Dra. Erika Díaz de León torres

Dentista - Odontólogo · Ver más

San Luis Potosi 2 direcciones

No. de cédula: 6352595 8631289

291 opiniones
Especialista de confianza

Los pacientes vuelven a su consulta de forma recurrente

Logo
Dra. Erika Díaz de León torres

Avenida Venustiano Carranza 1115 INT 305, San Luis Potosi 78250

Muy pronto será un gusto recibirte en nuestras nuevas instalaciones totalmente innovadas y mejoradas para ti.

¡ Te esperamos !

31/08/2023

Experiencia

Soy la Dra. Erika Díaz de León Torres egresada de la facultad de Estomatología UASLP, especialidad Periodoncia e Implantología por la UNAM, maestría en educación por la UNITEC, Diplomado en Alta especialización en Implantología por la UCQ y Educadora en Diabetes por la Federación Mexicana de Diabetes para tener más conocimiento y ayudar más profundamente a nuestros pacientes.

Me especializo en:
- Enfermedades periodontales
- Implantología digital
- Láser en periodoncia
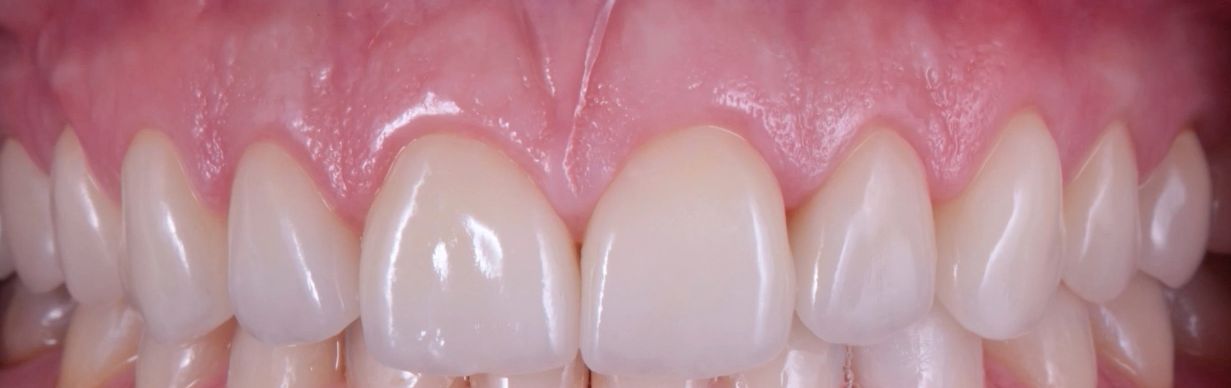
- Cirugía estética Periodontal
- Diseño de sonrisa (SONRISA GINGIVAL)
- Odontología Estética

Logrando la salud, bienestar, funcionalidad y estética en los pacientes con los más avanzados tratamientos de la más alta calidad. Contamos con las especialidades: Endodoncia, Ortodoncia (INVISALING), Odontología Estética, Rehabilitación bucal, Patología Bucal, Cirugía maxilofacial, Geriatría, Odontología general.
Formamos un equipo integral para la salud, bienestar y comodidad a nuestros pacientes, con la calidez, confianza y seguridad que se darán los mejores resultados favoreciendo una salud dental, periodontal y estética necesaria para tener una sonrisa y unos dientes hermosos.

Nuestra prioridad eres tu (cada caso es llevado de manera peculiar, documentado paso a paso)
¡Te espero, agenda tu cita conmigo por Doctoralia !
ver más Sobre mí

Enfocado en:

  • Odontología general
  • Odontología estética
  • Periodoncia e implantología
  • Ortodoncia
  • Endodoncia
Mostrar más detalles

Pacientes que atiendo

Adultos (Sólo en algunas direcciones)

Tipos de consulta

Videoconsulta

Fotos y videos

No se aceptan aseguradoras

Este especialista sólo acepta pacientes privados. Puede pagar directamente la cita para reservar, o encontrar otro especialista que acepte su aseguradora.

Consultorios (3)

Ampliar se abre en una nueva pestaña
EM CLINIC SAN LUIS

Avenida Venustiano Carranza 1115 INT 305, De Tequisquiapan , San Luis Potosi 78250

Disponibilidad

Número de teléfono

444 811...
444 661...
Ampliar se abre en una nueva pestaña

Disponibilidad

Ampliar se abre en una nueva pestaña
EM CLINIC SAN LUIS

Avenida Venustiano Carranza 1115, De Tequisquiapan , San Luis Potosi 78250

Disponibilidad

Número de teléfono

444 811...
Ampliar se abre en una nueva pestaña

Servicios y precios

  • Tratamiento de enfermedades autoinmunes


  • Profilaxis (Limpieza Dental)


  • Guardas gnatológicas


  • Higiene bucodental


  • Implante dental


Artículos

Prótesis totales

Se realizan cuando ya no hay ningún diente en boca o hay dientes que funcionan como domos, o implantes dentales, esta se realiza en varias citas con los más altos grados estándares, hay que checar varias pruebas como son la dimensión vertical, es decir, la altura que tenían los dientes antes de que los perdiera, para que la articulación temporomandibular se sienta agusto y se pueda masticar de una manera adecuada, recuerda que el tener los dientes ayuda a mejorar la digestión


Endopostes de fibras de vidrio (estéticos)

los endopostes son una especie de pernos que se realizan después de un tratamiento de endodoncia, para poder reconstruir el tejido perdido o cariado, estos endopostes pueden ser colados o de fibra de vidrio dependiendo el caso, se reaaliza aislando el diente para que no entre contaminación al diente y se pueda obtener un sellado hermético, posterior a este se coloca un provisional y posterior una corona o incrustación


Movilidad dentaria

puede deberse a varias causas la primera y mas común a la enfermedad periodontal, que es una infección que ataca encías y hueso, la segunda causa es un trauma de oclusión, el cual es ocasionada por la misma enfermedad periodontal o algún tratamiento de ortodoncia que este generando un contacto mayor en el diente y por eso se tenga movilidad, recuerda la movilidad no es signo de que se tenga que extraer el diente, al contrario acude con nosotros para poder ver tu caso y poder ayudarte, nuestra finalidad salvar los dientes


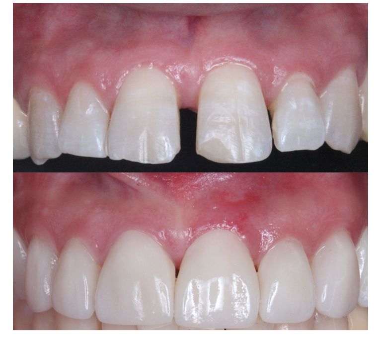
Gingivectomía

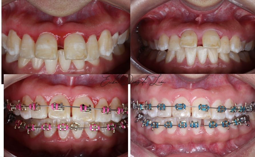
Es un procedimiento que se realiza cuando hay un agrandamiento en la encía o por razones estéticas. Es un procedimiento que involucra el corte biselado de la encía para poder devolverle la forma de filo de cuchillo y que los dientes se vean como antes o se vean incluso más grandes. Puede ser por razones estéticas después de una ortodoncia, o durante la misma, ya que muchas veces el bracket se tapa por la encía.


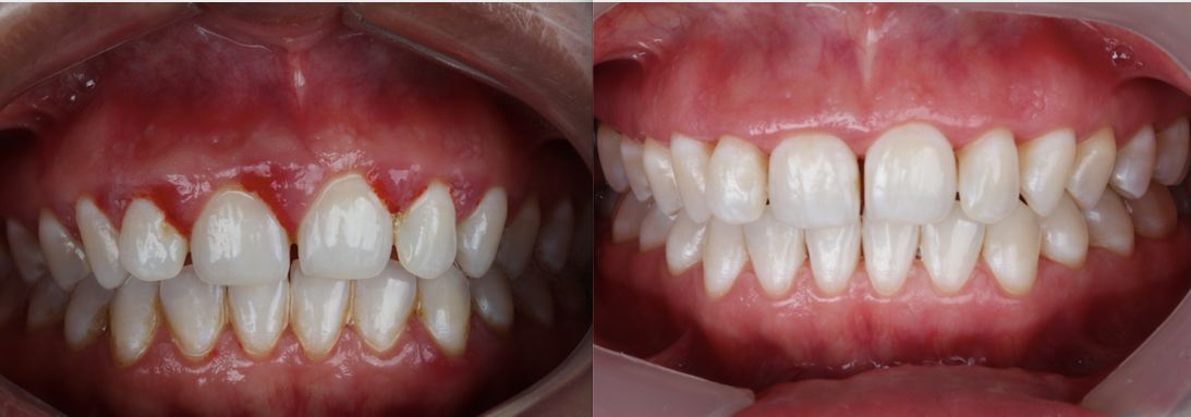
Enfermedad periodontal - piorrea

Es una enfermedad multifactorial que ataca los tejidos de soporte de los dientes, los primeros signos son sangrado en las encías, separación de los dientes (huecos negros), movilidad dental, mal aliento o mal sabor de boca, es una infección en la boca, su tratamiento va encaminado a que la persona reciba la información suficiente para poder cuidar diariamente su boca, y un tratamiento para poder salvar los dientes y no perderlos; infórmate, no hay nada que iguale los dientes, nuestro trabajo va encaminado a salvar los dientes.


Periodontitis

La periodontitis es una enfermedad multifactorial que ataca los tejidos de soporte de los dientes, es la 2da enfermedad después de la caries, por lo tanto, primera causa de pérdida dental en adultos. Muchas de las veces los primeros signos de esta infección es sangrado y separación de los dientes, por lo general, muchas personas no saben que la padecen hasta que los dientes se empiezan a mover. La enfermedad periodontal puede ocasionar la pérdida de todos los dientes, sino se trata adecuadamente, nosotros como especialistas les damos toda la información, herramientas necesarias para poder combatirla y por lo tanto el tratamiento adecuado para cada caso.

Ver todos los artículos

291 opiniones

Todas las opiniones son importantes, por este motivo, los especialistas no pueden pagar para modificar o eliminar opiniones. Saber más. Más información sobre opiniones
  • M

    Excelente!! Arencion personalizada
    Buen trato. Resultados tratamiento

     • EM CLINIC SAN LUIS Visitas sucesivas Odontología  • 

    Dra. Erika Díaz de León torres

    Mil gracias Sra luz le agradezco sus palabras es muy grato saber eso saludos la veo pronto


  • V

    Excelente trato
    Muy eficiente , una explicación detallada , recomiendo ala Doctora ampliamente.

     • EM CLINIC SAN LUIS Primera visita Odontología  • 

    Dra. Erika Díaz de León torres

    vero muchas gracias por tu comentario de corazón es muy importante para nosotros
    Para seguir mejorando día con día un abrazo nos vemos pronto saludos


  • I

    Dra Erika, gracias por el procedimiento y el seguimiento. Sus precios son accesibles y son de acuerdo a la calidad de su trabajo. Gracias por explicarme con detalle el procedimiento y sus atenciones. La recomiendo al 100%

     • EM CLINIC SAN LUIS Aplicación de incrustación estética  • 

    Dra. Erika Díaz de León torres

    Hay muchas gracias Isa estamos para servirte es un privilegio poder atenderte


  • M

    La consulta tuvo un costo mayor del indicado, incluyendo otros items que no me fueron consultados. Yo lleve mi radiografia panoramica, aun así me sacaron otras, a su vez no me enviaron imagenes de los resultados, solo una fotografia de celular, lo cual me pareció poco profesional. Yo fui su paciente el 2018 y lamentablemente no contaban con mi historial. Los costos del tratamiento bastante elevados.

     • EM CLINIC SAN LUIS Primera visita Odontología  • 

    Dra. Erika Díaz de León torres

    La
    Consulta tiene un costo de 1000 pesos porque se te dio todo lo necesario para hacer la higiene cepillos de los dos interdebtal y cepillo especial para resolver tu problema periodontal Magaly
    Número dos llevaste panorámica y yo para tercer mi expediente completo te tome radiografías periapicales que son parte de mi expediente y que te mandaron las fotos necesarias que te tenían que mandar
    Y número tres desgraciadamente desde 2018 yo ya no tengo que cumplir con tener tu expediente ya que son más de 5 años que no venías
    Además tienes un problema periodontal severo que lo que te molestó fueron los costos que se te dieron y no te parecieron entonces ahí hay de todo hay dentistas que son baratos o más económicos adelante magalay traes muchos problemas saludos que te vaya muy bien yo te atendí de manera profesional ética


  • X

    Muchas gracias doctora, me atendió excelente. Da gusto encontrar profesionales tan amables y dedicadas.

     • EM CLINIC SAN LUIS Primera visita Odontología  • 

    Dra. Erika Díaz de León torres

    Ximena muchas gracias por tus palabras son muy importantes para nosotros para poder mejorar y darles la atención que necesitan nuestros pacientes gracias saludos


  • L

    Excelente atención, la doctora es muy empática y todo es explicado detalladamente.

     • EM CLINIC SAN LUIS Higiene bucodental  • 

    Dra. Erika Díaz de León torres

    Gracias Lau por tus comentarios es un placer poder atenderte y sobretodo poder llegar a ser un equipo para mejorar tu salud bucal y periodontal saludos nos vemos después


  • M

    La doctora me tiene mucha experiencia, resolvió todas mis dudas eficazmente, y sobre todo fue muy comprensiva y atenta

     • EM CLINIC SAN LUIS Profilaxis (Limpieza Dental)  • 

    Dra. Erika Díaz de León torres

    Muchas gracias M.I por tus comentarios para nosotros son muy importantes para ir mejorando día a día saludos cuídate


  • J

    Siempre es un gusto y satisfacción ir a consulta con la doctora Erika. Te explica todo super bien, es super empatica con sus pacientes ojala que todos los dentistas fueran como ella y todo su equipo.

     • EM CLINIC SAN LUIS Visitas sucesivas Odontología  • 

    Dra. Erika Díaz de León torres

    Mil gracias jaz es un privilegio poder atenderte y mejorar tu estado de salud bucal y lo mejor es que nos hagas caso con tus cuidados que tienes que tener y que te enseñamos para lograr esa sonrisa con salud, hermosa y funcional muchas gracias por si estamos viendo


  • I

    Super paciente, muy cuidadosa, todo muy bien. Gracias Doctora.

     • EM CLINIC SAN LUIS Visitas sucesivas Odontología  • 

    Dra. Erika Díaz de León torres

    Mil gracias por tu comentario, todos los leo y son muy importantes para nosotros para
    Seguir mejorando día a día abrazo grande cuídate saludos


  • S

    La Dra Erika es muy profesional y muy amable, da explicaciones muy detalladas y está muy preparada, siempre está en constante capacitación.

     • EM CLINIC SAN LUIS Primera visita Odontología  • 

    Dra. Erika Díaz de León torres

    Hola Sofi gracias por tus comentarios son muy enriquecedores nos estamos viendo saludos


Se ha producido un error, inténtalo de nuevo.

Dudas solucionadas

14 dudas solucionadas a pacientes en Doctoralia

Duda sobre Brackets de cerámica

me quitaron los Brackets hace 2 días, no he sentido movimientos pero los Brackets me los entregan en 15 días, es bastante tiempo para que se dañe la ortodoncia?
Mi tratamiento no requirió movimientos exagerados eso influye en algo?

definitivo por mas mínimo que sean los movimientos la retención es lo más importante y eso se entrega a los pacientes lo más pronto
ahora de acuerdo a los casos hay pacientes que usan dos tipos de retención fija y removible aunque hayan sido mínimo los movimientos
saludos

Dra. Erika Díaz de León torres

Duda sobre Higiene bucodental

me pusieron una incrustación en la primer muela de lado derecho de arriba y un cacho de lado del peemolar pero al cepillarme los dientes me sangra de enmedio y se me inflama ya se me hizo infección
Le comenté a mi dentista y me mandó el enjuague de oral B para gingivitis pero yo veo igual mi encía asta dolor de muela eh tenido,
Me recomiendan sacarme una radiografía???

Hola que tal el enjuague solo te disfrazará el problema, yo te sugiero que busques un periodoncista como yo que nos dedicamos a la encía y el hueso para que te asesore, logico se te tomará una radiografía para saber cual es el problema, uno de los puntos más importantes es enseñar a nuestros pacientes a cuidar su boca, ya que sino te explicaron con cepillo e hilo u otros aditamentos para limpiar es dificil que puedas mantenerlo en salud, otro punto importante es el tipo de sellado y que restauración te hicieron ya que si esta desbordada perjudicarás mas la zona, sugiero valoración definitivamente saludos

Dra. Erika Díaz de León torres
Muestra todas las respuestas

Todos los contenidos publicados en Doctoralia, especialmente preguntas y respuestas, son de carácter informativo y en ningún caso deben considerarse un sustituto de un asesoramiento médico.