Dr. Mario Alejandro Cuellar Caraza

Dentista - Odontólogo ver más

Monterrey 1 dirección

Sólo acepta pacientes privados

No. de cédula: 7699877 4277911

28 opiniones
Tiempo de respuesta aproximado:
Logo
Dr. Mario Alejandro Cuellar Caraza

Av. Alfonso Reyes 269 Col. Contry, Monterrey 64860

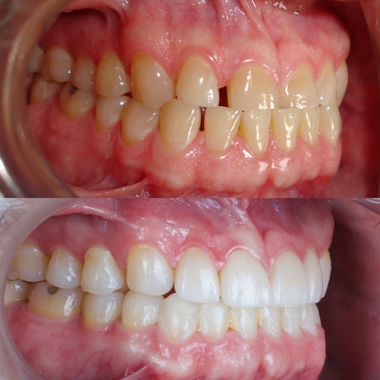
Blanqueamiento y 2 carillas de porcelana en los incisivos centrales superiores.

19/02/2025

Experiencia

Hola ! Soy el Dr. Mario Alejandro Cuéllar y me dedico a la odontología desde hace 23 años. Mis primeros años de egresado los dediqué a la odontología general y posteriormente tuve la oportunidad de realizar mi especialidad y maestría en el año 2007 en la ciudad de Monterrey N.L. Posteriormente dediqué un año de estudios en la Universidad de Chile, en donde me especialice más en el tratamiento con implantes dentales. En el año de 2014 fundé la clínica Dentagrama incorporando a los largo de los años a otros especialistas en diferentes áreas para poder ofrecer un servicio integral de calidad en un solo lugar. 

Me considero una persona muy enfocada en los buenos resultados y en la solución de problemáticas siempre considerando lo que es mejor para mi paciente. Trato de escuchar y entender siempre las necesidades antes de actuar. Me apasiona mucho mi carrera y trato de reflejarlo siempre en mi trabajo.

Mi práctica se dedica a la atención general y especializada en odontología, ofreciendo a nuestros pacientes valores como el profesionalismo, la honestidad, y empatía, acompañándolos en su tratamiento de forma muy personalizada. Estoy en constante actualización por medio de congresos nacionales e internacionales, talleres y cursos de educación continua, todo esto para poder ofrecer a nuestros pacientes lo último en tratamientos odontológicos. 

  • Egresado de la Facultad de Odontología de la Universidad Autónoma de Nuevo León , Monterrey N.L

  • Maestría en Odontología Restauradora por parte de la Universidad Autónoma de Nuevo León, Monterrey N.L

  • Diploma en Cirugía de Implantes Dentales por parte de la Universidad de Chile, Santiago de Chile.

  • Docente U.A.N.L de clinica avanzada de Prostodoncia. Posgrado de Prostodoncia. Facultad de Odontología

ver más Sobre mí

Enfocado en:

  • Ortodoncia
  • Odontología estética
  • Periodoncia e implantología
  • Rehabilitación bucal

No se aceptan aseguradoras

Este especialista sólo acepta pacientes privados. Puede pagar directamente la cita para reservar, o encontrar otro especialista que acepte su aseguradora.

Consultorios (2)

Ampliar se abre en una nueva pestaña
Dentagrama

Av. Alfonso Reyes 269 Col. Contry, Contry, Monterrey 64860

Disponibilidad

Número de teléfono

81 1913...
81 8040...
Ampliar se abre en una nueva pestaña

Disponibilidad

Este especialista no ofrece reserva online en esta dirección

Servicios y precios

  • Tratamiento para bruxismo


  • Especialidad en periodoncia e implantología


  • Reconstrucción dental


  • Prótesis


  • Prueba prótesis removible


28 opiniones

Todas las opiniones son importantes, por este motivo, los especialistas no pueden pagar para modificar o eliminar opiniones. Saber más. Más información sobre opiniones
  • F

    Excelente trato, y explicación muy detallada de mi problema

     • Dentagrama Visita Odontología  • 

    Dentagrama

    Agradecemos mucho tus palabras Fernando, siempre será un gusto atenderte.


  • S

    Excelente atención. El Dr Mario Cuellar es muy profesional, explica todo con claridad y transmite mucha confianza. ¡Totalmente recomendado!”

     • Dentagrama CORONA ZIRCONIA PORCELANA  • 

    Dentagrama

    Muchas gracias por su opinión; su tiempo y confianza significan mucho para nosotros. ¡Gracias por la recomendación!


  • C

    Excelente atención, explicación detallada y revisión exhaustiva

     • Dentagrama Visita Odontología  • 

    Dentagrama

    Carmen muchas gracias por tu opinión y por brindarnos tu confianza, me da gusto que el servicio haya sido de tu agrado, esperamos verte pronto!


  • R

    Excelente trato, Explicación muy detallada de tratamiento

     • Dentagrama Atención de traumatismos dentales  • 

    Dentagrama

    Gracias por tu comentario y tu confianza, me complace que la atención haya sido de tu agrado, es un gusto atenderte ! Saludos.


  • M

    Excelente doctor, excelente profesionista y excelente persona. Su experiencia, dedicacion y profesionalismo se notan en el resultado. Estoy muy agradecida y contenta. Lo recomiendo con los ojos cerrados.

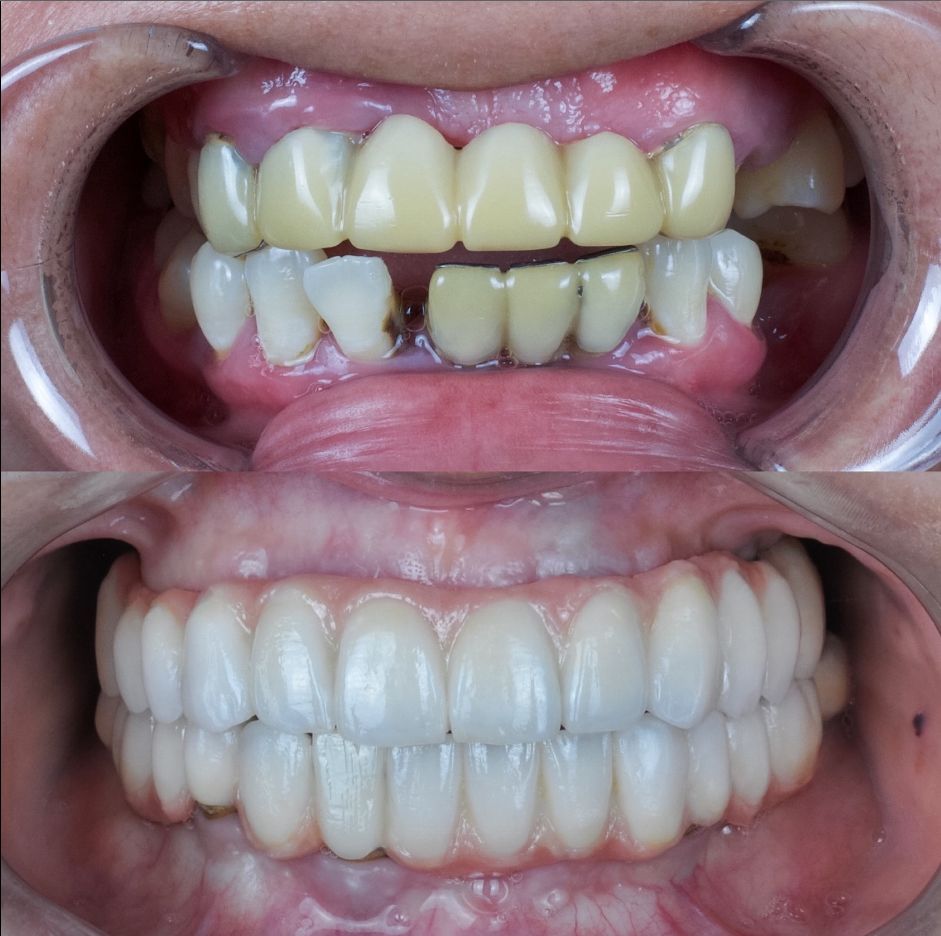
     • Dentagrama Carillas de porcelana  • 

    Dentagrama

    Muchas gracias por tus comentarios Marlene, me da mucho gusto la confianza que nos brindas, para nosotros es un gusto atenderte, esperamos verte por acá nuevamente. Saludos!


  • C

    Trato excelente y explicación convincente. La extracción sin dolor y las muestras de diapositivas de la pieza con rayos X, no dejaron dudas a que la pieza no tenía salvación.

     • Dentagrama Extracción de cordal incluido  • 

    Dr. Mario Alejandro Cuellar Caraza

    Gracias por tu comentario Carlos ! Me da mucho gusto que hayas tenido una buena experiencia con nosotros, un abrazo


  • P

    Excelente atención, el trato del personal siempre es cordial y amable. el dr me explicó a detalle las opciones de tratamiento y el alcance de cada una para poder tomar una decisión adecuada.

     • Dentagrama  • 

    Dr. Mario Alejandro Cuellar Caraza

    Muchas gracias por tu comentario Paty, seguimos trabajando para ofrecerte la mejor experiencia posible !


  • L

    Muy buena ubicación zona sur, excelente atención, súper recomendado!

     • Dentagrama Visitas sucesivas Odontología  • 

    Dr. Mario Alejandro Cuellar Caraza

    Muchas gracias por tu comentario Lety! Nos vemos pronto


  • J

    Me gustó mucho que detecta otra necesidades que yo no tenía en mi radar pero que gracias a su buena observación puedo evitar problemas futuros en mi salud con soluciones anticipadas.

     • Dentagrama Implante dental  • 

    Dr. Mario Alejandro Cuellar Caraza

    Gracias por tu comentario Janeth! Nuestro objetivo siempre será el de cuidar el bienestar y obtener el mejor resultado posible :D


  • Y

    Agradezco al Dr. Mario la empatía y confianza en mis tratamientos, sufro mucho con el tema de mis dientes y el lo entiende.

     • Dentagrama Carillas de porcelana  • 

    Dr. Mario Alejandro Cuellar Caraza

    Muchas gracias por tu comentario Yasmin, seguiremos siempre al pendiente para darte la mejor atención , saludos !


Se ha producido un error, inténtalo de nuevo.