Dra. Mariel Itzayani Torres López

Dentista - Odontólogo · Ver más

Álvaro Obregón 1 dirección

No. de cédula: 09172064 13417279

68 opiniones
Tiempo de respuesta aproximado:

Experiencia

Hola, soy la Dra. Mariel, soy co-fundadora y parte del equipo de RIA clínica de especialidades dentales, soy una apasionada de la Odontología, tengo mas de 10 años de experiencia en las áreas de Estética dental, Prótesis bucal, Rehabilitación bucal, Implantología, Odontología digital y Odontología restauradora.
Tengo la fortuna de trabajar con excelentes especialistas en diferentes áreas de la Odontología como:
-Periodoncia
-Ortodoncia
-Cirugia bucal y maxilofacial
-Endodoncia y
-Odontopediatria.

Todos en equipo, trabajamos para poder ofrecerte tratamientos personalizados, con la mejor calidad y tecnología, para poder brindarte salud, función y estética. Espero poder conocerte y que vivas la experiencia que ofrecemos en RIA, donde ademas de obtener la sonrisa que deseas, también obtendrás la mejor atención con humanismo, respeto y empatía.
ver más Sobre mí

Enfocado en:

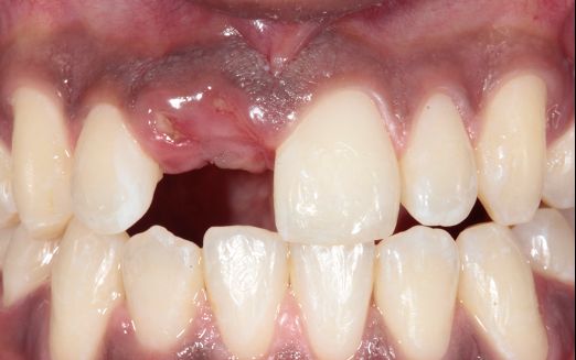
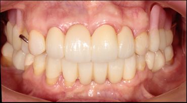
  • Odontología estética
  • Rehabilitación bucal
  • Implantología dental

Tipos de consulta

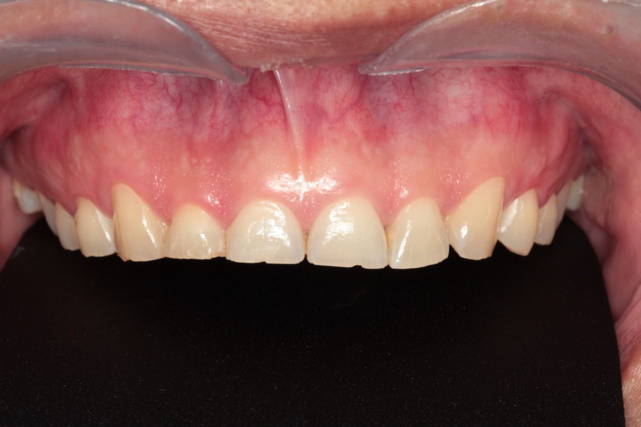
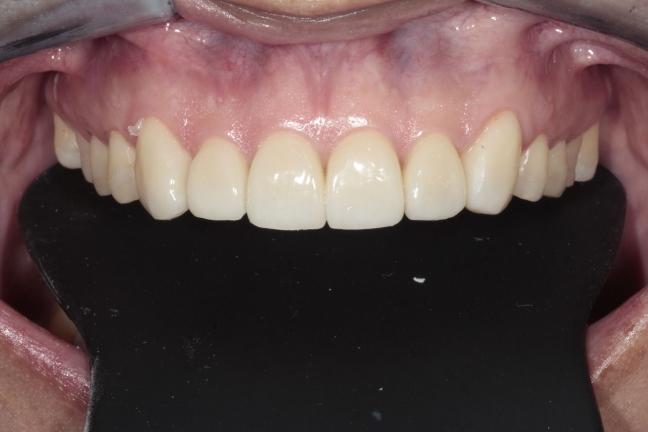
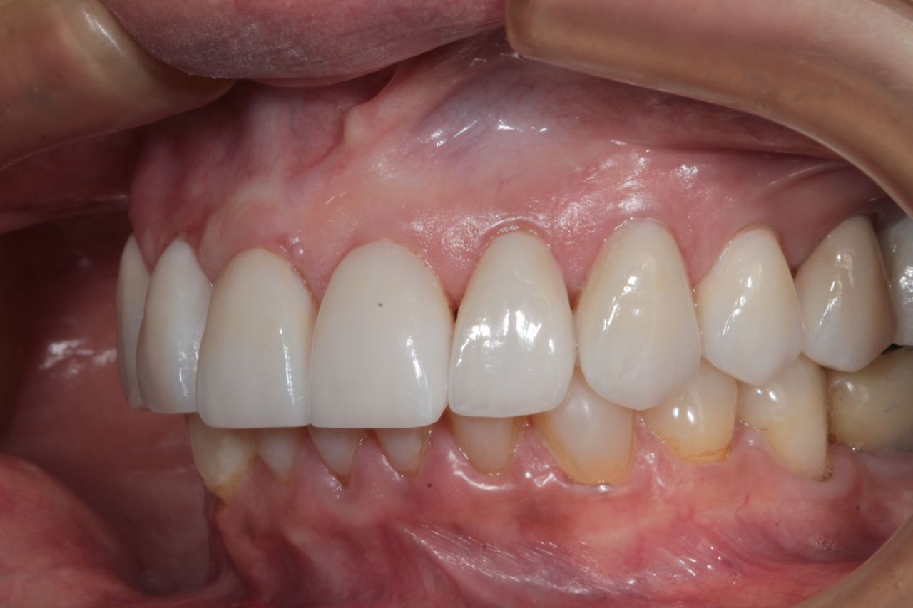
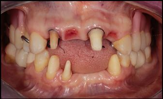
Fotos y videos

No se aceptan aseguradoras

Este especialista sólo acepta pacientes privados. Puede pagar directamente la cita para reservar, o encontrar otro especialista que acepte su aseguradora.

Consultorio

Ampliar se abre en una nueva pestaña
RIA Clínica de Especialidades Dentales

Av. Insurgentes Sur 1722 Oficina 603, Florida, Florida, Álvaro Obregón 01030

Disponibilidad

Número de teléfono

55 1923...
Ampliar se abre en una nueva pestaña

Servicios y precios

  • Primera visita Odontología


  • Corona sobre implante

    Desde $15,510

  • Revisión o valoración

    Servicio gratuito

  • Resina

    $1,430

  • Profilaxis (Limpieza Dental)

    $1,320

68 opiniones

Todas las opiniones son importantes, por este motivo, los especialistas no pueden pagar para modificar o eliminar opiniones. Saber más. Más información sobre opiniones
  • M

    Es muy clara la explicación y la atención es muy buena y humana

     • RIA Clínica de Especialidades Dentales Consulta de diagnostico integral completo  • 

  • C

    Todo excelente, muy amables y profesionales en el trato

     • RIA Clínica de Especialidades Dentales Primera visita Odontología  • 

  • J

    Es muy profesional y dedicada, sus procedimientos siempre son de la mejor calidad, además de procurar en todo momento la tranquilidad y comodidad del paciente

     • RIA Clínica de Especialidades Dentales Resina  • 

  • H

    Es puntual, dedicada, hace las cosas con mucho profesionalismo, se toma su tiempo; esta muy preparada.

     • RIA Clínica de Especialidades Dentales Primera visita Odontología  • 

  • D

    La explicación fue detallada en todo momento, responde de forma clara tus dudas y da varias opciones de tratamiento y está abierta a escuchar al paciente y la forma en que cada quien elige iniciar el tratamiento siempre dando sus recomendaciones como experta.

     • RIA Clínica de Especialidades Dentales Primera visita Odontología  • 

  • N

    Fue mi primera consulta, excelente la atención que recibí

     • RIA Clínica de Especialidades Dentales Primera visita Odontología  • 

  • I

    Excelente profesional. Crea con su atención y dedicación un ambiente de confianza desde la primera cita.

     • RIA Clínica de Especialidades Dentales Primera visita Odontología  • 

  • C

    Me gusta que se toma el tiempo para explicar, es muy amable, te contesta todas las preguntas y súper profesional.

     • RIA Clínica de Especialidades Dentales Visita Odontología  • 

  • R

    Súper atención!
    Me dedicó el tiempo necesario para mi tratamiento, siempre con delicadeza y precisión.

     • RIA Clínica de Especialidades Dentales Limpieza dental  • 

  • S

    Es mi primera cita, ya tengo presupuesto y un pronóstico aproximado de lo que me depara. Para ser mi primera cita, ya es la mejor experiencia que he tenido con dentistas y... vaya que he ido a muchos.

     • RIA Clínica de Especialidades Dentales Primera visita Odontología  • 

Se ha producido un error, inténtalo de nuevo.