Dr. José Luis Pérez Vázquez

Dentista - Odontólogo · Ver más sobre las especializaciones

No. de cédula: 12833412 11371237

18 opiniones
Tiempo de respuesta aproximado:

Experiencia

Especialista en Ortodoncia

C.D.E.O. José Luis egresado de Universidad Autónoma Metropolitana y Universidad Autónoma de Baja California, nuestro especialista en ortodoncia, alineadores invisibles, medicina del sueño, ortodoncia asistida con mini implantes y cirugía ortognatica.
Diseño de sonrisa con técnica mínimamente invasivas con resina y fotografia dental. Docente de posgrado en Ortodoncia y diferentes publicaciones a nivel internacional.
ver más Sobre mí

Enfocado en:

  • Ortodoncia
  • Atm y oclusión
  • Ortopedia dentofacial
  • Medicina dental del sueño

Pacientes que atiendo

Niños

Tipos de consulta

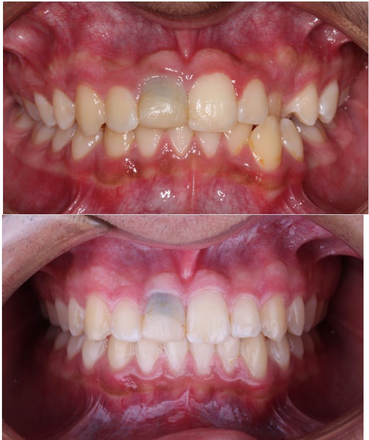
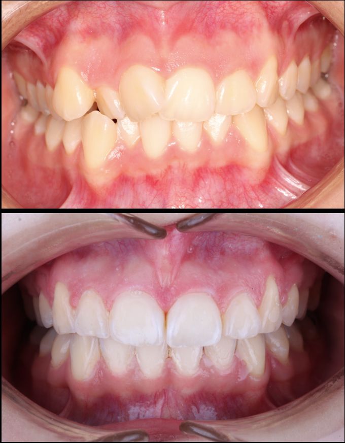
Fotos y videos

Servicios y precios

  • Control Ortodoncia

    $850

  • Primera visita con Ortodoncia

    Desde $800

  • Ajuste y control invisalign

    Desde $1,200

  • Alineadores transparentes personalizados (enderezamos tus dientes sin brackets)

    Desde $30,000

  • Apnea obstructiva del sueño

    Desde $6,000

Consultorio

Ampliar se abre en una nueva pestaña
PROrthodontics Dental Group

Blvrd Federico Benítez López 100-4, El Pedregal Oeste, Tijuana 22104

Disponibilidad

Pago en línea

Aceptado

Número de teléfono

664 386...
664 905...
Ampliar se abre en una nueva pestaña

No se aceptan aseguradoras

Este especialista sólo acepta pacientes privados. Puede pagar directamente la cita para reservar, o encontrar otro especialista que acepte su aseguradora.

18 opiniones

Todas las opiniones son importantes, por este motivo, los especialistas no pueden pagar para modificar o eliminar opiniones. Saber más. Más información sobre opiniones
  • H

    Excelente servicio en ortodoncia, muy profesional.

     • PROrthodontics Dental Group Control Ortodoncia  • 

  • F

    Excelente servicio 10/10 explicaciones claras a todas tus dudas y respuestas

     • PROrthodontics Dental Group Limpieza dental  • 

  • A

    Me gustó la atención, buen profesional y se ve que sabe.

     • PROrthodontics Dental Group Primera visita con Ortodoncia  • 

  • M

    Te explica muy bien el proceso qué va a realizar, lo recomiendo.

     • PROrthodontics Dental Group Visita Odontología  • 

  • G

    Excelente servicio y atención además de explicaciones muy claras.

     • PROrthodontics Dental Group  • 

  • I

    Muy buena atención, lo recomiendo, trabaja con mucha dedicacion

     • PROrthodontics Dental Group Visita Odontología  • 

  • D

    Experiencia y profesionalismo de excelencia. Gracias por su atención.

     • PROrthodontics Dental Group  • 

  • L

    Todo bien
    Muy cuidadosos y me explicaron todo detallado

     • PROrthodontics Dental Group Visita Odontología  • 

  • A

    Buena atención comprensivo al explicar el tratamiento explicación detallada del material así como las ventajas de uno y otro

     • PROrthodontics Dental Group Bracket de autoligado  • 

  • C

    Muy buen servicio y exelente explicación del tratamiento a seguir y sus beneficios

     • PROrthodontics Dental Group  • 

Se ha producido un error, inténtalo de nuevo.