Dr.
Fabián Delgado García
Dentista - Odontólogo
·
Ortodoncista
Ver más
Ciudad de México 1 dirección
No. de cédula: 9704295 1363429
32 opinionesExperiencia
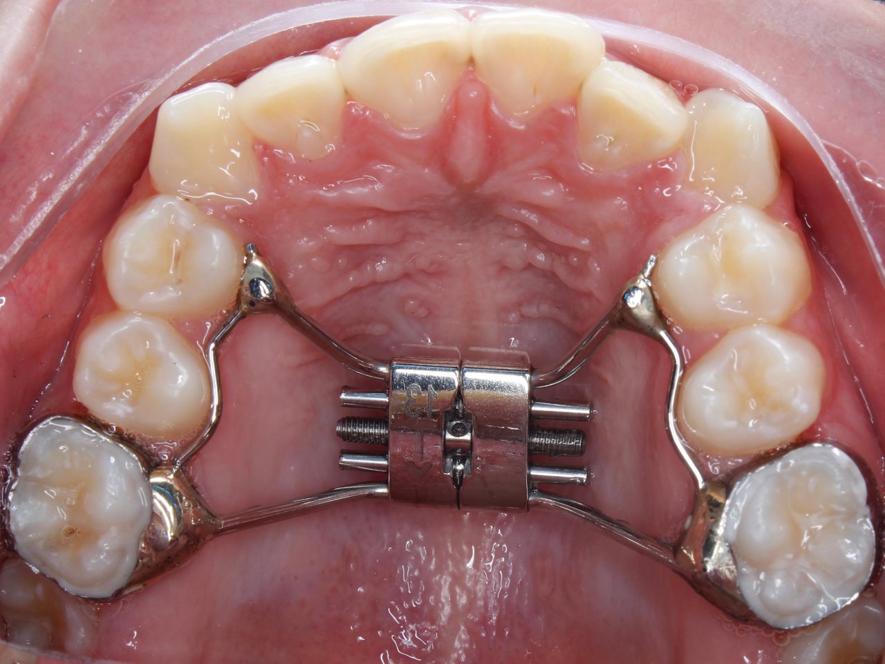
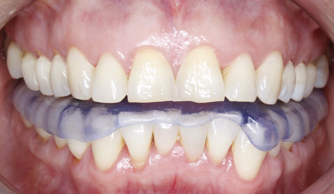
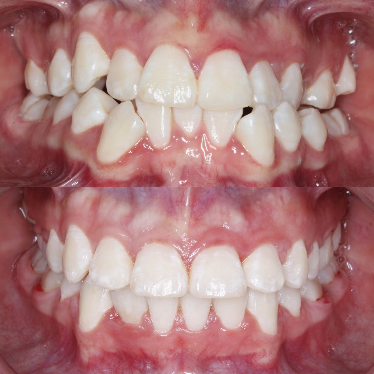
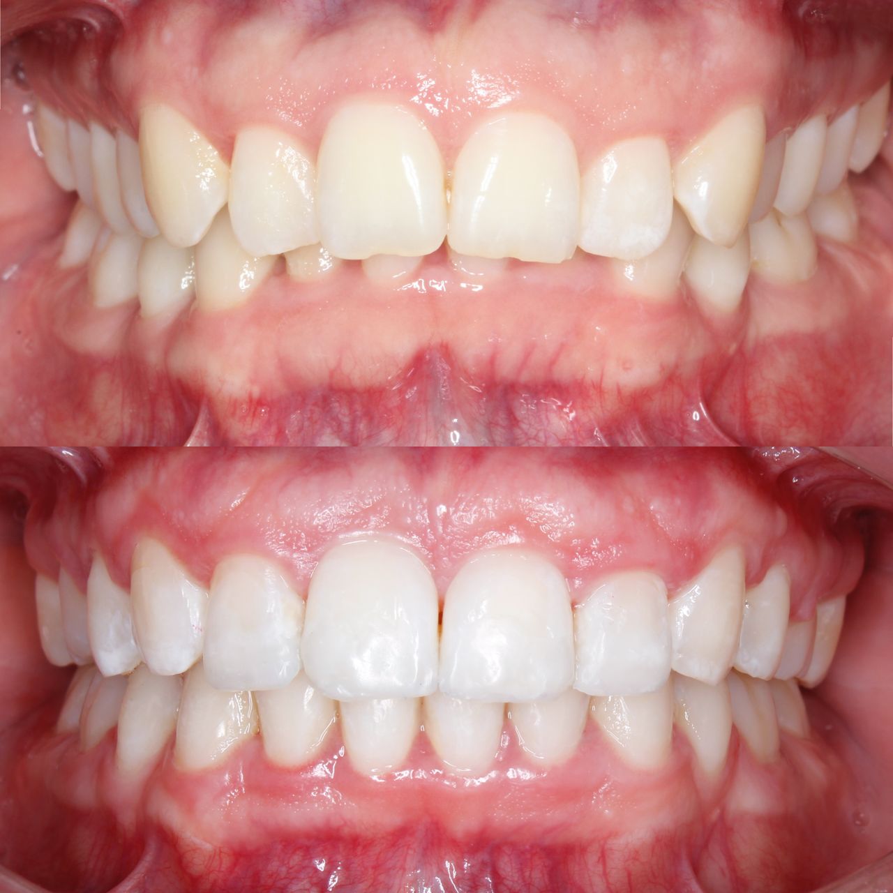
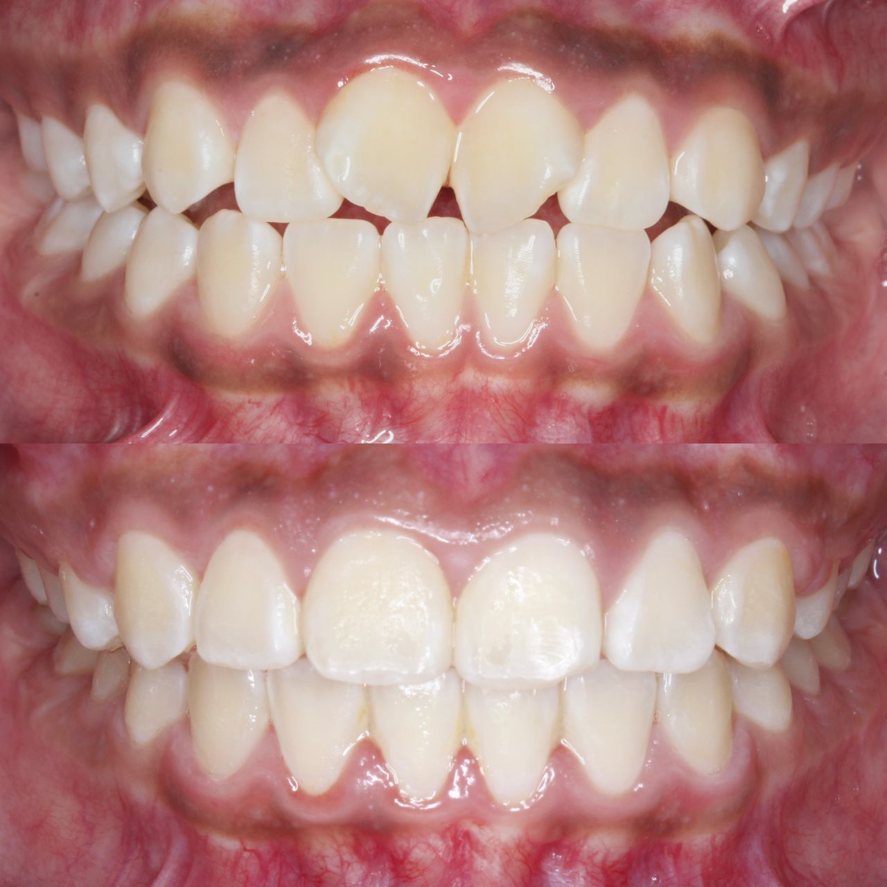
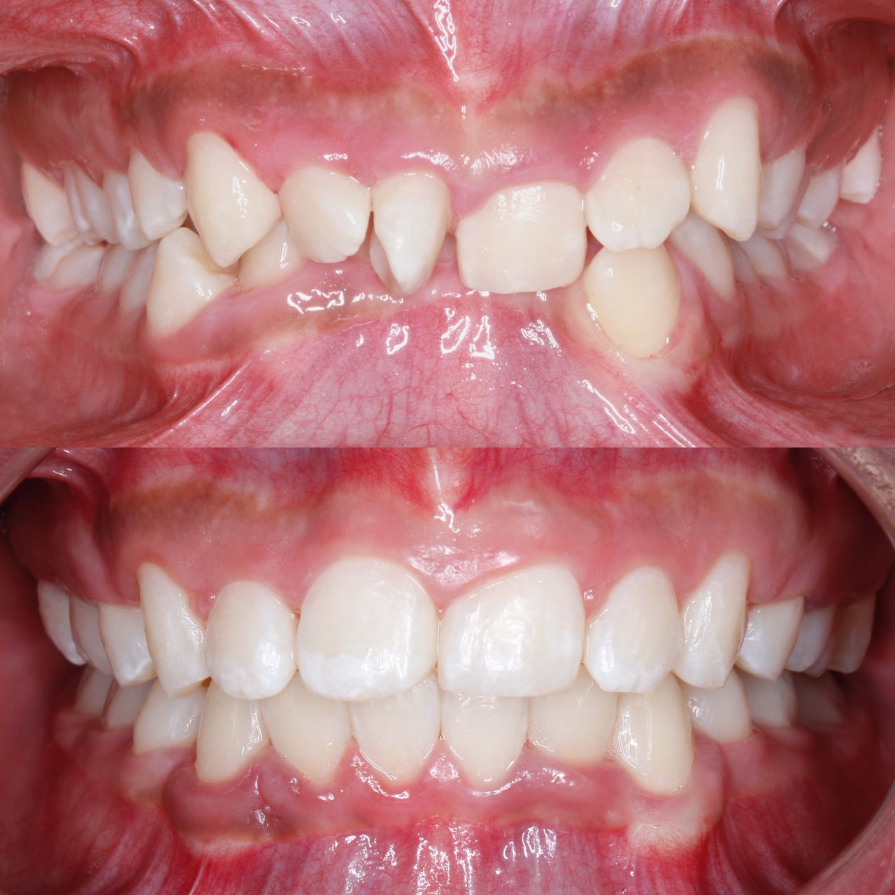
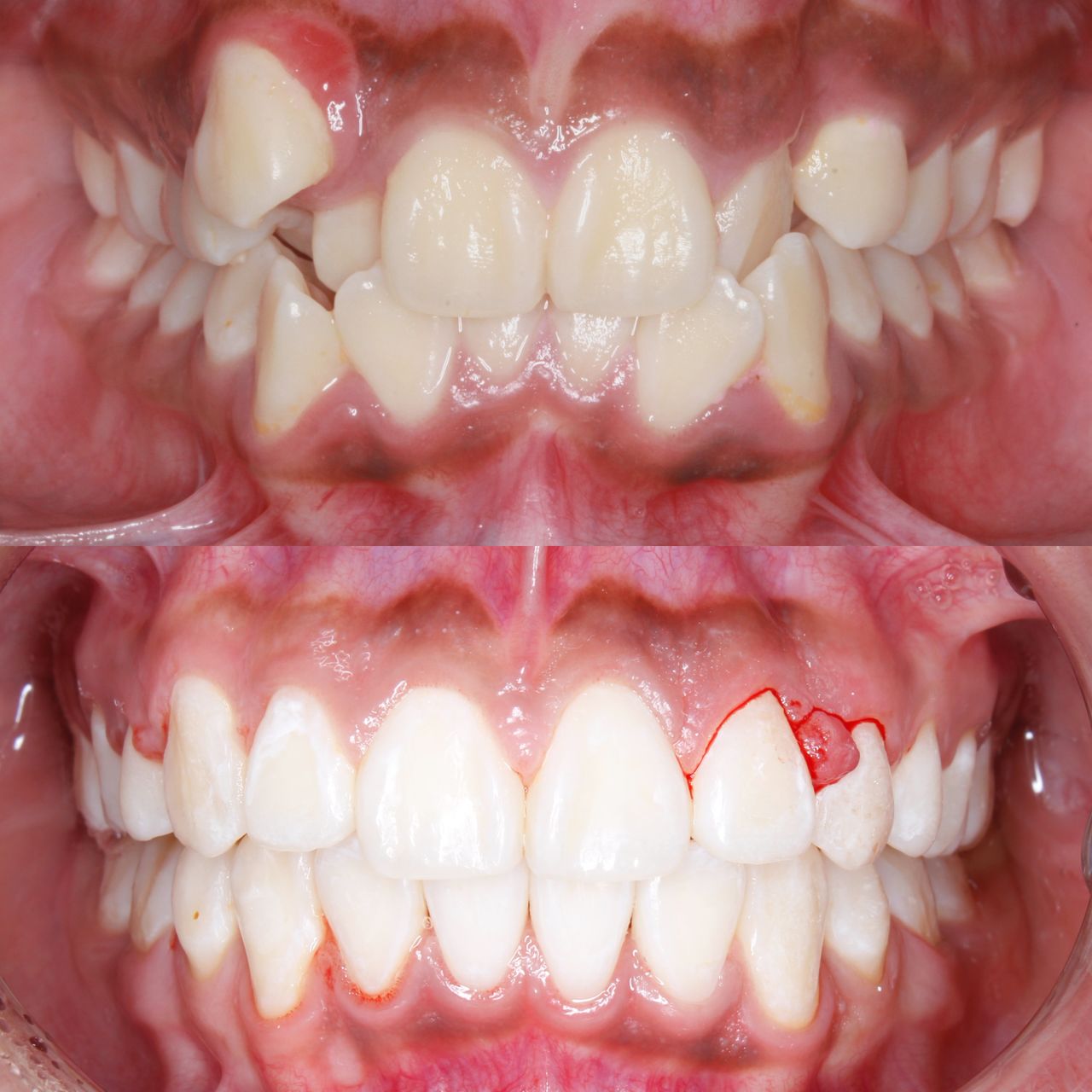
Soy egresado de la Facultad de Odontología de la UNAM y realicé mi especialidad en el área de Ortodoncia en la División de Estudios de Posgrado e Investigación de la Facultad de Odontología UNAM. Cuento con certificación como Invisalign Doctor desde 2022 y este 2023 concluí el Diplomado de Actualización Profesional en Ortodoncia con Estrategias Digitales y Tratamientos en 3D. Tengo experiencia en tratamientos con brackets convencionales y de autoligado, alineadores invisibles, mini implantes, colocación de expansores esqueletales, tratamientos ortodóncico-quirúrgicos, tratamientos de ortopedia con aparatos removibles y fijos, realizo la confección de guardas oclusales por medio de diseño asistido por computadora e impresión 3D, entre muchas otras cosas. En mi clínica Helios cuento con un maravilloso equipo de odontólogos generales y especialistas de todas las áreas para poder atender las necesidades de mis pacientes de forma integral, a demás de contar con la mejor tecnología, por medio del escáner iTero podré digitalizar tu sonrisa desde la primera cita y llevar a cabo una planeación completa de tu tratamiento.
Enfocado en:
- Ortodoncia
- Ortopedia maxilofacial
Principales enfermedades tratadas
- Dientes desalineados
- Caries
- Trastornos de la articulación temporomandibular
- Diente retenido
- Disoclusión de los dientes
- +12 a11y_sr_more_diseases
Pacientes que atiendo
Tipos de consulta
Fotos y videos
Servicios y precios
-
Primera visita Odontología
$800 -
-
Brackets / Ajuste Mensual
$1,000 -
-
Extracción de cordal incluido
$3,000 -
-
Resinas dentales
Desde $2,000 -
-
Profilaxis (Limpieza Dental)
$1,200 -
-
-
-
-
-
-
-
-
-
-
-
-
-
-
-
-
Consultorio
Medellín 298, Consultorio en la esquina de Medellín y Tepic, Ciudad de México 06760
Disponibilidad
Número de teléfono
No se aceptan aseguradoras
Este especialista sólo acepta pacientes privados. Puede pagar directamente la cita para reservar, o encontrar otro especialista que acepte su aseguradora.
Opiniones
32 opiniones
-
D
Dra. Sarai Fuentes
Mi experiencia en la clínica ha sido excelente desde el primer momento. El trato es profesional y amable, las instalaciones y equipos son nuevos y cómodos, todo el equipo transmite mucha confianza. El especialista en Ortodoncia Dr. Fabián Delgado explica cada etapa del tratamiento con claridad y se nota su experiencia y compromiso con los resultados. Sin duda, recomiendo totalmente esta clínica para cualquier tratamiento dental.
• Clínica dental Helios odontología y ortodoncia • Ortodoncia •
-
A
Aby
Me coloco los brackets y ya estoy por finalizar mi tratamiento súper feliz de que mi perfil mejoró, mis dientes se ven súper bonitos. Y siempre me ha apoyado resolviendo mis dudas.
• Clínica dental Helios odontología y ortodoncia • Brackets / Ajuste Mensual •
-
D
Duarte
Excelente servicio y atencion del Dr Fabián, explica muy bien el tratamiento a seguir y aclara todas las dudas que surgen 100% recomendable. Sin duda el dentista de mi familia.
• Clínica dental Helios odontología y ortodoncia • Carillas de porcelana •
-
M
Monica Herrera
Es puntual, atento. Instalaciones cómodas. Buena comunicación y seguimiento, responde las dudas puntualmente. 100% recomendable.
• Clínica dental Helios odontología y ortodoncia • Brackets de Autoligado •
-
N
Nallely Chávez
El Dr. Fabián me brindó una excelente atención, me explicó mi tratamiento a detalle y resolvió mis dudas de una manera clara, las instalaciones de la clínica son realmente buenas, limpias y modernas. Recomiendo mucho este lugar para quienes buscan un servicio de calidad y un trato humano.
• Clínica dental Helios odontología y ortodoncia • Carillas de porcelana •
-
A
Alba Mejía
Es muy profesional en lo que realiza, te explica a detalle tus dudas, te da mucha confianza, la verdad lo recomiendo mucho,
• Clínica dental Helios odontología y ortodoncia • Primera visita Odontología •
-
A
Anselmo Ibarra
Excelente atención, el doctor es muy amable y explica los tratamientos a detalle, es muy profesional y quede satisfecho con mi tratamiento de ortodoncia.
• Clínica dental Helios odontología y ortodoncia • Brackets •
-
C
Carlos Fernández
Me encantó mi tratamiento de ortodoncia, había estado buscando un buen ortodoncista y lo encontré, sus explicaciones son claras y el lugar se ve muy moderno; el trato y tratamiento inigualable .
• Clínica dental Helios odontología y ortodoncia • Brackets •
-
L
Liliana García
La atención del doctor es excelente me explicó mi tratamiento de una manera sencilla siempre pendiente de que comprendiera como se llevará acabo , las instalaciones son muy bonitas tiene un espacio amplio en los consultorios y en la sala de espera por si vas acompañado.
No me gusta ir al dentista pero sin duda el doctor Fabián y su equipo me hicieron sentir segura y tranquila en todo momento.• Clínica dental Helios odontología y ortodoncia • Primera visita Odontología •
-
B
Barbara
Excelente atención, las instalaciones son cómodas y agradables
• Clínica dental Helios odontología y ortodoncia • Blanqueamiento dental •
- Dentistas - odontólogos de GNP Grupo Nacional Provincial en Ciudad de México
- Dentistas - odontólogos de AXA en Ciudad de México
- Dentistas - odontólogos de Met-Life en Ciudad de México
- Dentistas - odontólogos de Seguros Monterrey en Ciudad de México
- Dentistas - odontólogos de Allianz en Ciudad de México