Dra. Esmeralda Candida Guerrero Pimentel

Dentista - Odontóloga ver más

Tlalnepantla de Baz 1 dirección

Acepta Odontoprev, Dental First +1 seguros

No. de cédula: 7044443

16 opiniones
Tiempo de respuesta aproximado:

Experiencia

Profesional independiente, 15 años de experiencia en el sector privado, más de 500 casos exitosos.

Cada caso puede ser un reto, pero siempre encontramos la mejor solución para tu caso, basados en un buen diagnóstico para que el pronóstico a largo plazo sea óptimo.

Egresada de UNAM 

ver más Sobre mí

Enfocado en:

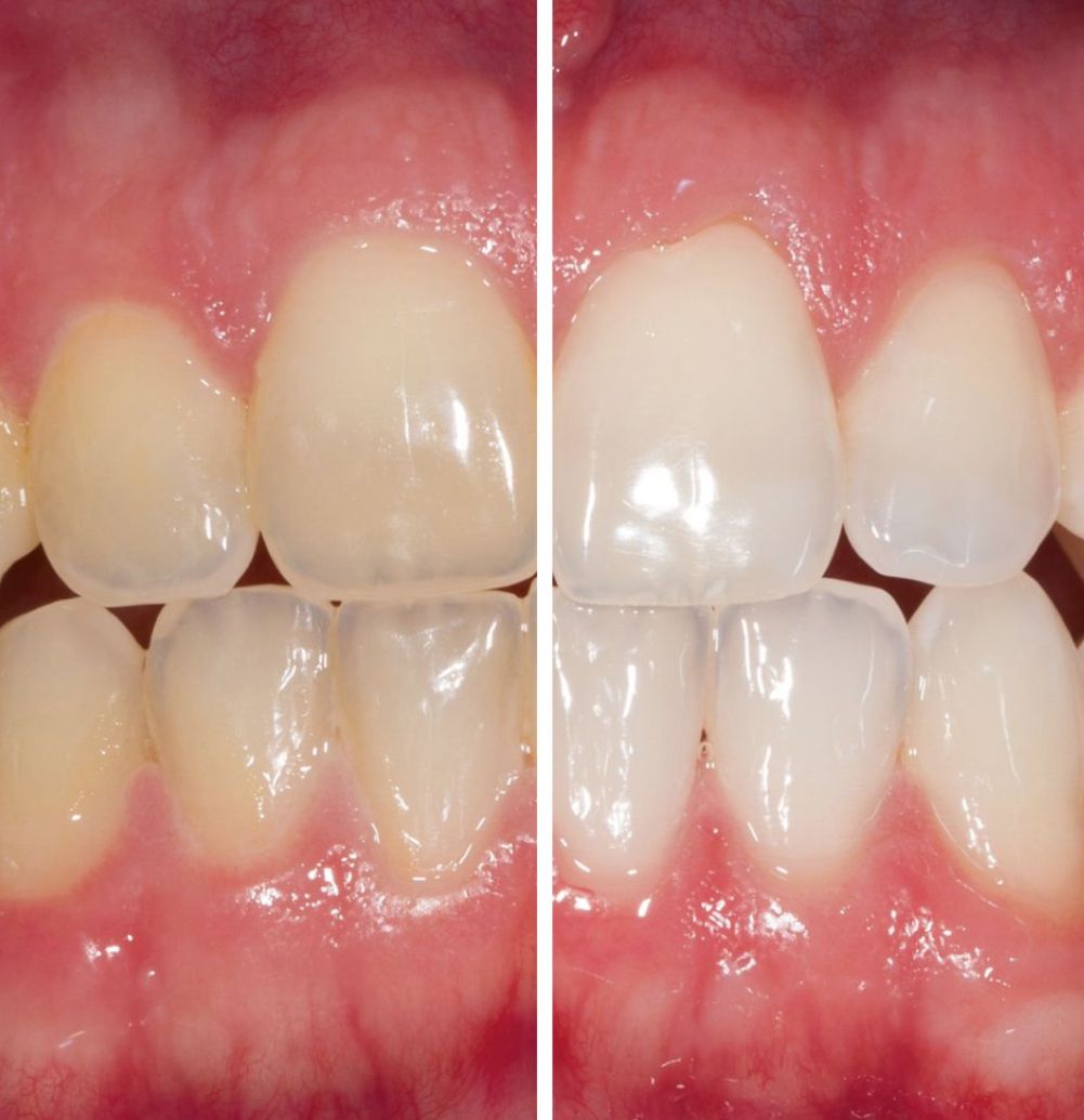
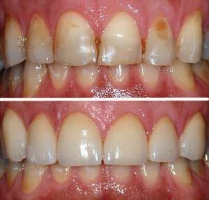
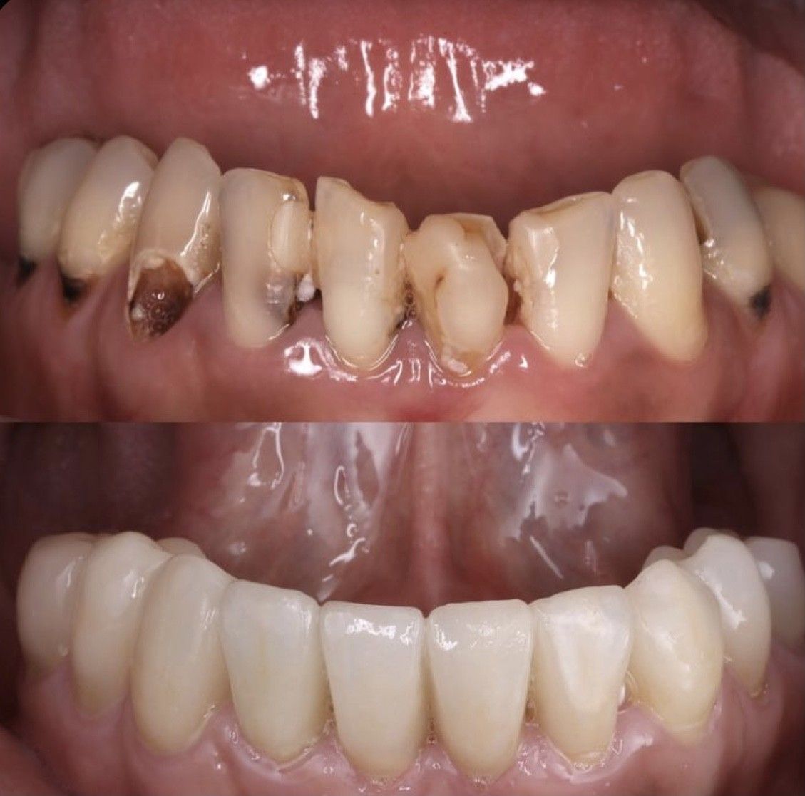
  • Odontología preventiva
  • Odontología estética
  • Odontopediatría
  • Rehabilitación bucal

Aseguradoras aceptadas

Se aceptan aseguradoras, pero la cobertura varía según la ubicación y el servicio.

  • Odontoprev
  • Dental First
  • Dentegra Seguros

Consultorio

Ampliar se abre en una nueva pestaña
Consulta Privada

S. Luis Potosí 41, Constitucion De 1917 , Tlalnepantla de Baz 54190

Disponibilidad

Número de teléfono

55 1379...
Ampliar se abre en una nueva pestaña

Servicios y precios

  • Primera visita Odontología


  • Prostodoncia total - 1 arcada


  • Higiene bucodental


  • Implantación de coronas estéticas para niños


  • Implante dental


16 opiniones

Todas las opiniones son importantes, por este motivo, los especialistas no pueden pagar para modificar o eliminar opiniones. Saber más. Más información sobre opiniones
  • J

    Atención rapida y profesional, se aseguró que la anestesia estuviera haciendo efecto antes de la extracción, saco las muelas de juicio muy rápido.

     • Consulta Privada Extracción de las muelas del juicio  • 

    Dra. Esmeralda Candida Guerrero Pimentel

    Muchas gracias, saludos


  • L

    Me hizo sentir comprendida y empatía por mi estado de salud

     • Consulta Privada Primera visita Odontología  • 

    Dra. Esmeralda Candida Guerrero Pimentel

    Gracias


  • N

    Todo muy entendible, instalaciones limpias y cómodas

     • Consulta Privada Primera visita Odontología  • 

    Dra. Esmeralda Candida Guerrero Pimentel

    Muchas gracias por tus comentarios


  • M

    Primera vez asistiendo y todo muy bien, puntualidad, explicación y trato

     • Consulta Privada Primera visita Odontología  • 

    Dra. Esmeralda Candida Guerrero Pimentel

    Gracias, saludos


  • B

    Desde el comienzo, la consulta fue muy clara y detallada. Esa misma profesionalidad se reflejó en mi tratamiento de resinas, donde su cuidado y precisión fueron notables. La doctora Esmeralda es muy profesional y cuidadosa, asegurándose de que no sintiera ninguna molestia y explicándome todo el procedimiento. Me gusto mucho el resultado. Muchas Gracias :)

     • Consulta Privada Resinas dentales  • 

    Dra. Esmeralda Candida Guerrero Pimentel

    Gracias


  • M

    Dra. es muy amble y atenta al tratar paciente.
    Me gusta su explicación

     • Consulta Privada Primera visita Odontología  • 

    Dra. Esmeralda Candida Guerrero Pimentel

    Gracias


  • A

    Profesional, eficiente y con atención de calidad en los detalles

     • Consulta Privada Visitas sucesivas Odontología  • 

    Dra. Esmeralda Candida Guerrero Pimentel

    MUCHAS GRACIAS


  • A

    Excelente servicio es muy clara al decirte la situación con el paciente y explica muy bien!

     • Consulta Privada Resinas dentales  • 

    Dra. Esmeralda Candida Guerrero Pimentel

    MUCHAS GRACIAS


  • M

    Buena atención, muy amable, te explica el tratamiento, instalaciones agradables.

     • Consulta Privada Resinas dentales  • 

    Dra. Esmeralda Candida Guerrero Pimentel

    GRACIAS POR TU PREFERENCIA


  • B

    Es delicada y paciente, no tuve dolor!
    Los materiales que utiliza son de gran calidad y precio!

     • Consulta Privada Coronas estéticas  • 

    Dra. Esmeralda Candida Guerrero Pimentel

    MUCHAS GRACIAS


Se ha producido un error, inténtalo de nuevo.

Dudas solucionadas

1 dudas solucionadas a pacientes en Doctoralia

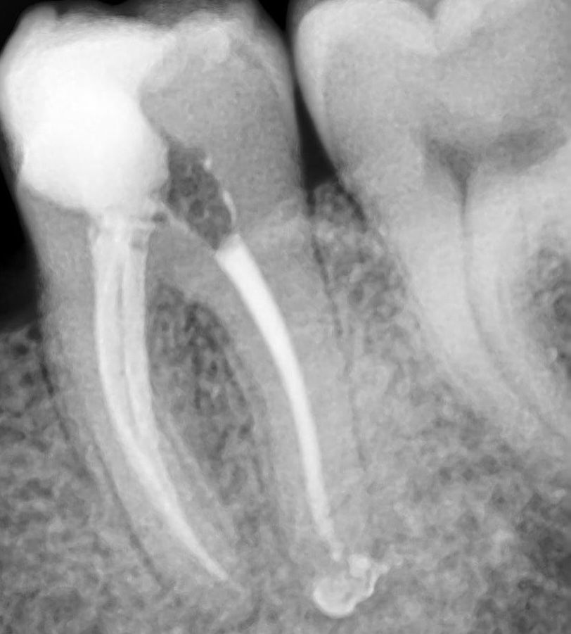
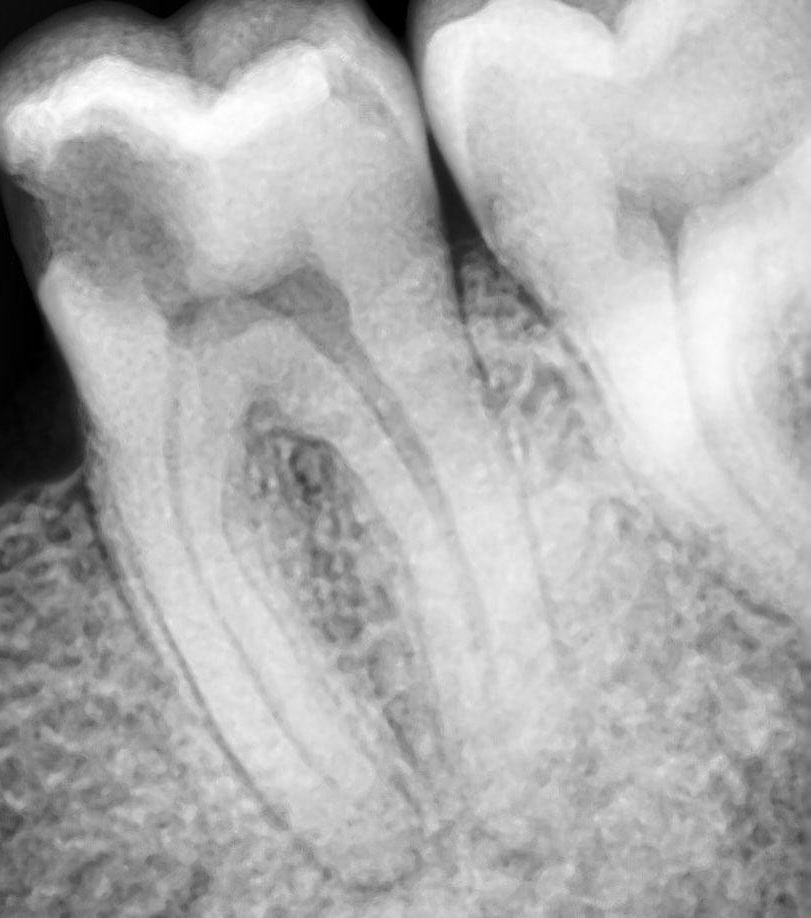
Duda sobre Infección dental

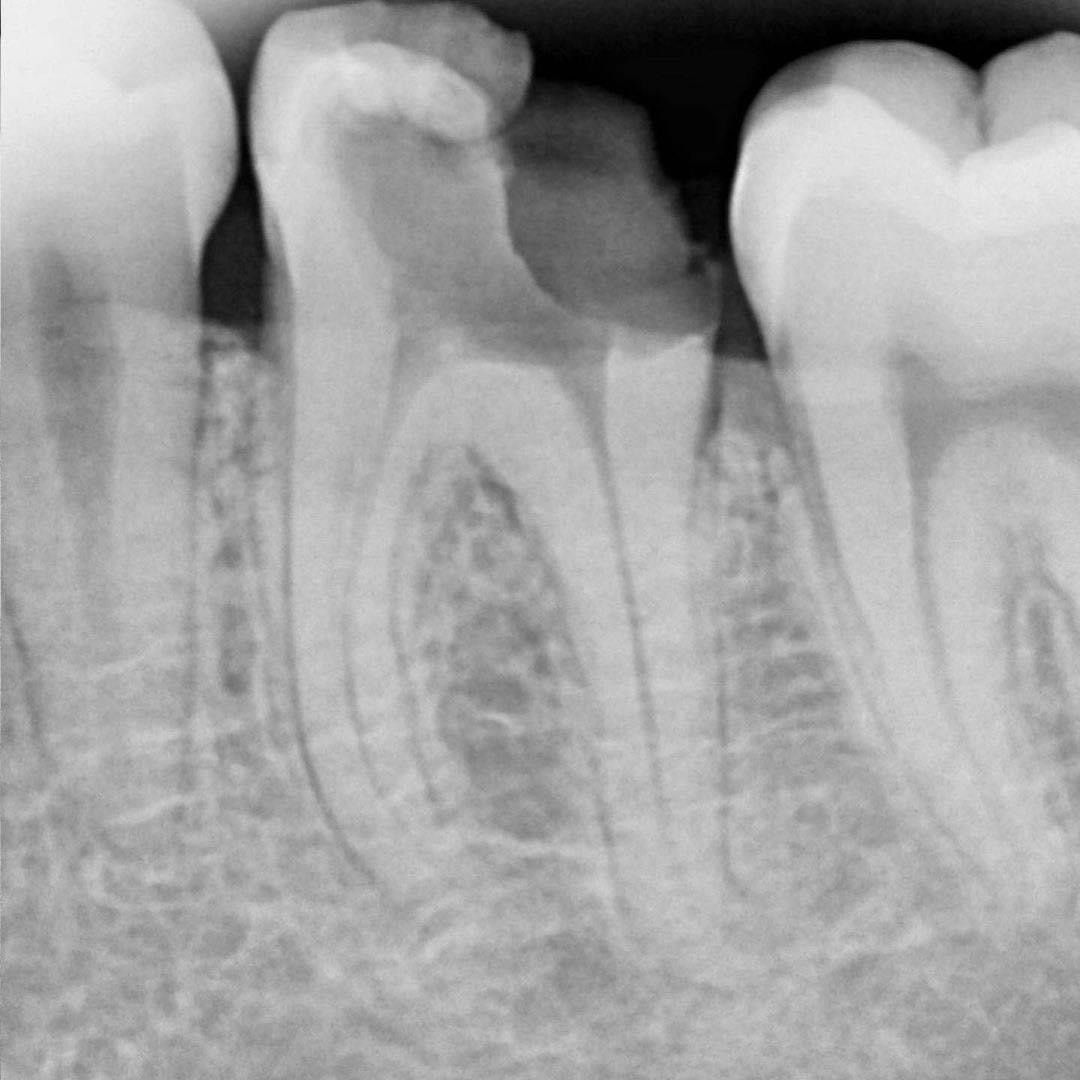
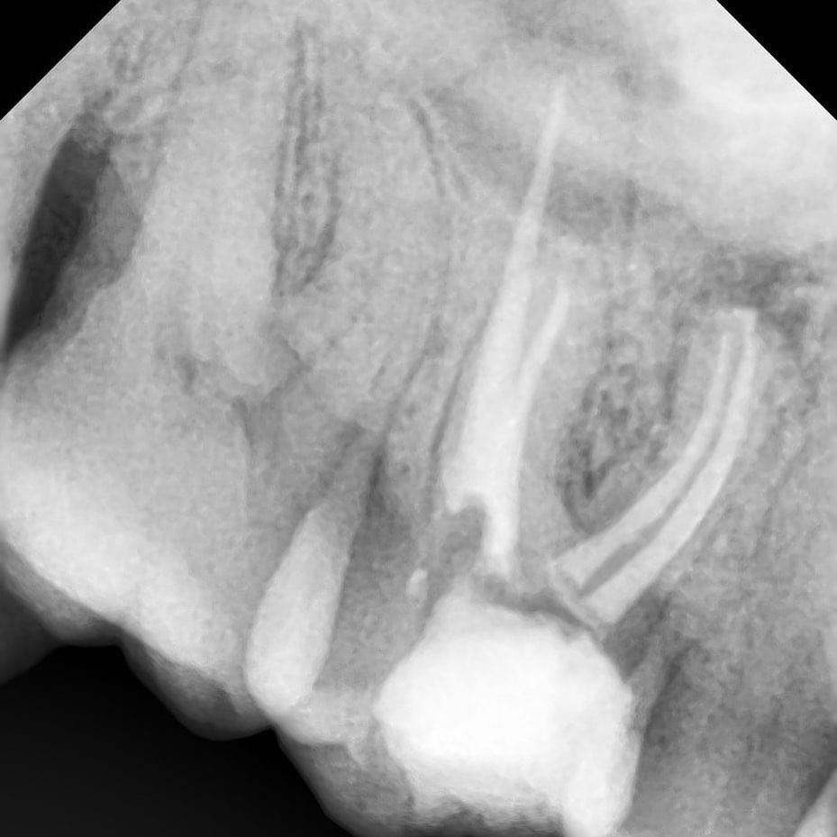
Hace meses me pusieron un Puente fijo en los pilares del Puente me hicieron root canal pero tengo en la encía una bolita, porque me habrá pasado esto

Lo mas seguro es que la endodoncia no estuvo bien trabajada, la "bolita" puede deberse a un proceso infeccioso, lo mas recomendable seria acudir a consulta, tomar una radiografía para evaluar el caso y si es necesario tomar antibiótico y rehacer la endodoncia.

Dra. Esmeralda Candida Guerrero Pimentel

Todos los contenidos publicados en Doctoralia, especialmente preguntas y respuestas, son de carácter informativo y en ningún caso deben considerarse un sustituto de un asesoramiento médico.