Dr.
Raúl Euán Salazar
Dentista - Odontólogo
·
Ver más
sobre las especializaciones
San Pedro Garza Garcia 1 dirección
No. de cédula: 3510289 4110910
174 opinionesExperiencia
Con más de 20 años de experiencia clínica, me enorgullece compartir mi dedicación a la excelencia y la estética dental con todos mis pacientes.
**Educación y Formación**
Soy Cirujano Dentista, graduado de la UANL en 1999, y Especialista en Prostodoncia y Odontología Estética de la UAT en 2002. Además, obtuve un Doctorado en Odontología de la Universidad Internacional de Catalunya, España, en 2015, y un Diploma en Estudios Avanzados en Investigación en 2010.
**Pasión por la Enseñanza**
Desde 2006, soy profesor universitario, y en la actualidad tengo el honor de ser el Coordinador del Posgrado de Prostodoncia de la UANL, donde comparto mis conocimientos y experiencia con futuros odontólogos.
**Especialista en Tecnología CAD/CAM**
Mi experiencia en tecnología CAD/CAM se extiende por más de 14 años, con capacitación en Europa y Estados Unidos. Poseo el entrenamiento avanzado "Train the Trainer" que me certifica como un experto en el sistema CEREC, una herramienta revolucionaria en la odontología moderna.
**Compromiso con la Actualización Continua**
Como conferencista en diversos congresos y reuniones científicas, me mantengo al tanto de las últimas tendencias y avances en odontología. Además, soy miembro del American Academy of Fixed Prosthodontics, miembro activo del Colegio Mexicano de Prostodoncia de N.L. y líder de opinión de los productos 3M y Kerr Dental.
**Mi Pasión por la Odontología**
La odontología no es solo mi profesión, es mi pasión. Mi objetivo es transformar vidas a través de sonrisas saludables y hermosas.
Enfocado en:
- Odontología estética
- Prostodoncia
- Rehabilitación bucal
- Prótesis dental
- Implantología dental
Principales enfermedades tratadas
- Bruxismo
- Caries
- Desgaste dental
- Trastornos de la articulación temporomandibular
- Dolor de muelas
- +2 a11y_sr_more_diseases
Tipos de consulta
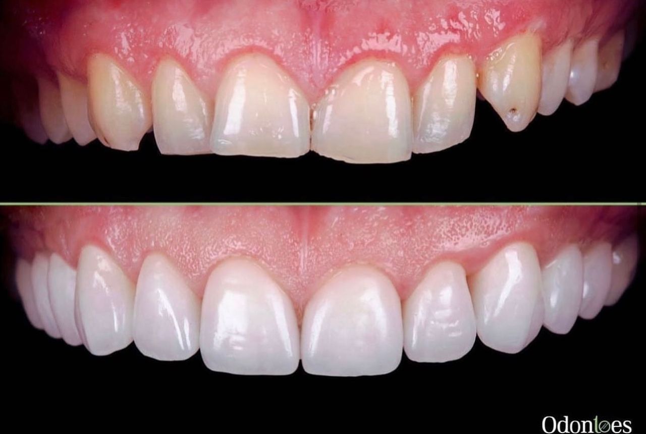
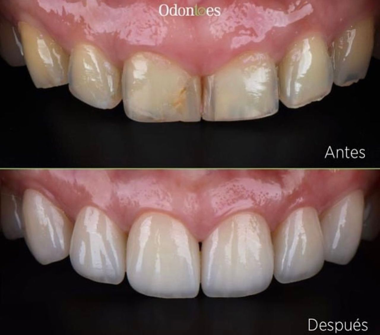
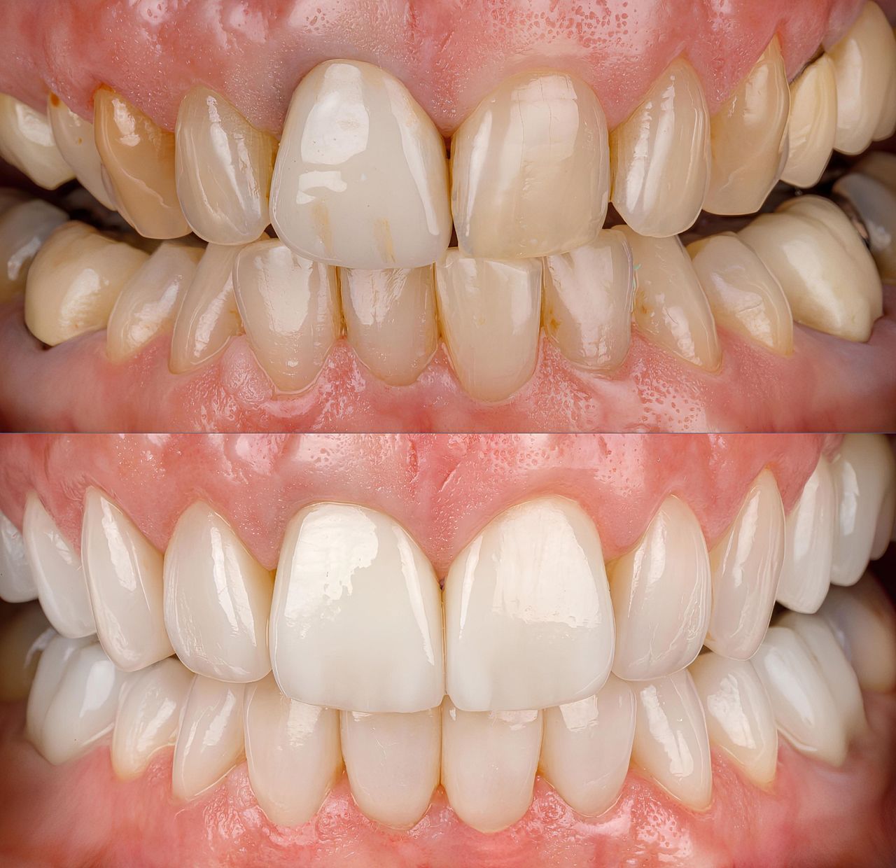
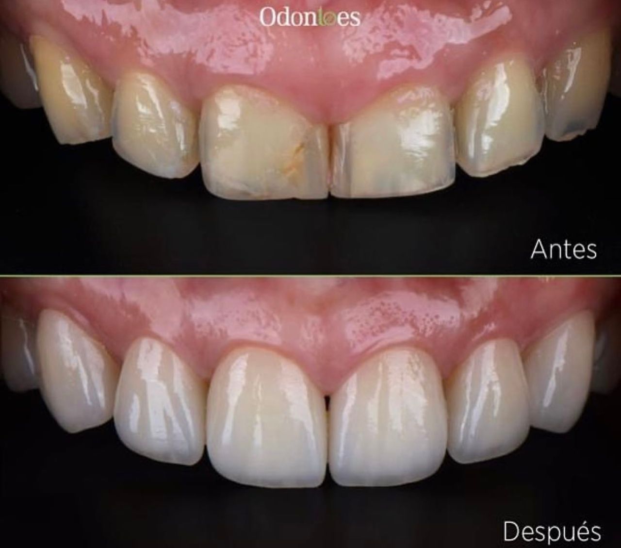
Fotos y videos
Servicios y precios
-
Primera visita Odontología
Desde $700 -
-
Carillas de porcelana
-
-
Cirugía preprotésica
-
-
Coronas estéticas
-
-
Diseño de sonrisa
-
-
-
-
-
-
-
-
-
Consultorio
Av. Vasconcelos N.345 Plaza Tanarah Piso 2 - 208, San Pedro Garza Garcia 66267
Disponibilidad
Número de teléfono
Aseguradoras aceptadas
Se aceptan aseguradoras, pero la cobertura varía según la ubicación y el servicio.
-
GNP Seguros
-
AXA Seguros
-
MAPFRE
-
MetLife México
-
Bupa México
Opiniones
174 opiniones
-
M
Mónica Hernández Gonzalez
Tengo un poco menos de 20 años de poder decir que el Dr Raúl es mi dentista de confianza. El Dr Raúl no es solo un excelente profesional, sino un ser humano amable, respetuoso, sumamente honesto y con mucha empatía. Siempre se ha asegurado y ha logrado que todo el equipo tenga una excelente comunicación, lo cual hace la experiencia del cliente excepcional.
• Odontoes • Profilaxis (Limpieza Dental) •
-
F
Fernando Wilhelm
Excelente atención, tenía un diente en muy mal estado y salí como nuevo, sin dolor y con un precio justo.
• Odontoes • Resinas dentales •
-
V
Vanessa González
El mejor lugar.. atención de calidad, muy profesionales lo recomiendo
• Odontoes • Higiene bucodental •
-
P
P. Tijerina
Excelente atención en cada consulta. El Dr. Raúl es un profesional muy ético, claro al explicar los tratamientos y siempre transmite mucha confianza. Soy su paciente desde hace varios años y siempre me he sentido muy cómoda en los diversos tratamientos que me ha realizado y realmente valoro la calidad de su trabajo. Totalmente recomendado.
• Odontoes • Resinas dentales •
-
W
Willher Ramírez
Recomiendo 100% al doctor Raúl Euán. Es un excelente profesional. Quedé completamente satisfecho con el resultado de su trabajo y la atención de todo el personal de Odontoes. 10/10
• Odontoes • Coronas estéticas •
-
H
Hilda Elena Salas
Excelente Doctor, excelente atención , todo el personal muy serviciales, el lugar muy higiénico y agradable
• Odontoes • Reconstrucción dental •
-
G
Ghassan
Buenas instalaciones, agradable atención con mucha amabilidad. Es mi doctor de muchos años.
• Odontoes • Coronas estéticas •
-
M
Mayra Tamez
Años de experiencia y un sin fin de tratamientos con este doctor y su clínica 100% calidad
• Odontoes • Implante dental •
-
R
RUTH GZZ
Excelente doctor instalaciones
Excente precio muy claro muy profesional• Odontoes • Reconstrucción dental •
-
W
Willher Ramirez
Excelente atención del personal desde el momento que llegas. Muy puntuales. Las instalaciones y equipos se ven impecables. Se nota la experiencia y larga trayectoria del doctor Raul. Aprecié mucho la explicación de mi condición y de cómo íbamos a abordarlo. Volveré pronto para comenzar mi tratamiento confiado de que estoy en buenas manos. Recomendado 100%.
• Odontoes • Primera visita Odontología •
- Dentistas - odontólogos de AXA Seguros en San Pedro Garza Garcia
- Dentistas - odontólogos de GNP Seguros en San Pedro Garza Garcia
- Dentistas - odontólogos de Seguros Monterrey en San Pedro Garza Garcia
- Dentistas - odontólogos de MetLife México en San Pedro Garza Garcia
- Dentistas - odontólogos de MAPFRE en San Pedro Garza Garcia