Dra. Yazmín Martínez

Dentista - Odontólogo · Ver más

Cuernavaca 2 direcciones

No. de cédula: 10241781 5532333

22 opiniones
Tiempo de respuesta aproximado:

Experiencia

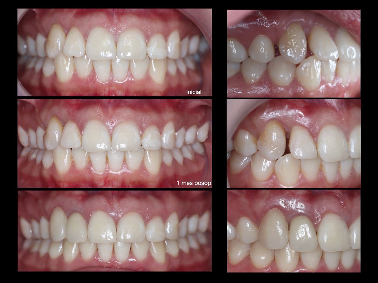
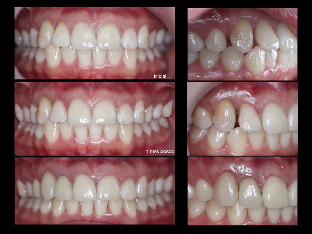
Soy Cirujana Dentista  y especialista  en Prótesis e Implantología oral, ambas estudiadas en la UNAM. Me dedico a la práctica privada y docencia clínica en UNAM, desde 2011.

Mi filosofía de trabajo es la mínima invasión en pro de la salud de mis pacientes, buscando siempre alternativas conservadoras que no impliquen la extracción de dientes. En la clínica cuento con un equipo de especialistas de otras áreas para brindar tratamientos integrales en el área de Periodoncia (tratamiento de encías), Cirugía Maxilofacial y Endodoncia (problemas de dolor o infección dental)

Me encanta mi trabajo ya que me ha permitido a través de estos años ayudar a muchas personas,  a sentirse mejor consigo mismas,  comer con eficiencia y mejorar su apariencia.

Adicionalmente cuento con una Maestría en Psicología (UNITEC) y una Maestría en Ciencias (UNAM)

ver más Sobre mí

Enfocado en:

  • Prótesis bucal e implantología

Pacientes que atiendo

Adultos (Sólo en algunas direcciones)

Tipos de consulta

Videoconsulta

Fotos y videos

Servicios y precios

  • Consulta en línea


  • Entrega de plan de tratamiento


  • Reconstrucción dental

    $1,000

  • Prótesis o placa completa

    $30,000

  • Protesis remóvible bilateral

    Servicio gratuito

Consultorios (3)

Disponibilidad

Ampliar se abre en una nueva pestaña
Prótesis e Implantología Oral. Cuernavaca

Avenida Cuauhtémoc #155, Torre médica Cuauhtemoc, Cantarranas, Cuernavaca 62450

Disponibilidad

Pago en línea

Aceptado

Número de teléfono

777 142...
Ampliar se abre en una nueva pestaña
Ampliar se abre en una nueva pestaña
Prótesis e Implantología Oral. CDMX

Viaducto Tlalpan 1013b, CEDULA, Polotlan, Tlalpan 14090

Disponibilidad

Este especialista no ofrece reserva online en esta dirección

Pago en línea

Aceptado

Número de teléfono

55 1377...
Ampliar se abre en una nueva pestaña

No se aceptan aseguradoras

Este especialista sólo acepta pacientes privados. Puede pagar directamente la cita para reservar, o encontrar otro especialista que acepte su aseguradora.

22 opiniones

Todas las opiniones son importantes, por este motivo, los especialistas no pueden pagar para modificar o eliminar opiniones. Saber más. Más información sobre opiniones
  • B

    Muy buena doctora. Se da el tiempo para explicarte las cosas, tiene la paciencia y tacto necesario.

     • Prótesis e Implantología Oral. Cuernavaca Otro  • 

  • D

    Tuve la oportunidad afortunadamente de que me recomendaran con la Dra. Yazmin Martinez, quede ampliamentensatisfecho por su capacidad y calidad en los implantes que requería mi dentadura. YA PUEDO SONREIR SIN VERGUENZA.La recomiendo totalmente

     • Prótesis e Implantología Oral. Cuernavaca Implante dental  • 

  • D

    Es mla primera consulta d mi mamá, aún no iniciamos tratamiento pero me pareció muy amable su trato y el tiempo que nos dedico para resolver dudas

     • Prótesis e Implantología Oral. Cuernavaca Prótesis o placa completa  • 

    Dra. Yazmín Martínez

    Un placer atenderla


  • F

    Excelente servicio y atención, detallada y clara.

     • Prótesis e Implantología Oral. CDMX Visita Odontología  • 

    Dra. Yazmín Martínez

    Muchas gracias Dra. Florina, para servirle


  • M

    Encantada con el resultado del diseño de sonrisa, las carillas quedaron hermosas, muy agradecida. Recomiendo ampliamente a la Dra. Yaz

     • Prótesis e Implantología Oral. Cuernavaca Diseño de sonrisa  • 

    Dra. Yazmín Martínez

    Muchisimas gracias


  • E

    Me sentí muy satisfecho con el tratamiento de la doctora. Me orientó muy bien en las opciones que tenía para mi caso y me gustó su forma de trabajo ya que en otros sitios me habían dicho que tenían que extraer el diente y ella me explicó otras opciones para no ser tan invasivo

     • Prótesis e Implantología Oral. Cuernavaca Carillas de porcelana  • 

    Dra. Yazmín Martínez

    Ha sido un gusto atenderle


  • S

    Fue puntual en la cita, me realice limpieza dental y todo muy bien, su asistente y ella muy amables.

     • Prótesis e Implantología Oral. Cuernavaca Visita Odontología  • 

    Dra. Yazmín Martínez

    Le agradezco!


  • E

    La doctora es muy humana y paciente, la prótesis que me puso por primera vez me funciona

     • Prótesis e Implantología Oral. Cuernavaca Protesis fija (coronas totales metal porcela y libres de metal)  • 

  • T

    Llevo ya años atendiendome con la Dra Yaz y siempre me ha dado mucha confianza y estoy muy a gusto con mi tratamiento. Destaco mucho la puntualidad en sus citas

     • Prótesis e Implantología Oral. Cuernavaca Visita Odontología  • 

  • A

    Me realizo una dentadura completa y me sentí muy satisfecho con los resultados, desde el inicio me explico muy detalladamente el tratamiento. La recomiendo ampliamente

     • Prótesis e Implantología Oral. Cuernavaca Prótesis o placa completa  • 

Se ha producido un error, inténtalo de nuevo.

Dudas solucionadas

1 dudas solucionadas a pacientes en Doctoralia

Duda sobre Ortodoncia

Buenos días, hace dos días que me extrajeron una muela del juicio inferior la verdad que el coágulo va cicatrizando bien pero creo que tengo restos de comida alrededor que aunque enjuague no salen, puede ser que en estos días se desprendan solos? Me da miedo tocar la herida para sacarlos ya que se recomienda no tocarla directamente y no sé qué hacer...

Hola, consultalo con tu doctor, pero generalmente puedes lavar con una jeringa (sin aguja) con un poco de solución salina y a distancia de la herida, esto “barre” los restos de comida

Dra. Yazmín Martínez

Todos los contenidos publicados en Doctoralia, especialmente preguntas y respuestas, son de carácter informativo y en ningún caso deben considerarse un sustituto de un asesoramiento médico.