Dr. Roberto Rivas Rios

Ortodoncista · Ver más

Guadalajara 2 direcciones

No. de cédula: 13273261 14714098

15 opiniones
Especialista de confianza

Los pacientes vuelven a su consulta de forma recurrente

Experiencia

Hola, Mucho gusto, soy el Dr. Roberto Rivas; Especialista en Ortodoncia Avanzada por la Universidad de Guadalajara y certificado en Ortodoncia y ortopedia maxilar por la Asociación Mexicana de Ortodoncia.

  • Certificado también  en Trastornos de la Articulación Temporomandibular en Buenos Aires, Argentina.

Me enfoco en el abordaje clínico de los trastornos de la articulación temporomandibular, responsables de cuadros como migrañas, dolor cervical, dolor mandibular, tinnitus, vértigo y alteraciones articulares como chasquidos o ruidos en la articulación.

  • Cuento también con una especialización en Alineadores invisibles

 

  • Tengo un Master en sistemas de Brackets Autoligado Pitts 21.

Un sistema que permite mover los dientes de forma más suave, y mucho más rápida y cómoda. Ayuda a lograr alineamientos más precisos y estéticos en menos tiempo. Además, reduce molestias y hace que el tratamiento sea más eficiente desde las primeras citas.

Mi atención esta enfocada en la correcta función de la masticación y mordida así como en  la estética facial y de la sonrisa para darte la mejor versión de ti! 

Agenda una cita de valoración sin costo

Para orientarte en tu tratamiento y ofrecerte lo mejor para ti, todos los tratamientos son personalizados ! 

ver más Sobre mí

Enfocado en:

  • Ortodoncia
  • Atm y oclusión
  • Ortopedia dentofacil
  • Articulación temporomandibular

Pacientes que atiendo

Adultos
Niños

Tipos de consulta

Videoconsulta

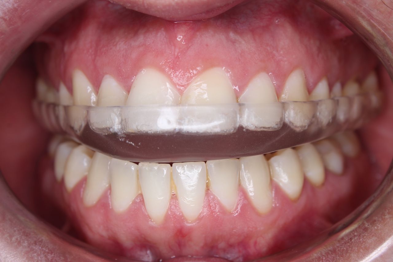
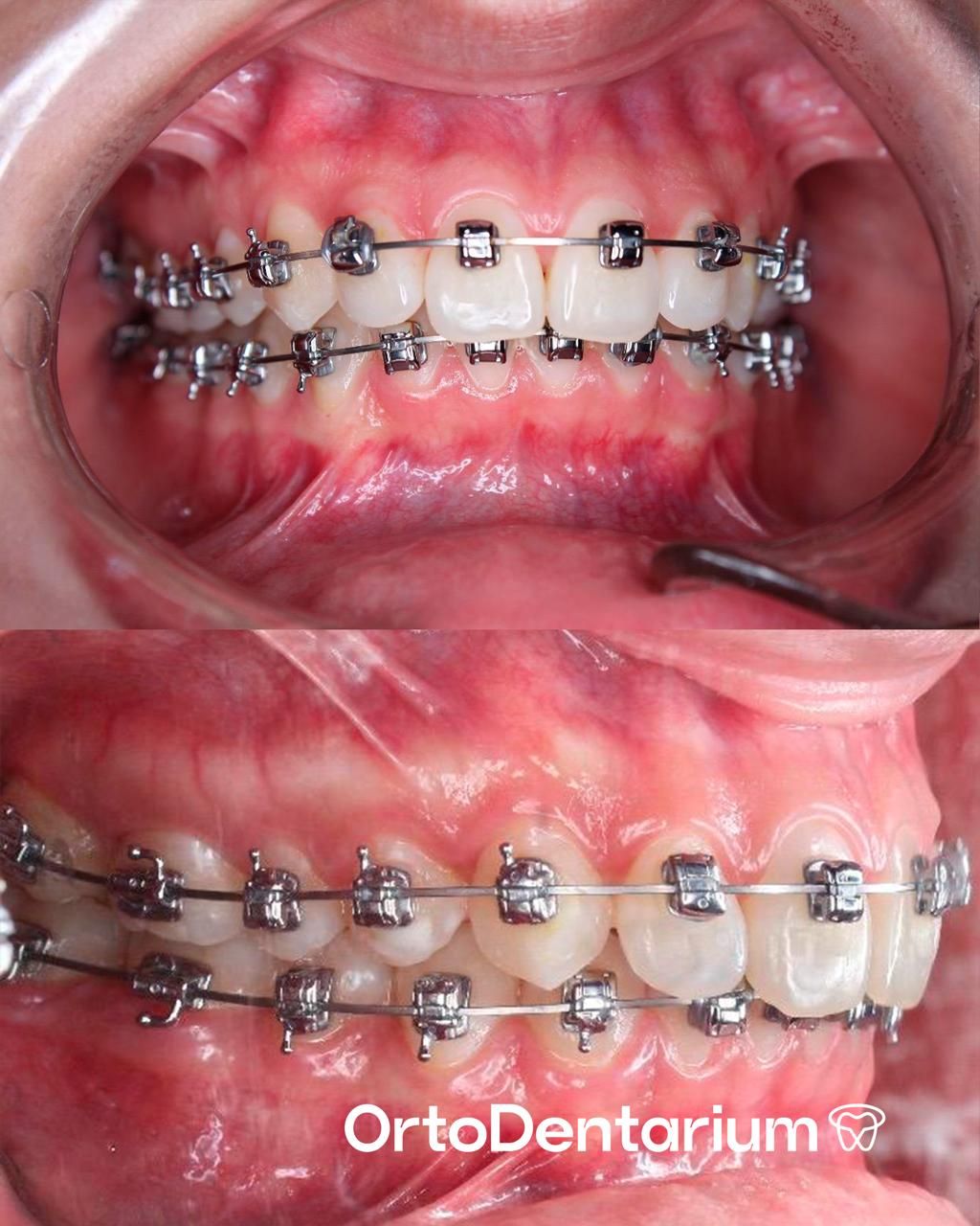
Fotos y videos

Servicios y precios

  • Consulta en línea

    $500

  • Visita Odontología


  • Ajuste de ortodoncia

    $500

  • Revisión o valoración


  • Revisión de primera vez


Consultorios (3)

Ampliar se abre en una nueva pestaña
Ortodentarium

Montes Pirineos 1267, Acceso cancel blanco, Independencia Oriente, Guadalajara 44340

Disponibilidad

Número de teléfono

33 2869...
33 1945...
Ampliar se abre en una nueva pestaña

Disponibilidad

Número de teléfono

33 1945...
33 2869...
Ampliar se abre en una nueva pestaña
OrtoDentarium Zapopan

Calle Paseo de Los Frambuesos 1565, Tabachines, Zapopan 45188

Disponibilidad

Este especialista no ofrece reserva online en esta dirección

Número de teléfono

33 1945...
33 2869...
Ampliar se abre en una nueva pestaña

Aseguradoras aceptadas

Se aceptan aseguradoras, pero la cobertura varía según la ubicación y el servicio.

  • Otra (Reembolso)

15 opiniones

Todas las opiniones son importantes, por este motivo, los especialistas no pueden pagar para modificar o eliminar opiniones. Saber más. Más información sobre opiniones
  • C

    El diagnóstico y plan de tratamiento fueron excelentes, me explicaron todo claramente, resultados visibles en poco tiempo, lo recomiendo ampliamente, superó mis expectativas, 10 de 10

     • Ortodentarium Ortodoncia autoligado  • 

  • D

    Es mi tercer tratamiento de ortodoncia y con el ha sido con el único que he notado cambios desde el primer mes, ya llevo dos años en este tratamiento y desde el principio me explico a detalle todo lo que sería mi tratamiento. Ahora estoy a unos pocos meses de terminar, realmente lo recomiendo bastante.

     • OrtoDentarium Zapopan Ortodoncia autoligado  • 

  • L

    Muy profesional, rápido y eficaz!!!! El tratamiento desde la primera visita se notan rapidísimo los cambios. El consultorio está súper limpio siempre, y el lugar es muy bonito.

     • Ortodentarium Ajuste de ortodoncia  • 

    Dr. Roberto Rivas Rios

    Gracias por tu compromiso con tu tratamiento, los resultados han sido increíbles estamos para ayudarte siempre y brindarte la mejor atención personalizada


  • F

    Cumple con la experiencia necesaria en su área eso me brinda confianza

     • Ortodentarium Visita Odontología  • 

    Dr. Roberto Rivas Rios

    Me complace haberte ayudado a solucionar tu problema, estamos ante todo para darte el mejor servicio


  • A

    Es mi 3 cita y los cambios son muy notorios desde la primera

     • Ortodentarium Ortodoncia autoligado  • 

    Dr. Roberto Rivas Rios

    ¡Muchas gracias por tu confianza y por compartir tu experiencia, Alfonso!
    Nos da mucho gusto saber que desde la primera cita ya has notado cambios; ese es justamente uno de nuestros objetivos: que el avance sea claro desde el inicio.
    Seguimos trabajando con gusto para lograr el mejor resultado en tu tratamiento. ¡Gracias por elegirnos!


  • C

    Tengo más de 8 años visitando al doctor Roberto y puedo decir que el servicio siempre ha sido excelente

     • Ortodentarium Visita Odontología  • 

    Dr. Roberto Rivas Rios

    MUCHAS GRACIAS Christian por compartir tu experiencia, y ser tan diciplinado al mantener tu sonrisa siempre saludable


  • V

    Todo súper, tratamiento, atención, limpieza todos muy, muy bien

     • Ortodentarium Ortodoncia autoligado  • 

    Dr. Roberto Rivas Rios

    Gracias por tu confianza y por tomar tan en serio tu tratamiento con brackets.
    Esa dedicación es justo lo que permite lograr cambios estéticos en tan poco tiempo.
    Estoy para servirte siempre.


  • M

    Había ido con varios doctores por un problema en mi articulación tenía mucho dolor y ningún odontólogo me había ayudado . Me gustó mucho mi tratamiento el
    Dr. Supo exactamente lo que tenía, me quitó el dolor y los problemas de mi articulación me hizo unos estudios y dió en el
    Clavo

     • Ortodentarium Visita Odontología  • 

    Dr. Roberto Rivas Rios

    Muchas gracias por tu mensaje!
    Tu compromiso con los brackets ha sido increíble, por eso vemos resultados tan rápidos.
    Sigue así, la mejor parte del tratamiento viene en camino.
    Estoy aquí para ayudarte cuando lo necesites.


  • A

    Terminó mi tratamiento de ortodoncia muy bn, tenia un problema de articulación temporomandibular y gracias a la ortodoncia redujo significativamente, si tienen hijos porfavor llévenlos a consulta asi no se vea ningún problema a simple vista, puede hacer la diferencia por el resto de sus vidas.

     • Ortodentarium Otro  • 

    Dr. Roberto Rivas Rios

    Gracias por tu reseña. Tu constancia con el tratamiento ha sido clave para lograr avances tan rápidos y estéticos con tus brackets.
    Sigue así, vas por excelente camino.
    Estoy a tus órdenes siempre


  • D

    Terminé mi tratamiento con el Dr Roberto y Fue muy fácil comprender todo el proceso porque explicaba todo lo que íbamos haciendo el Dr es muy eficaz

     • Ortodentarium Otro  • 

    Dr. Roberto Rivas Rios

    Muchas gracias! Me alegra muchísimo ver tu entusiasmo y compromiso con el tratamiento.
    Los brackets funcionan increíble cuando el paciente sigue las indicaciones, y tú lo has hecho excelente.
    Aquí estoy para apoyarte en cada etapa.


Se ha producido un error, inténtalo de nuevo.

Dudas solucionadas

28 dudas solucionadas a pacientes en Doctoralia

Hace poco fui a una cita dental por una muela que se fracturó, me dijeron que debía pensar en hacer un tratamiento de nervio y corona para salvar el diente, pero me hizo una calza para poder cubrir la fractura temporalmente y así poder evitar que ingrese alimentos. El problema es que la calza era muy profunda ya que la fractura lo era. Así que mi diente es muy sensible ahora con el frío. El problema es que el dolor no es en la muela en sí, es la mandíbula, posiblemente los nervios de ese lado del diente y nervio trigemino ya que el dolor a veces llega al oído y es algo punzante (tuve una situación así por otra muela). No he podido ir al endodoncia ya que no tengo el dinero aún pero no se que hacer mientras tanto, he tomado paracetamol, acetaminophen, enantium, mi última opción fue etoricoxib de 120 mg pero a las horas el dolor volvió por un momento.

Hola, buena tarde. Te escribe el Dr. Roberto Rivas de ORTODENTARIUM.

Gracias por compartir tu caso. Por lo que describes, es muy probable que la sensibilidad y el dolor que estás experimentando no provengan únicamente de la “calza que mencionas”, sino de una inflamación avanzada del nervio dental.
Cuando una fractura es profunda y la cavidad queda muy cerca de la pulpa, el nervio se irrita y puede desarrollar pulpitis reversible o irreversible, lo que explica el dolor punzante, el aumento de sensibilidad y la irradiación hacia la mandíbula, oído o incluso hacia el trayecto del nervio trigémino.

El hecho de que el dolor no mejore con analgésicos convencionales y regrese a las pocas horas incluso después de fármacos más potentes, es un signo claro de que el nervio está comprometido y necesita tratamiento de endodoncia.
Mientras más tiempo pase, mayor es el riesgo de infección interna o absceso.

Mientras tanto, aquí van algunas recomendaciones seguras y basadas en evidencia:
• Evitar alimentos fríos, duros o muy dulces, ya que disparan la respuesta del nervio.
• Masticar únicamente del lado contrario.
• Evitar bebidas heladas o muy calientes.
• No automedicarte con dosis altas ni repetidas de antiinflamatorios fuertes; solo enmascaran el problema y pueden dañar estómago o riñón si se usan por días.

Pero quiero ser muy claro contigo:
El tratamiento definitivo es la endodoncia. No hay fármaco que “cure” ese tipo de dolor porque se origina en el interior del diente.

Si gustas, puedo revisarte personalmente para confirmar el diagnóstico, valorar la extensión de la fractura y orientarte con un plan preciso y seguro.
Estoy para ayudarte con una explicación profesional, científica y honesta, y guiarte para que no sigas con dolor ni riesgos de complicación.

Dr. Roberto Rivas Rios

Duda sobre Ortodoncia convencional

Hola, hace 8 meses me pusieron braket primero en los dientes arriba y a los 4 meses en los dientes abajo pero me han puesto una pasta azul dura sobre la muela para evitar que se peguen las de arriba a las de abajo pero no puedo masticar nada hace 4 meses que solo como puré y líquido, me es difícil comer y tragar, le comenté a mi dentista y me dijo no era su culpa que comiera puré como los bebés y tampoco sabe hasta cuándo voy a estar así, es normal esto por favor? Que me aconsejan Dr

Hola buena tarda te escribe El Dr Roberto Rivas de ORTODENTARIUM Gracias por compartir tu situación; lo que describes no debería prolongarse tanto tiempo.
Las “pistas azules” o resinas de mordida se colocan para levantar la mordida temporalmente, evitar choques entre dientes y permitir que los brackets trabajen correctamente… pero su función no es dejarte sin poder masticar por meses.

Cuando están bien ajustadas, el paciente sí debe poder comer y adaptarse en un periodo razonable. Si llevas 4 meses sin poder masticar y con molestias al tragar, es señal de que la altura, la forma o la posición de las pistas no están equilibradas o no se han ido ajustando conforme tus dientes se mueven.
Esto no es normal, y mucho menos es adecuado responderte que “comas puré como bebé”. El tratamiento debe adaptarse al paciente, no al revés.

Mi recomendación es evaluarte clínicamente.
Una revisión adecuada nos permite ver:
• si las pistas están demasiado altas,
• si hay interferencias que no se han corregido,
• si tu mordida está siendo guiada de forma incorrecta,
• o si es necesario ajustar la mecánica o incluso retirar y recolocar esas pistas.

Con una planificación correcta, el paciente debe poder llevar su vida normal y masticar sin dolor ni limitaciones prolongadas.

Dr. Roberto Rivas Rios
Muestra todas las respuestas

Todos los contenidos publicados en Doctoralia, especialmente preguntas y respuestas, son de carácter informativo y en ningún caso deben considerarse un sustituto de un asesoramiento médico.