Dr. Juan Manuel Mares

Dentista - Odontólogo · Ver más

No. de cédula: 7931327 11776530

28 opiniones
Tiempo de respuesta aproximado:

Experiencia

¡Hola! Soy el Dr. Juan Manuel Mares
Dentista–Odontólogo en VAMAR Clínica Dental, ubicada en Lifebeau Spa‑Médico en La Martinica, León.

Me especializo en ofrecer un servicio odontológico integral, dirigido a quienes esperan una atención cercana, transparente y de alta calidad. Desde tu primera visita, mi objetivo es que te sientas acompañado y empoderado: quiero que comprendas tu estado de salud bucal, el tratamiento sugerido y cada paso del camino hacia tu sonrisa ideal.

En mi consulta encontrarás:

  • Diagnóstico claro y personalizado: escuchar tus inquietudes y realizar un examen detallado para entender tu caso.

  • Explicación completa: te presento con claridad las opciones de tratamiento, sus beneficios, riesgos y tiempos.

  • Confianza y empatía: mucho más que un procedimiento; es un vínculo que construimos para cuidar de ti a largo plazo.

  • Tratamiento integral: incluso si requieres procedimientos complementarios, te orientaré y acompañaré durante todo el proceso.

¡Será un placer recibirte y ayudarte a lucir una salud bucal óptima con calidez, claridad y profesionalismo!

ver más Sobre mí

Enfocado en:

  • Rehabilitación bucal
  • Prótesis dental
  • Prótesis bucal e implantología
  • Odontología restauradora

Pacientes que atiendo

Adultos
Niños (Sólo en algunas direcciones)

Tipos de consulta

Videoconsulta

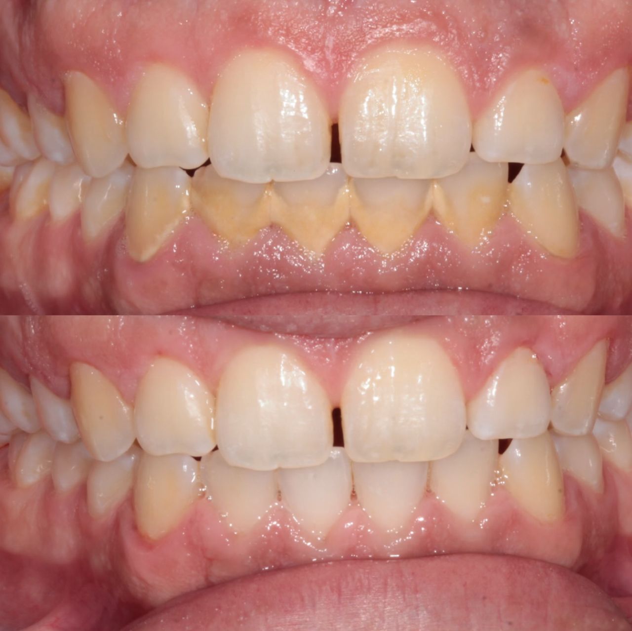
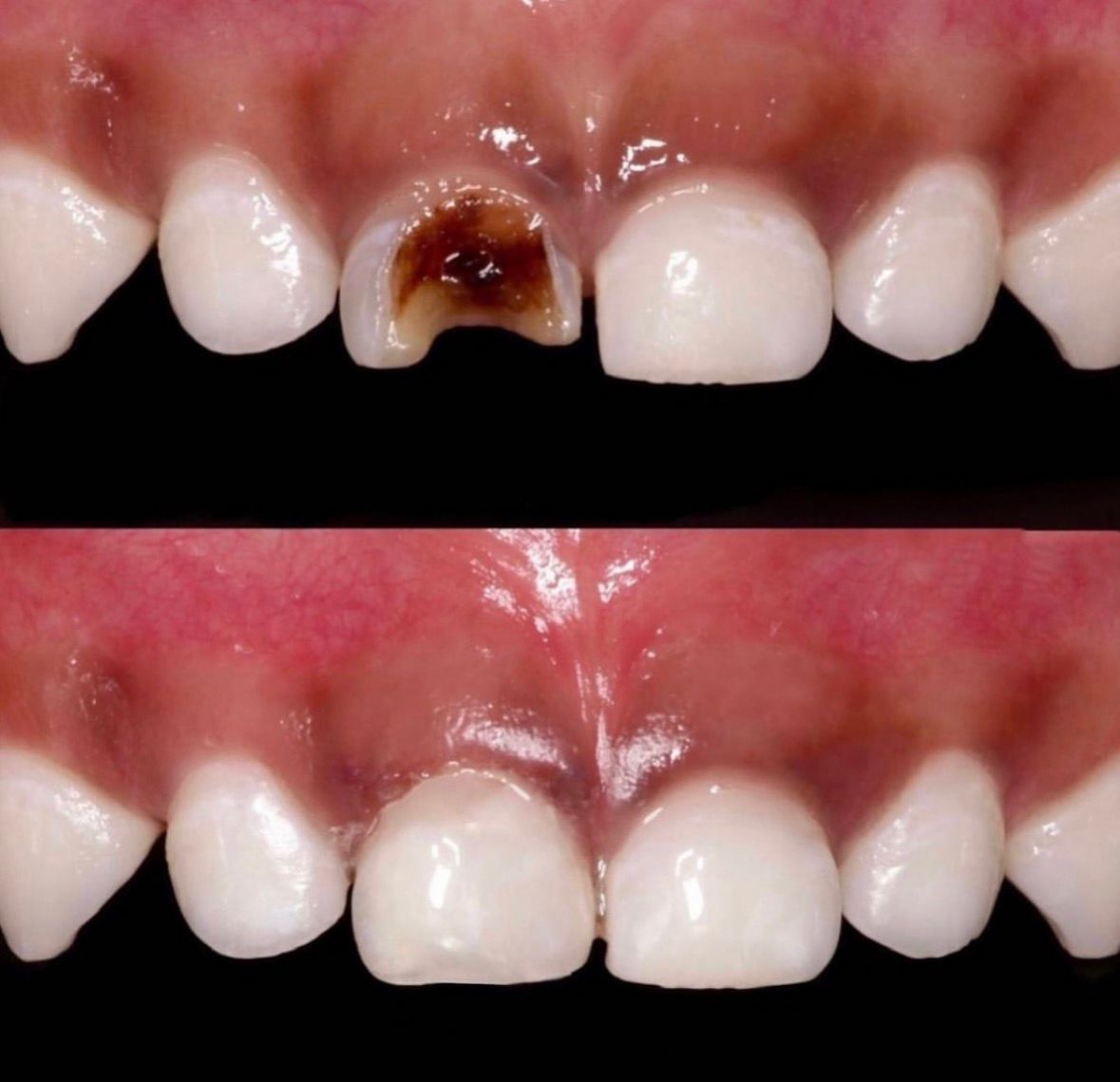
Fotos y videos

Logo
Dr. Juan Manuel Mares

Lifebeau Spa-Médico, San Jorge 202, La Martinica., León 37500

En VAMAR Clínica Dental contamos con todas las especialidades para cuidar de tu salud dental ¡Bienvenid@!

20/11/2025

Servicios y precios

  • Primera visita Odontología

    $700

  • Extracción infantil

    $500

  • Tratamiento de conductos

    $3,600

  • Tratamiento de bruxismo con toxina botulínica

    $3,000

  • Resinas dentales

    $800

Consultorios (2)

Ampliar se abre en una nueva pestaña
VAMAR Clínica Dental

Lifebeau Spa-Médico, San Jorge 202, La Martinica., La Martinica, León 37500

Disponibilidad

Número de teléfono

477 554...
Ampliar se abre en una nueva pestaña

Disponibilidad

Número de teléfono

477 554...
55 2729...

No se aceptan aseguradoras

Este especialista sólo acepta pacientes privados. Puede pagar directamente la cita para reservar, o encontrar otro especialista que acepte su aseguradora.

28 opiniones

Todas las opiniones son importantes, por este motivo, los especialistas no pueden pagar para modificar o eliminar opiniones. Saber más. Más información sobre opiniones
  • T

    El doctor tiene una buena atención, experiencia y comunicación muy bien.

     • VAMAR Clínica Dental Primera visita Odontología  • 

  • M

    La verdad super recomendable, personas muy amables y te explican cada cosa a detalle y eso les da puntos

     • VAMAR Clínica Dental Primera visita Odontología  • 

  • M

    Atención de calidad con información muy clara, desde la primer consulta con mejoría notable además de ser muy cuidadoso en los procedimientos.
    Tengo problema en la mandíbula y siempre me ha costado trabajo tolerar tener mucho tiempo mi boca abierta y los doctores siempre estuvieron al pendiente y al cuidado trabajar sin lastimarme y con mucha paciencia.
    Sin duda la mejor atención

     • VAMAR Clínica Dental  • 

  • E

    El Dr. Juan Manuel y su equipo son muy profesionales y además muestran su empatía y respeto hacia los pacientes.

     • VAMAR Clínica Dental Primera visita Odontología  • 

  • L

    La atención es muy dedicada, me gustó como te explican el procedimiento de acuerdo a tus necesidades.

     • VAMAR Clínica Dental Primera visita Odontología  • 

  • J

    Excelente atención, con mucha dedicación y siempre cuidando la salud bucal del paciente.
    Muy profesional

     • VAMAR Clínica Dental Visitas sucesivas Odontología  • 

  • O

    Primera visita con el Dr. Manuel, y se tomo el tiempo para hacer mi historial clínico, no solo eso el trato fue amable y honesto con los tratamientos que me recomienda hacer, explicándolos de forma detallada y el porque se deben hacer en el orden que me los recomendó.

     • VAMAR Clínica Dental  • 

  • E

    Muy buena atención del doctor, es una persona super profesional y con un trato muy amable, es la primera vez que voy a consulta con él, y quedé muy satisfecho.

     • VAMAR Clínica Dental Primera visita Odontología  • 

  • M

    Me gustó mucho la atención que te dan y lo cómoda que me hicieron sentir

     • VAMAR Clínica Dental  • 

  • R

    Super recomendado, trato al paciente super bien con mucha empatia y profesionalismo,
    Instalaciones super modernas limpias y con mucha tecnología, y tratamientos y procedimientos super eficaces. Recomendado al 100%

     • VAMAR Clínica Dental Resinas dentales  • 

Se ha producido un error, inténtalo de nuevo.