Dra. Diana Salazar

Ortodoncista · Ver más

Azcapotzalco 2 direcciones

No. de cédula: 09297880 13519287

5 opiniones
Tiempo de respuesta aproximado:

Experiencia

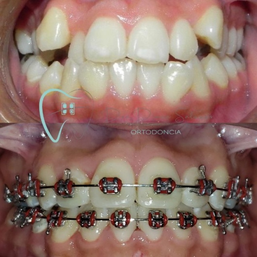
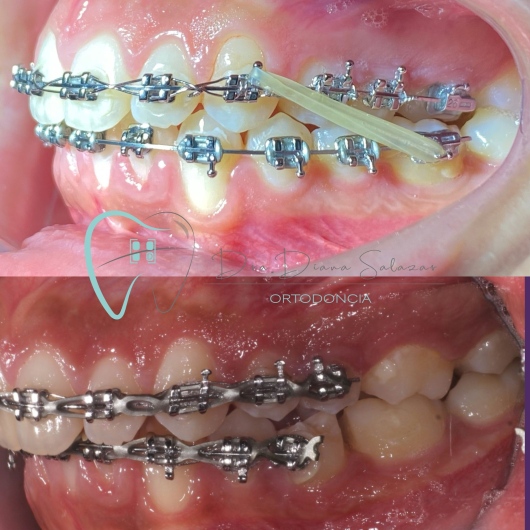
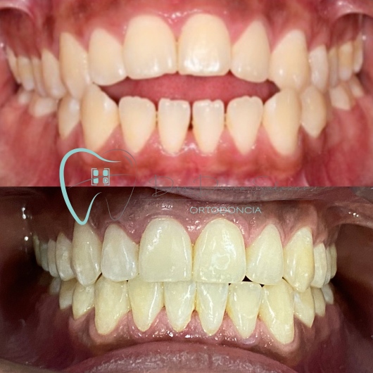
Especialista en ortodoncia y ortopedia maxilar con amplia experiencia clínica. Brackets convencionales, estéticos y ortodoncia sin brackets (alineadores - Invisalign)

Enfocado en:

  • Ortodoncia
  • Ortopedia dentofacial

Tipos de consulta

Fotos y videos

Servicios y precios

  • Primera visita Odontología

    Desde $600

  • Extracción de las muelas del juicio


  • Tratamiento de conductos


  • Resinas dentales


  • Reconstrucción dental


Consultorios (2)

Ampliar se abre en una nueva pestaña
Clínica Dental OrthoArt

Norte 79-A 320 A, Sindicato Mexicano De Electricistas , Azcapotzalco 02060

Disponibilidad

Ampliar se abre en una nueva pestaña
Ampliar se abre en una nueva pestaña
Consultorio Dental

Norte 79-A 320 A, Sindicato Mexicano De Electricistas, Ciudad de México 02060

Disponibilidad

Este especialista no ofrece reserva online en esta dirección

Número de teléfono

55 7942...
Ampliar se abre en una nueva pestaña

No se aceptan aseguradoras

Este especialista sólo acepta pacientes privados. Puede pagar directamente la cita para reservar, o encontrar otro especialista que acepte su aseguradora.

5 opiniones

Todas las opiniones son importantes, por este motivo, los especialistas no pueden pagar para modificar o eliminar opiniones. Saber más. Más información sobre opiniones
  • L

    Mi hija casi termina tratamiento de ortodoncia , el resultado fue muy bueno.
    Me gustó el servicio profesional que brindó.

     • Consultorio Dental Visitas sucesivas Odontología  • 

  • M

    La Doctora Salazar es una excelente profesional y es muy amable.

     • Consultorio Dental Control Ortodoncia  • 

  • O

    He finalizado mi tratamiento de ortodoncia. A través de estos 3 años el desempeño y dedicación de la Dra. ha sido excepcional, recomiendo ampliamente el consultorio ya que la transparencia, profesionalismo y atenciones son características de ella en su totalidad.

     • Consultorio Dental Ortodoncia  • 

  • E

    Me encantó la profesionalidad y el equipo para tratamiento.

     • Consultorio Dental Control Ortodoncia  • 

  • E

    Una Dra. súper profesional, y dedicada. Súper recomendada.

     • Consultorio Dental Visitas sucesivas Odontología  • 

Se ha producido un error, inténtalo de nuevo.