Dra. Paola Fernández

Dentista - Odontóloga · Ver más

San Luis Potosi 1 dirección

No. de cédula: 12668616

14 opiniones
Tiempo de respuesta aproximado:

Experiencia

Soy médico estomatólogo por la UASLP, con especialidad en Ortodoncia y Ortopedia Maxilar por la UAQ.

Mi enfoque como ortodoncista va más allá de alinear dientes: creo en intervenir a tiempo para guiar el desarrollo óseo desde la infancia y así evitar tratamientos invasivos en el futuro. Por eso, me especializo en atender a niños desde los 7 años, cuando aún es posible corregir alteraciones del crecimiento con ortopedia funcional.

Me gusta brindar un trato cálido, paciente y claro, para que tanto niños como adultos se sientan en confianza en cada consulta. Creo firmemente en la importancia de explicar cada paso del tratamiento y acompañar a cada persona de forma cercana y humana.

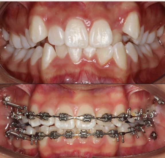
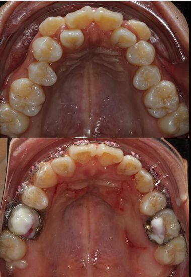
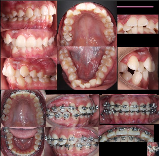
Actualmente, ofrezco tratamientos con brackets metálicos y estéticos (convencionales o de autoligado), ortopedia en niños, alineadores transparentes y guardas de desprogramación tipo Michigan para pacientes con disfunción de ATM.

ver más Sobre mí

Enfocado en:

  • Ortodoncia

Pacientes que atiendo

Adultos
Niños

Tipos de consulta

Videoconsulta

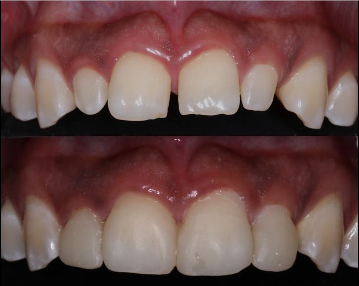
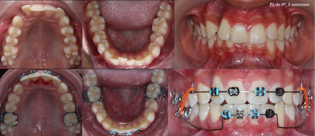
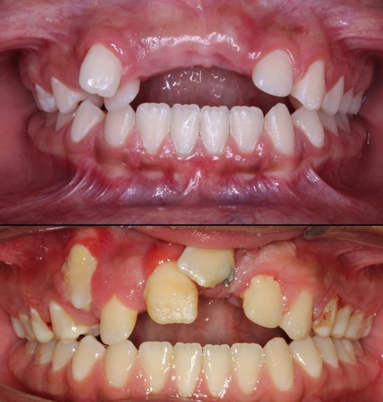
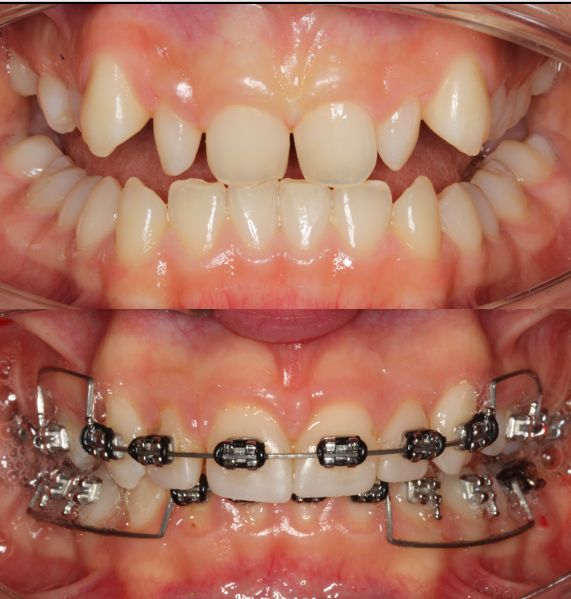
Fotos y videos

Aseguradoras aceptadas

Se aceptan aseguradoras, pero la cobertura varía según la ubicación y el servicio.

  • AXA
  • Dentalia
  • Centauro
  • DENTEGRA Y CENTAURO
  • Banco HSBC
+6 más

Consultorios (2)

Ampliar se abre en una nueva pestaña
SONRRISO DENTAL

Avenida Himno Nacional 3960, Issste, San Luis Potosi 78280

Disponibilidad

Número de teléfono

444 426...
Ampliar se abre en una nueva pestaña

Disponibilidad

Número de teléfono

444 426...

Servicios y precios

  • Consulta en línea

    $500

  • Exodoncia

    $1,000

  • Profilaxis (Limpieza Dental)

    $799

  • Ortopedia maxilo-facial


  • Ortopedia Dental


14 opiniones

Todas las opiniones son importantes, por este motivo, los especialistas no pueden pagar para modificar o eliminar opiniones. Saber más. Más información sobre opiniones
  • N

    Trato excelente, estoy muy contenta con el tratamiento que me realizo la Dra Paola muchas gracias

     • SONRRISO DENTAL Blanqueamiento dental  • 

  • G

    Me dolía mucho mi mordida y la verdad es que desde que tengo la guarda que me recomendó la doctora el dolor ha desaparecido

     • SONRRISO DENTAL Dolor en la mandíbula  • 

  • M

    Jamás me habían explicado tan detallado lo que tenía y eso que ya había ido con otros especialistas, la recomiendo mucho

     • SONRRISO DENTAL Brackets autoligado  • 

  • C

    Muy amable y alegre, explica todo muy entendible y de manera sencilla

     • SONRRISO DENTAL Consulta de ortodoncia  • 

  • R

    Excelente Doctora super buen trato , super recomendable

     • SONRRISO DENTAL Visita Odontología  • 

  • I

    Excelente especialista, buena mano, no me dolió nada

     • SONRRISO DENTAL Visita Odontología  • 

  • M

    Me gustó mucho el trato de la doctora, me explicó súper bien todo lo que me iba a realizar y me dio varias opciones de tratamiento para ver cuál me convenía más, sigo en tratamiento con mis brackets llevo ya 6 meses y ya estoy por terminar

     • SONRRISO DENTAL brackets  • 

  • D

    My family and I moved to San Luis Potosí last year and I couldn’t find a denitist I really liked. A friend of mine recommended Dr. Fernandez. We  are so happy that we found her!  My initial experience with Dr. Fernández was exceptionally positive. I was pleasantly surprised by how communicative she was and how thoroughly she explained her services. The scheduled cleaning and the overall “first time” exam were highly enjoyable. If you have ever had a traumatic visit with a dentist, I highly recommend Dr. Fernández. She  creates a calming  atmosphere and provides an exceptional dental experience. One added plus is that she is great with kids too!!

     • SONRRISO DENTAL Consulta de ortodoncia  • 

  • O

    Me pareció excelente todo, sobre todo el trato de la doctora, muy profesional, y los costos muy accesibles

     • SONRRISO DENTAL Brackets  • 

  • C

    ¡Una chula la doctora!
    Lleve a mi niña de 2.8 años y la verdad que que encanto, la doctora es súper paciente y tiene muchísimo ángel con los niños, nos explicó todo y mi niña salió feliz del dentista!!

     • SONRRISO DENTAL Otro  • 

Se ha producido un error, inténtalo de nuevo.

Dudas solucionadas

2 dudas solucionadas a pacientes en Doctoralia

Duda sobre Dientes desalineados

hola, tengo retenidas dos muelas del juicio de la parte superior de la boca y mi preocupación es que causen problemas al futuro y mi pregunta es si deberían ser extraídas o no por que recién me pusieron los brakets y no quisiera que hubiera algún inconveniente en el tratamiento.

se tendría que evaluar la radiografía para ver en que estado de desarrollo y posición están tus muelas y en base a eso ver si se dejan o se extraen.

Dra. Paola Fernández

molí dos aspirinas de 500mg y las puse en una muela que tengo rota ya que me habían dicho que así se me quitaba el dolor, claramente pues me trague la mayoría ¿es malo?

no es malo que te hayas pasado el paracetamol, pero esto no mejorara nunca tus molestias, lo idea es evaluar que tan rota esta tu muela y ver que tipo de restauración es la adecuada para que no continue el dolor

Dra. Paola Fernández

Todos los contenidos publicados en Doctoralia, especialmente preguntas y respuestas, son de carácter informativo y en ningún caso deben considerarse un sustituto de un asesoramiento médico.