Dra. Tatiana Ortega Arrieta

Dentista - Odontólogo · Ver más

Guadalajara 2 direcciones

No. de cédula: 12385600 Estatal GDL: PEJ 216649

38 opiniones
Tiempo de respuesta aproximado:

Experiencia

Especialista en periodocia e implantología, Con más de 20 años de trayectoria como clínico, trabajamos con total compromiso en delvolver a nuestros pacientes la confianza en el poder de su sonrisa, con total empatia

Enfocado en:

  • Periodoncia
  • Periodoncia e implantología
  • Implantología oral
  • Odontología restauradora

Tipos de consulta

Fotos y videos

Logo
Dra. Tatiana Ortega Arrieta

PLAZUELA VALLARTA 3051, Zapopan

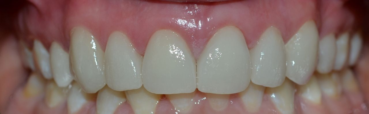
gingivoplastia, para alergar los dientes que se ven pequeños al sonreir

06/12/2024

Servicios y precios

  • Primera visita Odontología


  • Incrustación zirconia


  • Frenectomía lingual o labial


  • Gingivectomía


  • Gingivoplastia


Artículos

Enfermedad periodontal - piorrea

La periodontitis, que también se conoce como enfermedad de las encías, es una infección grave de las encías que daña el tejido blando alrededor de los dientes. Si no se la trata, puede destruir el hueso en el que se apoyan los dientes. Esto puede causar que los dientes se aflojen o se caigan. Para ayudar a prevenir la periodontitis o aumentar las probabilidades de que el tratamiento sea exitoso, asiste con regularidad a controles dentales.

Consultorios (2)

Ampliar se abre en una nueva pestaña
ESPECIALISTA EN PERIODONCIA E IMPLANTES

PLAZUELA VALLARTA 3051, Zapopan

Disponibilidad

Ampliar se abre en una nueva pestaña
Ampliar se abre en una nueva pestaña
consultorio dental

Plazuela Vallarta 3051, Vallarta Poniente, Guadalajara 44110

Disponibilidad

Ampliar se abre en una nueva pestaña

No se aceptan aseguradoras

Este especialista sólo acepta pacientes privados. Puede pagar directamente la cita para reservar, o encontrar otro especialista que acepte su aseguradora.

38 opiniones

Todas las opiniones son importantes, por este motivo, los especialistas no pueden pagar para modificar o eliminar opiniones. Saber más. Más información sobre opiniones
  • C

    Muy profesional. Muy dedicada. La recomiendo ampliamente. Felicidades

     • consultorio dental Tratamiento de conductos  • 

  • A

    Tengo años de paciente con la doctora y siempre ha sido atenta, profesional y atinada en sus tratamientos.

     • consultorio dental Prevención en salud bucal  • 

  • A

    El trato que tienen es muy bueno aparte que es muy profesional.

     • consultorio dental Blanqueamiento dental  • 

  • B

    Excelente profesional, la atención es muy buena y oportuna por parte de la doctora.

     • consultorio dental Extracción de las muelas del juicio  • 

  • N

    Definitivamente muy recomendable, muy profesional.

     • consultorio dental Primera visita Odontología  • 

  • E

    Muy buena explicación del problema , y del tratamiento a seguir

     • ESPECIALISTA EN PERIODONCIA E IMPLANTES Limpieza periodontal, técnica de higiene, CPP  • 

  • M

    Excelente odontóloga, llevo mas de 4 años siendo atendida por ella, con total satisfacción

     • consultorio dental Visitas sucesivas Odontología  • 

  • D

    Ya tengo muchos años acudiendo con ella para mi limpieza u otra cosa que necesiten mis dientes, el servicio siempre ha sido perfecto, resuelve todas mis dudas, la recomiendo ampliamente.

     • consultorio dental Visitas sucesivas Odontología  • 

  • M

    Llevo casi tres años de poner mi salud bucal bajo su experiencia, todo el equipo de colaboradores me hicieron sentir confiado, proporcionando la información y consejos detallados, eliminando la incertidumbre para una mejor toma de decisiones en los tratamientos.

     • consultorio dental Visitas sucesivas Odontología  • 

  • T

    Excelente atención y trabajo impecable. Una doctora muy tranquila y atenta. Me transmitió una seguridad inmensa. Como extranjera buscaba a un periodontista confiable que pudiera apoyarme con los tratamientos dentales que necesite.

     • consultorio dental Higiene bucodental  • 

Se ha producido un error, inténtalo de nuevo.

Dudas solucionadas

3 dudas solucionadas a pacientes en Doctoralia

Duda sobre Extracción de las muelas del juicio

Buenas tardes, hace 4 días me estrajieron la muela primer molar, mi duda es si es normal que el segundo premolar se me ve un poco chueco? Gracias

puedes er que ahora si puedas visualizar bien la posición que realmente tiene el molar y que antes no era posible por a presencia del primero. sería bueno que pidas una cita con el doctor que te hizo el procedimiento.

Dra. Tatiana Ortega Arrieta

Duda sobre Higiene bucodental

Buen día !!
Me realizaron una extracción de muela ya es mi tercer día y el dolor es intenso , fue con la dentista y me menciona que todo está bien ella me recomienda bexident para aftas, pero me dicen que es mejor bexident post gel.
Me podrían ayudar y orientar por favor

los tres primero días son los días críticos de la inflamación y el dolor, importante seguir las recomendaciones de tu doctor al pie de la letra, para tener una buena recuperación

Dra. Tatiana Ortega Arrieta
Muestra todas las respuestas

Todos los contenidos publicados en Doctoralia, especialmente preguntas y respuestas, son de carácter informativo y en ningún caso deben considerarse un sustituto de un asesoramiento médico.