Dr. Braulio Roberto Ferreira Dávalos

Ortopedista · Ver más

Guadalajara 2 direcciones

No. de cédula: 14980887 11292696

25 opiniones
Especialista de confianza

Los pacientes vuelven a su consulta de forma recurrente

Experiencia

Soy el Dr. Braulio Roberto Ferreira Dávalos especialista en Traumatología y Ortopedia, con experiencia en el tratamiento de fracturas, lesiones deportivas, artrosis y cirugía mínimamente invasiva. Ofrezco atención integral para el diagnóstico y tratamiento de afecciones musculoesqueléticas, con tecnología de vanguardia y un enfoque personalizado para cada paciente.

ver más Sobre mí

Enfocado en:

  • Trauma de urgencia
  • Cirugía articular
  • Artroscopia y lesiones deportivas

Pacientes que atiendo

Adultos
Niños

Tipos de consulta

Fotos y videos

Servicios y precios

  • Consulta de valoración

    $800

  • Consulta de Ortopedia y Traumatología

    $800

  • Reemplazo articular, rodilla y cadera


  • Rehabilitación posterior a esguinces


  • Infiltraciones articulares o periarticulares


Artículos

Lesiones deportivas

Como Traumatólogo Ortopedista, brindo atención integral a pacientes con lesiones deportivas agudas y crónicas, tanto recreativos como atletas de alto rendimiento. Diagnostico y trato lesiones de rodilla, hombro, tobillo y cadera, incluyendo esguinces, lesiones ligamentarias, meniscales, tendinosas y musculares. El manejo puede ser conservador o quirúrgico según cada caso, apoyado en estudios de imagen, infiltraciones, artroscopia y programas de rehabilitación personalizados, con el objetivo de lograr una recuperación funcional segura y un retorno oportuno a la actividad física.


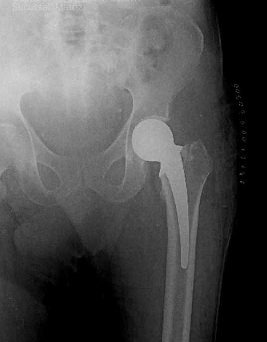
Reemplazo articular, rodilla y cadera

Cuento con experiencia en el manejo integral de pacientes que requieren reemplazo articular de rodilla y cadera, indicado en casos de artrosis avanzada, dolor crónico o limitación funcional severa. El tratamiento incluye valoración completa, planeación quirúrgica individualizada y seguimiento postoperatorio estrecho. El objetivo del reemplazo articular es mejorar la calidad de vida del paciente, aliviar el dolor y recuperar la movilidad con técnicas modernas y protocolos de rehabilitación actualizados.


Artroscopia de lesiones en ligamentos y meniscos

Realizo procedimientos de artroscopia para el diagnóstico y tratamiento de lesiones articulares. La artroscopia es una técnica mínimamente invasiva que permite una recuperación más rápida, menor dolor postoperatorio y mejores resultados funcionales. Trato lesiones meniscales, lesiones ligamentarias, cartílago articular y patologías degenerativas, siempre con un enfoque personalizado y orientado a la pronta reincorporación del paciente a sus actividades cotidianas y deportivas.


Infiltraciones articulares o periarticulares

Ofrezco tratamiento mediante infiltraciones articulares como opción terapéutica para el alivio del dolor y la inflamación en patologías como artrosis, lesiones deportivas, tendinitis y bursitis. Realizo infiltraciones con ácido hialurónico, corticosteroides y terapias biológicas según indicación clínica, siempre bajo criterios médicos y con técnica segura. El objetivo es mejorar la movilidad, disminuir el dolor y retrasar procedimientos quirúrgicos cuando es posible, brindando un manejo individualizado y basado en evidencia científica.


Fracturas

Como Traumatólogo Ortopedista certificado, ofrezco atención integral y personalizada a pacientes con fracturas en extremidades superiores e inferiores, incluyendo fracturas por traumatismos, accidentes deportivos o lesiones por fragilidad ósea. Cuento con experiencia en el manejo quirúrgico y conservador de fracturas, utilizando técnicas modernas de osteosíntesis (placas, clavos intramedulares, fijadores externos) y protocolos actualizados para una recuperación funcional rápida y segura.

Ver todos los artículos

Consultorios (2)

Ampliar se abre en una nueva pestaña
Dr. Braulio R. Ferreira Dávalos - Traumatología y Ortopedia

Av. Manuel Acuña # 2844, Prados Providencia, Guadalajara 44670

Disponibilidad

Número de teléfono

33 4764...
Ampliar se abre en una nueva pestaña
Ampliar se abre en una nueva pestaña
Hospital St. Joseph

Calz. del Federalismo Sur 1272, Guadalajara 44160

Disponibilidad

Número de teléfono

33 4764...
Ampliar se abre en una nueva pestaña

Aseguradoras aceptadas

Se aceptan aseguradoras, pero la cobertura varía según la ubicación y el servicio.

  • GNP Grupo Nacional Provincial
  • AXA
  • Mapfre Seguros Tepeyac
  • Seguros Atlas
  • Met-Life
+18 más

25 opiniones

Todas las opiniones son importantes, por este motivo, los especialistas no pueden pagar para modificar o eliminar opiniones. Saber más. Más información sobre opiniones
  • A

    ESTOY MUY AGRADESIDA CON EL TRATO AMABLE Y MUY PROFEDIONAL RECIBIDO
    ESTOY VERDSDERSMENTE SATISFECHA GRACIAS GRACIAS GRACIAS

     • Dr. Braulio R. Ferreira Dávalos - Traumatología y Ortopedia Consulta de Ortopedia y Traumatología  • 

  • M

    Muy buena atención, ahora esperar los resultados del tratamiento

     • Hospital St. Joseph Primera visita Traumatología  • 

  • M

    El Doctor Braulio aclaró mis dudas, me explicó a detalle mi diagnóstico, el tratamiento que me recetó siento que es adecuado para tratar mi problema de hernia discal y todo esto fue en una sola consulta ya que me adelanté y llevé los estudios correspondientes, sin dudar lo recomiendo ampliamente.

    Muchas gracias por todo Doc, mi espalda y yo se lo agradecemos.

     • Hospital St. Joseph Primera visita Ortopedia  • 

  • R

    Llegué por un problema de rodilla, el doctor me infiltró, me explicó los pros y contras , el día de hoy me siento mucho mejor , muy atento y amable

     • Dr. Braulio R. Ferreira Dávalos - Traumatología y Ortopedia Infiltraciones articulares o periarticulares  • 

  • M

    Excelente atención , muy agradable, atento, el tratamiento me ayuda bastante con mi lesión de rodilla

     • Dr. Braulio R. Ferreira Dávalos - Traumatología y Ortopedia Consulta de Ortopedia y Traumatología  • 

  • O

    Gracias a las atenciones tengo muy buena recuperacion

     • Hospital St. Joseph Visitas sucesivas Traumatología  • 

  • J

    Muy atento el Dr. Braulio y sobre todo, bastante profesional. Llegué antes del tiempo de mi cita y aún así nos atendió. Mi esposo iba bastante adolorido por lo que agradezco que no lo hizo esperar. Gracias Dr. Braulio.

     • Hospital St. Joseph Primera visita Traumatología  • 

  • A

    Siempre atento y muy profesional ,te hace sentir muy en confianza..

     • Hospital St. Joseph Primera visita Ortopedia  • 

  • F

    Excelente atención médica, y una explicación muy clara.

     • Dr. Braulio R. Ferreira Dávalos - Traumatología y Ortopedia Atención a lesiones deportivas  • 

  • P

    Excelente atención
    Muy profesional,atento amable.
    Te explica a detalle todo,te aclara todas tus dudas
    100%Recomendable

     • Dr. Braulio R. Ferreira Dávalos - Traumatología y Ortopedia Consulta de Ortopedia y Traumatología  • 

Se ha producido un error, inténtalo de nuevo.