Dra. Ireri Rojas Bermúdez

Dentista - Odontólogo · Ver más

Benito Juárez 1 dirección

No. de cédula: 9260878 8231607

146 opiniones
Tiempo de respuesta aproximado:

Experiencia

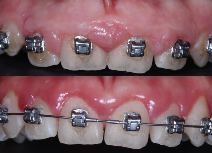
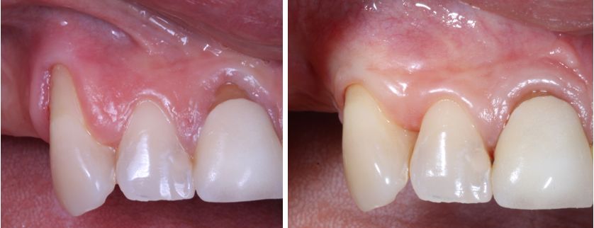
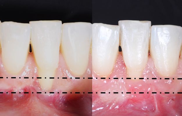
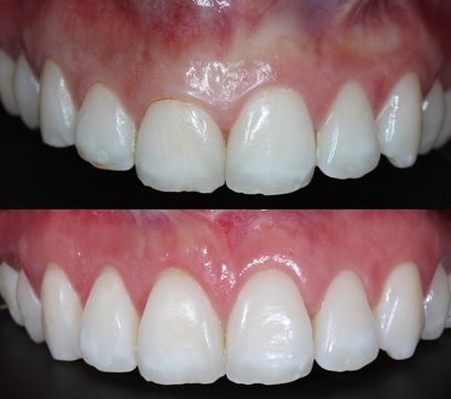
Cuento con practica privada de más de 8 años de experiencia en Periodoncia e Implantología.
En clínica dental indiana utilizamos herramientas de diagnóstico sofisticadas, como fotografía clínica, microscopio, diseño de sonrisa por computadora , cirugía guiada a través de un software de planeación, uso de radiografía digital, tomografía y escáner intraoral.

El diagnóstico es la clave de un tratamiento exitoso a largo plazo.
La conjugación de mis dos especialidades, permiten una vision amplia y una detección oportuna en problemas bucales.
La Periodoncia busca salvar el soporte del diente afectado y por otro lado la implantología sustituye dientes perdidos, lo que permite devolver la función y estética a pacientes que han perdido hueso y dientes.
En Clínica Dental Indiana cuento con Especialistas de todas las áreas de la Salud Bucal para poder brindarte un servicio integral y de calidad.
ver más Sobre mí

Enfocado en:

  • Implantología
  • Periodoncia

Pacientes que atiendo

Adultos
Niños (Sólo en algunas direcciones)

Tipos de consulta

Videoconsulta

Fotos y videos

Aseguradoras aceptadas

Se aceptan aseguradoras, pero la cobertura varía según la ubicación y el servicio.

Consultorios (2)

Ampliar se abre en una nueva pestaña
Consultorio Privado

Calle Indiana 260 Int. 404, Ciudad De Los Deportes, Benito Juárez 03710

Disponibilidad

Número de teléfono

55 3518...
55 4917...
Ampliar se abre en una nueva pestaña

Disponibilidad

Este especialista no ofrece reserva online en esta dirección

Servicios y precios

  • Visitas sucesivas Odontología


  • Reconstrucción dental


  • Implante dental


  • Extracción con regeneración


  • Primera visita Odontología

    Desde $1,500

146 opiniones

Todas las opiniones son importantes, por este motivo, los especialistas no pueden pagar para modificar o eliminar opiniones. Saber más. Más información sobre opiniones
  • A

    Excelente todo. Buen servicio, paciente, explica todo perfecto y te hace sentir cómodo.

     • Consultorio Privado Higiene bucodental  • 

    Dra. Ireri Rojas Bermúdez

    Muchas gracias por tu comentario, nos vemos en tu próxima cita


  • J

    Doctora experta y minuciosa, con trato amable y profesional. Muy recomendable.

     • Consultorio Privado Extracción de las muelas del juicio  • 

    Dra. Ireri Rojas Bermúdez

    Gracias por tu bonito comentario, es un gusto atenderte


  • A

    Estoy absolutamente satisfecho con la cirugía de muelas que me realizaron. Desde el inicio, el procedimiento fue claro y el equipo médico me explicó todo paso a paso, lo que me dio mucha confianza. La operación fue rápida, sin complicaciones y, gracias a la excelente atención, la recuperación fue mucho menos dolorosa de lo que esperaba.

     • Consultorio Privado Extracción de otras piezas dentarias  • 

    Dra. Ireri Rojas Bermúdez

    Para IP Dental Studio confianza es fundamental y estamos muy contentos de saber que tu experiencia con nosotros fue gratificante, un saludo Arath


  • A

    Tanto la doctora como su asistente fueron muy atentas y detalladas. De inicio a fin me dieron claridad en su objetivo con el tratamiento. Ambas me escucharon y espero poder seguir siendo atendida por ellas

     • Consultorio Privado Otro  • 

    Dra. Ireri Rojas Bermúdez

    Andrea fue un gusto atenderte y saber que tuviste una experiencia grata, nosotros felices de que sigas atendiéndote en IP Dental Studio


  • A

    Es una buena clínica y tiene gente muy eficiente. No sé qué más decir. Me gusta el trato que me dieron.

     • Consultorio Privado Visitas sucesivas Odontología  • 

  • S

    Mi experiencia con la Dra. Ireri fue excelente. Su enfoque comprensivo y profesionalismo me hicieron sentir cómoda y bien cuidada.
    Su equipo también siempre es amable y eficiente. Recomiendo ampliamente atenderse con la Dra.

     • Consultorio Privado Otro  • 

  • M

    Excelente profesional con un gran compromiso por la salud.

     • Consultorio Privado Implante dental  • 

  • D

    Excelente tratamiento de prótesis dental, con recuperación totalmente favorable

     • Consultorio Privado Visitas sucesivas Odontología  • 

  • U

    Muy profesional y preparada la Dra .

     • Consultorio Privado Otro  • 

  • B

    Claridad y especificidad en la información que sustenta el tratamiento.

     • Consultorio Privado Primera visita Odontología  • 

Se ha producido un error, inténtalo de nuevo.

Dudas solucionadas

8 dudas solucionadas a pacientes en Doctoralia

Necesito un periodoncista en zona sur cdmx, Coapa, Coyoacán, o no tan lejos de aquí. Me urge... un buen periodoncista y tambien endodoncista, mil graciass...

Hola buenas tardes, nos encontramos en ciudad de los deportes, enfrete del estadio, con gusto podemos recibirte, la doctora es pespecialista en periodoncia e implanología, igualmente la doctora trabaja con especialista como endodoncista que trabajan en conjunto, escribenos para poder agendar una cita

Dra. Ireri Rojas Bermúdez

Hace una semana me hicieron una curacion simple de un diente pero sentía dolor al masticar después de esa curación, volví al consultorio y me dijo que se había caído la resina y que estaba alta pero aún después de eso sentí dolor leve solo al masticar, fui a otra dra y dijo que la curación estaba como cerros no tenía forma después de eso sentí más nivelada mi forma de mis dientes pero sigo con ese dolor leve al masticar pero es menos que antes, lo siento en un costado ¿Qué podría ser?

Hola, probablemnete tu ligamento esta inflamado por el tiempo que estuvo tu resina alta y de forma traumatica, igualmente sería importante que se tome una radiografía para ver no hay alguna lesión periapical en dicho diente.
Con gusto podemos revisar esa diente y hacer a spruebasnecesarias para diagnósticarte

Dra. Ireri Rojas Bermúdez
Muestra todas las respuestas

Todos los contenidos publicados en Doctoralia, especialmente preguntas y respuestas, son de carácter informativo y en ningún caso deben considerarse un sustituto de un asesoramiento médico.