Dra. Patricia Porras Domínguez

Dentista - Odontóloga · Ver más

No. de cédula: 8420774 11055435

193 opiniones
Especialista de confianza

Los pacientes vuelven a su consulta de forma recurrente

Experiencia

Se dice fácil ser DENTISTA, pero la verdad es que es una carrera bastante demandante. “Termina” tu jornada laboral y sabes que aun tienes pendientes o sabes que en cualquier momento llegará una llamada de urgencia. Sin embargo, a pesar de estar todos los días organizando lo que viene, es una profesión INCREÍBLE en la que nunca se deja de buscar la sonrisa de los demás.
La odontología es mi PASIÓN y desde la licenciatura cuando tuve contacto directo en la consulta con mis pacientes supe que esto quería hacer todos los días.
Posteriormente, llegó la hora de decidir: ¿QUÉ SIGUE? Y afortunadamente tuve la oportunidad de realizar una especialidad que aunque hay que seguir al paciente para que cuide su salud y hay que repetir una y otra vez por qué es importante, ¡me encanta! La periodoncia es quizás la base angular de los tratamientos multidisciplinares, la salud del soporte del diente es esencial para el ÉXITO.
Eres paciente: ¿Tienes sangrado espontáneo en las encías? ¿Tienes mal aliento? ¿Tienes algún diente flojo? ¿Sientes que se ha retraído la encía? Busca a un especialista en PERIODONCIA (periodoncista)
Eres odontólogo: Aprendamos a diagnosticar integralmente a los pacientes, se merecen el mejor trato. La detección temprana de alguna enfermedad periodontal puede dar mejores resultados a largo plazo en tus tratamientos.

Dra. Patty Porras
Periodoncia e Implantología UNAM
ver más Sobre mí

Enfocado en:

  • Periodoncia e implantología
  • Urgencias dentales
  • Implantología dental
  • Periodoncia

Pacientes que atiendo

Adultos (Sólo en algunas direcciones)
Niños (Sólo en algunas direcciones)

Tipos de consulta

Videoconsulta

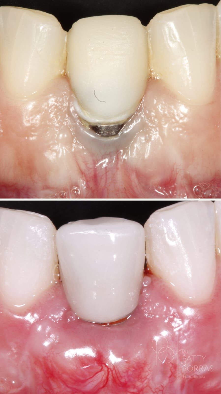
Fotos y videos

Aseguradoras aceptadas

Se aceptan aseguradoras, pero la cobertura varía según la ubicación y el servicio.

  • GNP Grupo Nacional Provincial
  • Centauro
  • BX+
  • DENTEGRA Y CENTAURO
  • Dentegra Seguros

Consultorios (4)

Ampliar se abre en una nueva pestaña
EBA, Facial & Oral Balance

Calz Zavaleta 4710, Zona Residencial Anexa Estrellas Del Sur, Puebla 72176

Disponibilidad

Número de teléfono

222 194...
Ampliar se abre en una nueva pestaña
Ampliar se abre en una nueva pestaña
Dra. Patty Porras

7 sur #3701 Int 102, Colonia Gabriel Pastor, Puebla, Gabriel Pastor 1Ra Sección, Puebla 72420

Disponibilidad

Número de teléfono

222 194...
220 190...
Ampliar se abre en una nueva pestaña

Disponibilidad

Pago en línea

Aceptado

Número de teléfono

222 194...
222 194...
Ampliar se abre en una nueva pestaña
Dental Acacías

San Francisco No. 1838 Local 701 Col. Acacías, Benito Juárez 03240

Disponibilidad

Este especialista no ofrece reserva online en esta dirección

Ampliar se abre en una nueva pestaña

Servicios y precios

  • Gingivectomia por cuadrante


  • Valoración periodontal

    Desde $500

  • Primera visita Odontología

    Desde $700

  • Limpieza dental con ultrasónico

    $900

  • Biopsia oral

    Desde $2,000

Artículos

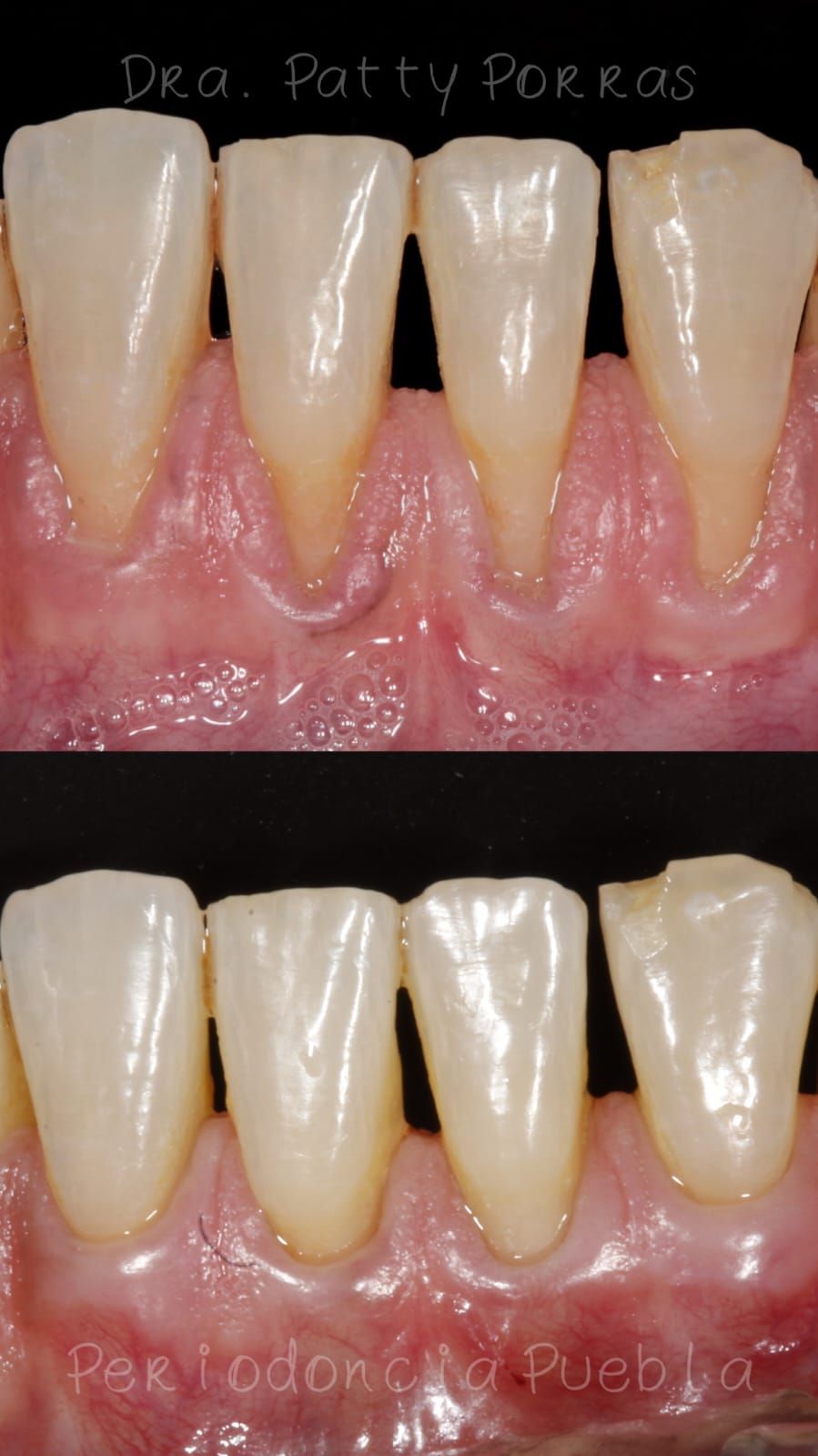
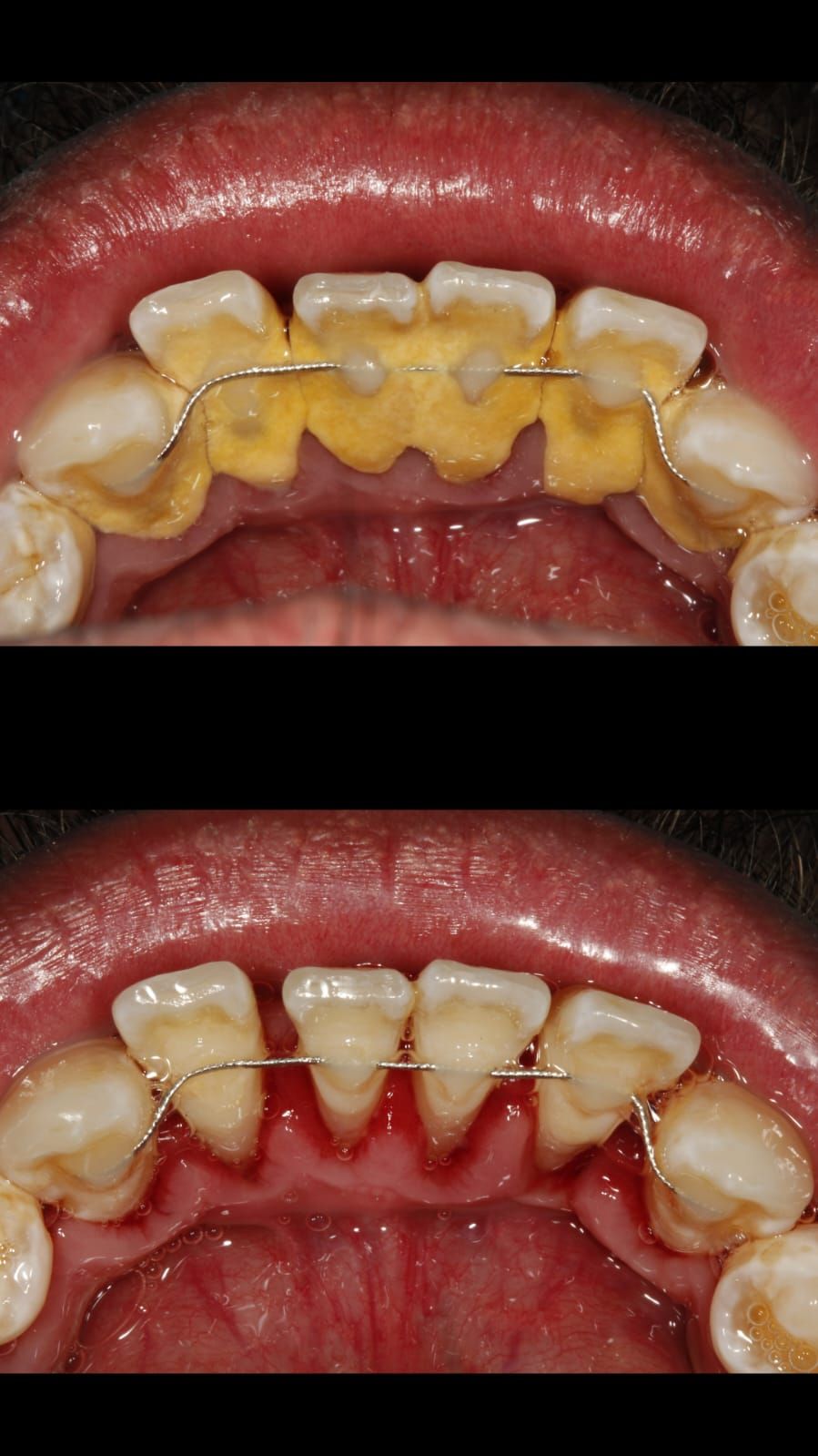
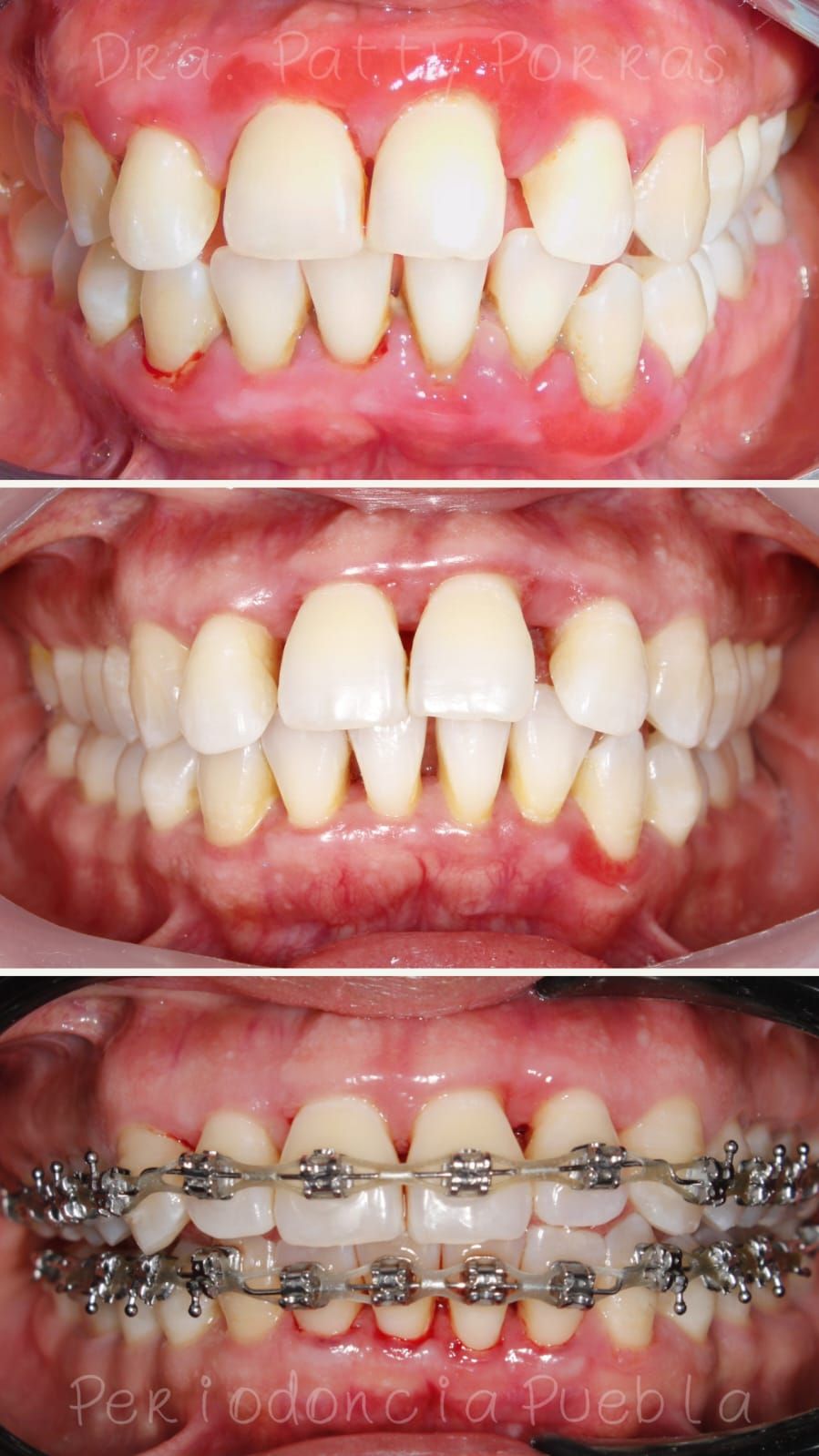
Periodontitis

La periodontitis es una enfermedad infecciosa causada por bacterias, la severidad de la misma se puede ver afectada por factores externos como tabaquismo, diabetes u hormonas. Es importante acudir a valoración periodontal ya que no duele y puede llevar a la pérdida de los dientes si no se detecta a teimpo

193 opiniones

Todas las opiniones son importantes, por este motivo, los especialistas no pueden pagar para modificar o eliminar opiniones. Saber más. Más información sobre opiniones
  • J

    Excelente y te da una explicación muy detallada la recomiendo

     • Dra. Patty Porras Valoración periodontal  • 

  • M

    Todo bien excelente muy bueno limpio ordenado la explicación demasiado entendinle

     • Dra. Patty Porras Raspado y alisado radicular (r.a.r)  • 

  • J

    Explicación detallada de mi padecimiento y posibles soluciones

     • Dra. Patty Porras Revaloración periodontal  • 

  • A

    La doctora es muy empatíca y explica bien el problema a tratar.

     • EBA, Facial & Oral Balance Periodoncia  • 

  • K

    Instalaciones limpias, explicación detallada, formalidad, profesionalismo. Deja una sensación de alivio y confianza ante un diagnóstico positivo y realista

     • Dra. Patty Porras Valoración periodontal  • 

  • M

    todo estuvo excelente, desde la consulta, hasta el tratamiento

     • Dra. Patty Porras Otro  • 

  • L

    Excelente, precisa y cuidadosa. Buen trato y amplio dominio.

     • Dra. Patty Porras Valoración periodontal  • 

  • R

    Profesional, amable y empática. Recomendada al 100

     • Dra. Patty Porras Periodoncia  • 

  • C

    Muy profesional y amable. Puntual e instalaciones muy buenas.

     • Dra. Patty Porras Profilaxis (Limpieza Dental)  • 

  • M

    Muy buena atención y seguimiento de mi tratamiento

     • Dra. Patty Porras Valoración periodontal  • 

Se ha producido un error, inténtalo de nuevo.

Dudas solucionadas

51 dudas solucionadas a pacientes en Doctoralia

Duda sobre Dientes desalineados

Hola, me acabo de colocar la ortodoncia, mi problema es que tengo la mordida abierta. Me colocaron 10 bracket en la parte de arriba y abajo. Pero no me colocaron lo que se llama banda o tubo molar. Está bien eso? Alguien que me ayude porfavor

Hola, los tubos o bandas son importantes pues de estos dientes se anclaran las fuerzas realizadas. Si te colocaron 10 abajo solo colocaron hasta premolares, deben no solo colocarte a primer molar incluso a veces es necesario a segundo molar.

Dra. Patricia Porras Domínguez

Duda sobre Extracción de las muelas del juicio

Me extrajeron una muela, se me hizo un coágulo me dió hemorragia y me lo sacaron. Me dijeron que haga reposo, ya es el 2do día puedo comer pan lactal? O qué alimentos ingerir.

Buen día, de preferencia sigue las instrucciones que te dió tu doctor. Los alimentos recomendados son: dieta fria o tibia, no caldos, café o té, evitar semillas y alimentos como guayaba o fresas, alimentos suaves

Dra. Patricia Porras Domínguez
Muestra todas las respuestas

Todos los contenidos publicados en Doctoralia, especialmente preguntas y respuestas, son de carácter informativo y en ningún caso deben considerarse un sustituto de un asesoramiento médico.