Dra. Adali Lopez Balderas

Dentista - Odontólogo · Ver más

Querétaro 1 dirección

No. de cédula: 9398084

95 opiniones
Especialista de confianza

Los pacientes vuelven a su consulta de forma recurrente

Experiencia

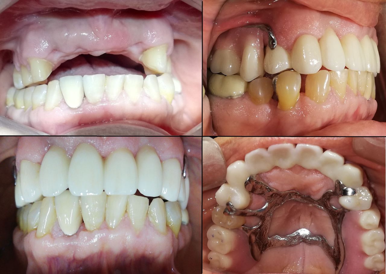
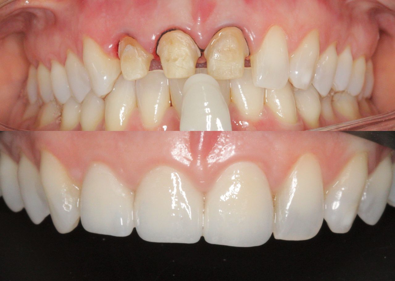
Me especializo en Rehabilitación Bucal, aplicando técnicas actualizadas para poder devolver estética y función a tu sonrisa. Me encanta que los pacientes se sientan seguros al sonreír. Soy muy detallista en lo que hago y siempre trato de dar lo mejor de mi.
Dental Doctors es una clínica dental con un concepto multidisciplinario donde acuden diferentes especialistas, con la finalidad de ofrecer a nuestros pacientes todos los servicios dentro de un mismo lugar.
ver más Sobre mí

Enfocado en:

  • Rehabilitación bucal
  • Prótesis bucal e implantología
  • Prostodoncia
  • Prótesis dental

Pacientes que atiendo

Adultos

Tipos de consulta

Videoconsulta

Fotos y videos

Logo
Dra. Adali Lopez Balderas

Brasil 29, Querétaro 76190

Especialista en rehabilitación bucal.

06/09/2024

Servicios y precios

  • Primera visita Odontología

    $600

  • Visitas sucesivas Odontología


  • Carillas de porcelana


  • Coronas dentales de zirconio


  • Coronas estéticas


Consultorios (2)

Ampliar se abre en una nueva pestaña
Dental Doctors local #3

Brasil 29, Lomas De Queretaro, Querétaro 76190

Disponibilidad

Número de teléfono

442 850...
442 206...
Ampliar se abre en una nueva pestaña

Disponibilidad

Número de teléfono

442 206...
442 850...

Aseguradoras aceptadas

Se aceptan aseguradoras, pero la cobertura varía según la ubicación y el servicio.

  • Dentegra Seguros

95 opiniones

Todas las opiniones son importantes, por este motivo, los especialistas no pueden pagar para modificar o eliminar opiniones. Saber más. Más información sobre opiniones
  • J

    Excelente Doctora, maneja todos los instrumentos con mucha seguridad y de forma eficaz, siempre está muy al pendiente de cómo te puede ayudar y se preocupa por uno, la recomiendo mucho, tiene un gran campo de conocimiento y experiencia

     • Dental Doctors local #3 Ortodoncia convencional  • 

  • M

    Muy interesada por sus pacientes. Higiene impecable.
    Muy actualizada

     • Dental Doctors local #3 Implante dental  • 

  • H

    Excelente tratamiento. Llevo ya varias visitas para un implante y todo ha ido muy bien

     • Dental Doctors local #3 Visitas sucesivas Odontología  • 

  • G

    Muy buena Dra.

    Excelente atención en la
    Consulta

     • Dental Doctors local #3 Primera visita Odontología  • 

  • B

    Excelente doctora, muy profesional y me encanta su trato y servicio, es muy cuidadosa con todo. La recomiendo 100%.

     • Dental Doctors local #3 Visitas sucesivas Odontología  • 

  • G

    Muy buena dentista, su trato profesional me gustó mucho y su experiencia la hacen muy competitiva

     • Dental Doctors local #3 Primera visita Odontología  • 

  • L

    Excelente en todos los sentidos, siempre me ha dado miedo el dentista, esta ocasión me han estado haciendo tratamientos muy duros pero no he sentido dolor, incomodidad ni nada exagerado, así que para mi ahora ir al dentista es con inmensa confianza. Plenamente recomendadas las instalaciones, el trato, el seguimiento, la orientación y explicación y sobre todo la limpieza de todo lo que ahí se usa. Excelentes profesionistas ahí.

     • Dental Doctors local #3 Implante dental  • 

  • D

    Sin duda la mejor dentista de la ciudad, con la mejor atencion y conociemtientos, por ello viajo desde USA para atenderme con ella!

     • Dental Doctors local #3 Visitas sucesivas Odontología  • 

  • A

    Excelente servicio y atención al cliente muy profesional

     • Dental Doctors local #3 Extracción de las muelas del juicio  • 

  • A

    Siempre buena atención, precios accesibles y super tratamientos

     • Dental Doctors local #3 Resinas dentales  • 

Se ha producido un error, inténtalo de nuevo.