Dr. Ulises Alvarado Rodríguez

Dentista - Odontólogo · Ver más

Nezahualcóyotl 3 direcciones

No. de cédula: 7775766

67 opiniones
Tiempo de respuesta aproximado:

Experiencia

Cirujano Dentista por la UNAM. Con más de 15 años ininterrumpidos de experiencia. Mi trabajo está enfocado en odontología restauradora,rehabilitación y estética dental. Cuento con un amplio equipo de especialistas, con actualización académica constante y certificaciones por colegios y asociaciones para poder entregar a nuestros pacientes los mejores resultados. Contamos con Área de Cirugía Maxilofacial, Endodoncia, Periodoncia, Implantología, etc. Todas las especialidades Dentales.

ver más Sobre mí

Enfocado en:

  • Odontología general
  • Endodoncia
  • Cirugía oral
  • Rehabilitación bucal

Pacientes que atiendo

Adultos (Sólo en algunas direcciones)
Niños (Sólo en algunas direcciones)

Tipos de consulta

Videoconsulta

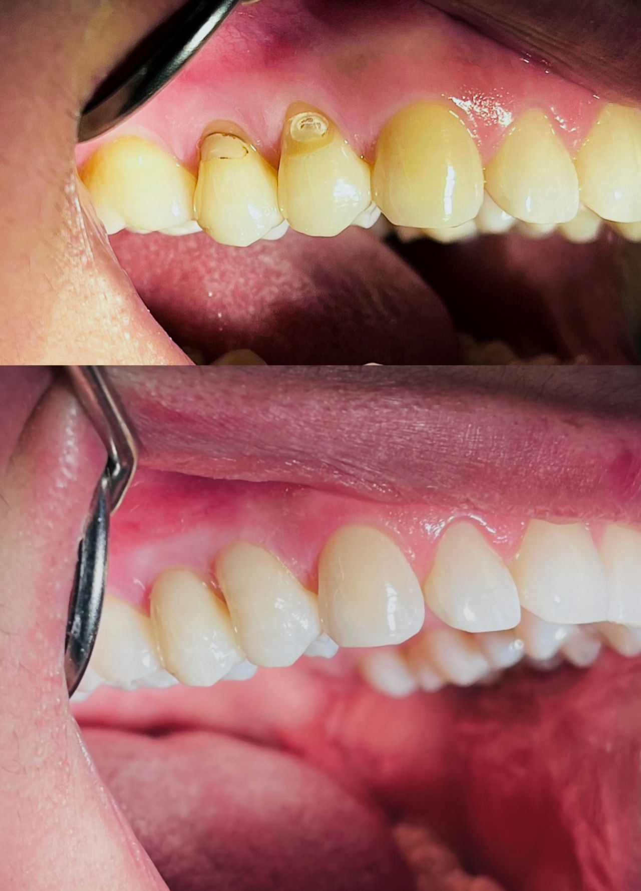
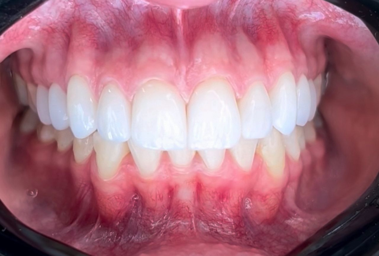
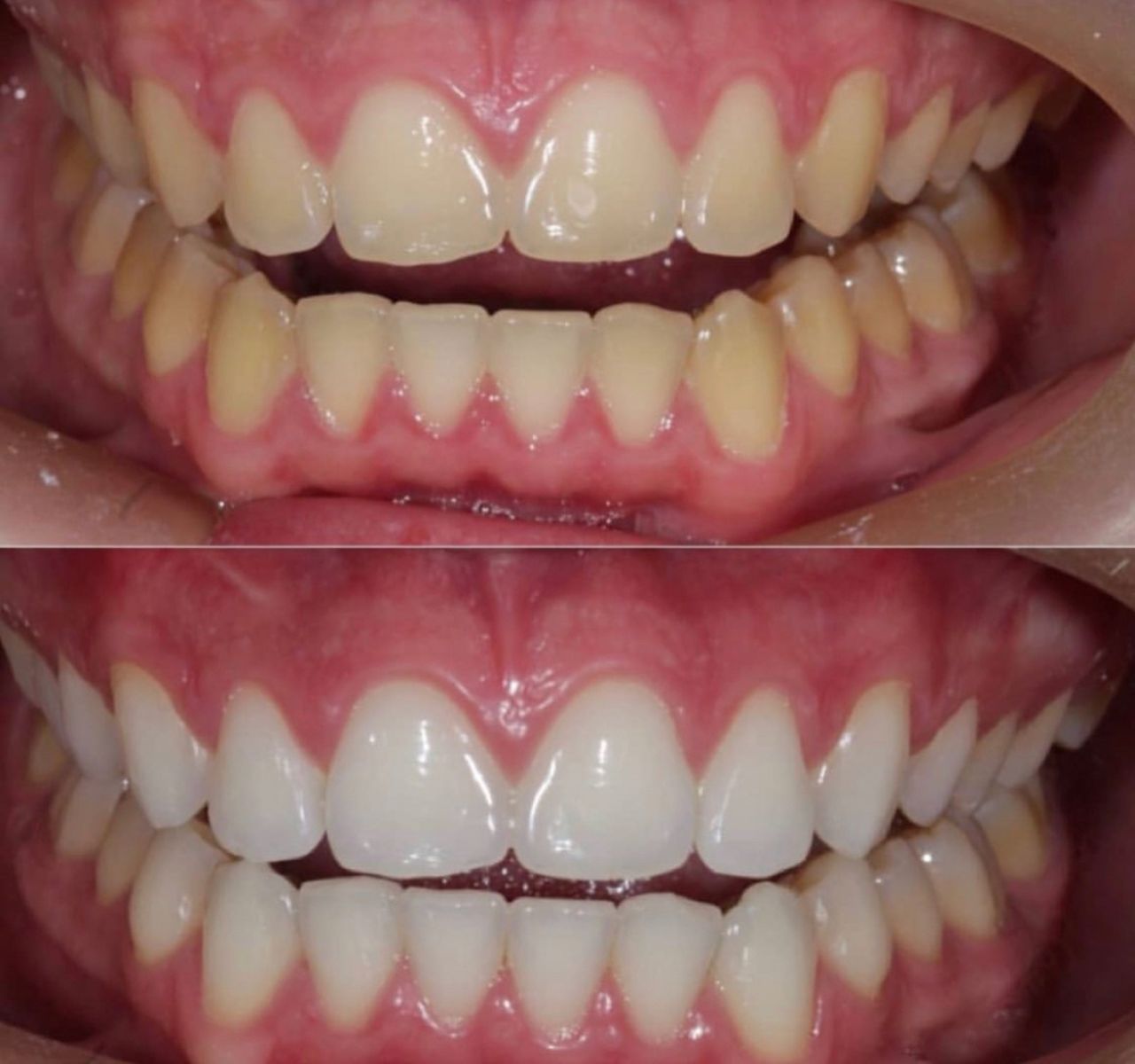
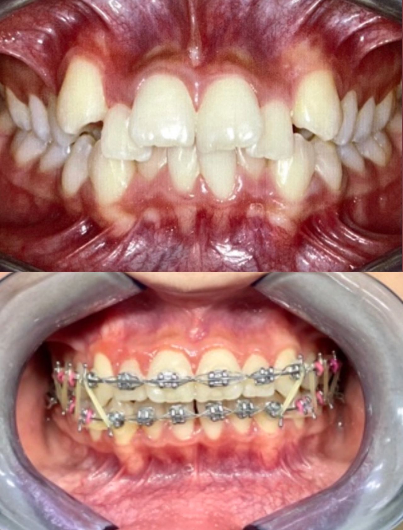
Fotos y videos

Servicios y precios

  • Consulta en línea

    $100

  • Extracción de otras piezas dentarias

    Servicio gratuito

  • Tratamiento de conductos


  • Resinas dentales


  • Reconstrucción dental


Consultorios (4)

Disponibilidad

Este especialista no ofrece reserva online en esta dirección

Ampliar se abre en una nueva pestaña
vemadent

Paseo de La Alteña. centro comercial alteña 1 local 25, Lomas Verdes Alteña I, Naucalpan 53127

Disponibilidad

Este especialista no ofrece reserva online en esta dirección

Número de teléfono

55 1150...
Ampliar se abre en una nueva pestaña
Ampliar se abre en una nueva pestaña
Prodontec Especialidades Odontológicas

Av. Adolfo López Mateos 635, Benito Juárez, Nezahualcóyotl 57000

Disponibilidad

Este especialista no ofrece reserva online en esta dirección

Número de teléfono

55 1150...
Ampliar se abre en una nueva pestaña
Ampliar se abre en una nueva pestaña
Prodontec Especialidades odontológicas

Av. Adolfo López Mateos 635, Benito Juárez, Nezahualcóyotl 57000

Disponibilidad

Este especialista no ofrece reserva online en esta dirección

Número de teléfono

55 1150...
Ampliar se abre en una nueva pestaña

No se aceptan aseguradoras

Este especialista sólo acepta pacientes privados. Puede pagar directamente la cita para reservar, o encontrar otro especialista que acepte su aseguradora.

67 opiniones

Todas las opiniones son importantes, por este motivo, los especialistas no pueden pagar para modificar o eliminar opiniones. Saber más. Más información sobre opiniones
  • M

    Muy buena atención y nos explica cada procedimiento que se hará..d
    Todo muy bien

     • otro lugar Otro  • 

  • N

    Años de atención familiar, excelente atención y técnicas a los procedimientos

     • Prodontec Especialidades Odontológicas Profilaxis (Limpieza Dental)  • 

  • I

    El Dr Ulises, todo un profesional, muy dedicado dando una explicación detallada del procedimiento a realizar, sobretodo salvando la pieza a trabajar. Muchas gracias

     • Prodontec Especialidades Odontológicas Visita Odontología  • 

  • L

    Todo muy bien, buena explicación y atención. Muchas gracias

     • Prodontec Especialidades Odontológicas Primera visita Odontología  • 

  • G

    Es un excelente dentista, buen trato, explica a de talle, da seguimiento, instalación excelente

     • Prodontec Especialidades Odontológicas Visita Odontología  • 

  • K

    Mi experiencia con el Dr. Ulises ha sido muy satisfactoria, la atención y profesionalismo del Dr. destaca de entre otros, es dedicado, puntual y cuidadoso, además de que el tratamiento ha sido completamente cómodo e indoloro, lo cual considero muy importante tratándose de una visita al dentista. Lo recomiendo ampliamente :)

     • Prodontec Especialidades Odontológicas Visitas sucesivas Odontología  • 

  • R

    Excelente servicio muy profesional te explican muy detalladamente lo recomiendo

     • Prodontec Especialidades Odontológicas Primera visita Odontología  • 

  • I

    Excelente servicio, Excelente trato y muy buena información

     • Prodontec Especialidades Odontológicas Resinas dentales  • 

  • A

    Me agrado el ambiente, muy buena explicación y muy amable

     • Prodontec Especialidades Odontológicas Visita Odontología  • 

  • J

    Excelente atención!! Ubicación excelente!! Detallado del tratamiento!! Todo excelente!

     • Prodontec Especialidades Odontológicas  • 

Se ha producido un error, inténtalo de nuevo.