Dr. Carlos Enrique Hernández Rodríguez

Dentista - Odontólogo · Ver más sobre las especializaciones

Benito Juárez 1 dirección

No. de cédula: 14106990

17 opiniones
Tiempo de respuesta aproximado:

Experiencia

Universidad Nacional Autónoma de México Facultad de Estudios Superiores Iztacala Gen 2016-2020
                                                       

                                                              TÉCNICA NO DOLOR


Diplomado en Odontología Estética
Diplomado en Odontología Infantil y Adolescencia

Cirujano Dentista egresada de la Universidad Nacional Autónoma de México en el año 2020. Me enfoco en dar atención priorizando la urgencia del paciente así como de los padecimientos odontológicos secundarios, dentro de mi consultorio cuento con mi equipo de especialistas necesarios para brindarte un completo plan de tratamiento eficaz.


Mi objetivo con la TECNICA NO DOLOR es ayudar a los pacientes a tener una mejor experiencia en el dentista, dejando atrás el miedo de la odontología de antes. 

ver más Sobre mí

Enfocado en:

  • Odontología general
  • Odontología estética
  • Odontopediatría

Pacientes que atiendo

Adultos
Niños

Tipos de consulta

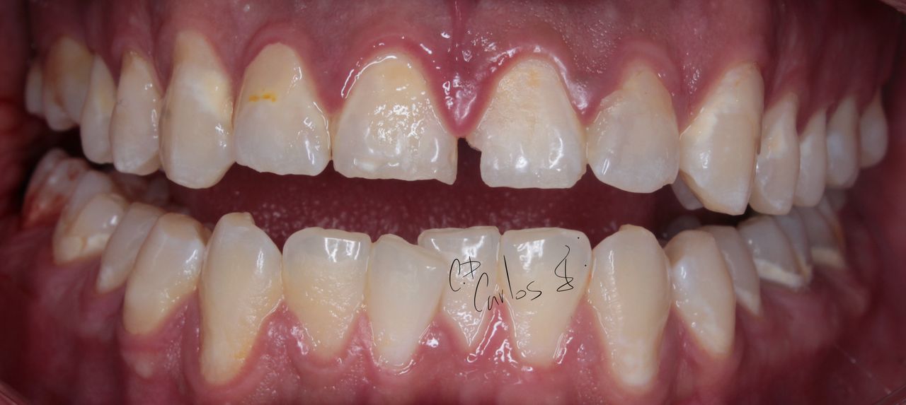
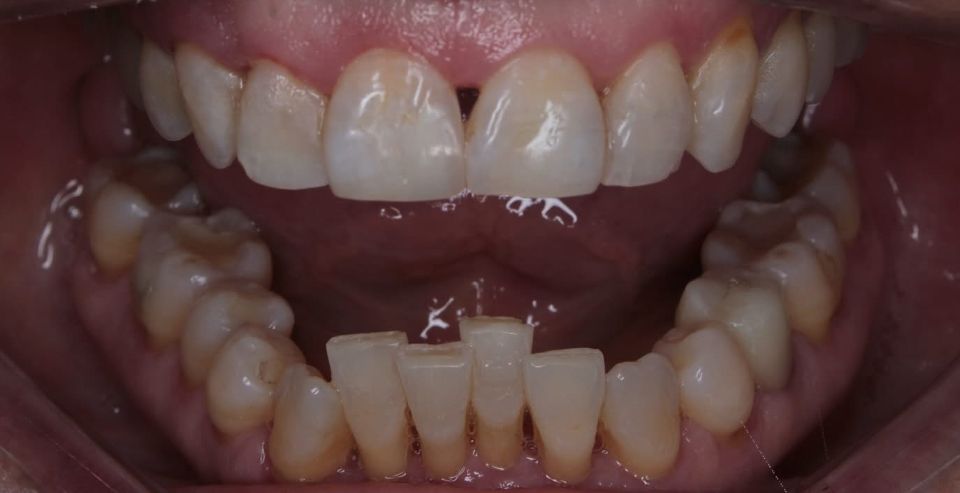
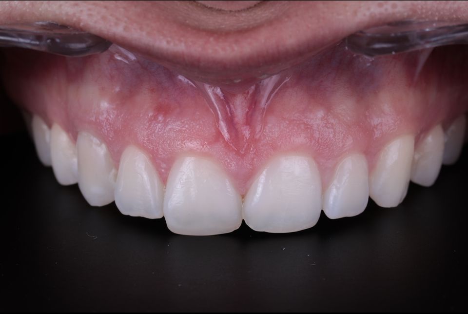
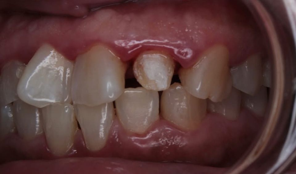
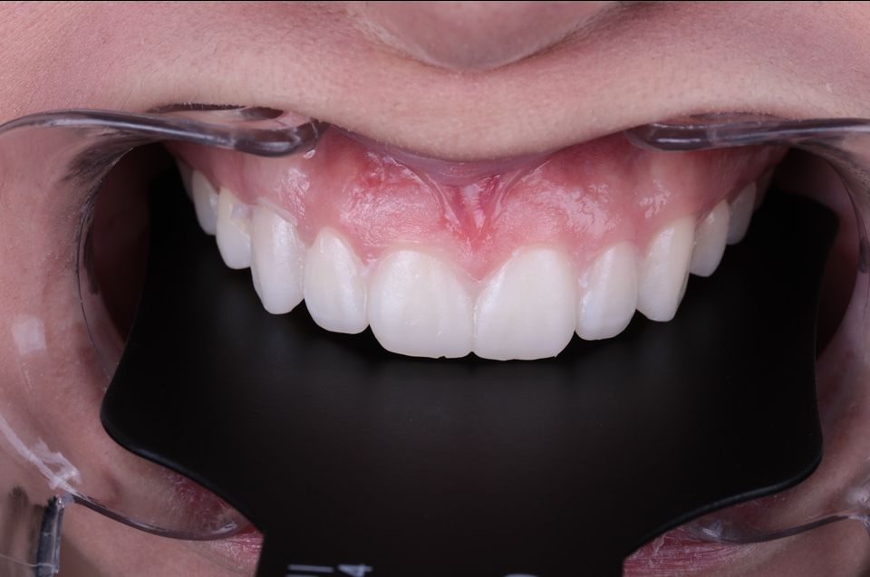
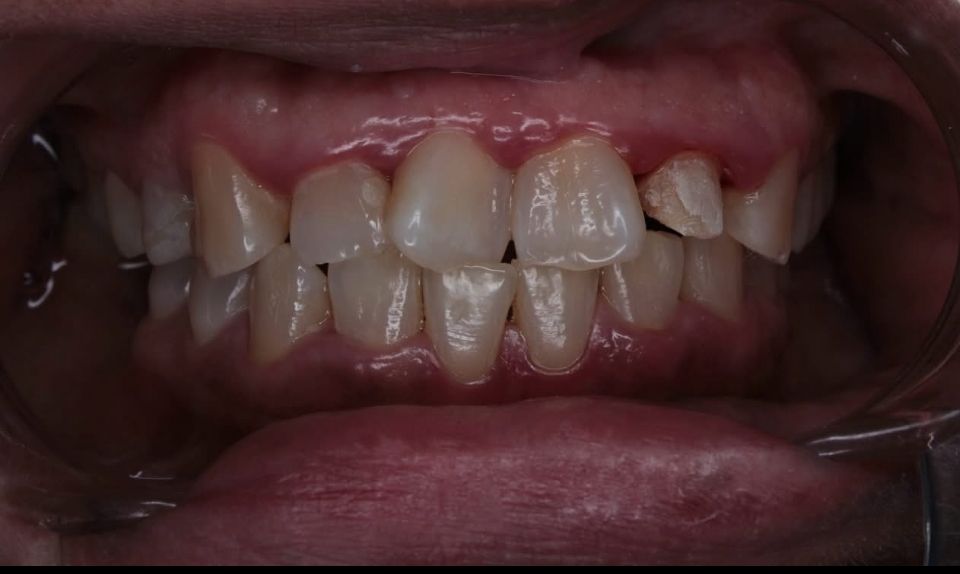
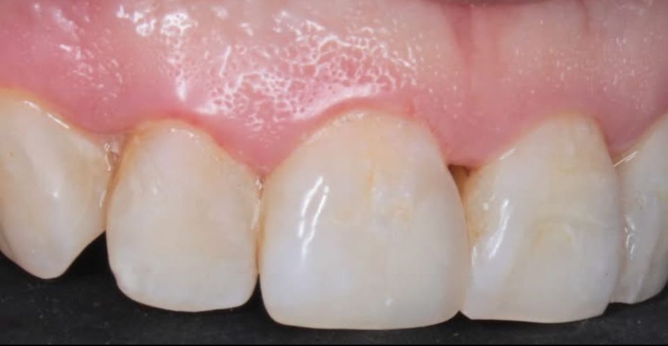
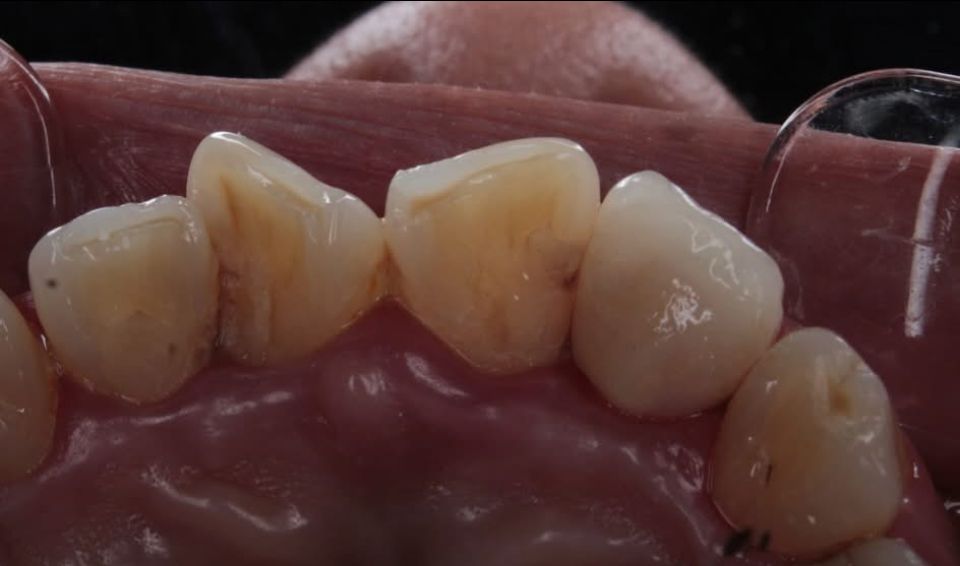
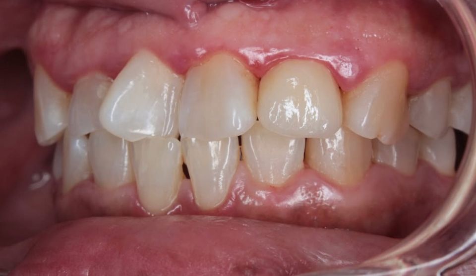
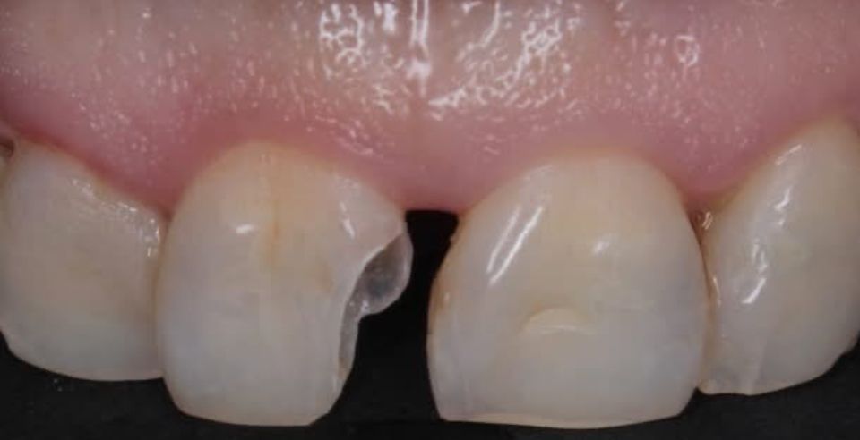
Fotos y videos

Servicios y precios

  • Visita Odontología

    $600

  • Extracción de otras piezas dentarias


  • Tratamiento de conductos


  • Resinas dentales


  • Reconstrucción dental


Consultorio

Ampliar se abre en una nueva pestaña
Consultorio Dental Dr Carlos Hernandez

Adolfo Prieto 1638, Colonia Del Valle Sur, Benito Juárez 03104

Disponibilidad

Ampliar se abre en una nueva pestaña
Reserva por teléfono 24/7

No se aceptan aseguradoras

Este especialista sólo acepta pacientes privados. Puede pagar directamente la cita para reservar, o encontrar otro especialista que acepte su aseguradora.

17 opiniones

Lo más mencionado por los pacientes

  • Eficacia del tratamiento
  • Explicaciones detalladas
  • Dedicación durante la visita
Todas las opiniones son importantes, por este motivo, los especialistas no pueden pagar para modificar o eliminar opiniones. Saber más. Más información sobre opiniones
  • K

    Excelente atención al paciente, su disponibilidad para atender es increíble y bastante amena la cita

     • Consultorio Dental Dr Carlos Hernandez Extracción de las muelas del juicio  • 

  • A

    Recomiendo los servicios del doctor Carlos Hernandez ya que cumplió con todas mis necesidades y espectativas con un excelente servicio y disposición con gran profesionalismo

     • Consultorio Dental Dr Carlos Hernandez Extracción de las muelas del juicio  • 

  • H

    Un espléndido dentista con una atención generosa y humana. Y con buenísima mano.

     • Consultorio Dental Dr Carlos Hernandez Extracción de las muelas del juicio  • 

  • A

    Mi experiencia fue muy grata a pesar de la edad que tiene el Dr. me hizo saber que cuenta con amplia experiencia en su profesión ya que desde la 1ra. visita fue muy claro al decirme el problema de bruxismo que tengo, se empezó a trabajar en dientes y muelas para evitar el desgaste de piezas dentales. quede muy satisfecho con el trabajo realizado, queda pendiente unas coronas pero todo a su tiempo. Muchas gracias Dr.

     • Consultorio Dental Dr Carlos Hernandez Resinas dentales  • 

  • J

    Súper recomendable , el doctor muy profesional te explica paso a paso el procedimiento, muy buena atención y excelentes instalaciones

     • Consultorio Dental Dr Carlos Hernandez Resinas dentales  • 

  • M

    Excelente servicio, precios muy accesibles y tratamiento eficaz

     • Consultorio Dental Dr Carlos Hernandez Primera visita Odontología  • 

  • R

    De los mejores dentista a los que he acudido muy buen precio 100% recomendado

     • Consultorio Dental Dr Carlos Hernandez Reconstrucción dental  • 

  • L

    Le recomiendo seguir así, van por buen camino

     • Consultorio Dental Dr Carlos Hernandez Blanqueamiento dental  • 

  • M

    Los precios son muy buenos. Excelente doctor
    Todo muy higiénico

     • Consultorio Dental Dr Carlos Hernandez Extracción de otras piezas dentarias  • 

  • D

    Buen servicio, excelente atención y explicación detallada, un buen Dentista.

     • Consultorio Dental Dr Carlos Hernandez Primera visita Odontología  • 

Se ha producido un error, inténtalo de nuevo.

Dudas solucionadas

16 dudas solucionadas a pacientes en Doctoralia

Duda sobre Fracturas de dientes

Hace 4 días fui al dentista por una carie en el molar inferior, pero la anestesia no ha pasado del todo siento la mitad de legua entumecida y con hormigueo, me recomendó tomar complejo b, pero no ha mejorado nada ya con 3 días tomándolo, me dijo que había tenido reacción alérgica y que solo se quitaba, Tendría que ir a urgencias ya?

Solo mantenlo bajo observación, mencionas los signos de una parestesia. Esta lesión es poco común en tu caso que anestesiaron para realizar una resina el causante pudo ser el bisel de la aguja, al ser un bisel demasiado pequeño está lesión no debe demorar en quitarse, te pueden ayudar terapias con láser infrarrojo en la zona del nervio. El complejo B tomado o inyectado también ayuda con este tipo de lesión, debes tener paciencia ya que es cuestión con tiempo, Saludos y que te mejores pronto.

Dr. Carlos Enrique Hernández Rodríguez

Duda sobre Extracción de las muelas del juicio

Ola me acabo de sacar dos dientes pero la verdad me ara daño masturbarme ya que me los saque alas 9 de la mañana y traigo erección y siento que quiero masturbarme para que se me quite eso me ara daño consejos

Hola, no te recomiendo masturbarte ya que al aumentar tu flujo sanguíneo o presión es muy probable que cause la salida de tu coágulo de la herida. Esto provocara que tu herida no cicatrice bien, se seque el hueso y tengas una hipersensibilidad. Que es fácil de corregir pero será muy lenta tu recuperación. Solo espera 3 días para que tengas una pronto y buena cicatrización.

Dr. Carlos Enrique Hernández Rodríguez
Muestra todas las respuestas

Todos los contenidos publicados en Doctoralia, especialmente preguntas y respuestas, son de carácter informativo y en ningún caso deben considerarse un sustituto de un asesoramiento médico.