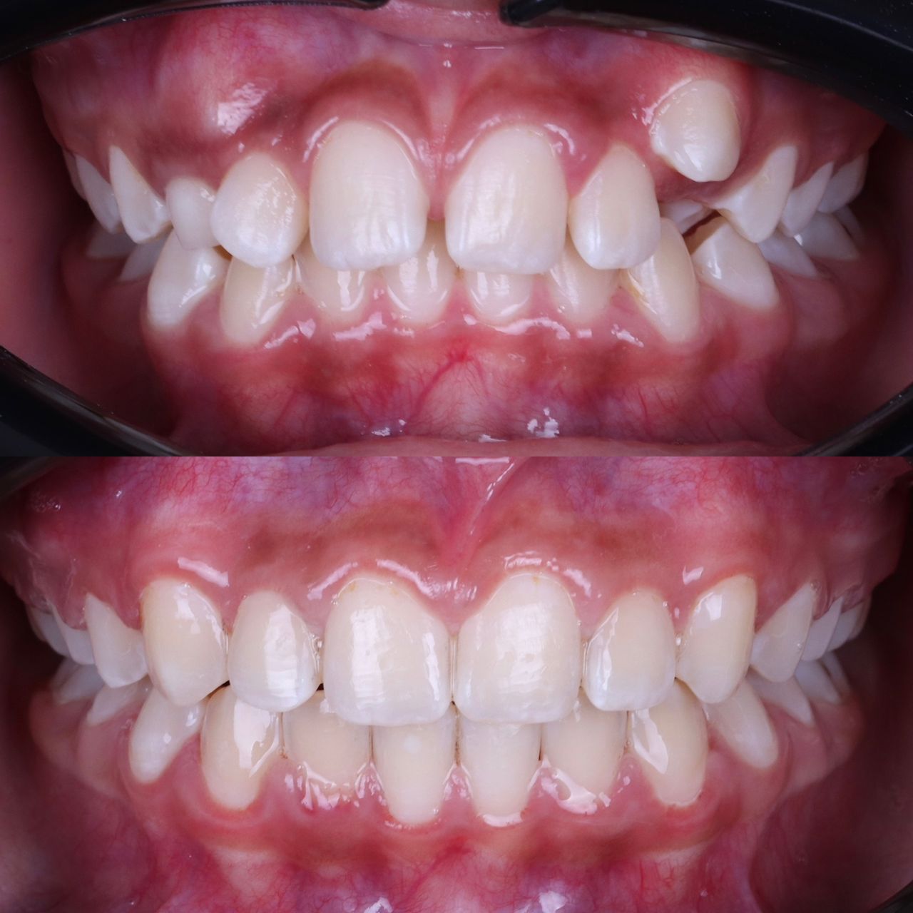
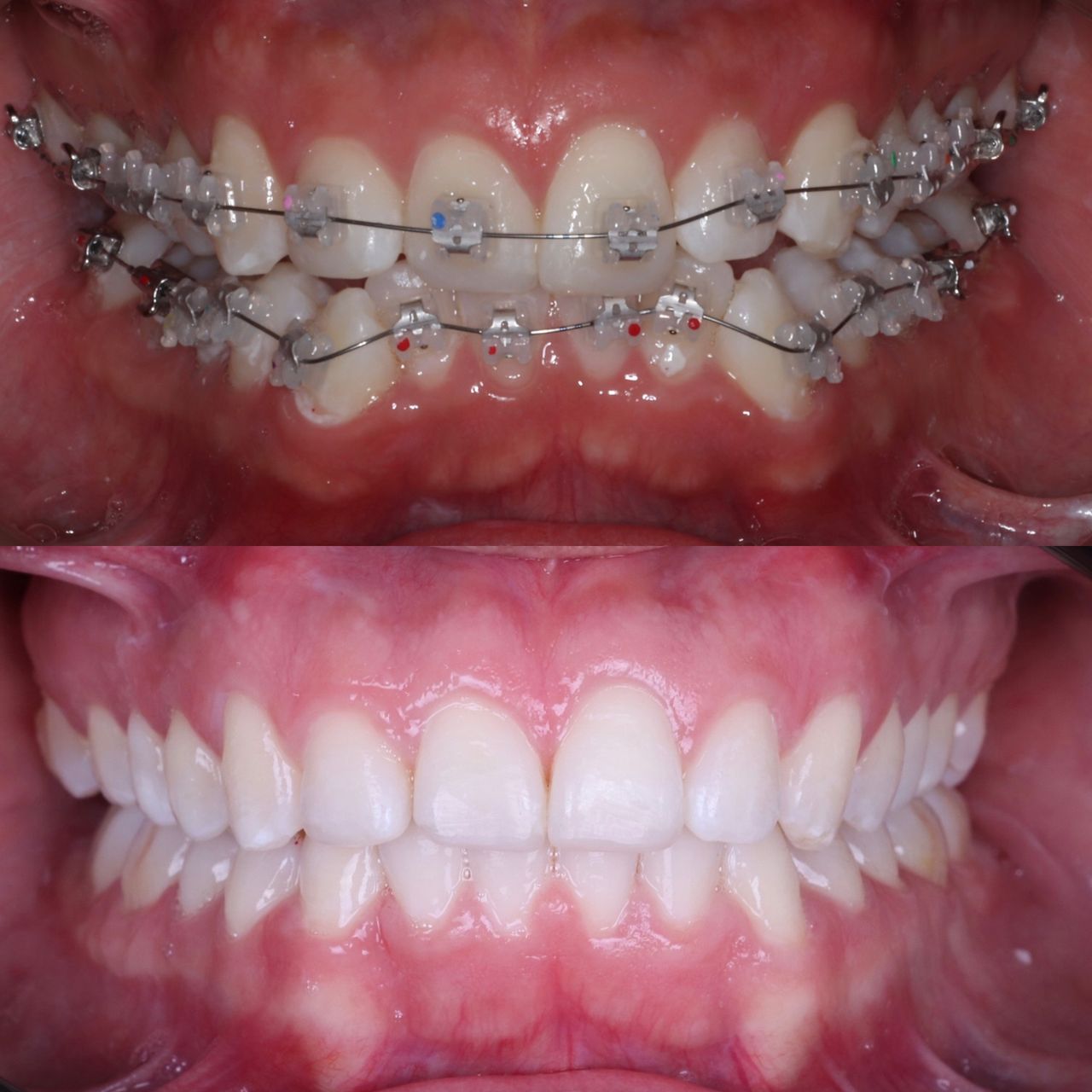
Fotos y videos

Aseguradoras aceptadas

Se aceptan aseguradoras, pero la cobertura varía según la ubicación y el servicio.

  • Dentegra Seguros

Consultorio

Ampliar se abre en una nueva pestaña
Dra. Sandra Luz Castillo Enríquez

Blvd. Isidro López Zertuche 2343, Universidad, Saltillo 25260

Disponibilidad

Número de teléfono

844 273...
844 415...
Ampliar se abre en una nueva pestaña

Servicios y precios

  • Primera consulta dental

    Desde $500

  • Blanqueamiento dental

    Desde $3,500

  • Bracket de autoligado


  • Cirugia del tercer molar

    Desde $3,500

  • Consulta mensual de ortodoncia

    Desde $700

36 opiniones

Todas las opiniones son importantes, por este motivo, los especialistas no pueden pagar para modificar o eliminar opiniones. Saber más. Más información sobre opiniones
  • G

    Muy profesional y explica detalladamente el progreso del tratamiento

     • Dra. Sandra Luz Castillo Enríquez Consulta mensual de ortodoncia  • 

  • C

    Excelente servicio, muy profesionales y el tratamiento adecuado

     • Dra. Sandra Luz Castillo Enríquez Bracket de autoligado  • 

  • J

    Excelente instalaciones, cita a tiempo e información clara

     • Dra. Sandra Luz Castillo Enríquez Toma de impresiones dentales  • 

  • A

    Fui con la Dra Alondra para hacerme una resina y quedé encantada con el resultado. Es muy cuidadosa, explica todo el procedimiento con calma y te hace sentir súper cómoda durante la cita. El resultado fue excelente, se nota su dedicación y profesionalismo. Sin duda la recomiendo al 100%.

     • Dra. Sandra Luz Castillo Enríquez Resinas dentales  • 

  • J

    Me dieron diagnóstico y limpieza, pero me comentó que con gastos médicos una endodoncia no se puede

     • Dra. Sandra Luz Castillo Enríquez Primera consulta dental  • 

  • R

    Excelente trato por la doctora y satisfacción total con el servicio, atención muy amable

     • Dra. Sandra Luz Castillo Enríquez Primera consulta dental  • 

  • C

    Todo estuvo excelente. Intalaciones limpias, excelente atención y explicación. Mucho detalle y cuidado en el Procedimiento.

    Excelente servicio!

     • Dra. Sandra Luz Castillo Enríquez Limpieza dental con ultrasónico  • 

  • M

    La odontóloga especialista en resinas es una eminencia en su campo, me solucionó molestia que había en un par de molares. Definitivamente la recomiendo 100%. Gracias a ella vuelvo a comer alimentos crujientes. Muchas gracias!

     • Dra. Sandra Luz Castillo Enríquez Resinas dentales  • 

  • A

    Buen tratamiento he ido todos los años a mi limpieza general

     • Dra. Sandra Luz Castillo Enríquez Limpieza dental con ultrasónico  • 

  • C

    No senti dolor en la anestesia, explicacion muy detalladau

     • Dra. Sandra Luz Castillo Enríquez Resinas dentales  • 

Se ha producido un error, inténtalo de nuevo.