Dr. Christian San Juan González

Cirujano maxilofacial · Ver más

Santiago de Querétaro 3 direcciones

No. de cédula: 9119795 12766871

143 opiniones
Especialista de confianza

Los pacientes vuelven a su consulta de forma recurrente

Experiencia

Hola soy el Dr. Christian San Juan, especialista en Cirugía Oral, Maxilofacial e Implantología
Me especializo en cirugía de la cara y de la boca, con entrenamiento avanzado en Implantología dental, Cirugía de Asimetría facial, Cirugías orales con sedación con anestesiólogo.

Realicé una especialidad de 4 años a nivel hospitalario en el ISSSTE/UNAM
Entrenamiento en Cirugía Ortognática mínimamente invasiva Johnson & Johnson Institute for Professional Medical West Palm Beach Florida EUA
Diplomado en Implantología dental avanzada por la UNAM

Mi forma de trabajo es la siguiente: mediante una cita de valoración realizaré un cuestionario y revisión detallada del problema por el hayas acudido. Solicitaré los estudios necesarios y te explicaré de manera amplia tu diagnóstico y plan de tratamiento.
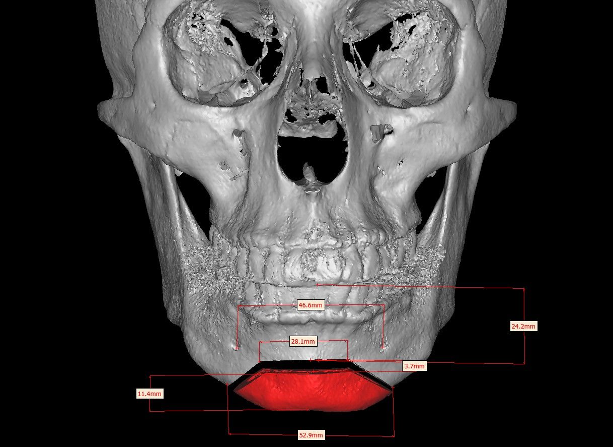
Contamos con toda la tecnología actual para poder realizar tu diagnóstico y tratamiento con precisión y con la mayor calidad.

A continuación te explico en que consisten los diferentes tratamiento que ofrezco:

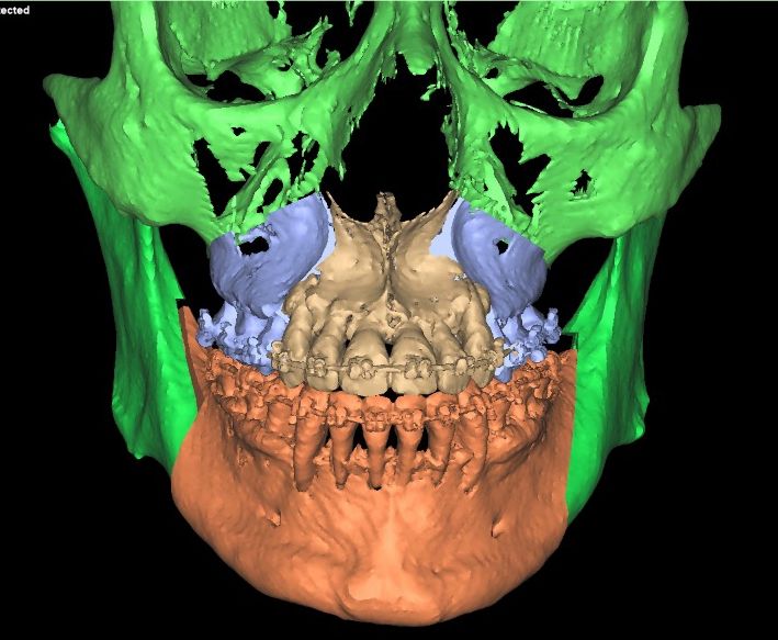
-Cirugía Ortognática de mínima invasión- Es la Cirugía que corrige las asimetrías de la cara, si no te gusta tu perfil, tu mordida o tu sonrisa; mediante este tratamiento es posible corregir todos los aspectos faciales. (prognatismo mandibular, desviación mandibular, sonrisa gingival). También es un tratamiento para la APNEA del sueño (Pacientes que dejan de respirar por periodos largos y repetidos cuando duermen)

-Implantología dental: Si te falta uno o varios dientes o incluso si usas prótesis total, es posible colocar implantes dentales (tornillos de titanio) que reemplazarán a los dientes perdidos y así, recuperarás la función para comer, sonreír y hablar de manera normal.

-Traumatismo facial (Fracturas de la región facial, mandíbula, maxilar, órbita, malar)

-Cirugía oral (Extracción de terceros molares "muelas del juicio", biopsias) La extracción dental es posible realizar en consultorio mediante sedación realizada por Anestesiólogo certificado.

-Cirugía estética (Mentoplastía, Bichectomía, Lipo-cuello, Marcaje mandibular)

Realicé mi especialidad en el programa de Residencia Médica Hospitalaria del Hospital Regional 1ro de Octubre del ISSSTE con aval por la Universidad Nacional Autónoma de México UNAM
MENCIÓN HONORÍFICA UNAM - ISSSTE
Certificado por el Consejo Mexicano de Cirugía Oral y Maxilofacial No. 1103
Miembro del Colegio Mexicano de Cirugía Ora y Maxilofacial

Soy un Cirujano actualizado, me comprometo a brindarle una experiencia agradable y segura en cada uno de los tratamientos que realizo, con la confianza de tener una comunicación directa conmigo en todo momento.
ver más Sobre mí

Enfocado en:

  • Cirugía ortognática y estética
  • Cirugía oral
  • Traumatismos faciales
  • Implantología dental

Pacientes que atiendo

Adultos
Niños (Sólo en algunas direcciones)

Tipos de consulta

Fotos y videos

Aseguradoras aceptadas

Se aceptan aseguradoras, pero la cobertura varía según la ubicación y el servicio.

  • GNP Grupo Nacional Provincial
  • AXA
  • Mapfre Seguros Tepeyac
  • Met-Life
  • Inbursa Inburmedic
+2 más

Consultorios (3)

Ampliar se abre en una nueva pestaña
WTC Querétaro Juriquilla Torre 3 Consultorio 819

P.º de la República 13020, Rancho Largo, Juriquilla 76320

Disponibilidad

Número de teléfono

442 378...
Ampliar se abre en una nueva pestaña
Ampliar se abre en una nueva pestaña
Medical Center Biloba 2do piso Consultorio 3

Boulevard Bernardo Quintana Arrioja 4195, Alamos 3Ra Sección, Santiago de Querétaro 76160

Disponibilidad

Número de teléfono

442 378...
Ampliar se abre en una nueva pestaña
Ampliar se abre en una nueva pestaña
Hospital Angeles Centro Sur 6to Piso Consultorio 615

Boulevard Centro Sur 9800, Centro Sur , Santiago de Querétaro 76090

Disponibilidad

Número de teléfono

442 378...
Ampliar se abre en una nueva pestaña

Servicios y precios

  • Primera visita Cirugia Maxilofacial

    Desde $800

  • Cirugía ortognática


  • Extracción de las muelas del juicio


  • Implante dental


  • Resección bolsas de Bichat


143 opiniones

Todas las opiniones son importantes, por este motivo, los especialistas no pueden pagar para modificar o eliminar opiniones. Saber más. Más información sobre opiniones
  • E

    Me encantó su forma de atender, te explica de la mejor manera y recomendada posible según a su conocimiento que el tiene

     • Medical Center Biloba 2do piso Consultorio 3 Primera visita Cirugia Maxilofacial  • 

  • N

    Excelente muy profesional en el momento de explicar y atender al paciente .

     • Medical Center Biloba 2do piso Consultorio 3 Primera visita Cirugia Maxilofacial  • 

  • L

    Explicación muy clara y con mucha disposición a aclarar dudas

     • WTC Querétaro Juriquilla Torre 3 Consultorio 819 Primera visita Cirugia Maxilofacial  • 

  • M

    En la primer cita de valoración me pareció muy acertado y la explicación muy clara respecto a el motivo de mi consulta

     • WTC Querétaro Juriquilla Torre 3 Consultorio 819 Primera visita Cirugia Maxilofacial  • 

  • F

    Todo muy bien , nada de dolor , muy buen trato , higiene excelente

     • WTC Querétaro Juriquilla Torre 3 Consultorio 819 Extracción de las muelas del juicio  • 

  • I

    Excelente atencion, consultorio super bien ubicado (WTC por antea), trato puntual y profesional.

     • WTC Querétaro Juriquilla Torre 3 Consultorio 819 Otro  • 

  • E

    Me encantó el nivel de detalle, experiencia y conocimiento que maneja en el área que me dejó tranquilo con el procedimiento.

     • Medical Center Biloba 2do piso Consultorio 3 Primera visita Cirugia Maxilofacial  • 

  • M

    Muy dedicado, explicación detallada, entendí bien mi situación y lo que sigue en base al diagnóstico

     • Medical Center Biloba 2do piso Consultorio 3 Primera visita Cirugia Maxilofacial  • 

  • L

    Muy acertados y profesionales, muy al pendiente de el paciente

     • WTC Querétaro Juriquilla Torre 3 Consultorio 819 Implante dental  • 

  • A

    Primera visita muy satisfactoria. El doctor explicó todo con claridad y tranquilidad, fue muy puntual, profesional y buen trato.

     • Hospital Angeles Centro Sur 6to Piso Consultorio 615  • 

Se ha producido un error, inténtalo de nuevo.

Dudas solucionadas

6 dudas solucionadas a pacientes en Doctoralia

Duda sobre Trastornos de la articulación temporomandibular

Quisiera saber que tan confiable es la orthokinetica, ya que he visto maxilofaciales y no me han ayudado con mis dolores, solo me dieron una guarda y me siento igual de mal

Buen día las alteraciones de la articulación temporomandibular, es decir de la articulación de la mandíbula con el cráneo; están relacionadas con la posición dental, con la forma de la mandíbula y el maxilar y con la acción de músculos y ligamentos. Estas alteraciones deben ser tratadas en conjunto por un Cirujano Maxilofacial y un Ortodoncista, para establecer un buen diagnóstico y un adecuado plan de tratamiento.
Saludos

Dr. Christian San Juan González

Duda sobre Reparación de fractura de mandíbula

Buenas tardes
Tengo mi lado derecho más largo por decirlo así que mi lado izquierdo. Mi lado derecho de como una curva y mi lado izquierdo es mas definido como una L.
En este caso que cirugía es la adecuada.
Gracias

Hola buen día, habría que evaluar varios factores para establecer un diagnóstico adecuado.
Pero en el caso de encontrarnos con una asimetría facial de origen óseo, la cirugía para corregirla se llama cirugía ortognática. Es una cirugía realizada por un Cirujano Maxilofacial, con gusto puedo ayudarte a establecer un diagnóstico y alternativas de tratamiento.
Saludos

Dr. Christian San Juan González
Muestra todas las respuestas

Todos los contenidos publicados en Doctoralia, especialmente preguntas y respuestas, son de carácter informativo y en ningún caso deben considerarse un sustituto de un asesoramiento médico.