Dra. Sofía Ríos Villavicencio

Dentista - Odontóloga · Ver más

Coyoacán 1 dirección

No. de cédula: 8631311 6310217

69 opiniones
Tiempo de respuesta aproximado:

Experiencia

Hola soy la Dra. Sofía Ríos Villavicencio estudie la licenciatura en la Facultad de Odontología de la UNAM, hice mi especialidad en Periodoncia e Implantología en la División de Estudios de Posgrado e Investigación de la UNAM, me encuentro Certificada ante el Consejo Mexicano de Periodontología A.C., posteriormente estudie una Maestría en Docencia en la Universidad de Negocios ISEC, hice el Diplomado de Prótesis Bucal Fija en la UNAM, Diplomado de Educador en Diabetes en La Salle, Diplomado del Paciente con desgaste Severo de la Dentición en Academia ROA de Perú.
ver más Sobre mí

Enfocado en:

  • Implantología
  • Periodoncia
  • Periodoncia e implantología

Tipos de consulta

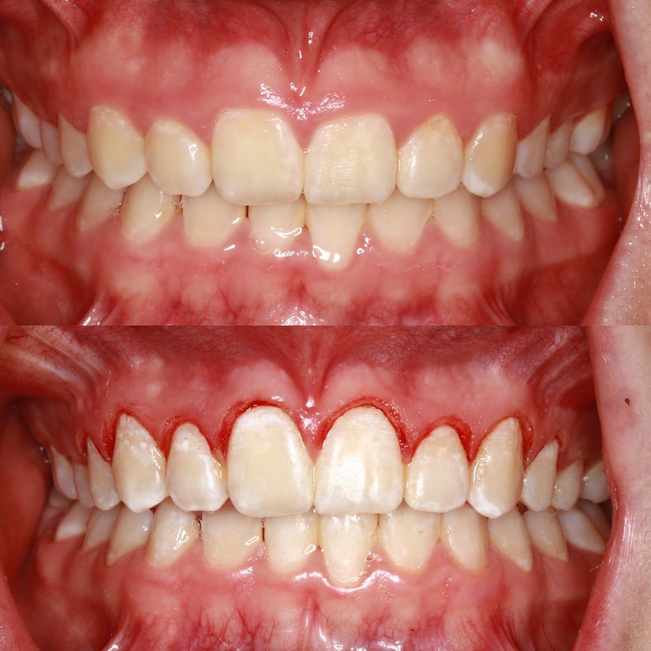
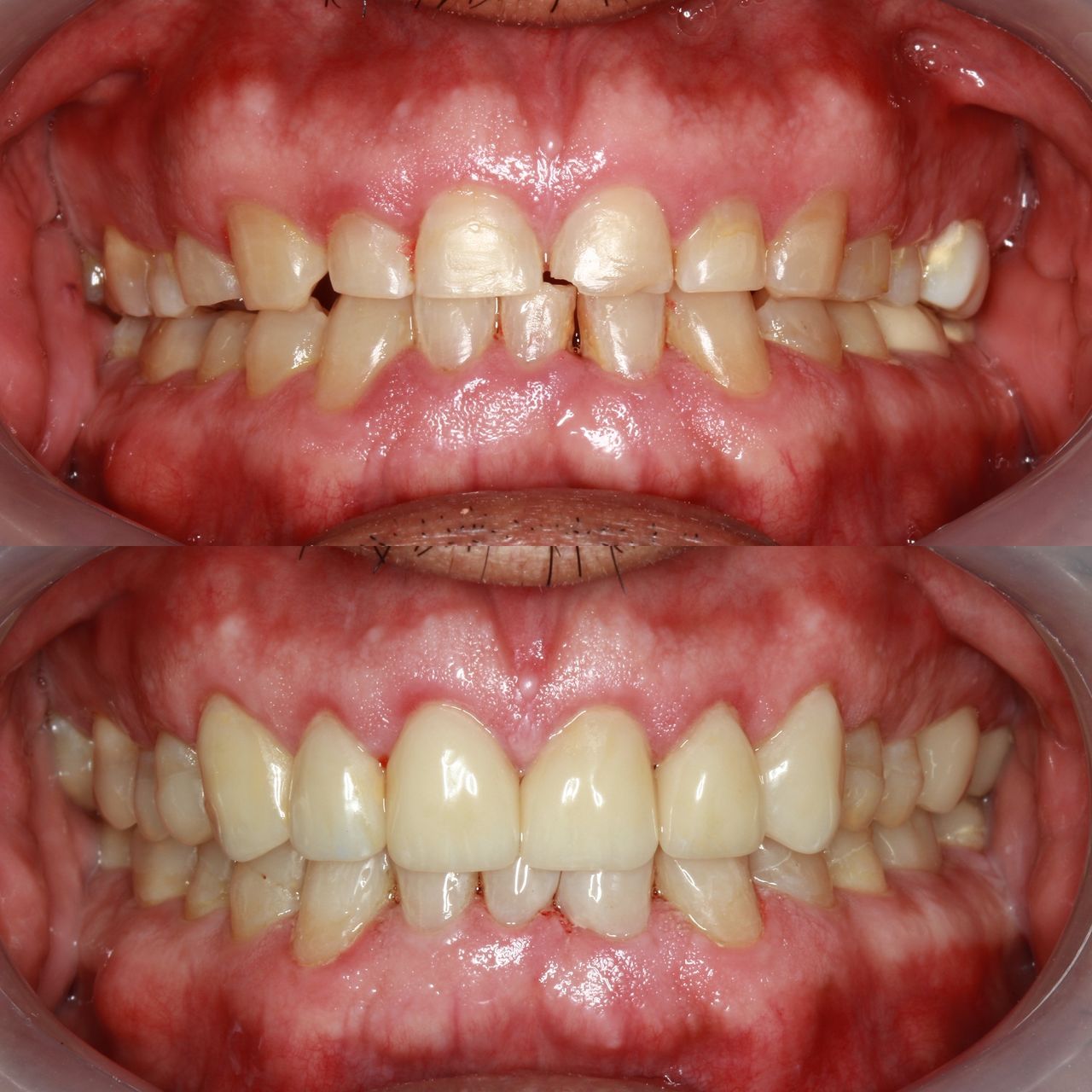
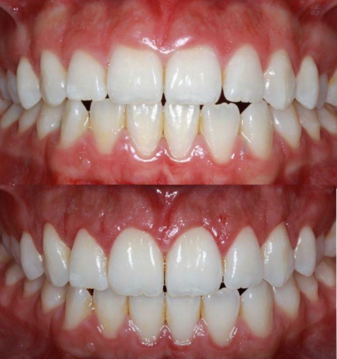
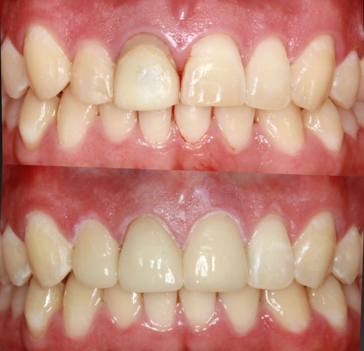
Fotos y videos

No se aceptan aseguradoras

Este especialista sólo acepta pacientes privados. Puede pagar directamente la cita para reservar, o encontrar otro especialista que acepte su aseguradora.

Consultorio

Ampliar se abre en una nueva pestaña
Centro Odontológico Dakota

Calle Dakota 45 Interior 607, Parque San Andrés, Coyoacán 04040

Disponibilidad

Número de teléfono

55 7191...
Ampliar se abre en una nueva pestaña

Servicios y precios

  • Primera visita Odontología

    $1,000

  • Frenectomía lingual o labial


  • Tratamiento de conductos


  • Resinas dentales

    $4,000

  • Reconstrucción dental

    $4,000

69 opiniones

Todas las opiniones son importantes, por este motivo, los especialistas no pueden pagar para modificar o eliminar opiniones. Saber más. Más información sobre opiniones
  • S

    La Dra. Sofía Ríos es muy profesional.Las instalaciones muy limpias.

     • Centro Odontológico Dakota Extracción de otras piezas dentarias  • 

  • O

    Buena atención muy amables en el servicio, buenas instalaciones fácil de llegar

     • Centro Odontológico Dakota Primera visita Odontología  • 

  • A

    Trato profesional y cordial, siempre utilizan técnicas, herramientas y materiales de última generación. Super recomendable!

     • Centro Odontológico Dakota Higiene bucodental  • 

  • A

    La Doctora Sofía es muy profesional y amable. Se esmera en que no sientas dolor y te explica todo el tratamiento

     • Centro Odontológico Dakota Prevención en salud bucal  • 

    Dra. Sofía Ríos Villavicencio

    Muchas gracias por su comentario! Para nosotros es un placer poder servirle!!


  • S

    La Doctora es excelente en su profesión, en su trato, minuciosa en los tratamientos que realiza, seguimiento puntual,

     • Centro Odontológico Dakota Resinas dentales  • 

    Centro Odontológico Dakota

    Muchas gracias por tu comentario!! Para nosotros es muy importante poder servirte!!!


  • J

    La doctora no se presentó. Tenía una cita a las 7 pm la cuál no estuvo

     • Centro Odontológico Dakota Primera visita Odontología  • 

    Dra. Sofía Ríos Villavicencio

    Lamentamos mucho tu comentario ya que te tratamos de contactar desde las 10 de la mañana por llamada telefónica y mensaje y nunca recibimos una respuesta de tu parte. Por otro lado estuvimos ahí hasta las 8 de la noche y jamás acudiste al consultorio si hubieras llegado te hubiéramos metido entre los pacientes que estaban, desafortunadamente eso no ocurrió. Saludos y disculpa el inconveniente.


  • G

    todo excelente muchas gracias por la cita, explicación y tiempo

     • Centro Odontológico Dakota Primera visita Odontología  • 

    Dra. Sofía Ríos Villavicencio

    Muchas gracias por tu opinión para nosotros es un placer poder atenderte!


  • E

    Lo más importante para mi, es el profesionalismo de la Dra. Sofia Rios

     • Centro Odontológico Dakota Visitas sucesivas Odontología  • 

    Dra. Sofía Ríos Villavicencio

    Muchas gracias por su opinión para nosotros es un placer poder atenderlo.


  • E

    La doctora Sofía es muy buena Dra te explica a detalle lo que necesitas el equipo que tiene es de primera y se los recomiendo altamente

     • Centro Odontológico Dakota Visita Odontología  • 

    Dra. Sofía Ríos Villavicencio

    M;u has gracias por tu opinión para nosotros es muy importante!


  • G

    Me gustó el trabajo que hicieron con mis dientes *

     • Centro Odontológico Dakota Visita Odontología  • 

    Dra. Sofía Ríos Villavicencio

    Muchas gracias por tu opinión es un placer poder atenderte!


Se ha producido un error, inténtalo de nuevo.