Egresado Facultad de Estomatología UASLP
Especialidad ortodoncia UNAM (cédula profesional especialista en Ortodoncia)
Roth Williams - Ortodoncia Gnatologica FACULTAD ODONTOLOGIA UNAM
implantologia básica Facultad de Estudios superiores Zaragoza UNAM
implantologia avanzada Dr Ricardo Loria UNAM
Láser dental ( Láser de Erbio-YAG. Laser Nd-YAG, Laser de diodo) remoción de caries dental, encías, frenillos
Certificado en INVISALIGN, alineadores dentales que permiten la alineación dental sin el uso de brackets
Egresado Facultad de Estomatología UASLP
Especialidad ortodoncia UNAM (cédula profesional especialista en Ortodoncia)
Roth Williams - Ortodoncia Gnatologica FACULTAD ODONTOLOGIA UNAM
implantologia básica Facultad de Estudios superiores Zaragoza UNAM
implantologia avanzada Dr Ricardo Loria UNAM
Láser dental ( Láser de Erbio-YAG. Laser Nd-YAG, Laser de diodo) remoción de caries dental, encías, frenillos
Certificado en INVISALIGN, alineadores dentales que permiten la alineación dental sin el uso de brackets
Avenida Moctezuma 4677 esquina Av Labna Jardines del Sol, Zapopan 45050
¡Hola! Soy el Dr. Javier Ibáñez, odontólogo especialista en:
Ortodoncia
Odontología Estética
Implantología Dental
Ortopedia Dentofacial
Prótesis Dental
Si buscas mejorar tu sonrisa o necesitas atención dental especializada, agenda una cita conmigo. ¡Estaré encantado de ayudarte!
Avenida Moctezuma 4677 esquina Av Labna Jardines del Sol, Zapopan 45050
¡Hola! Soy el Dr. Javier Ibáñez, odontólogo especialista en:
Ortodoncia
Odontología Estética
Implantología Dental
Ortopedia Dentofacial
Prótesis Dental
Si buscas mejorar tu sonrisa o necesitas atención dental especializada, agenda una cita conmigo. ¡Estaré encantado de ayudarte!
27/09/2024
Servicios y precios
Tratamiento de Endodoncia
Ortodoncia prequirúrgica
Guardas gnatológicas
Higiene bucodental
Implante dental
Desde $0
Invisalign
Desde $40,000
Odontología láser
Ortodoncia con alineadores invisibles
Desde $40,000
Ortodoncia convencional
Desde $0
Ortodoncia de autoligado
Desde $15,000
Ortodoncia estética lingual
Ortodoncia interceptiva
Ortopantomografía
$350
Gingivectomía
Desde $0
Ortopedia maxilo-facial
Prevención en salud bucal
Profilaxis (Limpieza Dental)
Prótesis
Prótesis totales
Pulpectomía - Pulpotomía
Desde $0
Reconstrucción de diente con endopostes de fibras de vidrio
Fluor de niños, selladores de fisuras para los niños
Carillas de porcelana
Desde $0
Cirugía preprotésica implante endoóseo
Coronas estéticas
Desde $0
Tratamiento de conductos
$0 - $2,500
Desbridamiento y drenaje de absceso
Desde $0
Diseño de sonrisa
Desde $0
Telerradiología oral
Exodoncia
Desde $1,000
Extracción de cordal incluido
Desde $0
Extracción de las muelas del juicio
Desde $0
Extracción de otras piezas dentarias
Desde $0
Tartrectomía en ambas arcadas
Consulta en línea
$450
Endopostes de fibras de vidrio (estéticos)
Curetaje
Gingivoplastia
Los centros o especialistas son responsables de los precios y la información relacionada con ellos. Doctoralia no influye en los precios y no es responsable de establecerlos.
Los precios son para pacientes sin aseguradora
Artículos
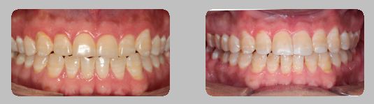
Caries
Remoción de caries con Láser de Erbio Yag y ErCrYsGG logrando mayor conservación de tejido dental en muchos casos sin necesidad de anestesia.
El laser dental remueve el tejido dental con caries a la vez desinfecta el tejido remanente contribuyendo a una obturación dental libre de gérmenes que pudieran ocasionar una nueva lesión cariosa en esa zona.
Prepárate 10 minutos antes de la consulta y comprueba que tu celular o computadora tengan la batería cargada.
Para una videollamada asegúrate que todo funciona: conexión a Internet, cámara y micrófono.
También puedes preparar la documentación médica (como algún test o resultado) que necesites enseñar durante la consulta.
Formas de pago (visitas privadas)
Tarjeta de crédito
Detalles de pago
El pago de la consulta va directamente a tu especialista, que se encarga de determinar también la política de reembolso y cancelación.
Si tienes algún problema con el pago contacta con tu especialista, por favor.
Recuerda: Doctoralia no te agregará ningún importe adicional por tu consulta, ya que tu pago se ingresará directamente en la cuenta de tu especialista.
Este especialista sólo acepta pacientes privados. Puede pagar directamente la cita para reservar, o encontrar otro especialista que acepte su aseguradora.
Todas las opiniones son importantes, por este motivo, los especialistas no pueden pagar para modificar o eliminar opiniones.
Saber más.Más información sobre opiniones
F
Fabian Aguirre
Tipos de verificación
Verificamos la autenticidad de todas las opiniones para asegurar que todas proceden de pacientes que se han visitado con el especialista/clínica. Por ello, hemos introducido 3 niveles extra de verificación, además de los que ya teníamos:
Número de teléfono verificado
Pacientes que verificaron su número de teléfono a través de un código enviado por SMS.
Cita verificada
Pacientes que reservaron su cita con este/a especialista y confirmaron su número de teléfono a través de un código enviado por SMS.
Pago y cita verificados
Pacientes que reservaron su cita y realizaron el pago a través de Doctoralia. El número de teléfono del paciente se verificó con un código enviado por SMS. La credibilidad de esta opinión es muy alta.
Agregar alguna pantalla al consultorio donde se transfieran las imágenes y tener uno como paciente más visión a su explicación
Si es buena sugerencia, podemos compartirte las imágenes que te tomamos , el lunes te las enviamos
M
Martha Rios
Tipos de verificación
Verificamos la autenticidad de todas las opiniones para asegurar que todas proceden de pacientes que se han visitado con el especialista/clínica. Por ello, hemos introducido 3 niveles extra de verificación, además de los que ya teníamos:
Número de teléfono verificado
Pacientes que verificaron su número de teléfono a través de un código enviado por SMS.
Cita verificada
Pacientes que reservaron su cita con este/a especialista y confirmaron su número de teléfono a través de un código enviado por SMS.
Pago y cita verificados
Pacientes que reservaron su cita y realizaron el pago a través de Doctoralia. El número de teléfono del paciente se verificó con un código enviado por SMS. La credibilidad de esta opinión es muy alta.
Excelente servicio y resultados, es un lugar donde sé que tendré garantía de satisfacción siempre. Muy agradecida desde hace años! Mis dentistas de absoluta confianza.
Verificamos la autenticidad de todas las opiniones para asegurar que todas proceden de pacientes que se han visitado con el especialista/clínica. Por ello, hemos introducido 3 niveles extra de verificación, además de los que ya teníamos:
Número de teléfono verificado
Pacientes que verificaron su número de teléfono a través de un código enviado por SMS.
Cita verificada
Pacientes que reservaron su cita con este/a especialista y confirmaron su número de teléfono a través de un código enviado por SMS.
Pago y cita verificados
Pacientes que reservaron su cita y realizaron el pago a través de Doctoralia. El número de teléfono del paciente se verificó con un código enviado por SMS. La credibilidad de esta opinión es muy alta.
La doctora muy amable, todo bien
No hay queja alguna
Verificamos la autenticidad de todas las opiniones para asegurar que todas proceden de pacientes que se han visitado con el especialista/clínica. Por ello, hemos introducido 3 niveles extra de verificación, además de los que ya teníamos:
Número de teléfono verificado
Pacientes que verificaron su número de teléfono a través de un código enviado por SMS.
Cita verificada
Pacientes que reservaron su cita con este/a especialista y confirmaron su número de teléfono a través de un código enviado por SMS.
Pago y cita verificados
Pacientes que reservaron su cita y realizaron el pago a través de Doctoralia. El número de teléfono del paciente se verificó con un código enviado por SMS. La credibilidad de esta opinión es muy alta.
Increíble atención, amabilidad, empatía, solidaridad, Dr. Javier Ibáñez Brambila es todo un profesional de gran experiencia, trato ético, muy humano en cada paso del proceso mucho tacto, estaba nerviosa porque era mi primera profilaxis, y el Dr. Javier Ibáñez te inspira desde el principio gran confianza, te hace sentir muy seguro, confortable.
Inmenso conocimiento , esto nos da una gran confianza, recomiendo absolutamente hacer cita con Dr.Javier brinda gran calidad en atención humana,odontológica, detallada orientación ,consejos que nuevos pacientes buscamos por primera vez, estoy en buenas manos, una gran bendición, ¡estoy muy agradecida con Cristo y Santa María por enviarlo a mi camino! ¡Dios los bendiga, Dr. Javier Ibáñez Brambilla,a su familia, y a todo su bello equipo!
Dra. Clarissa Padilla maravillosa persona, me estuvo dando asistencia con Dr.Javier,muy buena Doctora,muy profesional, amable,gran apoyo en cada momento,muy gentil también la recomiendo!
Recepcionista muy atenta!
Muchas Gracias por tu comentario , es nuestra labor darle al paciente confianza e informacion para que cuide su salud bucal
G
Gabriel
Tipos de verificación
Verificamos la autenticidad de todas las opiniones para asegurar que todas proceden de pacientes que se han visitado con el especialista/clínica. Por ello, hemos introducido 3 niveles extra de verificación, además de los que ya teníamos:
Número de teléfono verificado
Pacientes que verificaron su número de teléfono a través de un código enviado por SMS.
Cita verificada
Pacientes que reservaron su cita con este/a especialista y confirmaron su número de teléfono a través de un código enviado por SMS.
Pago y cita verificados
Pacientes que reservaron su cita y realizaron el pago a través de Doctoralia. El número de teléfono del paciente se verificó con un código enviado por SMS. La credibilidad de esta opinión es muy alta.
Todo muy bien y limpio siempre muy profesional Javier
Verificamos la autenticidad de todas las opiniones para asegurar que todas proceden de pacientes que se han visitado con el especialista/clínica. Por ello, hemos introducido 3 niveles extra de verificación, además de los que ya teníamos:
Número de teléfono verificado
Pacientes que verificaron su número de teléfono a través de un código enviado por SMS.
Cita verificada
Pacientes que reservaron su cita con este/a especialista y confirmaron su número de teléfono a través de un código enviado por SMS.
Pago y cita verificados
Pacientes que reservaron su cita y realizaron el pago a través de Doctoralia. El número de teléfono del paciente se verificó con un código enviado por SMS. La credibilidad de esta opinión es muy alta.
Fui a hacerme una limpieza dental, recibí una excelente atención de todo el personal, todos muy amables. Quede muy satisfecha con el servicio.
Verificamos la autenticidad de todas las opiniones para asegurar que todas proceden de pacientes que se han visitado con el especialista/clínica. Por ello, hemos introducido 3 niveles extra de verificación, además de los que ya teníamos:
Número de teléfono verificado
Pacientes que verificaron su número de teléfono a través de un código enviado por SMS.
Cita verificada
Pacientes que reservaron su cita con este/a especialista y confirmaron su número de teléfono a través de un código enviado por SMS.
Pago y cita verificados
Pacientes que reservaron su cita y realizaron el pago a través de Doctoralia. El número de teléfono del paciente se verificó con un código enviado por SMS. La credibilidad de esta opinión es muy alta.
Buena atención.
Explicación amable y tratamiento rápido y efectivo.
•
OrtoLaser • Primera visita Odontología
•
Dr. Javier Ibáñez Brambila
Genaro muchas gracias por tu comentario
A
A.S
Tipos de verificación
Verificamos la autenticidad de todas las opiniones para asegurar que todas proceden de pacientes que se han visitado con el especialista/clínica. Por ello, hemos introducido 3 niveles extra de verificación, además de los que ya teníamos:
Número de teléfono verificado
Pacientes que verificaron su número de teléfono a través de un código enviado por SMS.
Cita verificada
Pacientes que reservaron su cita con este/a especialista y confirmaron su número de teléfono a través de un código enviado por SMS.
Pago y cita verificados
Pacientes que reservaron su cita y realizaron el pago a través de Doctoralia. El número de teléfono del paciente se verificó con un código enviado por SMS. La credibilidad de esta opinión es muy alta.
Mejor odontólogo en Guadalajara , excelente servicio, instalaciones, profesionalismo.
•
OrtoLaser • Primera visita Odontología
•
Dr. Javier Ibáñez Brambila
Muchas gracias por tu comentario, esperamos poder seguir atendiendote
R
RRR
Tipos de verificación
Verificamos la autenticidad de todas las opiniones para asegurar que todas proceden de pacientes que se han visitado con el especialista/clínica. Por ello, hemos introducido 3 niveles extra de verificación, además de los que ya teníamos:
Número de teléfono verificado
Pacientes que verificaron su número de teléfono a través de un código enviado por SMS.
Cita verificada
Pacientes que reservaron su cita con este/a especialista y confirmaron su número de teléfono a través de un código enviado por SMS.
Pago y cita verificados
Pacientes que reservaron su cita y realizaron el pago a través de Doctoralia. El número de teléfono del paciente se verificó con un código enviado por SMS. La credibilidad de esta opinión es muy alta.
Excelente atencion a mi problema y explicacion detallada del traratamiento a seguir
Ricardo agradezco tu comentario, esperamos seguir atendiendo tu dentadura
A
Abelardo
Tipos de verificación
Verificamos la autenticidad de todas las opiniones para asegurar que todas proceden de pacientes que se han visitado con el especialista/clínica. Por ello, hemos introducido 3 niveles extra de verificación, además de los que ya teníamos:
Número de teléfono verificado
Pacientes que verificaron su número de teléfono a través de un código enviado por SMS.
Cita verificada
Pacientes que reservaron su cita con este/a especialista y confirmaron su número de teléfono a través de un código enviado por SMS.
Pago y cita verificados
Pacientes que reservaron su cita y realizaron el pago a través de Doctoralia. El número de teléfono del paciente se verificó con un código enviado por SMS. La credibilidad de esta opinión es muy alta.
El Dr. siempre es dedicado y amable. Lo conocemos hace mucho tiempo y otros familiares han estado en tratamiento con el
Puedo tomar Chocomilk si estoy tomando antibióticos como Amoxicilina clavulánico?
Si puedes tomar chocomilk (que sea de Pancho Pantera)
Estoy usando brackets y estoy como a 2 meses de terminar pero necesitare un implante dental en un premolar de abajo porque lo perdí poco antes inicar el tratamiento, entonces obviamente ya no hay hueso ahi y muy probablemente necesite injerto pero, podría esperar tal vez 1 año después de terminar con los brackets para iniciar con el tema del implante?, la razón es que actualmente son muy caros y además he tenido un montón de tratamientos y sinceramente ya estoy cansado de pasar por tantas recuperaciones, perdon por extenderme tanto
Es conveniente lo consultes con el Dr que te colocará el implante, no siempre es conveniente dejar mucho tiempo sin el implante porque puede perderse mas hueso, lo ideal es que si te falta hueso se coloque pronto si tienes hueso puedes esperar un poco, otra opción es que con la ortodoncia se cierre el espacio donde perdiste el premolar , esto se tendría que evaluar para decidirlo lo mas adecuado
Todos los contenidos publicados en Doctoralia, especialmente preguntas y respuestas, son de carácter informativo y en ningún caso deben considerarse un sustituto de un asesoramiento médico.
Ya ha iniciado sesión con una cuenta. Por favor, cierre la sesión para poder continuar.
Los precios de algunos servicios pueden variar según el caso. Le recomiendo que agende su cita ahora y justo después, me envíe un mensaje para consultar el precio del servicio. Será un placer atenderle.
La información profesional de este perfil ha sido revisada y validada por Doctoralia utilizando fuentes públicas o documentación proporcionada.
El número de registro profesional garantiza tu seguridad. Los profesionales de la salud deben contar con un cédula profesional para sus especialidades. Si no encuentras el registro del profesional, puedes consultarlo aquí: cedulaprofesional.sep.gob.mx
Es necesario realizar el pago de tu cita
Tu especialista solicita que realices el pago de la visita que tienes pendiente. Para modificarla, por favor, realiza el pago por adelantado o contacta directamente con tu especialista.