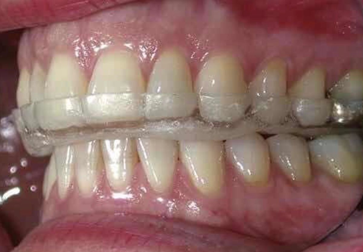
Contamos con odontología digital de vanguardia que nos permite realizar diseños de sonrisa personalizados, tratamientos de alineación dental mediante alineadores como alternativa a la ortodoncia convencional, así como la colocación de coronas y carillas de porcelana, fundamentales para lograr una sonrisa estética, armónica y funcional.
Contamos con odontología digital de vanguardia que nos permite realizar diseños de sonrisa personalizados, tratamientos de alineación dental mediante alineadores como alternativa a la ortodoncia convencional, así como la colocación de coronas y carillas de porcelana, fundamentales para lograr una sonrisa estética, armónica y funcional.
Dra. Nadia Villegas – Cirujano Dentista, con Maestría en Prostodoncia Avanzada y Estética Dental
Más de 15 años de trayectoria clínica en diagnóstico y rehabilitación oral. Certificada por el Consejo Mexicano de Rehabilitación Oral y Maxilofacial y cuenta con formación continua mediante cursos y actualizaciones tanto en México como a nivel internacional.
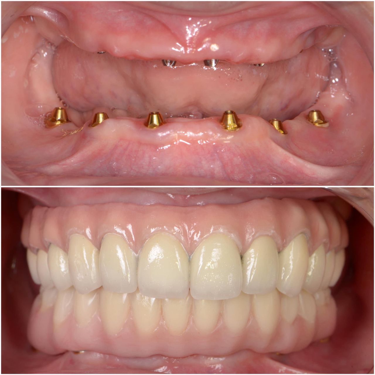
En el año 2007 se crea OPRE Dental Center, institución comprometida con la excelencia clínica, la ética profesional y la innovación tecnológica. Actualmente, el consultorio incorpora odontología digital CAD CAM, lo que permite ofrecer procedimientos de alta precisión, eficiencia y durabilidad.
El centro se encuentra ubicado en una zona de alta seguridad dentro del edificio Paralelo Obispado, en Monterrey, N.L., brindando a los pacientes comodidad y confianza en cada visita.
Atención clínica:
En la primera consulta se elabora un expediente clínico personalizado, respaldado por radiografías digitales y fotografías intraorales de alta precisión.
Se presenta un plan de tratamiento integral, con distintas alternativas terapéuticas y opciones de pago accesibles.
Todos los procedimientos son realizados directamente por la Dra. Nadia Villegas, garantizando un estándar uniforme de calidad y especialización.
El consultorio está diseñado para favorecer la relajación del paciente, con sillones dentales equipados con sistema de masaje, pantallas individuales y opciones de entretenimiento.
En OPRE Dental Center la práctica odontológica se distingue por la combinación de experiencia clínica, actualización científica y tecnología de vanguardia, con el propósito de lograr tratamientos exitosos y una atención centrada en el paciente.
Dra. Nadia Villegas – Cirujano Dentista, con Maestría en Prostodoncia Avanzada y Estética Dental
Más de 15 años de trayectoria clínica en diagnóstico y rehabilitación oral. Certificada por el Consejo Mexicano de Rehabilitación Oral y Maxilofacial y cuenta con formación continua mediante cursos y actualizaciones tanto en México como a nivel internacional.
En el año 2007 se crea OPRE Dental Center, institución comprometida con la excelencia clínica, la ética profesional y la innovación tecnológica. Actualmente, el consultorio incorpora odontología digital CAD CAM, lo que permite ofrecer procedimientos de alta precisión, eficiencia y durabilidad.
El centro se encuentra ubicado en una zona de alta seguridad dentro del edificio Paralelo Obispado, en Monterrey, N.L., brindando a los pacientes comodidad y confianza en cada visita.
Atención clínica:
En la primera consulta se elabora un expediente clínico personalizado, respaldado por radiografías digitales y fotografías intraorales de alta precisión.
Se presenta un plan de tratamiento integral, con distintas alternativas terapéuticas y opciones de pago accesibles.
Todos los procedimientos son realizados directamente por la Dra. Nadia Villegas, garantizando un estándar uniforme de calidad y especialización.
El consultorio está diseñado para favorecer la relajación del paciente, con sillones dentales equipados con sistema de masaje, pantallas individuales y opciones de entretenimiento.
En OPRE Dental Center la práctica odontológica se distingue por la combinación de experiencia clínica, actualización científica y tecnología de vanguardia, con el propósito de lograr tratamientos exitosos y una atención centrada en el paciente.
Fluor de niños, selladores de fisuras para los niños
Fenestración de diente incluido
Extracción de otras piezas dentarias
Desde $1,500
Extracción de las muelas del juicio
Exodoncia
Coronas estéticas
$1,000
Endopostes de fibras de vidrio (estéticos)
Desde $1,500
Elaboración de protectores bucales para deportistas personalizados
Diseño de sonrisa
Diagnóstico por imagen
Desde $300
Desbridamiento y drenaje de absceso
Curetaje
Visita domiciliaria Odontología
Los centros o especialistas son responsables de los precios y la información relacionada con ellos. Doctoralia no influye en los precios y no es responsable de establecerlos.
Los precios son para pacientes sin aseguradora
Artículos
Coronas estéticas
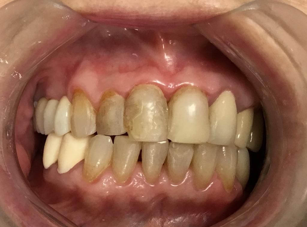
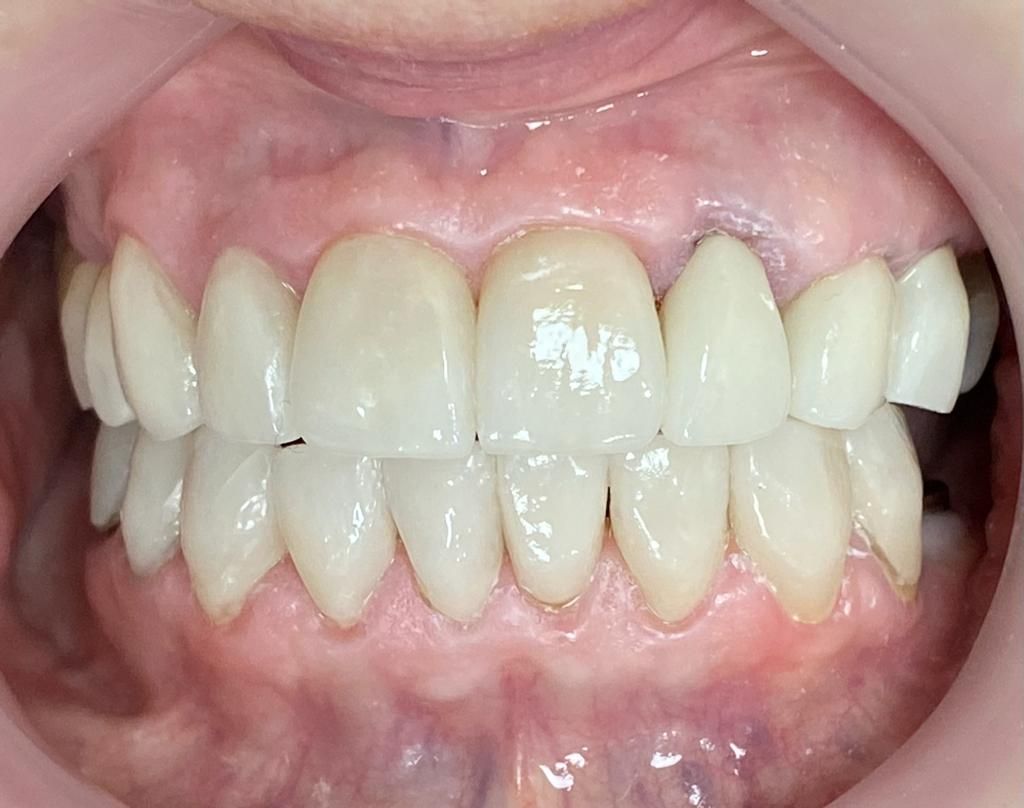
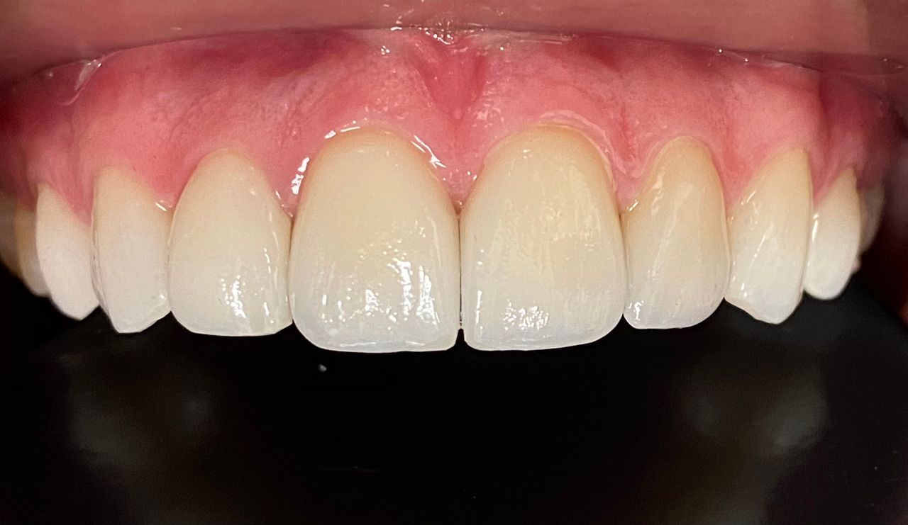
La realización de coronas dentales debe ser exclusivamente por un experto.La corona dental da protección y estética a un diente, no siempre requiere de tratamiento de endodoncia, solo en algunas ocasiones. El procedimiento requiere de mucha precisión para lograr una corona dental perfectamente bien sellada, de acuerdo a los mas recientes artículos científicos 8 de 10 coronas no sellan a la perfección.Anteriormente se realizaban coronas de metal con porcelana las cuales al cabo de un tiempo cambiaban de color y presentaban corrosión en el diente, en la actualidad contamos con diversos tipos de coronas realizadas por medio de CAD CAM zirconia, porcelana y otros materiales de alta calidad.
Desgaste dental
El desgaste dental es un padecimiento muy frecuente el cual requiere de eliminar el estimulo que origina el desgaste y restaurar la dentadura mediante diversos procedimientos ya sea resinas de alta estética o coronas de zirconia.
Se requiere una valoración con radiografías digitales y fotografías intraorales.
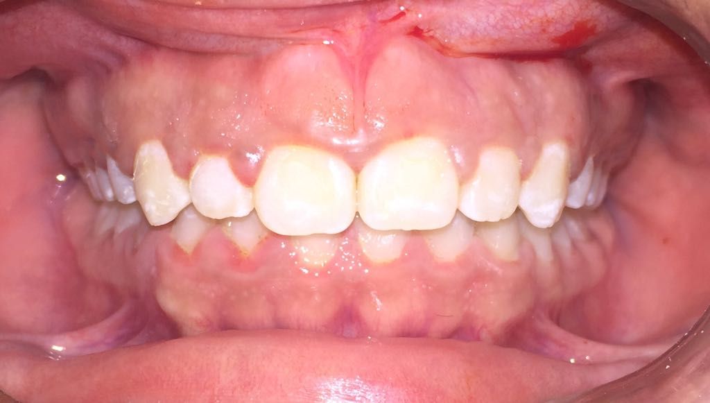
Diseño de sonrisa
Una alternativa inovadora para cambiar la forma y color de dientes es mediante el sistema U Venner de carillas de porcelana o de ceromero. Previamente se requiere de fotografías intraorales, toma de moldes dentales y toma de color dental. Excelente opción para diseñar una nueva sonrisa.
Todas las opiniones son importantes, por este motivo, los especialistas no pueden pagar para modificar o eliminar opiniones.
Saber más.Más información sobre opiniones
J
J.A.
Tipos de verificación
Verificamos la autenticidad de todas las opiniones para asegurar que todas proceden de pacientes que se han visitado con el especialista/clínica. Por ello, hemos introducido 3 niveles extra de verificación, además de los que ya teníamos:
Número de teléfono verificado
Pacientes que verificaron su número de teléfono a través de un código enviado por SMS.
Cita verificada
Pacientes que reservaron su cita con este/a especialista y confirmaron su número de teléfono a través de un código enviado por SMS.
Pago y cita verificados
Pacientes que reservaron su cita y realizaron el pago a través de Doctoralia. El número de teléfono del paciente se verificó con un código enviado por SMS. La credibilidad de esta opinión es muy alta.
Muy buen servicio, excelente profesionales, trato personalizado, y adecuado amis necesidades.
•
OPRE Dental Center • Visita Odontología
•
M
Maria Beatriz Pérez Garcia
Tipos de verificación
Verificamos la autenticidad de todas las opiniones para asegurar que todas proceden de pacientes que se han visitado con el especialista/clínica. Por ello, hemos introducido 3 niveles extra de verificación, además de los que ya teníamos:
Número de teléfono verificado
Pacientes que verificaron su número de teléfono a través de un código enviado por SMS.
Cita verificada
Pacientes que reservaron su cita con este/a especialista y confirmaron su número de teléfono a través de un código enviado por SMS.
Pago y cita verificados
Pacientes que reservaron su cita y realizaron el pago a través de Doctoralia. El número de teléfono del paciente se verificó con un código enviado por SMS. La credibilidad de esta opinión es muy alta.
Excelente la explicación de la doctora, te transmite confianza y te hace sentir muy cómoda durante la consulta. Espero que el tratamiento una vez terminado si pueda resolver mi problema.
•
OPRE Dental Center • Ortopedia maxilo-facial
•
D
Debanhi Ramírez
Tipos de verificación
Verificamos la autenticidad de todas las opiniones para asegurar que todas proceden de pacientes que se han visitado con el especialista/clínica. Por ello, hemos introducido 3 niveles extra de verificación, además de los que ya teníamos:
Número de teléfono verificado
Pacientes que verificaron su número de teléfono a través de un código enviado por SMS.
Cita verificada
Pacientes que reservaron su cita con este/a especialista y confirmaron su número de teléfono a través de un código enviado por SMS.
Pago y cita verificados
Pacientes que reservaron su cita y realizaron el pago a través de Doctoralia. El número de teléfono del paciente se verificó con un código enviado por SMS. La credibilidad de esta opinión es muy alta.
La Dra muy amable, me explicó todo el tratamiento muy bien, siempre fue muy clara, me gustó mucho como se dirigió hacia mí; muy respetuosa, con gusto volveré a venir.
•
OPRE Dental Center • Primera visita Odontología
•
J
Jimena Martínez
Tipos de verificación
Verificamos la autenticidad de todas las opiniones para asegurar que todas proceden de pacientes que se han visitado con el especialista/clínica. Por ello, hemos introducido 3 niveles extra de verificación, además de los que ya teníamos:
Número de teléfono verificado
Pacientes que verificaron su número de teléfono a través de un código enviado por SMS.
Cita verificada
Pacientes que reservaron su cita con este/a especialista y confirmaron su número de teléfono a través de un código enviado por SMS.
Pago y cita verificados
Pacientes que reservaron su cita y realizaron el pago a través de Doctoralia. El número de teléfono del paciente se verificó con un código enviado por SMS. La credibilidad de esta opinión es muy alta.
Execelente dra todo muy bien explicado y detallado
•
OPRE Dental Center • Primera visita Odontología
•
I
itzel
Tipos de verificación
Verificamos la autenticidad de todas las opiniones para asegurar que todas proceden de pacientes que se han visitado con el especialista/clínica. Por ello, hemos introducido 3 niveles extra de verificación, además de los que ya teníamos:
Número de teléfono verificado
Pacientes que verificaron su número de teléfono a través de un código enviado por SMS.
Cita verificada
Pacientes que reservaron su cita con este/a especialista y confirmaron su número de teléfono a través de un código enviado por SMS.
Pago y cita verificados
Pacientes que reservaron su cita y realizaron el pago a través de Doctoralia. El número de teléfono del paciente se verificó con un código enviado por SMS. La credibilidad de esta opinión es muy alta.
muy buena doctora, explica muy bien y me siento muy contenta con el servicio
•
OPRE Dental Center • Primera visita Odontología
•
D
D.P
Tipos de verificación
Verificamos la autenticidad de todas las opiniones para asegurar que todas proceden de pacientes que se han visitado con el especialista/clínica. Por ello, hemos introducido 3 niveles extra de verificación, además de los que ya teníamos:
Número de teléfono verificado
Pacientes que verificaron su número de teléfono a través de un código enviado por SMS.
Cita verificada
Pacientes que reservaron su cita con este/a especialista y confirmaron su número de teléfono a través de un código enviado por SMS.
Pago y cita verificados
Pacientes que reservaron su cita y realizaron el pago a través de Doctoralia. El número de teléfono del paciente se verificó con un código enviado por SMS. La credibilidad de esta opinión es muy alta.
Muy buen servicio y atención.
Ambiente profesional.
•
OPRE Dental Center • Reconstrucción dental
•
A
AGD
Tipos de verificación
Verificamos la autenticidad de todas las opiniones para asegurar que todas proceden de pacientes que se han visitado con el especialista/clínica. Por ello, hemos introducido 3 niveles extra de verificación, además de los que ya teníamos:
Número de teléfono verificado
Pacientes que verificaron su número de teléfono a través de un código enviado por SMS.
Cita verificada
Pacientes que reservaron su cita con este/a especialista y confirmaron su número de teléfono a través de un código enviado por SMS.
Pago y cita verificados
Pacientes que reservaron su cita y realizaron el pago a través de Doctoralia. El número de teléfono del paciente se verificó con un código enviado por SMS. La credibilidad de esta opinión es muy alta.
Magnífica atención, muy profesional y amplio conocimiento en su rama, en verdad agradezco sus consideraciones y quedé muy satisfecho con las explicación y tratamiento proporcionados.
•
OPRE Dental Center • Primera visita Odontología
•
A
Alejandra Acuña
Tipos de verificación
Verificamos la autenticidad de todas las opiniones para asegurar que todas proceden de pacientes que se han visitado con el especialista/clínica. Por ello, hemos introducido 3 niveles extra de verificación, además de los que ya teníamos:
Número de teléfono verificado
Pacientes que verificaron su número de teléfono a través de un código enviado por SMS.
Cita verificada
Pacientes que reservaron su cita con este/a especialista y confirmaron su número de teléfono a través de un código enviado por SMS.
Pago y cita verificados
Pacientes que reservaron su cita y realizaron el pago a través de Doctoralia. El número de teléfono del paciente se verificó con un código enviado por SMS. La credibilidad de esta opinión es muy alta.
Excelente trato y explicación por parte de la Dra :)
•
OPRE Dental Center • Primera visita Odontología
•
I
Indira
Tipos de verificación
Verificamos la autenticidad de todas las opiniones para asegurar que todas proceden de pacientes que se han visitado con el especialista/clínica. Por ello, hemos introducido 3 niveles extra de verificación, además de los que ya teníamos:
Número de teléfono verificado
Pacientes que verificaron su número de teléfono a través de un código enviado por SMS.
Cita verificada
Pacientes que reservaron su cita con este/a especialista y confirmaron su número de teléfono a través de un código enviado por SMS.
Pago y cita verificados
Pacientes que reservaron su cita y realizaron el pago a través de Doctoralia. El número de teléfono del paciente se verificó con un código enviado por SMS. La credibilidad de esta opinión es muy alta.
Mi tratamiento con la dr nadia apenas empieza, pero el detalle de la explicación que me brindo y la tranquilidad que me dio durante el proceso fue excepcional
•
OPRE Dental Center • Profilaxis (Limpieza Dental)
•
R
Ricky
Tipos de verificación
Verificamos la autenticidad de todas las opiniones para asegurar que todas proceden de pacientes que se han visitado con el especialista/clínica. Por ello, hemos introducido 3 niveles extra de verificación, además de los que ya teníamos:
Número de teléfono verificado
Pacientes que verificaron su número de teléfono a través de un código enviado por SMS.
Cita verificada
Pacientes que reservaron su cita con este/a especialista y confirmaron su número de teléfono a través de un código enviado por SMS.
Pago y cita verificados
Pacientes que reservaron su cita y realizaron el pago a través de Doctoralia. El número de teléfono del paciente se verificó con un código enviado por SMS. La credibilidad de esta opinión es muy alta.
Amazing experience with this clinic! I went in for a teeth whitening and general check up and I was super happy with how well the Doctor explained everything to me.
•
OPRE Dental Center • Primera visita Odontología
•
Se ha producido un error, inténtalo de nuevo.
Dudas solucionadas
35 dudas solucionadas a pacientes en Doctoralia
Duda sobre Parestesia
Desde hace varios años tengo una parestesia del labio inferior producida por una infección por una extracción. Me realizaron otra extracción que volvió a infectarse y la parestesia está empeorando, que debo hacer?
Buen día!
Le recomendamos realizar un estudio mas extenso llamado cone beam para ver el grado de afectación, le sugerimos acudir a una consulta para valorar su caso. Quedamos a sus órdenes.
Duda sobre Ortodoncia convencional
Me hicieron limpieza dental y es ese mismo dia me colocaron los brackets pero empece con dolo en un diente de enfrente y siento lijero movimiento al tocarlo . Y esos dos dientes tengo raiz corta.
¿Sera que puedo perder mi diente o es mejor no seguir con el tratamiento llevo un mes?
Hola, buen día!
Es importante revisar de donde puede prevenir tu dolor ya que en algunas ocasiones se confunde con algún otro padecimiento. Te sugerimos acudir a una consulta dental para hacer una extensa revisión clínica y radiográfica para tomar la de decisión de seguir o no con la ortodoncia. Saludos!
Todos los contenidos publicados en Doctoralia, especialmente preguntas y respuestas, son de carácter informativo y en ningún caso deben considerarse un sustituto de un asesoramiento médico.
Ya ha iniciado sesión con una cuenta. Por favor, cierre la sesión para poder continuar.
Los precios de algunos servicios pueden variar según el caso. Le recomiendo que agende su cita ahora y justo después, me envíe un mensaje para consultar el precio del servicio. Será un placer atenderle.
La información profesional de este perfil ha sido revisada y validada por Doctoralia utilizando fuentes públicas o documentación proporcionada.
El número de registro profesional garantiza tu seguridad. Los profesionales de la salud deben contar con un cédula profesional para sus especialidades. Si no encuentras el registro del profesional, puedes consultarlo aquí: cedulaprofesional.sep.gob.mx
Es necesario realizar el pago de tu cita
Tu especialista solicita que realices el pago de la visita que tienes pendiente. Para modificarla, por favor, realiza el pago por adelantado o contacta directamente con tu especialista.