Dra. Maria José Hernández Moreno

Dentista - Odontólogo · Ver más

Querétaro 1 dirección

No. de cédula: 8262689 10635838

107 opiniones
Tiempo de respuesta aproximado:

Experiencia

Soy especialista en ortodoncia, mi principal objetivo es darte la mejor atención y solucionar tus necesidades bucales.

Enfocado en:

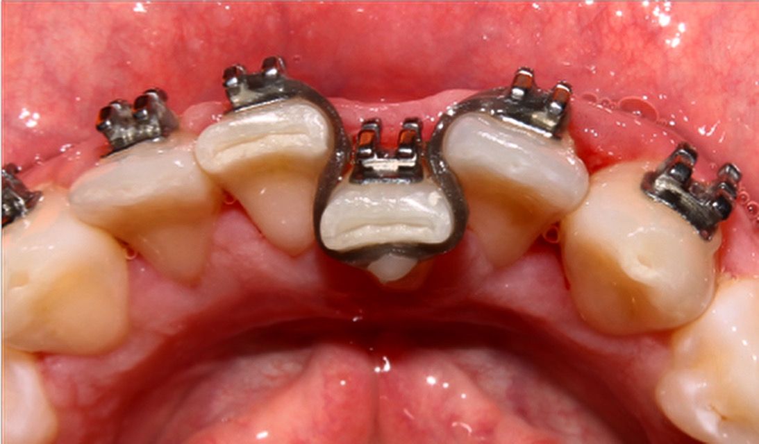
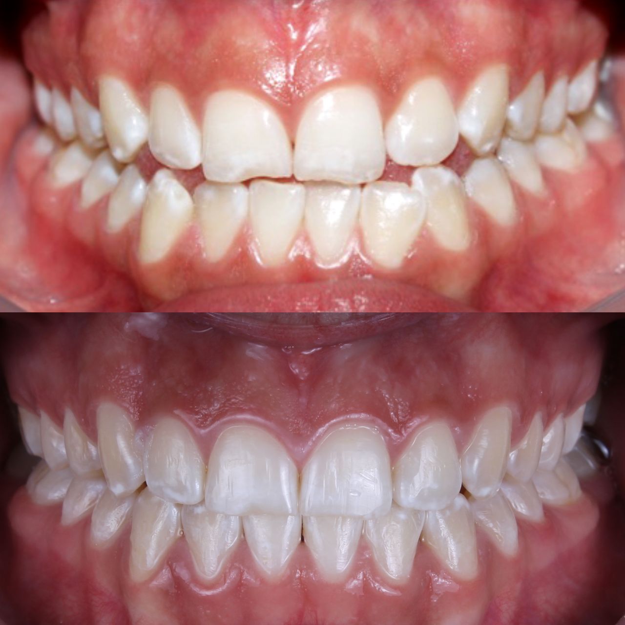
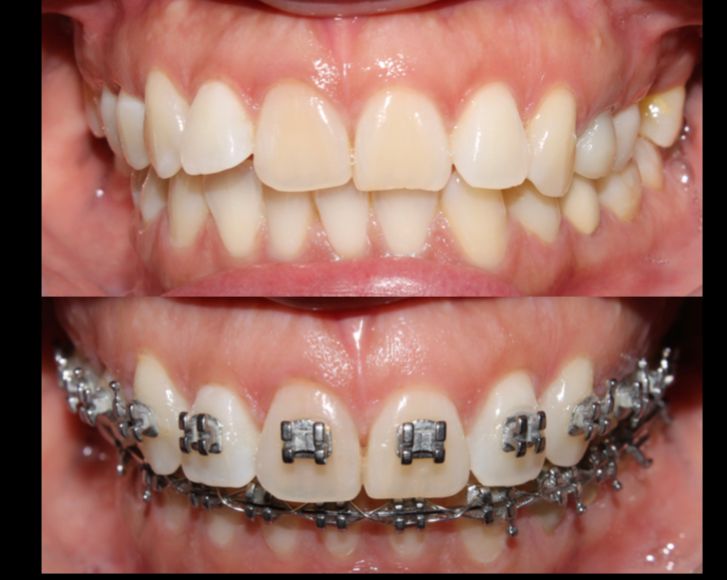
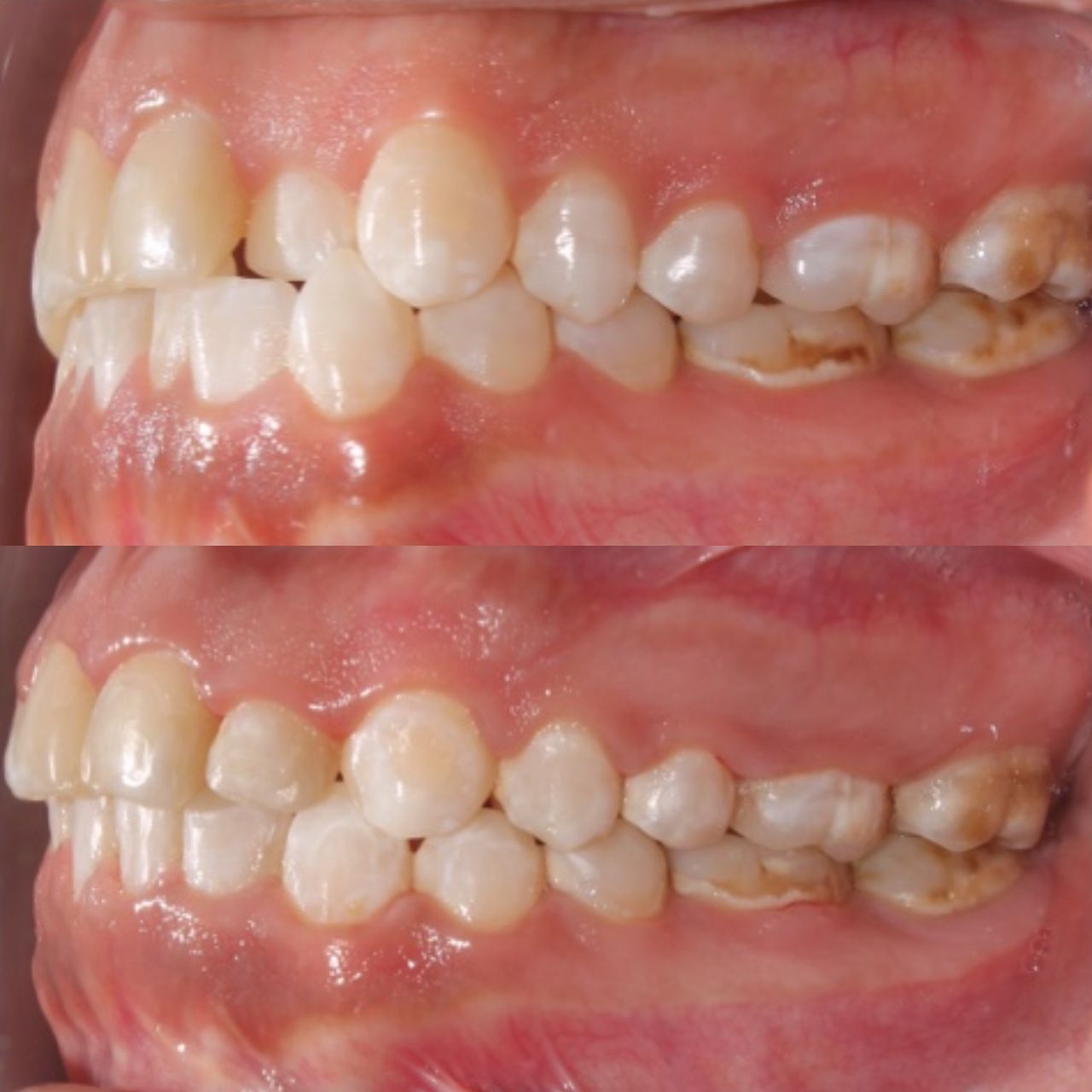
  • Ortodoncia
  • Odontología láser
  • Ortopedia maxilofacial

Tipos de consulta

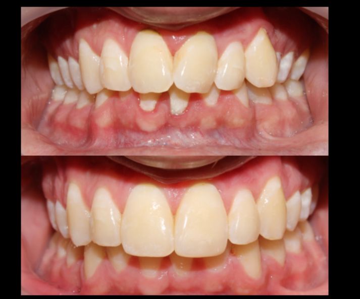
Fotos y videos

Servicios y precios

  • Visita Odontología


  • Colocación de brackets


  • Consulta subsecuente


  • Limpieza dental


  • Ortodoncia convencional


Consultorio

Ampliar se abre en una nueva pestaña
ACHER Grupo Dental

Av. Constituyentes Oriente #34, Plaza Galerias, Consitutyentes Int 4b, Col. Mercurio, Las Alamedas, Querétaro 76040

Disponibilidad

Ampliar se abre en una nueva pestaña

No se aceptan aseguradoras

Este especialista sólo acepta pacientes privados. Puede pagar directamente la cita para reservar, o encontrar otro especialista que acepte su aseguradora.

107 opiniones

Todas las opiniones son importantes, por este motivo, los especialistas no pueden pagar para modificar o eliminar opiniones. Saber más. Más información sobre opiniones
  • La Dra. María José siempre es muy profesional y atenta. Agradezco su atención y trabajo, desde mi ortodoncia completa hasta las limpiezas anuales

     • ACHER Grupo Dental Limpieza dental  • 

  • G

    El trato es excelente, siempre trata de que estes cómoda y que procedimiento sea lo menos doloroso posible.

     • ACHER Grupo Dental Ortodoncia Invisible  • 

  • A

    La comunicación para general cita, seguimiento e información del tratamiento es muy buena.
    El tratamiento es eficaz, la doctora ha atendido en tratamiento ortopedico y ortodoncia. Ha sido eficaz.

     • ACHER Grupo Dental Colocación de brackets  • 

  • M

    Majo es una extraordinaria profesional tiene un trato muy lindo y sus intervenciones son muy cuidadosas, buscando siempre el bienestar del paciente

     • ACHER Grupo Dental Limpieza dental  • 

  • D

    Estoy encantada con mi tratamiento de ortodoncia, he notado muy buenos avances y me siento cada vez más segura con mi sonrisa. La doctora Majo es súper linda, atenta y siempre explica con detalle cada paso del proceso, lo que me da muchísima confianza. Se nota la pasión y dedicación con la que trabaja, lo cual hace que cada cita sea una experiencia agradable. Gracias Gracias!

     • ACHER Grupo Dental Consulta subsecuente  • 

  • J

    La doctora es puntual, da una excelente explicación y atención.

     • ACHER Grupo Dental Otro  • 

  • M

    La doctora es empática, muy profesional y muy considerada con mi hijo

     • ACHER Grupo Dental Limpieza dental  • 

  • A

    La Dra. Majo es la mejor, siempre explica, siempre escucha, siempre atenta a cualquier malestar. Y el tratamiento siempre con avance

     • ACHER Grupo Dental Ortodoncia Invisible  • 

  • M

    Increíble doctora!
    Y el trato súper profesional y amigable

     • ACHER Grupo Dental Ortodoncia Invisible  • 

  • M

    La Dra. es la mejor odontóloga de Querétaro. Su atención al detalle y su compromiso con sus pacientes la distinguen de muchos otros con los que he ido. Ningún tratamiento dental es agradable, pero la Dra. y su equipo te acompañan en cada paso y son excelentes para escuchar tus dudas y atender tus preocupaciones. Tiene toda mi confianza y me seguiré atendiendo con ella siempre

     • ACHER Grupo Dental Otro  • 

Se ha producido un error, inténtalo de nuevo.