Dra. Martha Alicia Ceniceros Betancourt

Dentista - Odontólogo · Ver más sobre las especializaciones

No. de cédula: 11784504

68 opiniones
Especialista de confianza

Los pacientes vuelven a su consulta de forma recurrente

Experiencia

Hola soy la Dra. Martha Ceniceros cofundadora de Dental City junto con el Dr. Ángel Alonzo desde 2016.

Egresada de la licenciatura en Cirujano Dentista del Instituto Universitario Franco Ingles de México, especialista en Ortodoncia y Ortopedia Maxilofacial egresada del Instituto de Especialidades Odontológicas. 

Es un placer para nosotros acompañarte en tu rehabilitación oral.

En Dental City contamos con un grupo de especialistas para brindarte la mejor atención de acuerdo a tus necesidades.

Nuestro objetivo en Dental City es que te sientas cómodo y en confianza, mejorar la salud bucodental y el bienestar general de los pacientes, ofreciendo servicios de prevención, operatoria (caries) extracciones, endodoncia, prótesis dental, limpieza, blanqueamiento, tratamientos de ortodoncia, implantes dentales y tratamiento estéticos (diseño de sonrisa). Contamos con convenio para atender a paciente de la comunidad UAEMEX con costos preferenciales y pacientes con seguro dental "Odontoprev" y "Dentegra seguros dentales"

Estos objetivos los logramos mediante la aplicación de tecnología moderna, técnicas innovadoras y un equipo profesional calificado y capacitado para cada tratamiento 

 

ver más Sobre mí

Enfocado en:

  • Ortodoncia
  • Odontología estética
  • Prótesis bucal e implantología
  • Odontología restauradora

Pacientes que atiendo

Adultos
Niños

Tipos de consulta

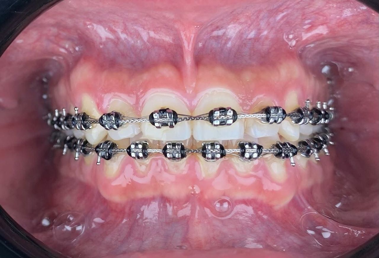
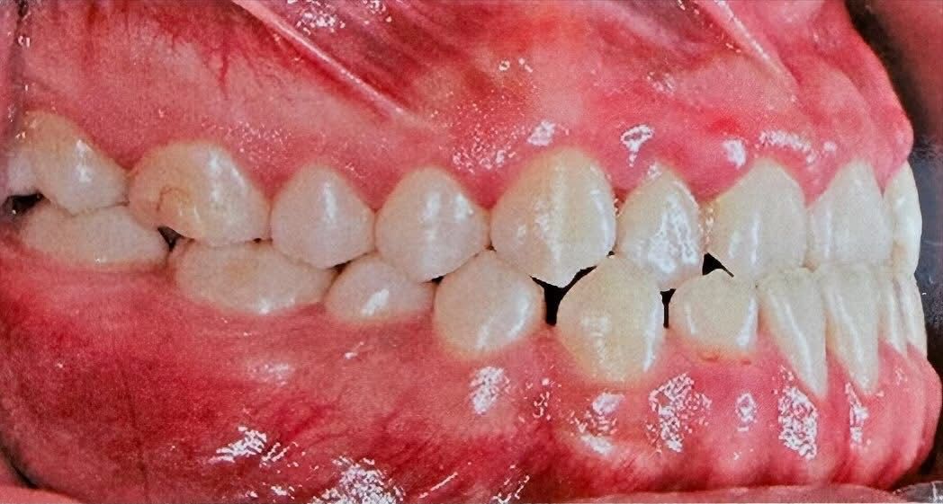
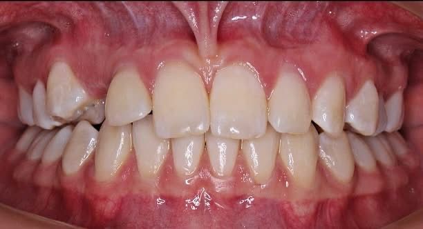
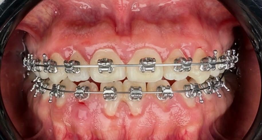
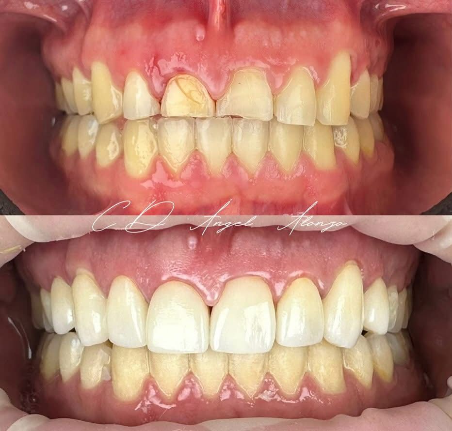
Fotos y videos

Servicios y precios

  • Primera visita Odontología


  • Extracción de otras piezas dentarias


  • Reconstrucción dental


  • Profilaxis (Limpieza Dental)


  • Prevención en salud bucal


Consultorio

Ampliar se abre en una nueva pestaña
Dental City

Av. 1º de Mayo 619a, Barrio De Santa Clara, Toluca 50090

Disponibilidad

Número de teléfono

722 989...
Ampliar se abre en una nueva pestaña

Aseguradoras aceptadas

Se aceptan aseguradoras, pero la cobertura varía según la ubicación y el servicio.

  • Odontoprev
  • Dentegra

68 opiniones

Todas las opiniones son importantes, por este motivo, los especialistas no pueden pagar para modificar o eliminar opiniones. Saber más. Más información sobre opiniones
  • M

    Me gusta la atención, paciencia y amabilidad q tienen Y eso hace que tenga mucha confianza de ir a cada cita.
    Aparte que explican muy bien el tratamiento y las dudas.

     • Dental City Otro  • 

  • B

    Excelente servicio, muy éticos y profesionales, me encanto la limpieza y rapidez con la que trabajan

     • Dental City Blanqueamiento dental  • 

  • E

    Me atendió muy amablemente explicándome todo y ayudándome en todas mis dudas

     • Dental City Primera visita Odontología  • 

  • S

    No son claros con los costos. Tendrían que
    Preguntar si traemos dinero suficiente, desde que te responden por
    Teléfono la atención es pésima

     • Dental City Resinas dentales  • 

  • D

    Nos encantó la atención, explicación detallada del tratamiento con fotografía y rx de la dentadura. Presupues de acuerdo al tratamiento. Nos encantó!

     • Dental City Primera visita Odontología  • 

  • R

    Me gusta como se dirige la doctora, como explica los procesos de lo que va realizando

     • Dental City Primera visita Odontología  • 

  • D

    Excelente trato
    Fue muy rápida en su trabajo
    Fue clara en su explicación

     • Dental City Visita Odontología  • 

  • A

    Fue muy paciente cómo siempre , excelente servicio, me da mucha confianza

     • Dental City Profilaxis (Limpieza Dental)  • 

  • M

    Análisis de opciones de tratamiento profesional y objetiva

     • Dental City Primera visita Odontología  • 

  • A

    Me valoraron primeramente, y la cirugía realizada en la 2a., cita me trataron excelente. Recomiendo atenderse en Dental City.

     • Dental City Extracción de las muelas del juicio  • 

Se ha producido un error, inténtalo de nuevo.

Dudas solucionadas

1 dudas solucionadas a pacientes en Doctoralia

Las aftas pequeñas en el interior de la boca pueden ser causadas por estrés o quemaduras ?

Las aftas aparecen en boca por diferentes causas una de ella puede ser quemadura, es cuestión de observar la lesión (que no crezca), tener buena higiene y tendrá que desaparecer de 7 a 10 días, si no es así, te recomiendo visitar al odontólogo para que te pueda dar el correcto diagnóstico y plan de tratamiento

Dra. Martha Alicia Ceniceros Betancourt

Todos los contenidos publicados en Doctoralia, especialmente preguntas y respuestas, son de carácter informativo y en ningún caso deben considerarse un sustituto de un asesoramiento médico.