Dr. Mario Gabriel Sánchez Vázquez

Dentista - Odontólogo · Ver más sobre las especializaciones

No. de cédula: 15182462 4660037

7 opiniones
Tiempo de respuesta aproximado:

Experiencia

Soy el Dr. Mario Gabriel Sánchez Vázquez, un profesional comprometido con brindar atención odontológica de alta calidad, siempre enfocado en el bienestar integral de mis pacientes. Me caracterizo por ofrecer un trato empático, respetuoso y ético, buscando que cada persona se sienta en confianza desde la primera consulta.

Trabajo con un enfoque personalizado, priorizando diagnósticos precisos y tratamientos adecuados para cada caso. Me mantengo en constante actualización y utilizo técnicas modernas para ofrecer soluciones seguras, funcionales y estéticas. Mi objetivo es acompañarte en todo momento para lograr y mantener una sonrisa sana, armónica y duradera.

ver más Sobre mí

Enfocado en:

  • Implantología
  • Cirugía oral

Tipos de consulta

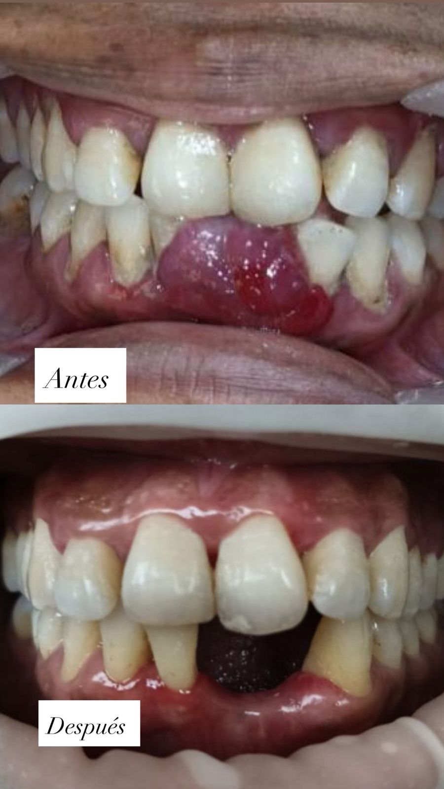
Fotos y videos

Servicios y precios

  • Visita Odontología

    $800

  • Gingivoplastia


  • Resina simple


  • Resina compleja


  • Pulpectomía - Pulpotomía


Consultorio

Ampliar se abre en una nueva pestaña
Innovadentist

Sayula 64, medicentergroup, Moderno, Veracruz 91918

Disponibilidad

Ampliar se abre en una nueva pestaña

No se aceptan aseguradoras

Este especialista sólo acepta pacientes privados. Puede pagar directamente la cita para reservar, o encontrar otro especialista que acepte su aseguradora.

7 opiniones

Lo más mencionado por los pacientes

  • Explicaciones detalladas

Nuevo Perfil en Doctoralia

Los pacientes ya empezaron a agregar sus opiniones

Todas las opiniones son importantes, por este motivo, los especialistas no pueden pagar para modificar o eliminar opiniones. Saber más. Más información sobre opiniones
  • L

    Durante la consulta me explico detalladamente aclarando todas mis dudas, al momento del procedimiento el y su equipo de trabajo estuvieron muy atentos a mi, estoy muy satisfecha con su atención.

     • Innovadentist Extracción de las muelas del juicio  • 

  • R

    Servicio 10/10 con explicaciones detalladas y recomendaciones apropiadas

     • Innovadentist Profilaxis (Limpieza Dental)  • 

  • J

    Excelente, muy capacitado y una experiencia de calidad, lo recomiendo demasiado!

     • Innovadentist Extracción de las muelas del juicio  • 

  • R

    El doctor Mario fue muy atento desde el inicio, explicandome detalladamente lo mejor para mi tratamiento. Las instalaciones y todo su equipo de trabajo excelente y muy cómodo. Agradezco todas las atenciones del doctor y su honestidad en su forma de trabajar.

     • Innovadentist Ferulas de descanso  • 

  • L

    Muy satisfecho con la atención de Mario y su equipo, son amables y muy detallados al explicarme cada paso, otra cosa importante es que estuvieron al pendiente de mi evolución después del tratamiento!!!

     • Innovadentist Visita Odontología  • 

  • K

    Un excelente dentista se caracteriza por su profesionalismo, paciencia y trato amable con los pacientes. Explica claramente cada procedimiento, trabaja con cuidado y siempre busca la mejor solución para la salud dental, haciendo que el paciente se sienta seguro y en confianza durante la consulta.

     • Innovadentist Otro  • 

  • Y

    Considero que el Dr. Mario realiza su trabajo de manera muy profesional siempre cuidando que el paciente se sienta cómodo, seguro y sabiendo todo el procedimiento a seguir. Eso habla muy bien de él. Estoy muy satisfecha además que está muy al pendiente de la evolución de sus pacientes en días posteriores. Felicitaciones!!

     • Innovadentist Extracción de las muelas del juicio  • 

Se ha producido un error, inténtalo de nuevo.