Artículos

Artículos 25 agosto 2020

Tomografía de abdomen: ¿Cómo es y cómo prepararse?

La tomografía de abdomen es mucho más precisa que el ultrasonido de esta área. También es mucho más barato y más rápido que la resonancia magnética.
Artículos 24 agosto 2020

Resonancia magnética 3T y 1.5T: diferencias

La resonancia magnética de 3T utiliza equipo tecnológicamente más avanzado, pero no siempre vale la pena usarlos.
Artículos 21 agosto 2020

Ultrasonido de tiroides: ¿Para qué sirve?

El ultrasonido de tiroides es el examen de imagen más popular de este órgano. Útil, indoloro y rápido, y al mismo tiempo bastante barato y ampliamente disponible.
Artículos 21 agosto 2020

Radiografía de tórax: ¿Qué es y para qué sirve?

La radiografía de tórax es uno de los exámenes radiológicos más frecuentes. Esto está determinado por, entre otros, su amplia disponibilidad y precio relativamente bajo.
Artículos 21 agosto 2020

Radiografía de abdomen: Preparación y procedimiento

La radiografía de abdomen le permite ver rápidamente lo que está mal en el sistema digestivo, urinario, entre otros. El estudio es bastante económico y ampliamente disponible.
Artículos 21 agosto 2020

Radiografía de rodilla: ¿Cómo es?

La radiografía de rodilla es el estudio más común para esta región del cuerpo. Gracias a él, podemos ver las estructuras que componen...
Artículos 30 julio 2020

Tomografía axial computarizada: ¿Qué es?

La tomografía axial computarizada (TAC) es un estudio de radiología e imagen para visualizar órganos y tejidos. Descubre qué es, cómo funciona y cuál es el costo aproximado de una TAC.
Artículos 30 julio 2020

¿Qué es y para qué sirve un ultrasonido?

La ecografía o ultrasonido, no sólo es una prueba segura, indolora y no invasiva, sino que también es extremadamente útil. Aquí podrás leer acerca de este estudio y sobre cómo debes prepararte.
Artículos 30 julio 2020

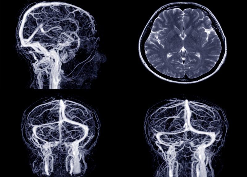
Resonancia de cabeza por angiografía

La evaluación del estado de los vasos sanguíneos dentro del cráneo es necesaria, entre otros, si sospecha un derrame cerebral. Se puede hacer a través de un examen llamado angiografía por resonancia magnética de la cabeza.
Artículos 30 julio 2020

¿Cuál es la diferencia entre tomografía y resonancia?

A pesar de ser estudios avanzados de imagenología, hay una gran diferencia entre tomografía y resonancia. Se realizan en circunstancias ligeramente distintas.
Artículos 30 julio 2020

Resonancia con contraste: ¿Qué es?

La resonancia con contraste es un estudio de imagen para visualizar órganos y tejidos dentro del cuerpo. A diferencia de una resonanc...
Artículos 30 julio 2020

Resonancia magnética: ¿Qué es?

La resonancia magnética es una prueba segura, extremadamente precisa, y con una aplicación muy amplia. Es una gran herramienta de diagnóstico ya que permite obtener imágenes de muy alta calidad del interior del cuerpo.
Doctoralia México S.A. de C.V. Avenida Boulevard Manuel Ávila Camacho No. 118 Piso 19 Col. Lomas de Chapultepec V Sección, Alcaldía Miguel Hidalgo CP 11000 CDMX, México (+52) 55 4165 3261

www.doctoralia.com.mx © 2025 - Encuentra tu especialista y pide cita

Este sitio web utiliza cookies.
Continúa navegando si estás de acuerdo con nuestra política de cookies.