Dr. Zuriel Ayala Garcia

Dentista - Odontólogo · Ver más

Ciudad de México 1 dirección

No. de cédula: 10214525 14703417

353 opiniones
Especialista de confianza

Los pacientes vuelven a su consulta de forma recurrente

Experiencia

Soy un Odontólogo egresado de la Universidad Justo Sierra, soy un apasionado de la salud y estética oral por lo cual siempre se da lo mejor para que el paciente se vaya con una excelente sonrisa al salir del Consultorio Dental Opteeth en el cual soy fundador y con un grupo de especialistas llevaremos a una calidad oral estable con los mejores precios.

Misión.
-Conseguir la salud bucal de nuestros pacientes ofreciendo la mejor odontología.
-Recuperar y conservar la salud bucal de nuestros pacientes.
-Cambiar el concepto de la odontología curativa hacia la prevención.
-Contribuir con una imagen que permita sonreír con confianza

Visión.
-Tendremos la preferencia de las personas que buscan odontología de excelencia.
-Seremos reconocidos como la mejor clínica de la zona por la buena odontología y servicio que ofrecemos.
-Conservar la salud bucal de nuestros pacientes ya rehabilitados.
-Mantendremos en control a todos los pacientes que conseguimos devolverles su salud bucal.

Valores.
-Trabajo en equipo
-Respeto
-Honestidad
-Pasión
-Esfuerzo
-Compromiso
-Mejora continua
-Discreción
ver más Sobre mí

Enfocado en:

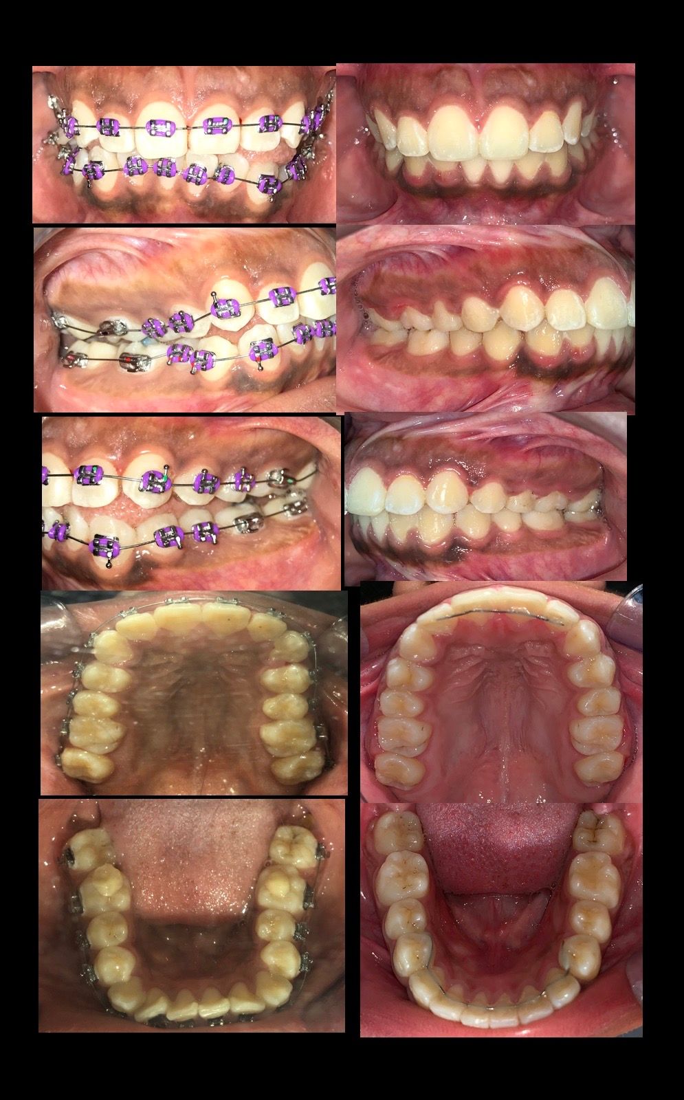
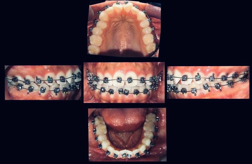
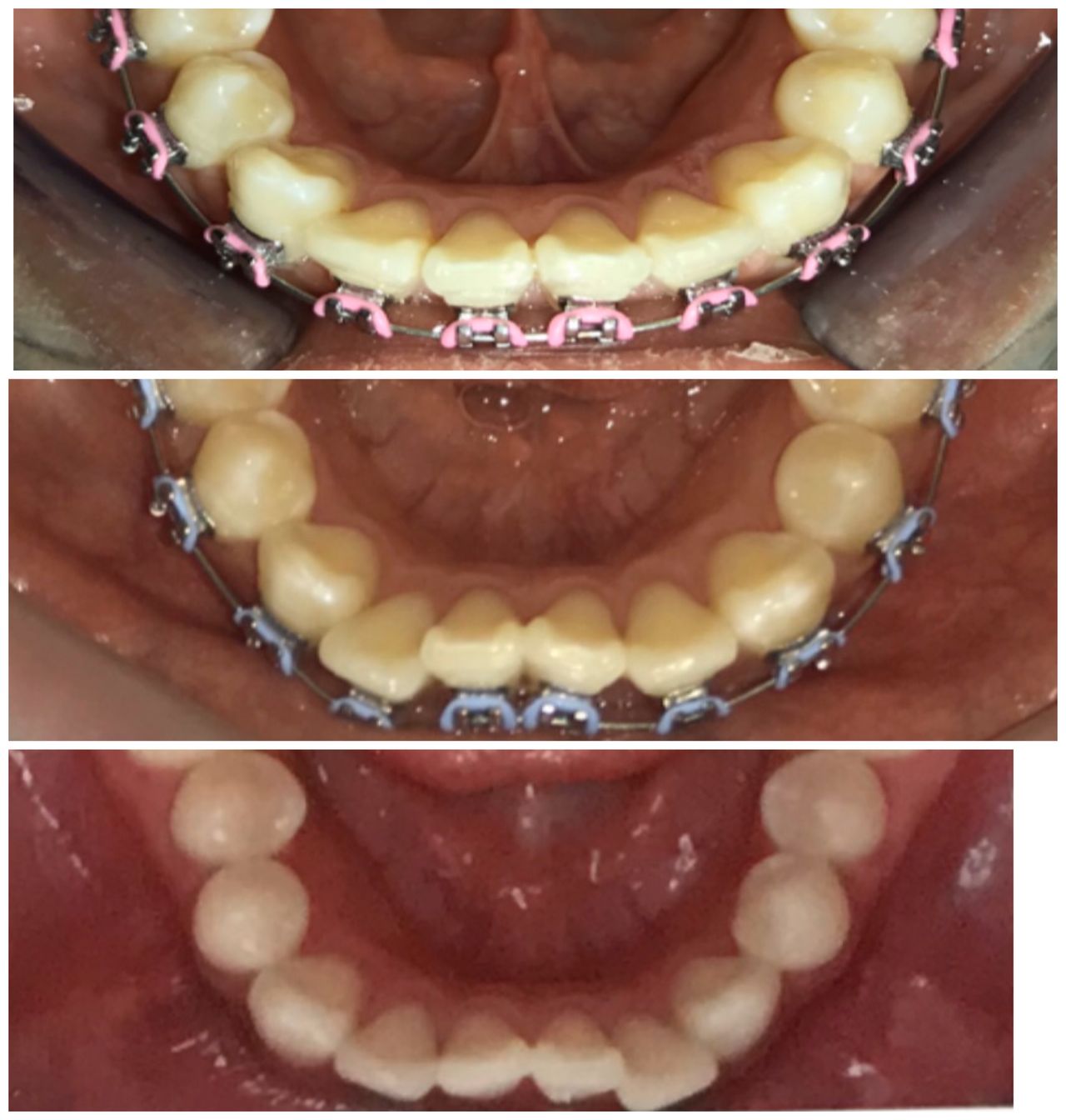
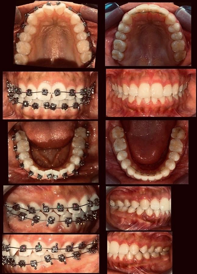
  • Ortodoncia
  • Odontología preventiva
  • Prótesis dental
  • Cirugía dental

Pacientes que atiendo

Adultos
Niños

Tipos de consulta

Videoconsulta

Fotos y videos

No se aceptan aseguradoras

Este especialista sólo acepta pacientes privados. Puede pagar directamente la cita para reservar, o encontrar otro especialista que acepte su aseguradora.

Consultorios (2)

Ampliar se abre en una nueva pestaña
Consultorio Dental Opteeth

Tepic 139, Roma Sur, Ciudad de México 06760

Disponibilidad

Número de teléfono

55 8009...
Ampliar se abre en una nueva pestaña

Disponibilidad

Servicios y precios

  • Extracción de las muelas del juicio

    $1,500

  • Endopostes de fibras de vidrio (estéticos)


  • Profilaxis (Limpieza Dental)

    $500

  • Ortodoncia convencional


  • Higiene bucodental


Artículos

Tratamiento de Endodoncia

La endodoncia se realiza cuando existe una infección dental que afecta a parte o a la totalidad de la pulpa o nervio dental (pulpitis), que es el tejido blando que está en el interior del diente y que ocupa desde la corona hasta la raíz, conteniendo los vasos sanguíneos y los nervios. Tratamiento realizado por especialista en Endondoncia el cual realizara una cavidad en su diente para poder llegar al nervio o pulpa para posteriormente retirarlo con instrumentos adecuados y poder poner un material de restauración para que el dolor ya no exista


Tratamiento de conductos

La endodoncia se realiza cuando existe una infección dental que afecta a parte o a la totalidad de la pulpa o nervio dental (pulpitis), que es el tejido blando que está en el interior del diente y que ocupa desde la corona hasta la raíz, conteniendo los vasos sanguíneos y los nervios. Tratamiento realizado por especialista en Endondoncia el cual realizara una cavidad en su diente para poder llegar al nervio o pulpa para posteriormente retirarlo con instrumentos adecuados y poder poner un material de restauración para que el dolor ya no exista.


Exodoncia

La exodoncia es un acto quirúrgico por el que se extrae un diente o una parte remanente del mismo que ha quedado alojada en el alveolo. Tratamiento, se pone anestesia local en el área de trabajo para evitar cualquier molestia y con ayuda de instrumentos del consultorio dental se realiza la extracción del diente, finalmente se dan instrucciones para una recuperación adecuada.


Caries

Las caries son zonas dañadas de forma permanente en la superficie de los dientes que se convierten en pequeñas aberturas u orificios. Las caries se producen a causa de una combinación de factores, como bacterias en la boca, ingesta frecuente de tentempiés, bebidas azucaradas y limpieza dental deficiente. Tratamiento con resina de color de tu diente. Retirar la Caries con ayuda de instrumentos del consultorio dental, para poder preservar la mayor cantidad de diente y así evitar la destrucción masiva de tu diente.

Ver todos los artículos

353 opiniones

Todas las opiniones son importantes, por este motivo, los especialistas no pueden pagar para modificar o eliminar opiniones. Saber más. Más información sobre opiniones
  • L

    Todo estuvo rápido y quedaron limpios los dientes, sin complicaciones.

     • Consultorio Dental Opteeth Profilaxis (Limpieza Dental)  • 

  • E

    So I had an emergency, my crown fell out ! I found Dr Zuriel through doctoralia because he was close and had good reviews. He was great!! He put the crown back in and adjusted it so it felt great. I ended up going back for a cleaning and I can't say enough, he was great. Very thorough and very attentive. I would 100% recommend Dr Zuriel. His office has great views too :)

     • Consultorio Dental Opteeth Higiene bucodental  • 

  • L

    Agradezco sus atenciones y el excelente trabajo que le realizó a mi papá, se fue muy contento

     • Consultorio Dental Opteeth Resinas dentales  • 

  • M

    Excelente atención, explica a detalle el padecimiento, es atento

     • Consultorio Dental Opteeth Primera visita Odontología  • 

  • C

    Siempre con una atención humana, profesional y coordial.

     • Consultorio Dental Opteeth Ortodoncia convencional  • 

  • E

    El especialista muy profesional te especifica,con ejemplos, claros muy amable, te explica con paciencia y aclara todas tus dudas

     • Consultorio Dental Opteeth Primera visita Odontología  • 

  • T

    I am so happy with my results. What I appreciate most is his professionalism, honesty, and transparency. I went in for whitening and composite work, and he took the time to explain realistic expectations for my teeth. I did not need the whitening only composite work and it looks incredible! Super natural, uniform, and exactly the results I wanted. I'll definitely be referring friends and returning for future check ups. Thanks, Dr. Garcia!

     • Consultorio Dental Opteeth Resinas dentales  • 

  • M

    El doctor siempre muestra conocimiento ante los tratamientos y siempre tiene disposición de poder mayor detalle. Siempre es muy amable y profesional. Durante mi tratamiento de ortodoncia ha avanzado bastante eficiente y en el retiro de muelas de juicio mi recuperación fue bastante satisfactoria.

     • Consultorio Dental Opteeth Visitas sucesivas Odontología  • 

  • M

    Es cordial y explica bien. Lo recomiendo . Trabaja bien

     • Consultorio Dental Opteeth Higiene bucodental  • 

  • A

    Muy profesional en su atención, respetuoso y detallado. Me hizo una restauración de una resina que se me cayó que me la pusieron mal en otro lado, me sugirió un tratamiento posterior después de la revisión de mis dientes.

     • Consultorio Dental Opteeth Diseño de sonrisa  • 

Se ha producido un error, inténtalo de nuevo.