Dra. Karen Monserrat Gomez Reyes

Dentista - Odontólogo · Ver más

Cuauhtémoc 2 direcciones

No. de cédula: 13191123

81 opiniones
Tiempo de respuesta aproximado:

Experiencia

Sobre mí

Soy egresada de la Facultad de Odontología de la Universidad Nacional Autónoma de Mexico (UNAM) .
Cuento con experiencia profesional privada. Actualmente soy titular de Blancodent, una clínica que brinda rehabilitación odontológica general con un equipo de especialistas comprometidos en brindar soluciones dentales de calidad y con un trato humano.

Buscamos brindar una experiencia agradable a nuestros pacientes teniendo siempre en cuenta que nuestro objetivo es poder brindarles la mejor de las atenciones y soluciones dentales.


¿Por qué elegirme a mí?

Me considero una profesionista muy dedicada a sus pacientes, mi objetivo es que las consultas al odontólogo sean una experiencia agradable, siempre con empatía y humanismo .


Principales áreas de tratamiento

Odontopediatría: Nuestra atención con los niños nos distingue debido a que aplicamos técnicas conductuales que nos ayudan a tener una consulta agradable.

Periodoncia: Esta rama de la odontología se encarga del tratamiento de enfermedades que afectan a los tejidos de soporte del diente (hueso, ligamento periodontal, cemento). La oportuna intervención de estas enfermedades nos ayudará a prevenir la pérdida dental.


Mi consulta y mi equipo

Somos una Clínica con un equipo multidiscliplinario actualizado y la vanguardia de técnicas dentales, comprometidos siempre en ofrecer un diagnostico y tratamiento ideal .

El objetivo siempre será brindarles la mejor atención con profesionalismo y responsabilidad.


Otros servicios

Ortodoncia
Odontopediatria
Endodoncia
Maxilofacial
Prótesis
Odontologia Estetica
Implantologia
Guardas deportivas
Guardas Oclusales
Resinas
Caries
Bruxismo
Dolor de muelas
Extracción de terceros molares
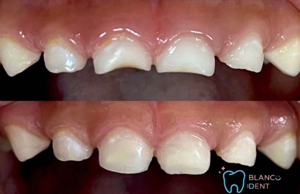
Fractura corona
Pulpectomia
Pulpotomia
Blanqueamiento con zoom
Blanqueamiento casero

ver más Sobre mí

Enfocado en:

  • Odontología general
  • Prótesis dental
  • Urgencias dentales
  • Odontología pediátrica

Pacientes que atiendo

Adultos
Niños

Tipos de consulta

Fotos y videos

Destacados

Logo
Dra. Karen Monserrat Gomez Reyes

Pedro Romero de Terreros 809, Benito Juárez 03103

¡Sonríe con confianza!
Aprovecha nuestra promoción especial de limpieza dental y luce una sonrisa más sana y brillante.
¡Cupos limitados! Reserva tu cita hoy.

24/04/2025

Servicios y precios

  • Visita Odontología


  • Primera visita Odontología

    $600 - $800

  • Ortodoncia

    Desde $900

  • Profilaxis (Limpieza Dental)

    $900 - $990

  • Resinas dentales

    Desde $800

Consultorios (2)

Ampliar se abre en una nueva pestaña
BLANCODENT

Calle Manzanillo 112, Roma Sur, Cuauhtémoc 06760

Disponibilidad

Ampliar se abre en una nueva pestaña
Reserva por teléfono 24/7
Ampliar se abre en una nueva pestaña
Blanco Dent del Valle

Pedro Romero de Terreros 809, Benito Juárez 03103

Disponibilidad

Número de teléfono

56 4862...
Ampliar se abre en una nueva pestaña

Aseguradoras aceptadas

Se aceptan aseguradoras, pero la cobertura varía según la ubicación y el servicio.

  • Odontoprev

81 opiniones

Todas las opiniones son importantes, por este motivo, los especialistas no pueden pagar para modificar o eliminar opiniones. Saber más. Más información sobre opiniones

Destacadas

  • A

    He ido a muchos dentistas y ninguno fue tan profesional como la Dra. Karen, es muy cuidadosa y meticulosa en sus cirugías. En mi opinion muy profesional ella y su equipo con el que trabaja, ademas buen carisma y actitud.

     • BLANCODENT Otro  • 

  • A

    Me encanta acudir a Blanco Dent, los doctores son muy amables y siempre resuelven mis dudas .
    Sin duda una experiencia muy distinta con el dentista .

     • BLANCODENT Visita Odontología  • 

    Dra. Karen Monserrat Gomez Reyes

    Gracias por ser parte de nosotros, nuestra visión es tener citas odontológicas agradables y efectivas con profesionales que amen y respeten su profesion.


  • B

    excelente atención y servicio
    te explica cada duda que te gas y detallado el procedimiento que necesitas o a realizar, no lastima nada y es muy cuidadosa con lo que hace.

     • BLANCODENT Visita Odontología  • 

  • E

    Agende la cita para tener una valoración de ortodoncia con la ortodoncista y me atendió otro doctor, fue amable, sin embargo no era ortodoncista y no era la doctora con quien agende. Me hicieron este cambio sin notificarme previamente, de lo contrario la hubiera cancelado

     • Blanco Dent del Valle Ortodoncia  • 

  • V

    La doctora fue increíble me tuvo mucha paciencia por qué estaba muy nerviosa, me explicó el procedimiento y estuvo muy al pendiente de que no me doliera

     • BLANCODENT Tratamiento de Endodoncia  • 

  • R

    Llevo siendo paciente más de 3 años, desde limpieza hasta ortodoncia con Invisalign en Blanco Dent siempre me hacen sentir acompañada y que la atención médica es siempre especializada y acorde a mis necesidades. Sin duda lo recomiendo

     • BLANCODENT Ortodoncia  • 

  • D

    Todo muy profesional! Muchisimas gracias! Una recomendación.

     • BLANCODENT Primera visita Odontología  • 

  • E

    Muy buena atención, explicaciones completas y buen resultado

     • BLANCODENT Primera visita Odontología  • 

  • D

    La atención y explicación muy detallada de la consulta y pasos a seguir
    Me gustó

     • Blanco Dent del Valle Visita Odontología  • 

  • C

    Muy bien todo, la doctora es muy dedicada y detallista, se esmera mucho en obtener el mejor resultado y es muy cuidadosa para ayudarte a disminuiré el dolor.

     • BLANCODENT Primera visita Odontología  • 

Se ha producido un error, inténtalo de nuevo.

Dudas solucionadas

3 dudas solucionadas a pacientes en Doctoralia

Duda sobre Pérdida de dientes

Me extrajeron dos muelas de juicio, me hicieron puntos, pero me daba mucha impresión sacarmelos, pasaron 7 meses ya. Y de un lado tocandome el menton siento un dolor, será por el punto que no me saque? Hay posibilidad de que si pasó mucho tiempo se puedan sacar o ya no? Todavía no volví a ir al dentista, seguro me van a decir algo de porque no fui, es que me dió tanta impresión como fue sentir todos los pinchazos y el dolor que no me animé mas

Hola que gusto que nos escribas .
El tiempo que refieres a la cirugía ya es extenso, las suturas por lo regular se absorben solas, es importante que acudas a una valoración odontológica para poder realizar un diagnostico .
Entendemos los motivos por los cuales no acudiste por eso siempre buscamos mejorar para ustedes .

Dra. Karen Monserrat Gomez Reyes

Duda sobre Implante dental

Tengo un diente frontal que se me esta cayendo esta flojo ya ....pero mi pregunta es si es normal Que él tejido o piel que cubre él diente flojo se este abriendo dejando ala vista él diente ??..

Hola gracias por consultar tus dudas !
lo recomendado es acudir a consulta para poder diagnosticar el caso, podemos estar enfrentándonos con una periodontitis generalizada o solo localizada, es necesario apoyarnos con una radiografías e historia clínica.

Estamos listos para poder ayudarte

Dra. Karen Monserrat Gomez Reyes
Muestra todas las respuestas

Todos los contenidos publicados en Doctoralia, especialmente preguntas y respuestas, son de carácter informativo y en ningún caso deben considerarse un sustituto de un asesoramiento médico.