Dr.
Reyes Silverio Lozano Reza
Ortodoncista
·
Ver más
Ciudad Juarez 1 dirección
No. de cédula: 5039498 3919626
1 opinión
Tiempo de respuesta aproximado:
Experiencia
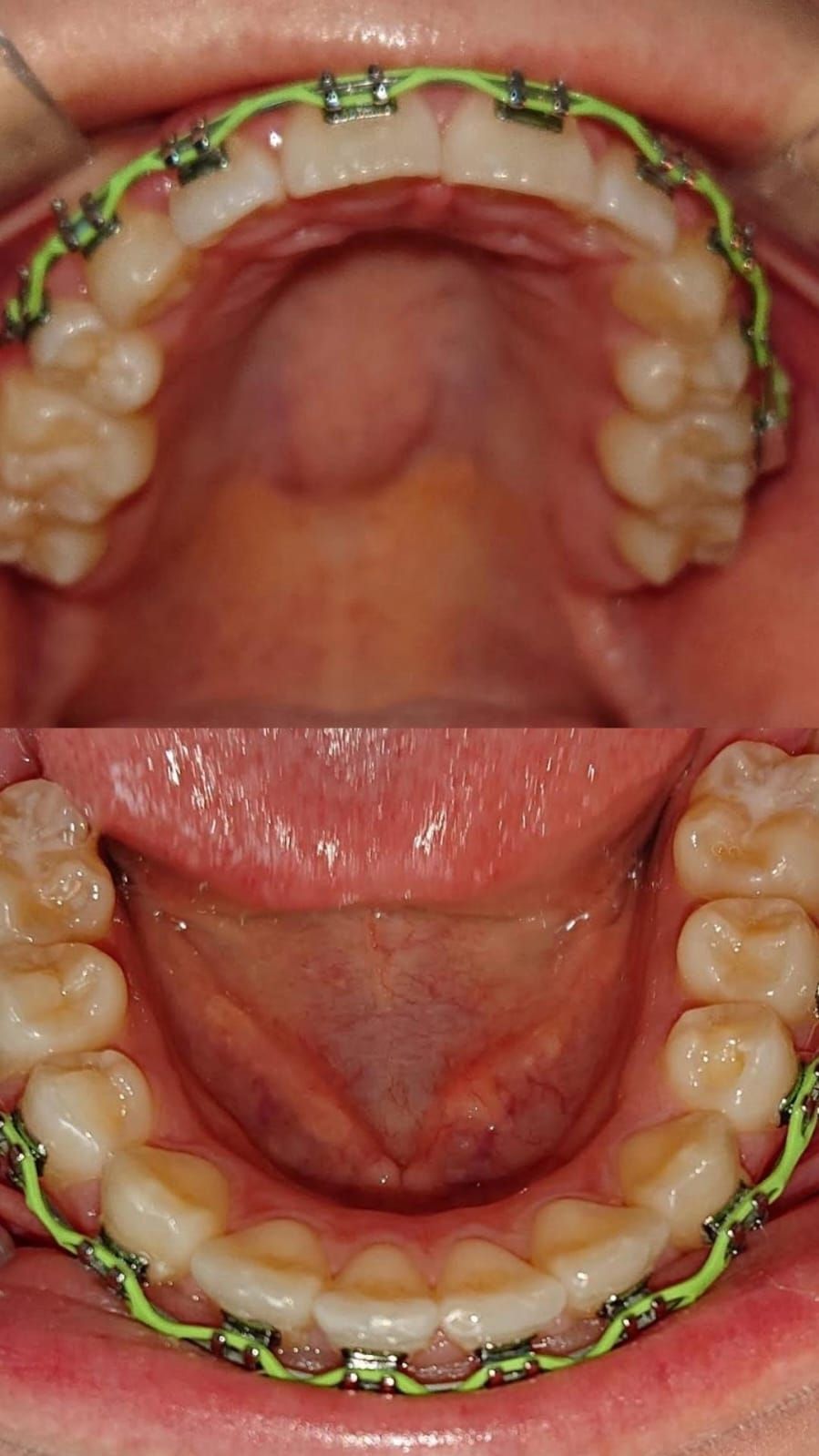
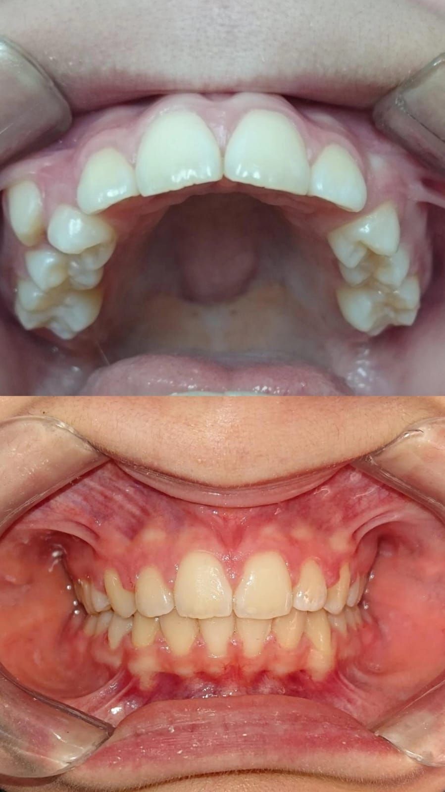
Ortodoncia
Principales enfermedades tratadas
- Caries
- Atrición dental
- Bruxismo
- Dientes desalineados
- Mordida abierta
- +5 a11y_sr_more_diseases
Tipos de consulta
Presencial
Ver direcciones (1)
Fotos y videos
Servicios y precios
-
Absceso dental
$3,600 -
-
Blanqueamiento dental
$9,000 -
-
Coronas estéticas
$7,000 -
-
Extracción dental
$1,000 -
-
Higiene bucodental
-
-
-
-
-
-
Consultorio
Av. de Las Americas no. 478, Col. Margaritas, Zona Pronaf Condominio La Plata, Ciudad Juarez 32300
Disponibilidad
Número de teléfono
656 233...
No se aceptan aseguradoras
Este especialista sólo acepta pacientes privados. Puede pagar directamente la cita para reservar, o encontrar otro especialista que acepte su aseguradora.
Opiniones
1 opinión
Todas las opiniones son importantes, por este motivo, los especialistas no pueden pagar para modificar o eliminar opiniones.
Saber más.
Más información sobre opiniones
-
S
Sergio
Lleve a mi hija y fue muy paciente con ella y el tratamiento
• Dental One • Otro •