Dra. Fabiola Arcos Huesca

Dentista - Odontóloga · Ver más sobre las especializaciones

Boca del Rio 1 dirección

No. de cédula: 3015852 11866286

35 opiniones
Tiempo de respuesta aproximado:

Experiencia

En Clinica Odonto Spa Medic, encontrarás las Especialidades Odontológicas y protocolos de rejuvenecimiento facial, micropigmentación y otros. Con un nivel de vanguardia, revolucionando tú atención en cada cita personalizada y brindando tranquilidad, acompañado de un sistema de confort manual y con aparatología; propiciando tu regreso.

Los servicios que te ofrecemos son de alta calidad, actualización continua, apegados a tu bolsillo, personalizados y sobre todo sin molestias.

Odonto Spa Medic, es una clínica llena de trato especial a tus intereses. Con un ambiente agradable y diseñado para evitar el estrés que te pueda ocasionar. Rapidez en nuestros tratamientos, tú eliges la cantidad de citas pues para nosotros eres primordial, contamos con servicio de cafetería y dentro de un contexto amplio de inclusión.

Equipo
Para poder desarrollar cada uno de los servicios, estamos integrados de personal ampliamente capacitado, además hace uso de tecnología que permite mejorar los resultados y facilita la rápida atención. El trato que se da al paciente por parte del personal es cordial, humano y siempre procurando responder a las dudas que se presenten mediante un lenguaje sencillo y claro.
ver más Sobre mí

Enfocado en:

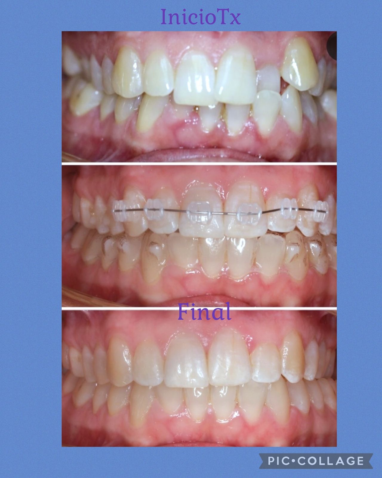
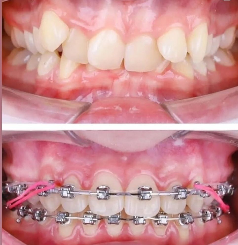
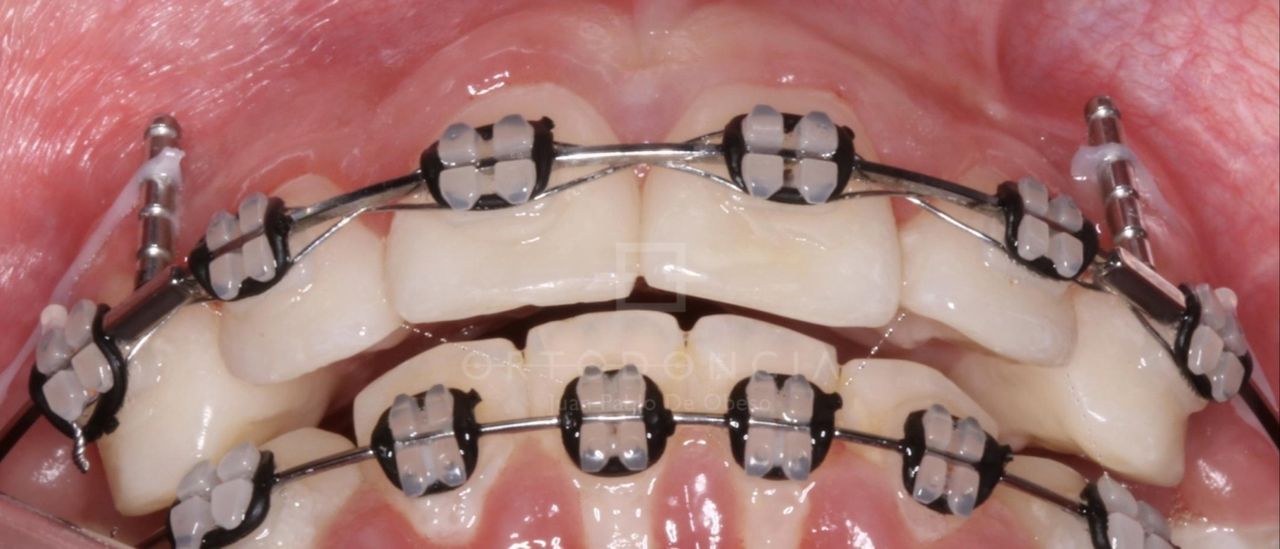
  • Ortodoncia
  • Cirugía oral
  • Rehabilitación bucal
  • Ortopedia maxilofacial
  • Urgencias dentales
  • Odontología preventiva
  • Ortopedia dentofacial
  • Ortodoncia
Mostrar más detalles

Pacientes que atiendo

Adultos (Sólo en algunas direcciones)
Niños (Sólo en algunas direcciones)

Tipos de consulta

Videoconsulta

Fotos y videos

Servicios y precios

  • Consulta en línea

    $450

  • 1 Sesión de Microdermoabrasión

    Desde $399

  • Aplicación de ácido hialurónico

    Desde $3,000

  • Consulta de Valoración para tratamiento de Ortodoncia

    Desde $500

  • Eliminación de una Verruga Individual

    Desde $100

Consultorios (2)

Disponibilidad

Número de teléfono

229 377...
Ampliar se abre en una nueva pestaña
Odonto Spa Medic, Boca del Rio, Ver.

Paseo Jardín 394, Esquina Vasco de Gama, blanco con morado, Virginia, Boca del Rio 94294

Disponibilidad

Ampliar se abre en una nueva pestaña
Reserva por teléfono 24/7

Aseguradoras aceptadas

Se aceptan aseguradoras, pero la cobertura varía según la ubicación y el servicio.

35 opiniones

Lo más mencionado por los pacientes

  • Explicaciones detalladas
  • Eficacia del tratamiento
  • Instalaciones excelentes
Todas las opiniones son importantes, por este motivo, los especialistas no pueden pagar para modificar o eliminar opiniones. Saber más. Más información sobre opiniones
  • C

    Fue muy amable la Dra y su asistente.Me gustó mucho como trabaja y la forma en que da la explicación del tratamiento.

     • Odonto Spa Medic, Boca del Rio, Ver. RESINAS ESTÉTICAS  • 

    Dra. Fabiola Arcos Huesca

    Queremos agradecer su lindo comentario Sra. Claudia, nos seguimos preparando para brindarle siempre la mejor atención personalizada.


  • C

    Buena explicación y abierta a opciones para brindar

     • Odonto Spa Medic, Boca del Rio, Ver. Limpieza dental pediátrica  • 

    Dra. Fabiola Arcos Huesca

    Camila ¡muchas gracias por tú confianza! compartir tu experiencia, nos motiva y alegra haber cumplido con tus espectativas, nos vemos pronto


  • L

    Pésimo servicio, agende una cita 1:30 del domingo, ya que SU AGENDA EN LA APLICACIÓN MARCA HABÍA DISPONIBILIDAD, llego al local y no se encuentra nadie dentro, espere 10 minutos o más y nisiquiera se aparecieron o fueron para contestar llamadas o mensajes, uno se confía y pierde tiempo en venir. No se niega que tengan un horario si no que no coincida con la aplicación y no tengan ni la delicadeza de AVISAR. PÉSIMO SERVICIO.

     • Odonto Spa Medic, Boca del Rio, Ver. Otro  • 

    Dra. Fabiola Arcos Huesca

    Una disculpa Luz, diponibles a remediar la Falta.


  • H

    Fue buena experiencia en mi primer visita, eficiente el servicio y trato

     • Odonto Spa Medic, Boca del Rio, Ver. Consulta de Valoración para tratamiento de Ortodoncia  • 

    Dra. Fabiola Arcos Huesca

    Hola Helen
    Agradecemos tú comentario, reafirmaremos tú experiencia.


  • T

    Desde que llegas es un trato muy servicial y te explica todo aclarando tus dudas, y va detallando el protocolo de tu tratamiento, me sentí muy tranquila y sus instalaciones muy bonitas y limpias

     • Odonto Spa Medic, Boca del Rio, Ver.  • 

    Dra. Fabiola Arcos Huesca

    Hola Tania, encantadas de poder atenderte, gracias por tus palabras.


  • S

    Cada vez que asisto a mi cita, lo que más disfruto es del aroma tranquilizante que se respira a la llegada. Mi tratamiento marcha muy bien, gracias dra Fabiola Arcos. Recomendable OdontoSpaMedic 100%

     • Odonto Spa Medic, Boca del Rio, Ver.  • 

    Dra. Fabiola Arcos Huesca

    Hola Susan, gracias por tu comentario. Seguimos mejorando y dándote gusto.


  • G

    Me gustó mucho como me explico todo! El tratamiento ha sido con atención en los detalles, es muy paciente y me siento en confianza porque he visto resultados. La recomiendo muchísimo!

     • Odonto Spa Medic, Boca del Rio, Ver.  • 

    Dra. Fabiola Arcos Huesca

    Hola Gaby, es un gusto leerte, gracias por tus palabras.


  • F

    Todo muy bien, buena atención, gracias doctora. :)

     • Odonto Spa Medic, Boca del Rio, Ver.  • 

    Dra. Fabiola Arcos Huesca

    Hola Francisco. Muchas gracias por tu buen comentario. Te esperamos en tu próxima cita.


  • Y

    Excelente atención de la Dra.Fabiola,mi tratamiento de ortodoncia va super bien,la recomiendo mucho.
    OdontoSpaMedic.

     • Odonto Spa Medic, Boca del Rio, Ver.  • 

    Dra. Fabiola Arcos Huesca

    Muchas gracias Yas. Seguimos trabajando tu caso


  • G

    Excelente atención por parte de la doctora. Tratamiento eficaz e instalaciones excelentes.

     • Odonto Spa Medic, Boca del Rio, Ver.  • 

    Dra. Fabiola Arcos Huesca

    Hola GT
    Gracias por tú comentario


Se ha producido un error, inténtalo de nuevo.

Dudas solucionadas

8 dudas solucionadas a pacientes en Doctoralia

Mi mamá se hizo cirugía de muela del juicio, lleva 22 días q se la realizaron, pero le cortaron huesito,, me comenta q x ratos le punza y se le inflama la mejilla a que se deve o es normal, ya fue a revisión y dicen q no hay infección q la Herida cerró bien, q las molestias es x el hecho q cortaron hueso,.. Pero ella anda incomoda x la mejilla q se le hincha la mejilla y tiene x ratos le punza, donde fue la Cirugía, si será normal

Hola, lo mejor es que ya acudió a revisión, y debe confiar en la atención de su cirujano y en los primeros cuidados que ella siguió de las instrucciones que le dieron pos-cirugía y de los medicamentos. También comparto respuesta que al retirar hueso es mas doloroso, otra opción es solicitar una radiografía. Solo eso puedo opinar ya que no estuve presente en su cita de cirugía.

Dra. Fabiola Arcos Huesca

Duda sobre Extracción de las muelas del juicio

Hola me sacaron la muela del juicio mi dentista me dejó un pedazo de muela que ya no pudo sacar pero me dijo que no es malo que lo absorve el cuerpo que aveces se une al hueso o que el cuerpo lo encapsula pero yo tengo mis dudas que me recomiendan ?

Valoración con un cirujano bucal o un maxilofacial.
Hay casos que a los años el organismo los va expulsando hasta que queda expuesto y se retira.

Dra. Fabiola Arcos Huesca
Muestra todas las respuestas

Todos los contenidos publicados en Doctoralia, especialmente preguntas y respuestas, son de carácter informativo y en ningún caso deben considerarse un sustituto de un asesoramiento médico.