Dra. Daniela Guadalupe Martinez Garcia

Dentista - Odontóloga · Ver más sobre las especializaciones

Corregidora 1 dirección

No. de cédula: 13270682 13549466

48 opiniones
Tiempo de respuesta aproximado:

Experiencia

Dra. Daniela Martínez – Especialista en Ortodoncia y Ortopedia Dentomaxilofacial
¡Hola! Soy la Dra. Daniela Martínez, odontóloga egresada de la Universidad Cuauhtémoc Querétaro y especialista en Ortodoncia y Ortopedia Dentomaxilofacial por la Universidad Autónoma de San Luis Potosí. Como miembro de la Asociación Mexicana de Ortodoncia (AMO) y la World Federation of Orthodontists (WFO), me mantengo en constante actualización para ofrecerte tratamientos de vanguardia y la mejor atención posible.
Cuento con formación en el uso de brackets convencionales, autoligado y alineadores invisibles, así como capacitación en mini implantes, fotografía dental, expansión maxilar, atención a pacientes con diabetes y embarazadas, primeros auxilios y más.
Trabajo junto a un equipo de especialistas altamente calificados para brindarte un tratamiento integral y personalizado, enfocado en mejorar no solo la estética de tu sonrisa, sino también tu salud bucodental y funcionalidad.
Será un placer acompañarte en este proceso y ayudarte a lograr la sonrisa que siempre has querido. ¡Agenda tu cita y comencemos juntos este camino hacia una mejor salud dental!
ver más Sobre mí

Enfocado en:

  • Ortodoncia
  • Ortopedia maxilofacial
  • Atm y oclusión
  • Articulación temporomandibular

Pacientes que atiendo

Adultos (Sólo en algunas direcciones)
Niños (Sólo en algunas direcciones)

Tipos de consulta

Videoconsulta

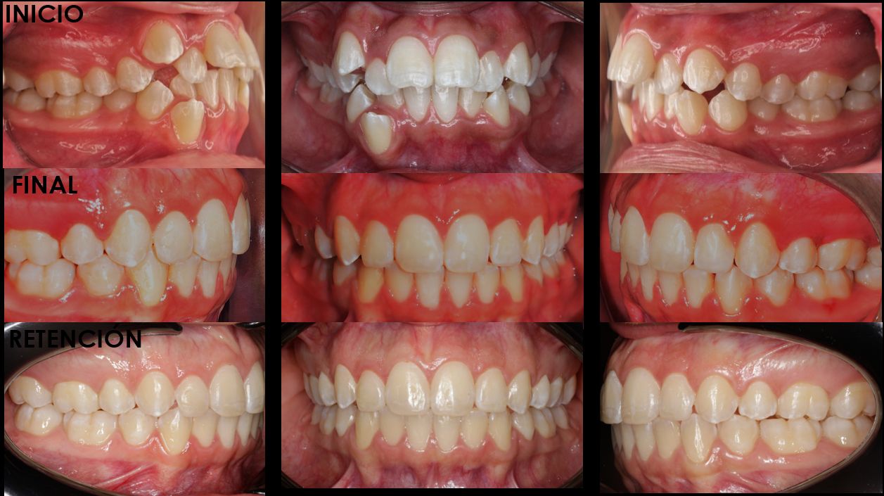
Fotos y videos

Servicios y precios

  • Consulta en línea

    $400

  • Limpieza dental pediátrica


  • Extracción infantil


  • Extracción simple


  • Gingivectomía

    Servicio gratuito

Consultorios (2)

Disponibilidad

Número de teléfono

446 129...
Ampliar se abre en una nueva pestaña
Dra. Daniela Martínez piso 3, interior 15

Paseo constituyentes 1009, Residencial Del Valle, Corregidora 76190

Disponibilidad

Número de teléfono

446 129...
Ampliar se abre en una nueva pestaña

No se aceptan aseguradoras

Este especialista sólo acepta pacientes privados. Puede pagar directamente la cita para reservar, o encontrar otro especialista que acepte su aseguradora.

48 opiniones

Todas las opiniones son importantes, por este motivo, los especialistas no pueden pagar para modificar o eliminar opiniones. Saber más. Más información sobre opiniones
  • J

    La dra. Es muy profesional en su trabajo la recomiendo ampliamente

     • Dra. Daniela Martínez piso 3, interior 15 Brackets para niños  • 

  • M

    Super profesional y excelente trato, explica muy bien todo y da muchísima confianza, he avanzando muy bien y me ha gustado mucho todo el tratamiento que me ha hecho

     • Dra. Daniela Martínez piso 3, interior 15 Limpieza dental para adulto  • 

  • J

    Profesional, explicación clara desde la primera cita. Está muy pendiente de la evolución del tratamiento. Siempre en constante actualización y es super amable.

     • Dra. Daniela Martínez piso 3, interior 15 Colocación de brackets  • 

  • A

    La atención es muy buena, te explican detalladamente el tratamiento que te van a realizar, los costos, el consultorio muy limpio siempre y lo más importante... El tratamiento que llevo va muy bien y con resultados visibles

     • Dra. Daniela Martínez piso 3, interior 15 Brackets / Ajuste Mensual  • 

  • U

    Es súper amable, me cae súper bien súper buena en todo lo que hizo

     • Dra. Daniela Martínez piso 3, interior 15 Brackets / Ajuste Mensual  • 

    Dra. Daniela Guadalupe Martinez Garcia

    Gracias por tu confianza Uriel


  • S

    Fue mi primera cita y tuve una excelente experiencia. Las instalaciones son muy bonitas, la atención, el detalle de la explicación, fue una muy buena experiencia. Seguiré mi tratamiento con Dani.

     • Dra. Daniela Martínez piso 3, interior 15 Primera visita Odontología  • 

    Dra. Daniela Guadalupe Martinez Garcia

    Gracias Samantha, para mí será un gusto atenderte.


  • M

    Excelente trato y muy puntual, la verdad que me explico todo de una manera clara y detallada, muy amable y servicial!

     • Dra. Daniela Martínez piso 3, interior 15 Visita Odontología  • 

    Dra. Daniela Guadalupe Martinez Garcia

    Seguimos al pendiente de tu caso, saludos!


  • J

    Muy amable y muy bien explicado el tratamiento a seguir.

     • Dra. Daniela Martínez piso 3, interior 15 Limpieza dental para adulto  • 

    Dra. Daniela Guadalupe Martinez Garcia

    Gracias Ernesto, estamos al pendiente de tu evolución. saludos!


  • A

    Todo muy profesional, salí muy satisfecha. Todo lo explicó muy bien y me enseñó a la perfección los tratamientos y los costos.

     • Dra. Daniela Martínez piso 3, interior 15 Primera visita Odontología  • 

    Dra. Daniela Guadalupe Martinez Garcia

    Sera un gusto atenderte, saludos!


  • M

    Muy buen trato, explicaciones claras y consultorio impecable, tienen un trato muy humano.

     • Dra. Daniela Martínez piso 3, interior 15 Brackets autoligado  • 

    Dra. Daniela Guadalupe Martinez Garcia

    Gracias por tus comentarios, es un gusto verte mes a mes!


Se ha producido un error, inténtalo de nuevo.

Dudas solucionadas

8 dudas solucionadas a pacientes en Doctoralia

Duda sobre Dientes desalineados

Hola, como están?
El día de ayer me colocaron brackets en las últimas muelas de arriba, pero no sé porque si en el tiempo que llevo con brackets que son 6 meses, no me los habían puesto, aparte tampoco tengo mucho espacio ya que tengo el colmillo derecho encima de la encía y la verdad me causa molestia, ya que me lastima la mejilla y al comer me muerdo, que podría hacer?
Muchas gracias por su atención, espero su respuesta atentamente.

Hola, que tal!
Según la planificación de tu tratamiento es el tiempo en que se colocan los tubos, mi recomendación sería que platiques con tu Dr. sobre la planificación y evolución de tu tratamiento, ya que hay movimientos que se tienen que realizar para que otros se den, tal vez esto te de calma. Saludos

Dra. Daniela Guadalupe Martinez Garcia

Duda sobre Dientes desalineados

Es normal que solo me colocaran tubos en las muelas de arriba?

Hola, que tal!
Según la planificación de tu tratamiento, es en el tiempo que se colocan, pero normalmente los tubos (brackets de las muelas) se colocan en los primeros y segundos molares.
Saludos

Dra. Daniela Guadalupe Martinez Garcia
Muestra todas las respuestas

Todos los contenidos publicados en Doctoralia, especialmente preguntas y respuestas, son de carácter informativo y en ningún caso deben considerarse un sustituto de un asesoramiento médico.