Dra. María Fernanda González Gastelum

Dentista - Odontólogo · Ver más sobre las especializaciones

No. de cédula: 8593621 10624906

73 opiniones
Tiempo de respuesta aproximado:

Experiencia

Cirujano dentista con la especialidad de Rehabilitación oral, egresada de la Universidad Autonoma de Guadalajara, mi principal objetivo como especialista es brindar al paciente la confianza y la mejor opción de tratamiento junto con otras ramas de la odontologia y  así poder brindarle una odontologia integral.
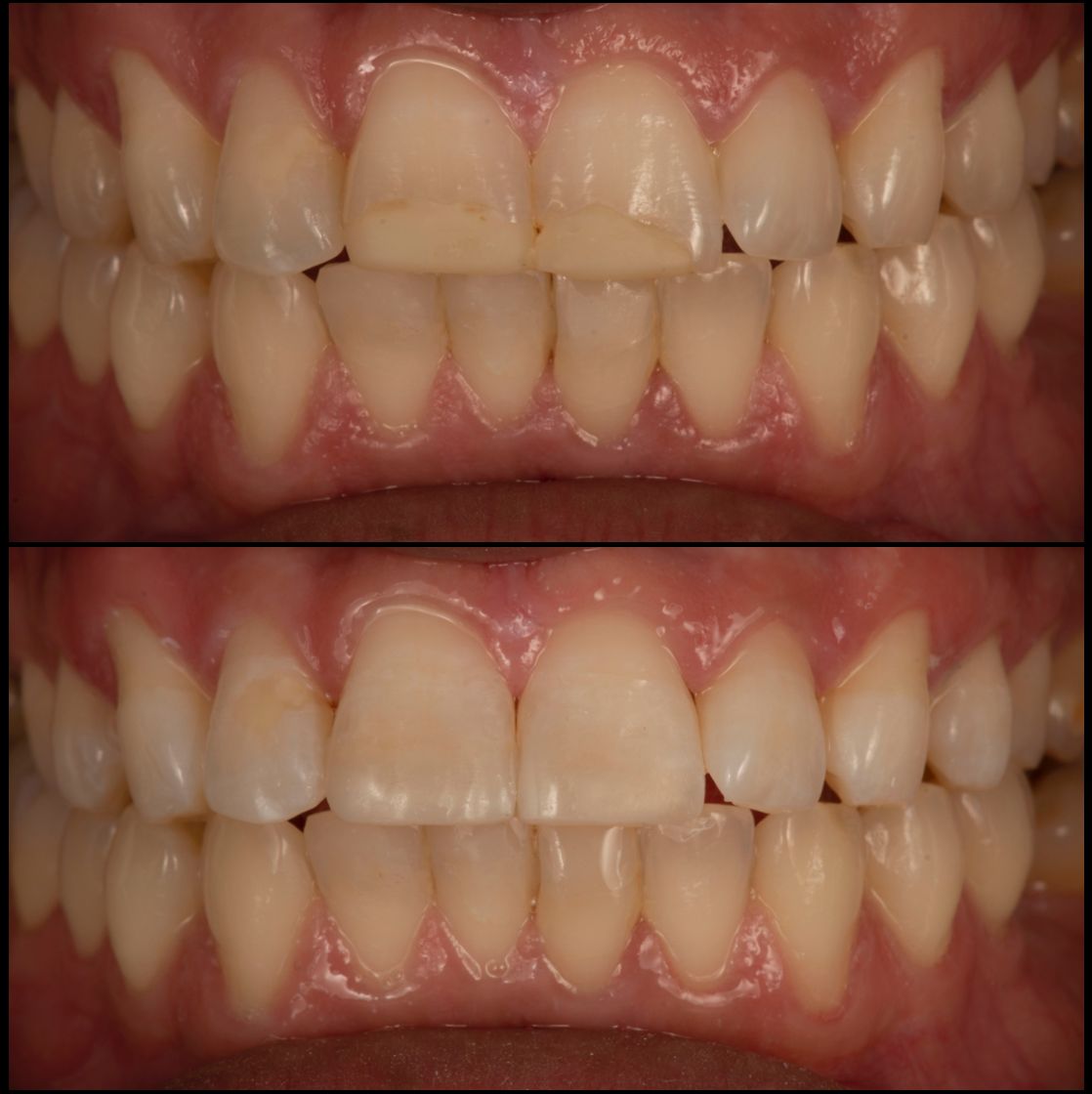
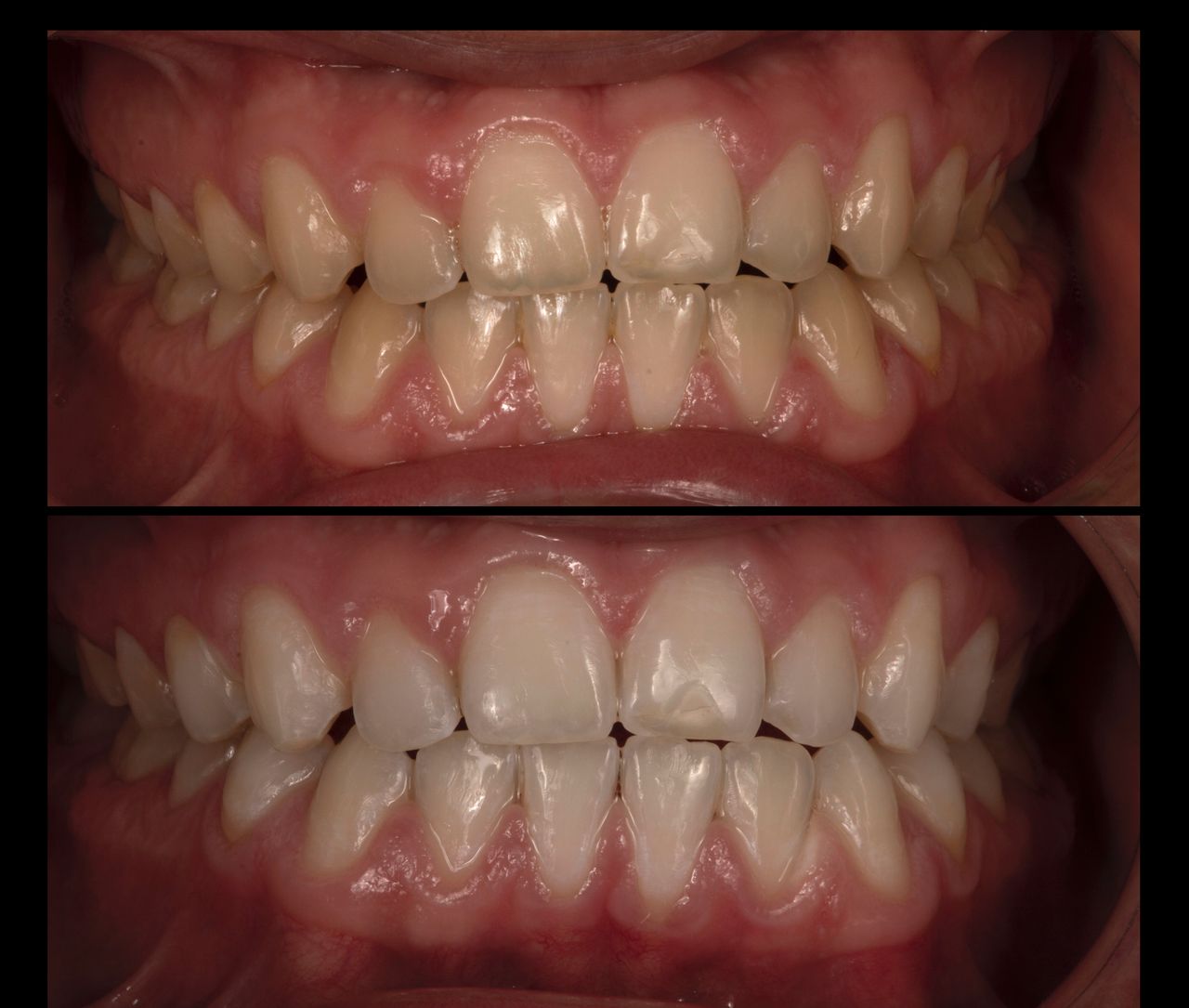
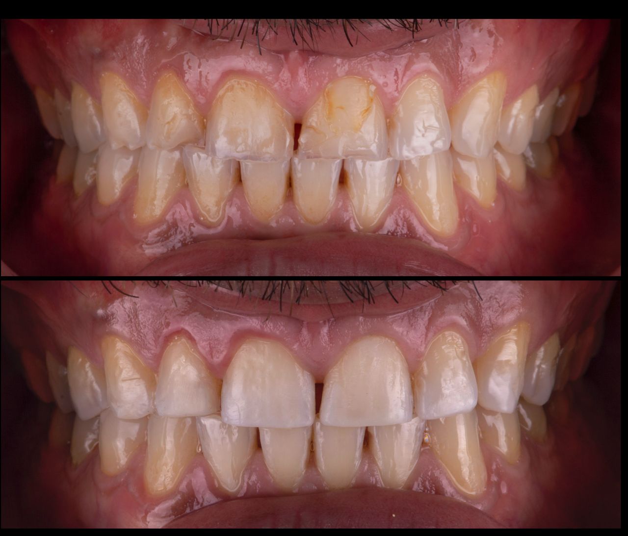
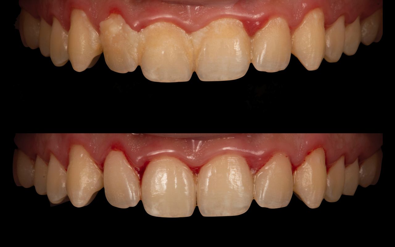
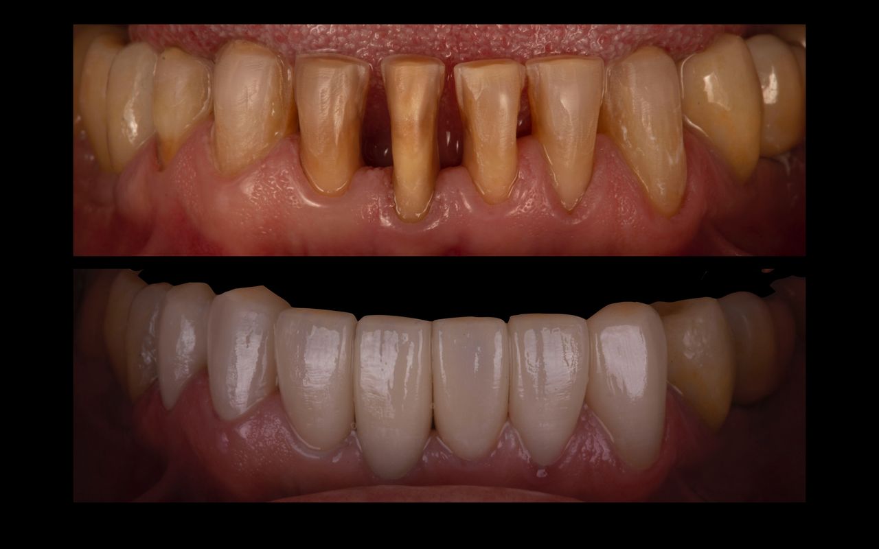
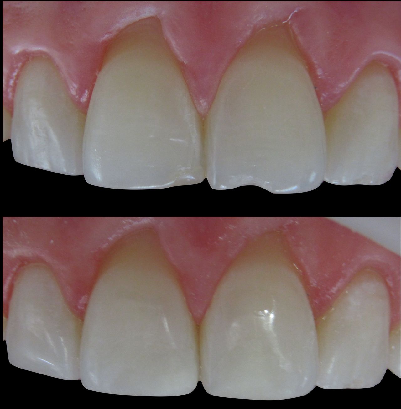
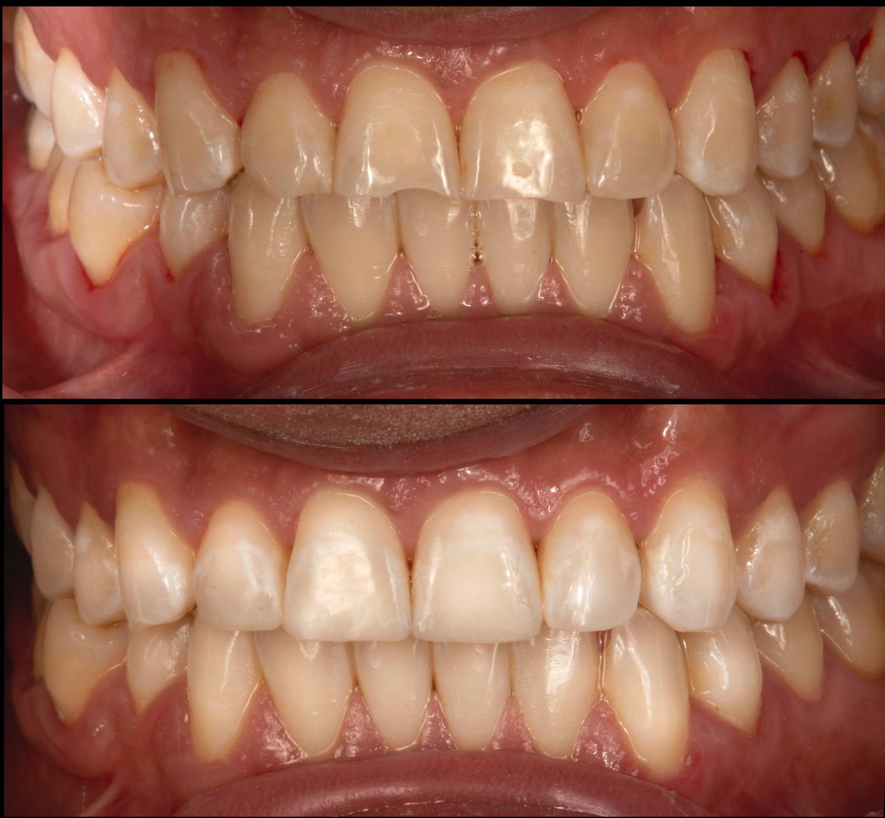
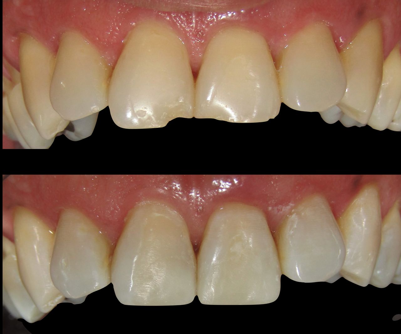
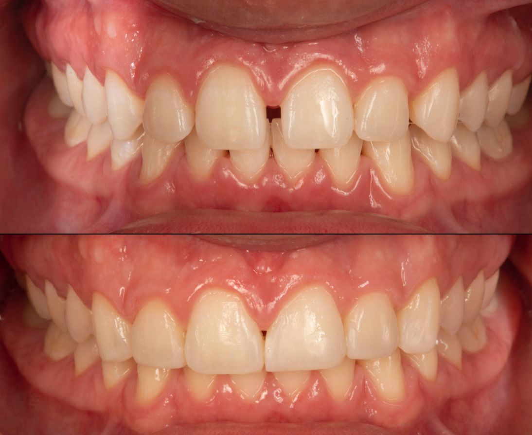
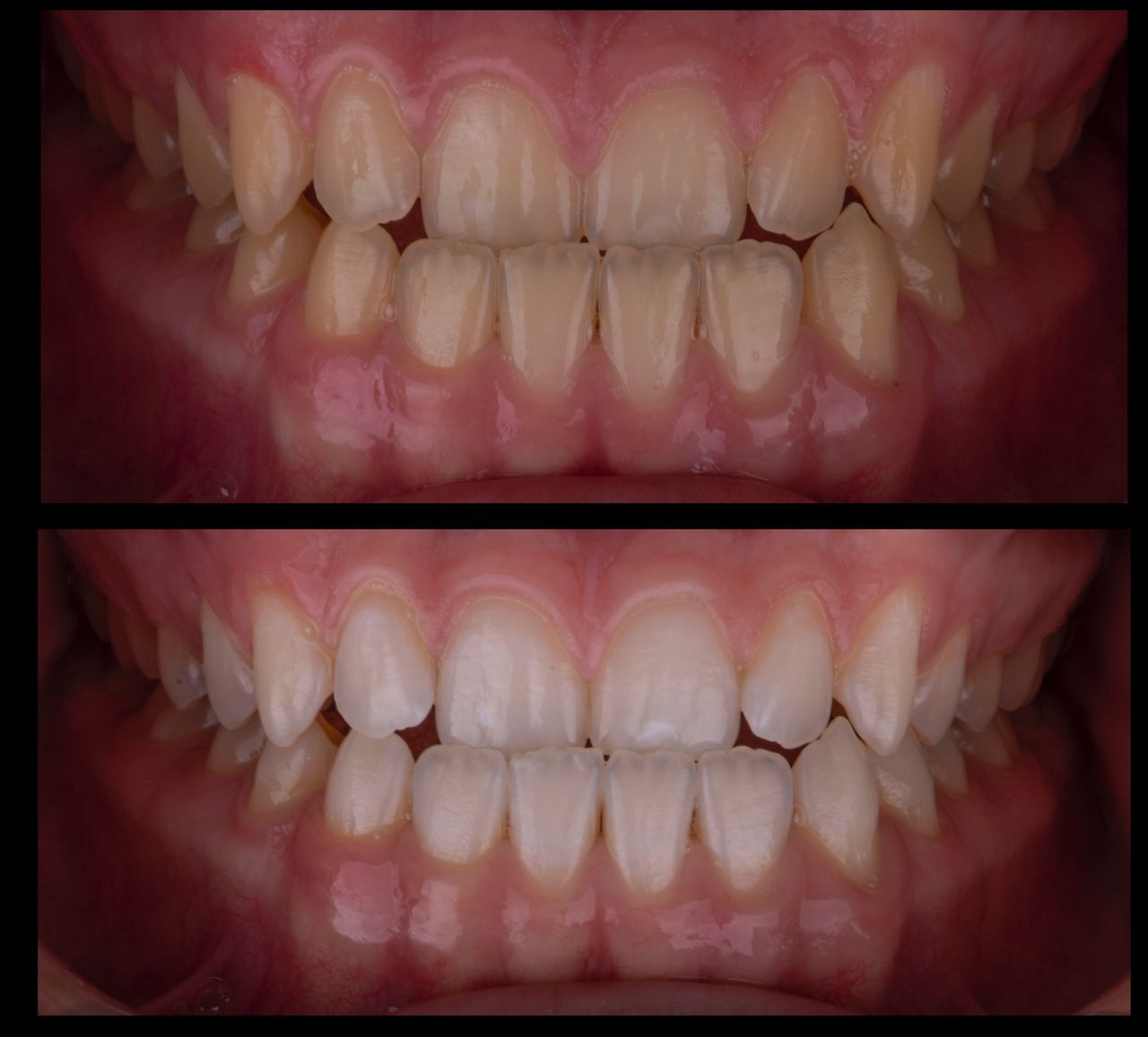
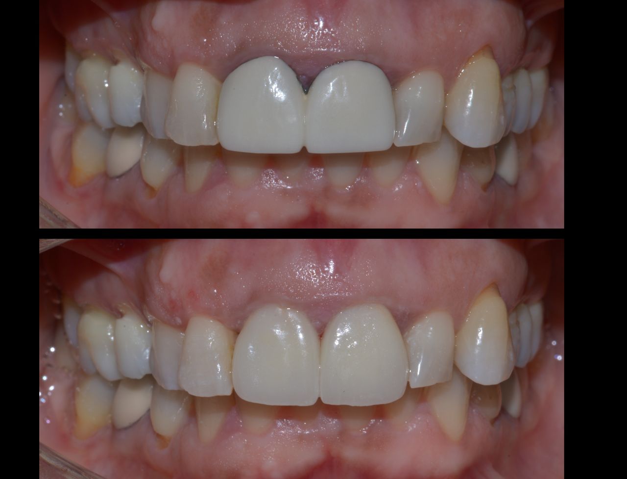
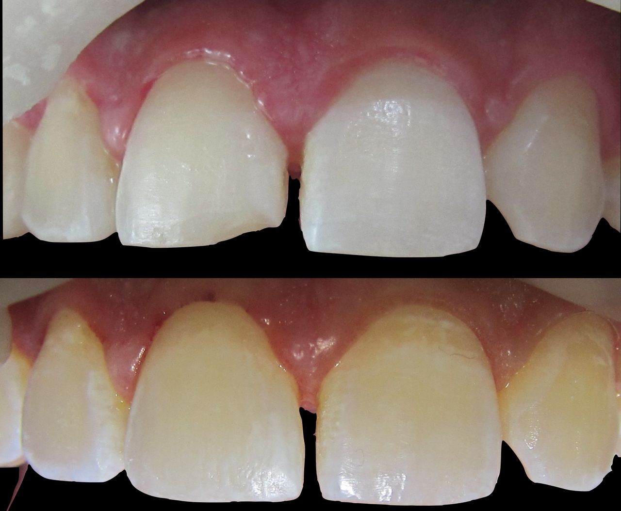
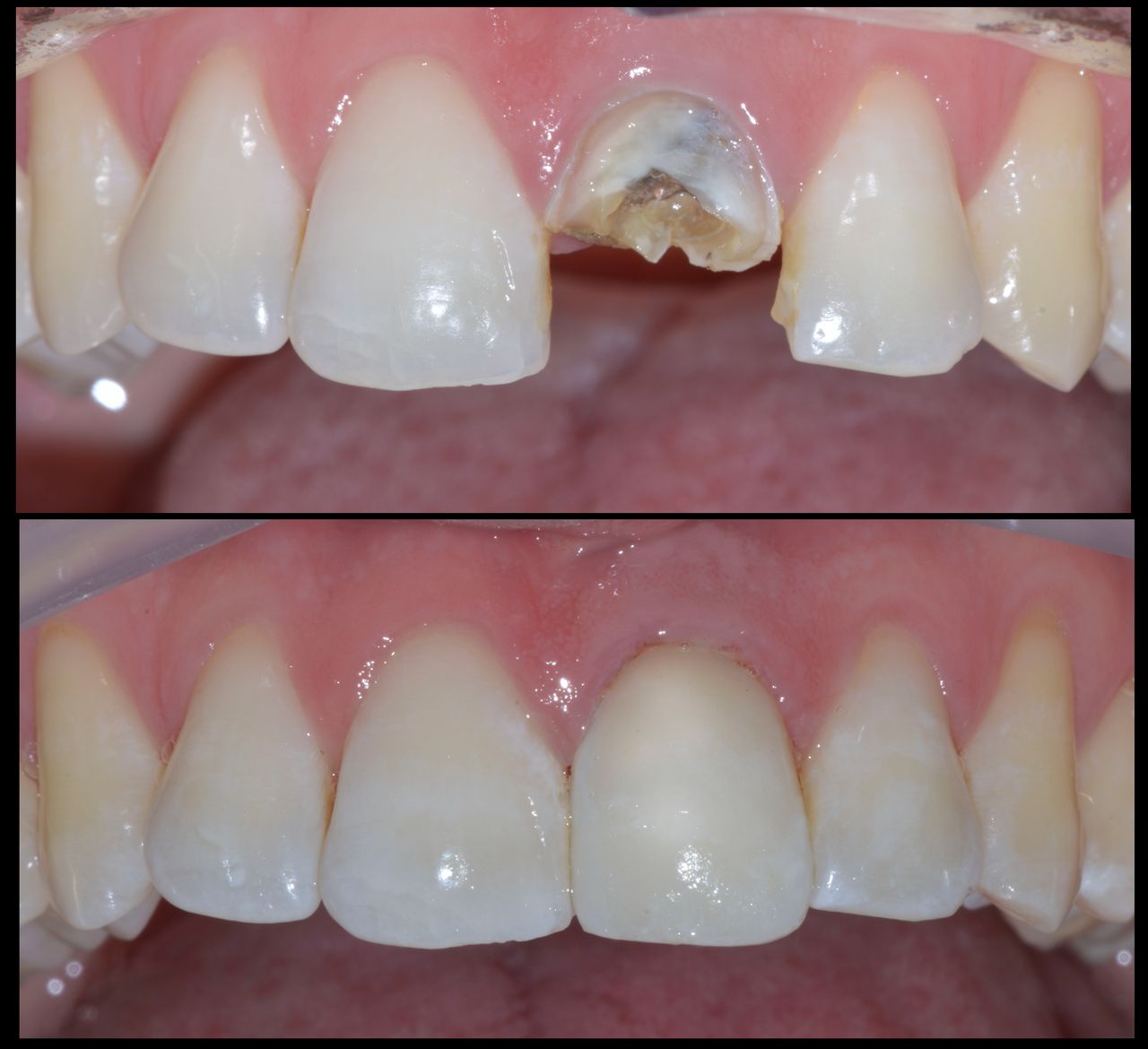
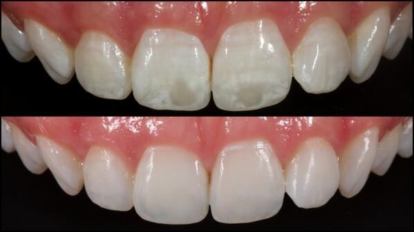
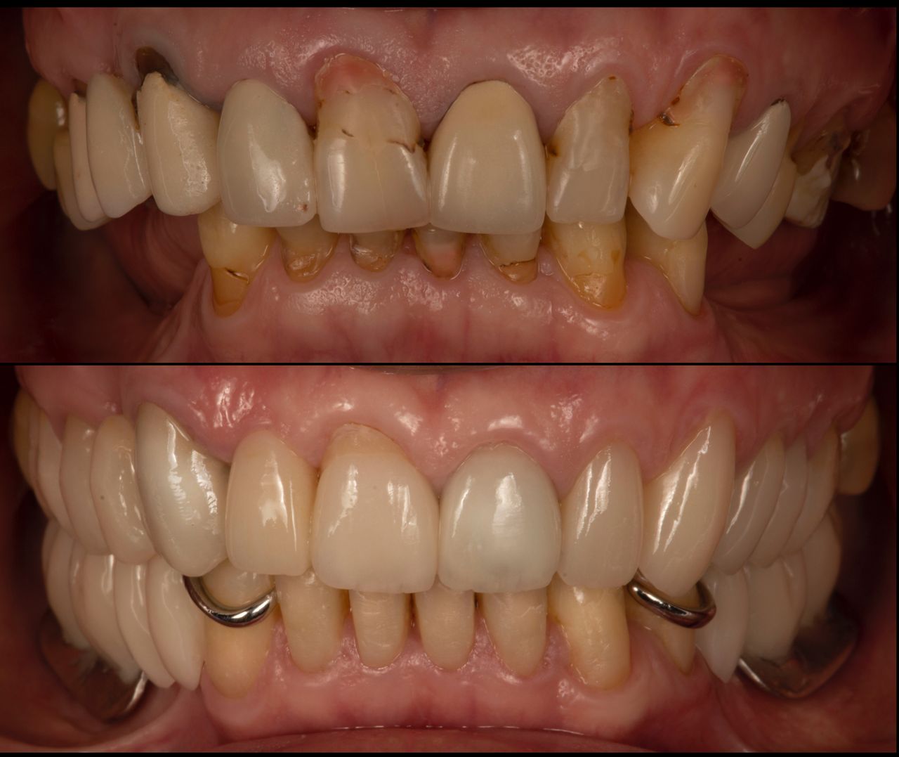
Rehabilitación Oral es la rama de la odontologia que se encarga de regresar la función y la estetica a nuestros pacientes, asi como la Restauración o Reposición de piezas dentales, estetica y sobre todo el  prevenir y conservar nuestros dientes. 
Brindando un enfoque completo y especializado, contamos con excelentes equipos y los mas sofisticados para proporcional resultados agradables.
Junto con mi equipo de trabajo   Periodoncia , Ortodoncia, Endodoncia , Maxilofacial y odontopediatria llegamos a ofrecer los mejores resultados ya que brindamos los tratamientos mas completos y sobre todo con atención personalizada.
ver más Sobre mí

Enfocado en:

  • Atm y oclusión
  • Rehabilitación bucal
  • Implantología dental
  • Odontología estética

Pacientes que atiendo

Adultos (Sólo en algunas direcciones)

Tipos de consulta

Videoconsulta

Fotos y videos

Servicios y precios

  • Consulta en línea

    $500

  • Visita Odontología

    Desde $800

  • Gingivectomia por cuadrante


  • RESINAS ESTÉTICAS

    Desde $1,000

  • Puentes fijos

    Desde $5,000

Consultorios (3)

Disponibilidad

Reserva por teléfono 24/7
Ampliar se abre en una nueva pestaña
Consultorio Dra. Maria Fernanda G.

Mariano Escobedo 874A, Primer Cuadro, Culiacán, Sinaloa, México, Primer Cuadro, Culiacan 80000

Disponibilidad

Ampliar se abre en una nueva pestaña
Reserva por teléfono 24/7
Ampliar se abre en una nueva pestaña
CONSULTORIO DENTAL

Mariano Escobedo 874, CONSULTORIO 2 PISOS, Primer Cuadro, Culiacan 80000

Disponibilidad

Este especialista no ofrece reserva online en esta dirección

Número de teléfono

667 530...
Ampliar se abre en una nueva pestaña

No se aceptan aseguradoras

Este especialista sólo acepta pacientes privados. Puede pagar directamente la cita para reservar, o encontrar otro especialista que acepte su aseguradora.

73 opiniones

Todas las opiniones son importantes, por este motivo, los especialistas no pueden pagar para modificar o eliminar opiniones. Saber más. Más información sobre opiniones
  • E

    Gran médico, la atención súper buena y me hizo una súper buena limpieza.

     • Consultorio Dra. Maria Fernanda G. Visita Odontología  • 

    Dra. María Fernanda González Gastelum

    Gracias, me encanta saber que te sentiste bien durante tu cita :)


  • L

    Excelente doctora en todos los aspectos, súper recomendada.

     • Consultorio Dra. Maria Fernanda G. Cambio de restauraciones (resinas o amalgamas)  • 

    Dra. María Fernanda González Gastelum

    Gracias por confiar en nosotros! Nos alegra mucho saber que quedaste satisfecho :)


  • M

    Muy cuidadosa en su trabajo y atenta con los pacientes

     • Consultorio Dra. Maria Fernanda G. Cambio de restauraciones (resinas o amalgamas)  • 

    Dra. María Fernanda González Gastelum

    Muchas gracias ! siempre un gusto poder cumplir con sus expectativas!! :)


  • M

    Muy buena atención, muy buenos trabajos, muy limpios los espacios , atenta del trabajo que realiza

     • Consultorio Dra. Maria Fernanda G. Cambio de restauraciones (resinas o amalgamas)  • 

  • N

    Tenía muy buenas expectativas, y la supero, nos encantó el resultado

     • Consultorio Dra. Maria Fernanda G. Diseño de sonrisa  • 

  • J

    Una dentista muy dedicada y profesional en su trabajo, precios justos y razonables

     • Consultorio Dra. Maria Fernanda G. RESINAS ESTÉTICAS  • 

  • G

    Todo Excelente, muy amable y profesional !

     • Consultorio Dra. Maria Fernanda G. RESINAS ESTÉTICAS  • 

  • J

    Me atendió muy bien y me explicó el seguimiento que le daría a mi problema

     • Consultorio Dra. Maria Fernanda G. Primera visita Odontología  • 

  • S

    Tiene el conocimiento, Tiene empata, es justa y ofrece posibilidades y soluciones, 1000 de 10

     • Consultorio Dra. Maria Fernanda G. Visitas sucesivas Odontología  • 

  • A

    Muy profesional, su atención específica y explica claramente

     • Consultorio Dra. Maria Fernanda G. Consulta de valoración para implantes dentales  • 

Se ha producido un error, inténtalo de nuevo.

Dudas solucionadas

6 dudas solucionadas a pacientes en Doctoralia

Duda sobre Coronas estéticas

Se puede cambiar el color del zirconio de color amarillo a blanco?

siempre y cuando no este colocado la restauración en boca de forma definitiva, si se pueden hacer cambios de color.

Dra. María Fernanda González Gastelum

Duda sobre Reconstrucción dental

Hola!!, me realize una segunda corona dental, en mi diente con endodoncia. En la primera corona no tenía malestar, después de unos años me la volví a realizar, me cambiaron los postes, pero ahora tengo dolor al masticar y sensibilidad al frío y calor. Porque mis molestias si ya tengo endodoncia.

Hola, pueden ser varios factores es importante revisar nuevamente con su dentista, hacer pruebas clinicas y algunos estudios como radiografia o tomografia para descartar alguna fisura en el diente.

Dra. María Fernanda González Gastelum
Muestra todas las respuestas

Todos los contenidos publicados en Doctoralia, especialmente preguntas y respuestas, son de carácter informativo y en ningún caso deben considerarse un sustituto de un asesoramiento médico.